相关产品推荐更多 >
万千商家帮你免费找货
0 人在求购买到急需产品
- 详细信息
- 文献和实验
- 技术资料
- 供应商:
上海联迈生物工程有限公司
- 库存:
大量
- 目录编号:
LM-10419R
- 克隆性:
多克隆
- 抗原来源:
Rabbit
- 保质期:
1年
- 抗体英文名:
GPI
- 抗体名:
糖磷脂酰肌醇抗体
- 宿主:
Rabbit
- 适应物种:
Human, Mouse, Rat, Dog, Pig, Cow, Horse,
- 免疫原:
KLH conjugated synthetic peptide derived from human Glucose 6 phosphate isomerase:401-500/558
- 亚型:
IgG
- 形态:
Lyophilized or Liquid
- 应用范围:
WB=1:500-2000 ELISA=1:500-1000 IHC-P=1:400-800 IHC-F=1:400-800 ICC=1:100-500 IF=1:100-500 (石蜡切片需做抗原修复)
- 浓度:
1mg/ml
- 保存条件:
Store at -20 °C
- 规格:
100ul 200ul
| 英文名称 | GPI |
| 中文名称 | 糖磷脂酰肌醇抗体 |
| 别 名 | Glucose 6 phosphate isomerase; AMF; Aurocrine motility factor; Autocrine motility factor; DKFZp686C13233; EC 5.3.1.9; G6PI_HUMAN; Glucose phosphate isomerase; Glucose-6-phosphate isomerase; GNPI; GPI; Gpi1; Hexose monophosphate isomerase; Hexosephosphate isomerase; Neuroleukin; NLK; Oxoisomerase; PHI; Phosphoglucose isomerase; Phosphohexomutase; Phosphohexose isomerase; Phosphosaccharomutase; SA 36; SA-36; SA36; Sperm antigen 36. |
| 规格价格 | 100ul/1380元 购买 200ul/2200元 购买 大包装/询价 |
| 说 明 书 | 100ul 200ul |
| 研究领域 | 肿瘤 细胞生物 免疫学 神经生物学 |
| 抗体来源 | Rabbit |
| 克隆类型 | Polyclonal |
| 交叉反应 | Human, Mouse, Rat, Dog, Pig, Cow, Horse, |
| 产品应用 | WB=1:500-2000 ELISA=1:500-1000 IHC-P=1:400-800 IHC-F=1:400-800 ICC=1:100-500 IF=1:100-500 (石蜡切片需做抗原修复) not yet tested in other applications. optimal dilutions/concentrations should be determined by the end user. |
| 分 子 量 | 63kDa |
| 细胞定位 | 细胞核 分泌型蛋白 |
| 性 状 | Lyophilized or Liquid |
| 浓 度 | 1mg/ml |
| 免 疫 原 | KLH conjugated synthetic peptide derived from human Glucose 6 phosphate isomerase:401-500/558 |
| 亚 型 | IgG |
| 纯化方法 | affinity purified by Protein A |
| 储 存 液 | 0.01M TBS(pH7.4) with 1% BSA, 0.03% Proclin300 and 50% Glycerol. |
| 保存条件 | Store at -20 °C for one year. Avoid repeated freeze/thaw cycles. The lyophilized antibody is stable at room temperature for at least one month and for greater than a year when kept at -20°C. When reconstituted in sterile pH 7.4 0.01M PBS or diluent of antibody the antibody is stable for at least two weeks at 2-4 °C. |
| PubMed | PubMed |
| 产品介绍 | background: This gene belongs to the GPI family whose members encode multifunctional phosphoglucose isomerase proteins involved in energy pathways. The protein encoded by this gene is a dimeric enzyme that catalyzes the reversible isomerization of glucose-6-phosphate and fructose-6-phosphate. The protein functions in different capacities inside and outside the cell. In the cytoplasm, the gene product is involved in glycolysis and gluconeogenesis, while outside the cell it functions as a neurotrophic factor for spinal and sensory neurons. Defects in this gene are the cause of nonspherocytic hemolytic anemia and a severe enzyme deficiency can be associated with hydrops fetalis, immediate neonatal death and neurological impairment. [provided by RefSeq, Jul 2008]. Function: