相关产品推荐更多 >
万千商家帮你免费找货
0 人在求购买到急需产品
- 详细信息
- 文献和实验
- 技术资料
- 供应商:
上海联迈生物工程有限公司
- 库存:
大量
- 目录编号:
LM-10021R
- 克隆性:
多克隆
- 抗原来源:
Rabbit
- 保质期:
1年
- 抗体英文名:
NALP3/CIAS1
- 抗体名:
细胞凋亡诱导蛋白NALP3抗体
- 宿主:
Rabbit
- 适应物种:
Human, Mouse, Rat, Dog,
- 免疫原:
KLH conjugated synthetic peptide derived from human Cryopyrin:15-120/1036
- 亚型:
IgG
- 形态:
Lyophilized or Liquid
- 应用范围:
WB=1:500-2000 ELISA=1:500-1000 IHC-P=1:400-800 IHC-F=1:400-800 ICC=1:100-500 IF=1:200-800 (石蜡切片需做抗原修复)
- 浓度:
1mg/ml
- 保存条件:
Store at -20 °C
- 规格:
50ul 100ul 200ul
| 英文名称 | NALP3/CIAS1 |
| 中文名称 | 细胞凋亡诱导蛋白NALP3抗体 |
| 别 名 | LRR and PYD domains-containing protein 3; AGTAVPRL; AII/AVP antibody Angiotensin/vasopressin receptor AII/AVP like; Angiotensin/vasopressin receptor AII/AVP-like; C1orf7; Caterpiller protein 1.1; CIAS 1; CIAS1; CLR1.1; Cold autoinflammatory syndrome 1; Cold autoinflammatory syndrome 1 protein; Cryopyrin; Familial cold autoinflammatory syndrome; FCAS; FCU; Muckle-Wells syndrome; MWS; NACHT; NACHT LRR and PYD containing protein 3; NALP 3; NALP3; NALP3_HUMAN; NLRP3; PYPAF 1; PYPAF1 antibody PYRIN containing APAF1 like protein 1; PYRIN-containing APAF1-like protein 1. |
![]() |
Specific References (6) | bs-10021R has been referenced in 6 publications.
[IF=5.29] Zendedel, Adib, et al. "Activation and Regulation of NLRP3 Inflammasome by Intrathecal Application of SDF-1a in a Spinal Cord Injury Model." Molecular Neurobiology (2015): 1-13. WB ; Rat.
PubMed:25972240
[IF=4.21] Zhou, Tianwei E., et al. "Choroidal Involution Is Associated with a Progressive Degeneration of the Outer Retinal Function in a Model of Retinopathy of Prematurity: Early Role for IL-1β." The American Journal of Pathology (2016). IHC-F ; Rat.
PubMed:27768863
[IF=4.29] Fernandez, Melissa Victoria, et al. "Ion efflux and influenza infection trigger NLRP3 inflammasome signaling in human dendritic cells." Journal of leukocyte biology 99.5 (2016): 723-734. WB ; Human.
PubMed:26574023
[IF=5.26] Debye, Berthold, et al. "Neurodegeneration and NLRP3 inflammasome expression in the anterior thalamus of SOD1 (G93A) ALS mice." Brain Pathology (2016). IF(IHC-P) ; Mouse.
PubMed:27880990
[IF=5.40] Heitzer, Marius, et al. "Administration of 17β-Estradiol Improves Motoneuron Survival and Down-regulates Inflammasome Activation in Male SOD1 (G93A) ALS Mice." Molecular Neurobiology: 1-15. WB ; Mouse.
PubMed:27957680
[IF=5.40] Zendedel, Adib, et al. "Estrogen Attenuates Local Inflammasome Expression and Activation after Spinal Cord Injury." Molecular Neurobiology (2017): 1-12. WB, IF(IHC-P) ; Rat.
