相关产品推荐更多 >
万千商家帮你免费找货
0 人在求购买到急需产品
- 详细信息
- 文献和实验
- 技术资料
- 供应商:
上海联迈生物工程有限公司
- 库存:
大量
- 目录编号:
LM-4842R
- 克隆性:
多克隆
- 抗原来源:
Rabbit
- 保质期:
1年
- 抗体英文名:
Phospho-eIF2 alpha(Ser51)
- 抗体名:
磷酸化真核启动因子2α抗体
- 宿主:
Rabbit
- 适应物种:
Human, Mouse, Rat, Cow,
- 免疫原:
KLH conjugated synthesised phosphopeptide derived from human eIF2 alpha around the phosphorylation site of Ser51 [EL(p-S)RR]:EL(p-S)RR
- 亚型:
IgG
- 形态:
Lyophilized or Liquid
- 应用范围:
WB=1:500-2000 ELISA=1:500-1000 IHC-P=1:400-800 IHC-F=1:400-800 Flow-Cyt=1μg/Test IF=1:100-500 (石蜡切片需做抗原修复)
- 浓度:
1mg/ml
- 保存条件:
Store at -20 °C
- 规格:
100ul
| 英文名称 | Phospho-eIF2 alpha(Ser51) |
| 中文名称 | 磷酸化真核启动因子2α抗体 |
| 别 名 | EIF2S1 (phospho S51); EIF2S1 (phospho-Ser51); CDA 02; CDA02; eIF 2 alpha; EIF 2; EIF 2A; EIF-2alpha; EIF2; EIF2A; EIF2alpha; eIF2S1; Eukaryotic Translation Initiation Factor 2 alpha; Eukaryotic translation initiation factor 2 subunit 1 alpha 35kDa; Eukaryotic translation initiation factor 2 subunit alpha. |
![]() |
Specific References (1) | bs-4842R has been referenced in 1 publications. [IF=2.33] He, Yihuai, et al. "Sustained endoplasmic reticulum stress inhibits hepatocyte proliferation via downregulation of c-Met expression." Molecular and Cellular Biochemistry (2014): 1-8. WB ; Human. PubMed:24390087 |
| 规格价格 | 100ul/1580元 购买 大包装/询价 |
| 说 明 书 | 100ul |
| 产品类型 | 磷酸化抗体 |
| 研究领域 | 肿瘤 细胞生物 神经生物学 信号转导 细胞凋亡 转录调节因子 激酶和磷酸酶 |
| 抗体来源 | Rabbit |
| 克隆类型 | Polyclonal |
| 交叉反应 | Human, Mouse, Rat, Cow, |
| 产品应用 | WB=1:500-2000 ELISA=1:500-1000 IHC-P=1:400-800 IHC-F=1:400-800 Flow-Cyt=1μg/Test IF=1:100-500 (石蜡切片需做抗原修复) not yet tested in other applications. optimal dilutions/concentrations should be determined by the end user. |
| 分 子 量 | 36kDa |
| 细胞定位 | 细胞浆 |
| 性 状 | Lyophilized or Liquid |
| 浓 度 | 1mg/ml |
| 免 疫 原 | KLH conjugated synthesised phosphopeptide derived from human eIF2 alpha around the phosphorylation site of Ser51 [EL(p-S)RR]:EL(p-S)RR |
| 亚 型 | IgG |
| 纯化方法 | affinity purified by Protein A |
| 储 存 液 | 0.01M TBS(pH7.4) with 1% BSA, 0.03% Proclin300 and 50% Glycerol. |
| 保存条件 | Store at -20 °C for one year. Avoid repeated freeze/thaw cycles. The lyophilized antibody is stable at room temperature for at least one month and for greater than a year when kept at -20°C. When reconstituted in sterile pH 7.4 0.01M PBS or diluent of antibody the antibody is stable for at least two weeks at 2-4 °C. |
| PubMed | PubMed |
| 产品介绍 | background: The translation initiation factor EIF2 catalyzes the first regulated step of protein synthesis initiation, promoting the binding of the initiator tRNA to 40S ribosomal subunits. Binding occurs as a ternary complex of methionyl-tRNA, EIF2, and GTP. EIF2 is composed of 3 nonidentical subunits, the 36-kD EIF2-alpha subunit (EIF2S1), the 38-kD EIF2-beta subunit (EIF2S2; MIM 603908), and the 52-kD EIF2-gamma subunit (EIF2S3; MIM 300161). The rate of formation of the ternary complex is modulated by the phosphorylation state of EIF2-alpha (Ernst et al., 1987 [PubMed 2948954]).[supplied by OMIM, Feb 2010]. Function: Functions in the early steps of protein synthesis by forming a ternary complex with GTP and initiator tRNA. This complex binds to a 40S ribosomal subunit, followed by mRNA binding to form a 43S preinitiation complex. Junction of the 60S ribosomal subunit to form the 80S initiation complex is preceded by hydrolysis of the GTP bound to eIF-2 and release of an eIF-2-GDP binary complex. In order for eIF-2 to recycle and catalyze another round of initiation, the GDP bound to eIF-2 must exchange with GTP by way of a reaction catalyzed by eIF-2B. Subunit: Heterotrimer composed of an alpha, a beta and a gamma chain. Component of an EIF2 complex at least composed of CELF1/CUGBP1, CALR, CALR3, EIF2S1, EIF2S2, HSP90B1 and HSPA5. Interaction with METAP2 protects EIF2S1 from inhibitory phosphorylation. Interacts with ABCF1 isoform 2. Associates