Besides it's role as a glycolytic enzyme, mammalian GPI can function as a tumor-secreted cytokine and an angiogenic factor (AMF) that stimulates endothelial cell motility. GPI is also a neurotrophic factor (Neuroleukin) for spinal and sensory neurons. Subunit: Homodimer in the catalytically active form, monomer in the secreted form. Subcellular Location: Cytoplasm. Secreted. Post-translational modifications: Phosphorylation at Ser-185 by CK2 has been shown to decrease enzymatic activity and may contribute to secretion by a non-classical secretory pathway. ISGylated. DISEASE: Defects in GPI are the cause of hemolytic anemia non-spherocytic due to glucose phosphate isomerase deficiency (HA-GPID) [MIM:613470]. It is a form of anemia in which there is no abnormal hemoglobin or spherocytosis. It is caused by glucose phosphate isomerase deficiency. Severe GPI deficiency can be associated with hydrops fetalis, immediate neonatal death and neurological impairment. Similarity: Belongs to the GPI family. SWISS: P06744 Gene ID: 2821 Database links: Entrez Gene: 2821 Human Entrez Gene: 14751 Mouse Omim: 172400 Human SwissProt: P06744 Human SwissProt: P06745 Mouse Unigene: 466471 Human Unigene: 589 Mouse Important Note: This product as supplied is intended for research use only, not for use in human, therapeutic or diagnostic applications. |
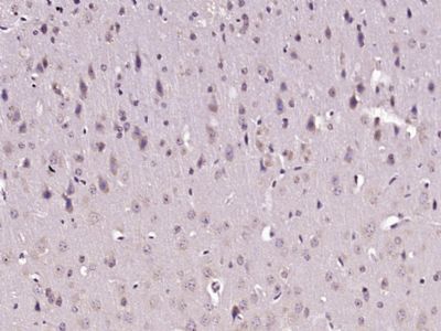
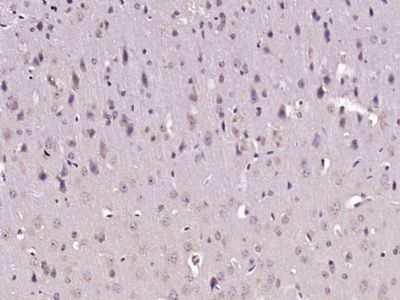
| 产品图片 | ![]() Sample: Testis (Mouse) Lysate at 40 ug Primary: Anti-GPI (bs-10419R) at 1/300 dilution Secondary: IRDye800CW Goat Anti-Rabbit IgG at 1/20000 dilution Predicted band size: 64 kD Observed band size: 64 kD ![]() Paraformaldehyde-fixed, paraffin embedded (Mouse brain); Antigen retrieval by boiling in sodium citrate buffer (pH6.0) for 15min; Block endogenous peroxidase by 3% hydrogen peroxide for 20 minutes; Blocking buffer (normal goat serum) at 37°C for 30min; Antibody incubation with (GPI) Polyclonal Antibody, Unconjugated (bs-10419R) at 1:400 overnight at 4°C, followed by operating according to SP Kit(Rabbit) (sp-0023) instructionsand DAB staining. |
风险提示:丁香通仅作为第三方平台,为商家信息发布提供平台空间。用户咨询产品时请注意保护个人信息及财产安全,合理判断,谨慎选购商品,商家和用户对交易行为负责。对于医疗器械类产品,请先查证核实企业经营资质和医疗器械产品注册证情况。
文献和实验磷脂酰肌醇途径 首先由激活的SrcPrK和ZAP-70通过LAT使膜结合的磷脂酶C(PLC)分子丁链上的酪氨酸残基发生磷酸化。磷酸化的PLC―γ发挥酶活性,使底物二磷酸磷脂酰肌醇(PIP2)水解成两个成分:三磷酸肌醇(1P3)和二酰甘油(DAG)。IP3可迅速地从膜内侧向胞质溶胶中扩散,一方面打开细胞膜上的钙通道使Ca2+ 进入细胞内,同时开启细胞内钙池(内质网)增加Ca2+ ―的释放,协同提高胞内游离钙的浓度。胞质Ca2+ 含量的上升,激活一种称为钙调
广泛地存在于微生物、植物和动物中,特别是动物脑中含量很多。 具有磷脂酰肌醇的基本结构,并在其肌醇部分有 1— 2个磷酸根,存在于脑组织中;与甘露糖等结合,比较复杂的曾在细菌中发现。例如结核菌细胞的磷脂酰肌醇( Ph- ophatidylinositol- oligomannoside)。磷脂酰肌醇是由 CDP(胞苷二磷酸)、甘油二酯( diglyceride)和肌 -肌醇生物合成的。
人 磷脂酰肌醇蛋白聚糖3 (GPC-3) 酶联免疫分析 试剂盒使用说明书 本试剂仅供研究使用 目的:本试剂盒用于测定人血清,血浆及相关液体样本中磷脂酰肌醇蛋白聚糖3 (GPC-3) 的含量。 实验原理: 本试剂盒应用双抗体夹心法测定标本中人磷脂酰肌醇蛋白聚糖 3 ( GPC-3) 水平。用纯化的人磷脂酰肌醇蛋白聚糖 3 ( GPC-3) 抗体包被微孔板,制成固相抗体,往包被单抗的微孔中依次加入磷脂酰肌醇蛋白聚糖
技术资料暂无技术资料 索取技术资料