PubMed:28127698
|
| 规格价格 | 50ul/780元 购买 100ul/1380元 购买 200ul/2200元 购买 大包装/询价 |
| 说 明 书 | 50ul 100ul 200ul |
| 研究领域 | 肿瘤 心血管 细胞生物 免疫学 信号转导 细胞凋亡 转录调节因子 |
| 抗体来源 | Rabbit |
| 克隆类型 | Polyclonal |
| 交叉反应 | Human, Mouse, Rat, Dog, |
| 产品应用 | WB=1:500-2000 ELISA=1:500-1000 IHC-P=1:400-800 IHC-F=1:400-800 ICC=1:100-500 IF=1:200-800 (石蜡切片需做抗原修复) not yet tested in other applications. optimal dilutions/concentrations should be determined by the end user. |
| 分 子 量 | 114kDa |
| 细胞定位 | 细胞核 细胞浆 分泌型蛋白 |
| 性 状 | Lyophilized or Liquid |
| 浓 度 | 1mg/ml |
| 免 疫 原 | KLH conjugated synthetic peptide derived from human Cryopyrin:15-120/1036 |
| 亚 型 | IgG |
| 纯化方法 | affinity purified by Protein A |
| 储 存 液 | 0.01M TBS(pH7.4) with 1% BSA, 0.03% Proclin300 and 50% Glycerol. |
| 保存条件 | Store at -20 °C for one year. Avoid repeated freeze/thaw cycles. The lyophilized antibody is stable at room temperature for at least one month and for greater than a year when kept at -20°C. When reconstituted in sterile pH 7.4 0.01M PBS or diluent of antibody the antibody is stable for at least two weeks at 2-4 °C. |
| PubMed | PubMed |
| 产品介绍 | background: May function as an inducer of apoptosis. Interacts selectively with ASC and this complex may function as an upstream activator of NF-kappa-B signaling. Inhibits TNF-alpha induced activation and nuclear translocation of RELA/NF-KB p65. Also inhibits transcriptional activity of RELA. Activates caspase-1 in response to a number of triggers including bacterial or viral infection which leads to processing and release of IL1B and IL18. Function: May function as an inducer of apoptosis. Interacts selectively with ASC and this complex may function as an upstream activator of NF-kappa-B signaling. Inhibits TNF-alpha induced activation and nuclear translocation of RELA/NF-KB p65. Also inhibits transcriptional activity of RELA. Activates caspase-1 in response to a number of triggers including bacterial or viral infection which leads to processing and release of IL1B and IL18. Subcellular Location: Cytoplasm. Tissue Specificity: Expressed in blood leukocytes. Strongly expressed in polymorphonuclear cells and osteoblasts. Undetectable or expressed at a lower magnitude in B- and T-lymphoblasts, respectively. High level of expression detected in chondrocytes. Detected in non-keratinizing epithelia of oropharynx, esophagus and ectocervix and in the urothelial layer of the bladder. DISEASE: Defects in NLRP3 are the cause of familial cold autoinflammatory syndrome type 1 (FCAS1) [MIM:120100]; also known as familial cold urticaria. FCAS are rare autosomal dominant systemic inflammatory diseases characterized by episodes of rash, arthralgia, fever and conjunctivitis after generalized exposure to cold. Defects in NLRP3 are a cause of Muckle-Wells syndrome (MWS) [MIM:191900]; also known as urticaria-deafness-amyloidosis syndrome. MWS is a hereditary periodic fever syndrome characterized by fever, chronic recurrent urticaria, arthralgias, progressive sensorineural deafness, and reactive renal amyloidosis. The disease may be severe if generalized amyloidosis occurs. Defects in NLRP3 are the cause of chronic infantile neurologic cutaneous and articular syndrome (CINCA) [MIM:607115]; also known as neonatal onset multisystem inflammatory disease (NOMID). CINCA is a rare congenital inflammatory disorder characterized by a triad of neonatal onset of cutaneous symptoms, chronic meningitis and joint manifestations with recurrent fever and inflammation. Similarity: Belongs to the NLRP family. Contains 1 DAPIN domain. Contains 9 LRR (leucine-rich) repeats. Contains 1 NACHT domain. SWISS: Q96P20 Gene ID: 114548 Database links: Entrez Gene: 114548 Human Entrez Gene: 216799 Mouse Entrez Gene: 287362 Rat Omim: 606416 Human SwissProt: Q96P20 Human SwissProt: Q8R4B8 Mouse Unigene: 159483 Human Unigene: 54174 Mouse Important Note: This product as supplied is intended for research use only, not for use in human, therapeutic or diagnostic applications. |
| 产品图片 |
Sample:
Raji (human)cell Lysate at 40 ug MCF-7 (human)cell Lysate at 40 ug siha (human)cell Lysate at 40 ug Primary: Anti- NALP3'CIAS1 (bs-10021R)at 1/300 dilution Secondary: IRDye800CW Goat Anti-Rabbit IgG at 1/20000 dilution Predicted band size: 114kD Observed band size: 114 kD
Sample:
Raji Cell (Human) Lysate at 30 ug MDA-MB-231 Cell (Human) Lysate at 30 ug Primary: Anti- CIAS1 (bs-10021R) at 1/300 dilution Secondary: IRDye800CW Goat Anti-Rabbit IgG at 1/20000 dilution Predicted band size: 114kD Observed band size: 114kD
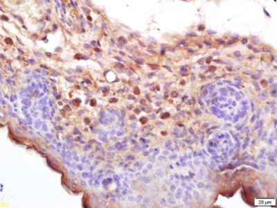
Tissue/cell: mouse embryo tissue; 4% Paraformaldehyde-fixed and paraffin-embedded;
Antigen retrieval: citrate buffer ( 0.01M, pH 6.0 ), Boiling bathing for 15min; Block endogenous peroxidase by 3% Hydrogen peroxide for 30min; Blocking buffer (normal goat serum,C-0005) at 37℃ for 20 min; Incubation: Anti-Cryopyrin/CIAS1/NALP3 Polyclonal Antibody, Unconjugated(bs-10021R) 1:200, overnight at 4°C, followed by conjugation to the secondary antibody(SP-0023) and DAB(C-0010) staining
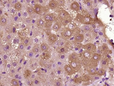
Paraformaldehyde-fixed, paraffin embedded (Human liver cancer); Antigen retrieval by boiling in sodium citrate buffer (pH6.0) for 15min; Block endogenous peroxidase by 3% hydrogen peroxide for 20 minutes; Blocking buffer (normal goat serum) at 37°C for 30min; Antibody incubation with (NALP3/CIAS1) Polyclonal Antibody, Unconjugated (bs-10021R) at 1:400 overnight at 4°C, followed by operating according to SP Kit(Rabbit) (sp-0023) instructionsand DAB staining.
