相关产品推荐更多 >
万千商家帮你免费找货
0 人在求购买到急需产品
- 详细信息
- 文献和实验
- 技术资料
- 供应商:
上海康朗生物科技有限公司
- 库存:
大量
- 目录编号:
kl-20656R
- 克隆性:
多克隆
- 抗原来源:
Rabbit
- 保质期:
12个月
- 抗体英文名:
CDKN2A/p16-INK4a antibody
- 抗体名:
抑癌基因p16抗体
- 宿主:
Rabbit
- 适应物种:
Human
- 免疫原:
KLH conjugated synthetic peptide derived from human CDKN2A/p16-INK4a:81-148/148
- 亚型:
IgG
- 形态:
冻干粉或液体
- 应用范围:
WB=1:500-2000 ELISA=1:500-1000 IHC-P=1:400-800 IHC-F=1:400-800 ICC=1:100-500 IF=1:100-500
- 浓度:
1mg/ml
- 保存条件:
-20 °C
- 规格:
100ul 200ul
| 中文名称 | 抑癌基因p16抗体 |
| 别 名 | cyclin-dependent kinase inhibitor 2A; CDK4I; p16-INK4; p16-INK4a; cyclin-dependent kinase 4 inhibitor A; cyclin-dependent kinase inhibitor 2A, isoform 1; Cyclin dependent kinase inhibitor 2A (p16, inhibits CDK4); cell cycle inhibitor; cyclin-dependent kinase inhibitor 2a p16Ink4a; cell cycle regulator; cyclin-dependent kinase inhibitor 2a p19Arf; cyclin-dependent kinase inhibitor 2A, isoform 2; Cdkn2a; Arf; INK4A; MTS1; p16; p16Cdkn2a; p19ARF; CD2A1_HUMAN. |
| 规格价格 | 100ul/1380元 购买 200ul/2200元 购买 大包装/询价 |
| 说 明 书 | 100ul 200ul |
| 研究领域 | 肿瘤 细胞生物 免疫学 信号转导 细胞凋亡 细胞周期蛋白 |
| 抗体来源 | Rabbit |
| 克隆类型 | Polyclonal |
| 交叉反应 | Human, |
| 产品应用 | WB=1:500-2000 ELISA=1:500-1000 IHC-P=1:400-800 IHC-F=1:400-800 ICC=1:100-500 IF=1:100-500 (石蜡切片需做抗原修复) not yet tested in other applications. optimal dilutions/concentrations should be determined by the end user. |
| 分 子 量 | 17kDa |
| 细胞定位 | 细胞核 细胞浆 |
| 性 状 | Lyophilized or Liquid |
| 浓 度 | 1mg/ml |
| 免 疫 原 | KLH conjugated synthetic peptide derived from human CDKN2A/p16-INK4a:81-148/148 |
| 亚 型 | IgG |
| 纯化方法 | affinity purified by Protein A |
| 储 存 液 | 0.01M TBS(pH7.4) with 1% BSA, 0.03% Proclin300 and 50% Glycerol. |
| 保存条件 | Store at -20 °C for one year. Avoid repeated freeze/thaw cycles. The lyophilized antibody is stable at room temperature for at least one month and for greater than a year when kept at -20°C. When reconstituted in sterile pH 7.4 0.01M PBS or diluent of antibody the antibody is stable for at least two weeks at 2-4 °C. |
| PubMed | PubMed |
| 产品介绍 | background: This gene generates several transcript variants which differ in their first exons. At least three alternatively spliced variants encoding distinct proteins have been reported, two of which encode structurally related isoforms known to function as inhibitors of CDK4 kinase. The remaining transcript includes an alternate first exon located 20 Kb upstream of the remainder of the gene; this transcript contains an alternate open reading frame (ARF) that specifies a protein which is structurally unrelated to the products of the other variants. This ARF product functions as a stabilizer of the tumor suppressor protein p53 as it can interact with, and sequester, the E3 ubiquitin-protein ligase MDM2, a protein responsible for the degradation of p53. In spite of the structural and functional differences, the CDK inhibitor isoforms and the ARF product encoded by this gene, through the regulatory roles of CDK4 and p53 in cell cycle G1 progression, share a common functionality in cell cycle G1 control. This gene is frequently mutated or deleted in a wide variety of tumors, and is known to be an important tumor suppressor gene. [provided by RefSeq, Sep 2012]. Function: Acts as a negative regulator of the proliferation of normal cells by interacting strongly with CDK4 and CDK6. This inhibits their ability to interact with cyclins D and to phosphorylate