相关产品推荐更多 >
万千商家帮你免费找货
0 人在求购买到急需产品
- 详细信息
- 询价记录
- 文献和实验
- 技术资料
- 供应商:
上海联迈生物工程有限公司
- 库存:
大量
- 目录编号:
LM-9764R
- 克隆性:
多克隆
- 抗原来源:
Rabbit
- 保质期:
1年
- 抗体英文名:
phospho-Stathmin 1 (Ser63)
- 抗体名:
磷酸化原癌基因蛋白18抗体
- 宿主:
Rabbit
- 适应物种:
Human, Mouse, Rat, Chicken, Cow, Rabbit,
- 免疫原:
KLH conjugated synthesised phosphopeptide derived from human Stathmin 1 around the phosphorylation site of Ser63:41-140/149
- 亚型:
IgG
- 形态:
Lyophilized or Liquid
- 应用范围:
ELISA=1:500-1000 IHC-P=1:400-800 IHC-F=1:400-800 Flow-Cyt=1μg/Test IF=1:50-200 (石蜡切片需做抗原修复)
- 浓度:
1mg/ml
- 保存条件:
Store at -20 °C
- 规格:
100ul
| 英文名称 | phospho-Stathmin 1 (Ser63) |
| 中文名称 | 磷酸化原癌基因蛋白18抗体 |
| 别 名 | Stathmin 1 (phospho S63); p-Stathmin 1 (phospho S63); Stathmin 1 (Phospho-Ser63); Stathmin (Phospho Ser63); Stathmin (Phospho S63); Lag; LAP 18; LAP18; Leukemia associated phosphoprotein p18; Metablastin; Oncoprotein 18; OP 18; OP18; p18; p19; Phosphoprotein 19; Phosphoprotein p19; PP17; PP19; PR22; Pr22 protein; Prosolin; Protein Pr22; SMN; Stathmin; Stathmin1; STMN 1; STMN1; STMN1_HUMAN. |
| 规格价格 | 100ul/1580元 购买 大包装/询价 |
| 说 明 书 | 100ul |
| 产品类型 | 磷酸化抗体 |
| 研究领域 | 肿瘤 细胞生物 神经生物学 信号转导 细胞粘附分子 细胞骨架 |
| 抗体来源 | Rabbit |
| 克隆类型 | Polyclonal |
| 交叉反应 | Human, Mouse, Rat, Chicken, Cow, Rabbit, |
| 产品应用 | ELISA=1:500-1000 IHC-P=1:400-800 IHC-F=1:400-800 Flow-Cyt=1μg/Test IF=1:50-200 (石蜡切片需做抗原修复) not yet tested in other applications. optimal dilutions/concentrations should be determined by the end user. |
| 分 子 量 | 16kDa |
| 细胞定位 | 细胞浆 |
| 性 状 | Lyophilized or Liquid |
| 浓 度 | 1mg/ml |
| 免 疫 原 | KLH conjugated synthesised phosphopeptide derived from human Stathmin 1 around the phosphorylation site of Ser63:41-140/149 |
| 亚 型 | IgG |
| 纯化方法 | affinity purified by Protein A |
| 储 存 液 | 0.01M TBS(pH7.4) with 1% BSA, 0.03% Proclin300 and 50% Glycerol. |
| 保存条件 | Store at -20 °C for one year. Avoid repeated freeze/thaw cycles. The lyophilized antibody is stable at room temperature for at least one month and for greater than a year when kept at -20°C. When reconstituted in sterile pH 7.4 0.01M PBS or diluent of antibody the antibody is stable for at least two weeks at 2-4 °C. |
| PubMed | PubMed |
| 产品介绍 | background: This gene belongs to the stathmin family of genes. It encodes a ubiquitous cytosolic phosphoprotein proposed to function as an intracellular relay integrating regulatory signals of the cellular environment. The encoded protein is involved in the regulation of the microtubule filament system by destabilizing microtubules. It prevents assembly and promotes disassembly of microtubules. Multiple transcript variants encoding different isoforms have been found for this gene. [provided by RefSeq, Feb 2009] Function: Involved in the regulation of the microtubule (MT) filament system by destabilizing microtubules. Prevents assembly and promotes disassembly of microtubules. Phosphorylation at Ser-16 may be required for axon formation during neurogenesis. Involved in the control of the learned and innate fear. Subunit: Binds to two alpha/beta-tubulin heterodimers. Interacts with KIST. Subcellular Location: Cytoplasm, cytoskeleton. Tissue Specificity: Ubiquitous. Expression is strongest in fetal and adult brain, spinal cord, and cerebellum, followed by thymus, bone marrow, testis, and fetal liver. Expression is intermediate in colon, ovary, placenta, uterus, and trachea, and is readily detected at substantially lower levels in all other tissues examined. Lowest expression is found in adult liver. Present in much greater abundance in cells from patients with acute leukemia of different subtypes than in normal peripheral blood lymphocytes, non-leukemic proliferating lymphoid cells, bone marrow cells, or cells from patients with chronic lymphoid or myeloid leukemia. Post-translational modifications: Many different