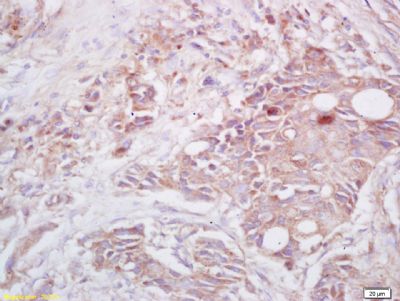
Tissue/cell: human lung carcinoma; 4% Paraformaldehyde-fixed and paraffin-embedded;
Antigen retrieval: citrate buffer ( 0.01M, pH 6.0 ), Boiling bathing for 15min; Block endogenous peroxidase by 3% Hydrogen peroxide for 30min; Blocking buffer (normal goat serum,C-0005) at 37℃ for 20 min; Incubation: Anti-Cryopyrin/CIAS1/NALP3 Polyclonal Antibody, Unconjugated(bs-10021R) 1:200, overnight at 4°C, followed by conjugation to the secondary antibody(SP-0023) and DAB(C-0010) staining
This image was generously provided by Adib Zendedel, PhD from RWTH Aachen University. Formalin-fixed and paraffin embedded rat spinal cord tissue labeled with Rabbit Anti-Cryopyrin Polyclonal Antibody, Unconjugated (bs-10021R) at 1:300 followed by conjugation to a secondary antibody
Paraformaldehyde-fixed, paraffin embedded (Human liver cancer); Antigen retrieval by boiling in sodium citrate buffer (pH6.0) for 15min; Block endogenous peroxidase by 3% hydrogen peroxide for 20 minutes; Blocking buffer (normal goat serum) at 37°C for 30min; Antibody incubation with (NALP3/CIAS1) Polyclonal Antibody, Unconjugated (bs-10021R) at 1:400 overnight at 4°C, followed by a conjugated Goat Anti-Rabbit IgG antibody (bs-0295G-AF488) for 90 minutes, and DAPI for nuclei staining.
|
风险提示:丁香通仅作为第三方平台,为商家信息发布提供平台空间。用户咨询产品时请注意保护个人信息及财产安全,合理判断,谨慎选购商品,商家和用户对交易行为负责。对于医疗器械类产品,请先查证核实企业经营资质和医疗器械产品注册证情况。
文献和实验、双甲基化或三甲基化有关。组蛋白修饰最基本的作用是调控基因表达。例如组蛋白甲基化多导致基因沉默,去甲基化则相反;乙酰化一般是转录激活,去乙酰化则相反。当然,也可在此基础上产生复杂的生物学效应。例如组蛋白去乙酰化酶 HDAC 可影响免疫系统;H3K4me3、H3K9me2 能够调控记忆的形成, 而且 H3K 甲基化与 X 染色体失活、基因组印记和异染色质形成有关;H3 乙酰化通过多种机制调控以来 ATP 的染色质重塑 [12],并参与炎症反应;H2A、H2B 泛素化则与 DNA 损害反应有关;而 H3
界权威杂志《细胞》上指出,细胞具备六大特性才能成为侵袭性细胞,这六大特性也就是癌症的恶性特征:1. 细胞必须发生突变,也就是说它们必须经过遗传性质的变异; 2. 癌细胞必须有它们自己的生长信号途径而不依赖于外界的信号; 3. 它们必须摆脱一种称为“细胞凋亡”的生理学死亡过程,即它们再也不受细胞内原有的“生命程序”的安排而成为“永生不死”; 4. 它们还会发展出无限增殖的能力,例如正常细胞大约可分裂70次,而成为恶性者便能永久分裂下去。这是因为正常细胞每分裂一次,它们染色体末端一种称为“端粒”的保护帽便会缩短
细胞基因表达谱的改变。并对筛选出的一条被称为胰腺炎诱导蛋白49(PIP49)的新基因之克隆、序列和表达进行研究。该基因在胰腺炎急性期迅速而强烈表达。对PIP49初期及后期结构的分析显示它是编码跨膜蛋白的基因。二、结肠结直肠癌、结肠息肉病等组织的基因改变,一直受到学者们的关注,然而,基因芯片技术的诞生第一次使得同时观察整体基因表达语的改变成为可能。(一)结直肠癌发病机理的研究Lin等采用基因芯片技术进行的研究显示作为β-链蛋白/T细胞因子调节通路下游的AFl7基因[急性白血病中t(11;17)(q23;q21
技术资料暂无技术资料 索取技术资料


