the retinoblastoma protein. Subunit: Heterodimer with CDK4 or CDK6. Predominant p16 complexes contained CDK6. Interacts (isoforms 1,2 and 4) with CDK4 (both 'T-172'-phosphorylated and non-phosphorylated forms); the interaction inhibits cyclin D-CDK4 kinase activity. Interacts with ISCO2. Subcellular Location: Cytoplasm. Nucleus. Tissue Specificity: Widely expressed but not detected in brain or skeletal muscle. Isoform 3 is pancreas-specific. DISEASE: ote=The association between cutaneous and uveal melanomas in some families suggests that mutations in CDKN2A may account for a proportion of uveal melanomas. However, CDKN2A mutations are rarely found in uveal melanoma patients. Defects in CDKN2A are the cause of cutaneous malignant melanoma type 2 (CMM2) [MIM:155601]. Malignant melanoma is a malignant neoplasm of melanocytes, arising de novo or from a pre-existing benign nevus, which occurs most often in the skin but also may involve other sites. Defects in CDKN2A are the cause of familial atypical multiple mole melanoma-pancreatic carcinoma syndrome (FAMMMPC) [MIM:606719]. Defects in CDKN2A are a cause of Li-Fraumeni syndrome (LFS) [MIM:151623]. LFS is a highly penetrant familial cancer phenotype usually associated with inherited mutations in TP53. [DISEASE] Defects in CDKN2A are the cause of melanoma-astrocytoma syndrome (MASTS) [MIM:155755]. The melanoma-astrocytoma syndrome is characterized by a dual predisposition to melanoma and neural system tumors, commonly astrocytoma. Similarity: Belongs to the CDKN2 cyclin-dependent kinase inhibitor family. Contains 4 ANK repeats. SWISS: P42771 Gene ID: 1029 Database links: Entrez Gene: 1029 Human Omim: 600160 Human SwissProt: P42771 Human Unigene: 512599 Human
Important Note: This product as supplied is intended for research use only, not for use in human, therapeutic or diagnostic applications. |
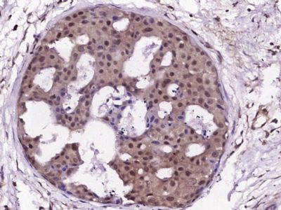
| 产品图片 | ![]() Paraformaldehyde-fixed, paraffin embedded (Human breast carcinoma); Antigen retrieval by boiling in sodium citrate buffer (pH6.0) for 15min; Block endogenous peroxidase by 3% hydrogen peroxide for 20 minutes; Blocking buffer (normal goat serum) at 37°C for 30min; Antibody incubation with (CDKN2A/p16-INK4a) Polyclonal Antibody, Unconjugated (bs-20656R) at 1:400 overnight at 4°C, followed by operating according to SP Kit(Rabbit) (sp-0023) instructionsand DAB staining. |
风险提示:丁香通仅作为第三方平台,为商家信息发布提供平台空间。用户咨询产品时请注意保护个人信息及财产安全,合理判断,谨慎选购商品,商家和用户对交易行为负责。对于医疗器械类产品,请先查证核实企业经营资质和医疗器械产品注册证情况。
文献和实验Melanoma Susceptibility Genes and Risk Assessment
Familial melanoma accounts for approximately a tenth of all melanoma cases. The most commonly known melanoma susceptibility gene is the highly penetrant CDKN2A (p16INK4a) locus, which is transmitted in an autosomal dominant fashion
Generation of Antibody Molecules Through Antibody Engineering
been overcome to a large extent using genetic-engineering techniques to produce chimeric mouse/human and completely human antibodies. Such an approach is particularly suitable because of the domain structure of the antibody molecule ( 2 ), where functional
The importance of antibody molecules was first recognized in the 1890s, when it was shown that immunity to tetanus and diphtheria was caused by antibodies against the bacterial exotoxins (1 ). Around the same time, it was shown that antisera
技术资料暂无技术资料 索取技术资料