phosphorylated forms are observed depending on specific combinations among the sites which can be phosphorylated. MAPK is responsible for the phosphorylation of stathmin in response to NGF. Phosphorylation at Ser-16 seems to be required for neuron polarization. Phosphorylation at Ser-63 reduces tubulin binding 10-fold and suppresses the MT polymerization inhibition activity. Similarity: Belongs to the stathmin family. SWISS: P16949 Gene ID: 3925 Database links: Entrez Gene: 3925 Human Entrez Gene: 16765 Mouse Entrez Gene: 29332 Rat Omim: 151442 Human SwissProt: P16949 Human SwissProt: P54227 Mouse SwissProt: P13668 Rat Unigene: 209983 Human Unigene: 378957 Mouse Unigene: 555 Rat Important Note: This product as supplied is intended for research use only, not for use in human, therapeutic or diagnostic applications. 原癌基因蛋白18(oncogene protein 18,Op18),是一种广泛存在于细胞质的蛋白质,可与微管蛋白结合,参与微管和纺锤体的组装;与细胞的增殖、分化、再生和运动均有关,并具有信号活性调节的功能。在细胞增殖、分化的信号途径、传到通路激活中也具有多种调节功能。 近年来有研究发现,stathmin在多种肿瘤中高表达,并可通过调节微管的解聚,促进肿瘤细胞的运动及侵袭。Stathmin翻译后修饰状态的改变,可影响与p53蛋白的相互作用,参与肿瘤的发生发展. |
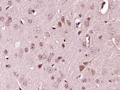
| 产品图片 | ![]() Paraformaldehyde-fixed, paraffin embedded (human brain glioma); Antigen retrieval by boiling in sodium citrate buffer (pH6.0) for 15min; Block endogenous peroxidase by 3% hydrogen peroxide for 20 minutes; Blocking buffer (normal goat serum) at 37°C for 30min; Antibody incubation with (STMN1) Polyclonal Antibody, Unconjugated (bs-9764R) at 1:400 overnight at 4°C, followed by operating according to SP Kit(Rabbit) (sp-0023) instructionsand DAB staining. ![]() Paraformaldehyde-fixed, paraffin embedded (mouse brain tissue); Antigen retrieval by boiling in sodium citrate buffer (pH6.0) for 15min; Block endogenous peroxidase by 3% hydrogen peroxide for 20 minutes; Blocking buffer (normal goat serum) at 37°C for 30min; Antibody incubation with (STMN1) Polyclonal Antibody, Unconjugated (bs-9764R) at 1:400 overnight at 4°C, followed by operating according to SP Kit(Rabbit) (sp-0023) instructionsand DAB staining. ![]() Paraformaldehyde-fixed, paraffin embedded (rat brain tissue); Antigen retrieval by boiling in sodium citrate buffer (pH6.0) for 15min; Block endogenous peroxidase by 3% hydrogen peroxide for 20 minutes; Blocking buffer (normal goat serum) at 37°C for 30min; Antibody incubation with (STMN1) Polyclonal Antibody, Unconjugated (bs-9764R) at 1:400 overnight at 4°C, followed by operating according to SP Kit(Rabbit) (sp-0023) instructionsand DAB staining. ![]() Positive control: (mo)Thymocyte (2% Paraformaldehyde-fixed ) Isotype Control Antibody: Rabbit IgG; Dilution: 1μg in 100 μl 1 X PBS containing 0.5% BSA Secondary Antibody: Goat anti-rabbit IgG-FITC; Dilution: 1:200 in 1 X PBS containing 0.5% BSA Primary Antibody: rabbit Anti-phospho-Stathmin 1 (Ser63) (bs-9764R); Dilution: 1μg in 100 μl 1X PBS containing 0.5% BSA |
风险提示:丁香通仅作为第三方平台,为商家信息发布提供平台空间。用户咨询产品时请注意保护个人信息及财产安全,合理判断,谨慎选购商品,商家和用户对交易行为负责。对于医疗器械类产品,请先查证核实企业经营资质和医疗器械产品注册证情况。
- 作者
- 内容
- 询问日期
文献和实验Using Phospho‐Motif Antibodies to Determine Kinase Substrates
phosphorylation. This unit describes the use of phospho?motif antibodies to elucidate the kinase(s) responsible for phosphorylating substrate proteins. Curr. Protoc. Mol. Biol. 101:18.20.1?18.20.11. © 2013 by John Wiley & Sons, Inc. Keywords
碧峤 wrote: pAkt有两个位点,Ser473和Thr308,其中Ser473相对容易显色。如果显色失败,可能的原因:1 上样量过少,我们一般都是30μg;2 一抗孵育时间过短,我们一般24h~48h;3 一抗是否工作有待排除 我上样量上的15ug,一抗孵育大约18个小时,就是头天下午孵育上,第二天早上就洗膜了,之前做过一次pakt,一样的过程,出了一次,再以后就没出了。今天我们换了下不同组的同一组织,比较新,试下,不知道明天出不出
), and causes activation of KOR. Agonist-activated KOR becomes a substrate for G protein receptor kinase (GRK), which phosphorylates the Ser369 residue at the C-terminal tail of the receptor in the first step in the β-Arrestin-dependent desensitization cascade
技术资料暂无技术资料 索取技术资料