with ribosomes. Subcellular Location: Cytoplasmic granule. Note=The cytoplasmic granules are stress granules which are a dense aggregation in the cytosol composed of proteins and RNAs that appear when the cell is under stress. Co-localizes with NANOS3 in the stress granules. Post-translational modifications: Substrate for at least 4 kinases: EIF2AK3/PERK, GCN2, HRI and PKR. Phosphorylation stabilizes the eIF-2/GDP/eIF-2B complex and prevents GDP/GTP exchange reaction, thus impairing the recycling of eIF-2 between successive rounds of initiation and leading to global inhibition of translation. In case of infection by vaccinia virus or rotavirus A, eIF2S1 phosphorylation state is modulated. Similarity: Belongs to the eIF-2-alpha family. Contains 1 S1 motif domain. SWISS: P05198 Gene ID: 1965 Database links: Entrez Gene: 1965 Human Entrez Gene: 13665 Mouse Entrez Gene: 54318 Rat Omim: 603907 Human SwissProt: P05198 Human SwissProt: Q6ZWX6 Mouse SwissProt: P68101 Rat Unigene: 151777 Human Unigene: 196220 Mouse Unigene: 1488 Rat Important Note: This product as supplied is intended for research use only, not for use in human, therapeutic or diagnostic applications. |
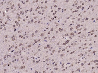
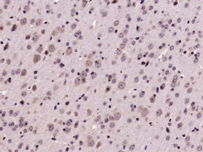
| 产品图片 | ![]() Sample: Testis (Mouse) Lysate at 40 ug Primary: Anti-Phospho-eIF2 alpha(Ser51) (bs-4842R) at 1/300 dilution Secondary: IRDye800CW Goat Anti-Rabbit IgG at 1/20000 dilution Predicted band size: 36 kD Observed band size: 34 kD ![]() Sample: Ovary (Mouse) Lysate at 40 ug Primary: Anti-Phospho-eIF2 alpha(Ser51) (bs-4842R) at 1/300 dilution Secondary: IRDye800CW Goat Anti-Rabbit IgG at 1/20000 dilution Predicted band size: 36 kD Observed band size: 34 kD ![]() Paraformaldehyde-fixed, paraffin embedded (Rat brain); Antigen retrieval by microwave in sodium citrate buffer (pH6.0) ; Block endogenous peroxidase by 3% hydrogen peroxide for 30 minutes; Blocking buffer (3% BSA) at RT for 30min; Antibody incubation with (Phospho-eIF2 alpha(Ser51)) Polyclonal Antibody, Unconjugated (bs-4842R) at 1:400 overnight at 4°C, followed by conjugation to the secondary antibody (labeled with HRP)and DAB staining. ![]() Paraformaldehyde-fixed, paraffin embedded (Mouse brain); Antigen retrieval by microwave in sodium citrate buffer (pH6.0) ; Block endogenous peroxidase by 3% hydrogen peroxide for 30 minutes; Blocking buffer (3% BSA) at RT for 30min; Antibody incubation with (Phospho-eIF2 alpha(Ser51)) Polyclonal Antibody, Unconjugated (bs-4842R) at 1:400 overnight at 4°C, followed by conjugation to the secondary antibody (labeled with HRP)and DAB staining. ![]() Blank control(blue): U-87MG(fixed with 2% paraformaldehyde (10 min), then permeabilized with 90% ice-cold methanol for 30 min on ice). Primary Antibody:Rabbit Anti-Phospho-eIF2 alpha(Ser51) antibody(bs-4842R), Dilution: 1μg in 100 μL 1X PBS containing 0.5% BSA; Isotype Control Antibody: Rabbit IgG(orange) ,used under the same conditions ); Secondary Antibody: Goat anti-rabbit IgG-PE(white blue), Dilution: 1:200 in 1 X PBS containing 0.5% BSA. |
风险提示:丁香通仅作为第三方平台,为商家信息发布提供平台空间。用户咨询产品时请注意保护个人信息及财产安全,合理判断,谨慎选购商品,商家和用户对交易行为负责。对于医疗器械类产品,请先查证核实企业经营资质和医疗器械产品注册证情况。
文献和实验帮助将抑制因子tRNA交付到核糖体的翻译因子eIF2利用GTP水解的能量来发挥功能。另一个因子eIF5已知在当eIF2与抑制因子tRNA和核糖体结合时会加快eIF2的GTP酶活性。在这项研究中,研究人员确定了eIF5的另外两个作用。 一个涉及在eIF2上稳定GDP(GTP水解的产物);另一个涉及其通过磷酸化的eIF2来发挥作用、以抑制鸟甙酸交换因子eIF2B。这些结果澄清了我们对翻译抑制怎样被调控的认识。 eIF5 has GDI activity necessary
CD51 分子 CD51 常用单克隆抗体或代号: 13C2,23C6,NK1- M7;(VNRa 链,integrin a V) 主要表达细胞: Pt,En,Meg [Pt] 分子质量(kDa)和结构: gp150,与CD61组成二聚体 功 能: 粘附VN、FN和vWF CD51 Aka vitronectin receptor-alpha chain; beta chain
的关系理不出头绪。GSK-3 beta 总蛋白减少,p-GSK-3 beta (ser 9)增加,是不是足以说明有活性的GSK-3 beta 减少更多,这样理解不知道对不对,希望给以指点。 galaxy22 楼主你好,请问你做出结果的tyr216的抗体是哪个公司的。。。我做出来总量是减少的,active B catenin是减少的,那我有必要做ser9 和tyr216的磷酸化形式吗?我想研究wnt和akt。。。 棉花糖的温柔
技术资料暂无技术资料 索取技术资料
















