相关产品推荐更多 >
万千商家帮你免费找货
0 人在求购买到急需产品
- 详细信息
- 文献和实验
- 技术资料
- 免疫原:
A synthetic peptide corresponding to a sequence within amino acids 20 to the C-terminus of human CDKN2A / p16INK4a.
- 亚型:
IgG
- 形态:
Liquid
- 保存条件:
Store as concentrated solution. Centrifuge briefly prior to opening vial. For short-term storage (1-2 weeks), store at 4ºC. For long-term storage, aliquot and store at -20ºC or below. Avoid multiple freeze-thaw cycles.
- 克隆性:
Polyclonal
- 标记物:
Unconjugated
- 适应物种:
Human, Mouse, Rat
- 保质期:
12 months from the shipping date of the product.
- 抗原来源:
Human
- 目录编号:
GTX03119
- 级别:
Primary Antibodies
- 库存:
Available
- 供应商:
GeneTex
- 宿主:
Rabbit
- 应用范围:
WB, ICC/IF, IHC-P, IP
- 浓度:
Batch dependent (Please refer to the vial label for the specific concentration.)
- 靶点:
CDKN2A / p16INK4a
- 抗体英文名:
CDKN2A / p16INK4a antibody
- 抗体名:
CDKN2A / p16INK4a 抗体
- 规格:
100 μl
ICC/IF analysis of HeLa cells using GTX03119 CDKN2A / p16INK4a antibody.
Blue : DAPI for nuclear staining
Dilution : 1:100
IP analysis of HeLa cell lysate using GTX03119 CDKN2A / p16INK4a antibody.
Antibody amount : 3μg / 300μg extracts
Dilution : 1:1000
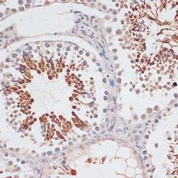
IHC-P analysis of mouse testis tissue using GTX03119 CDKN2A / p16INK4a antibody.
Dilution : 1:100
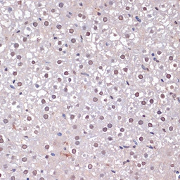
IHC-P analysis of rat liver tissue using GTX03119 CDKN2A / p16INK4a antibody.
Dilution : 1:100
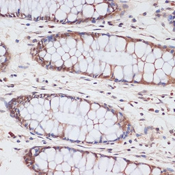
IHC-P analysis of human colon tissue using GTX03119 CDKN2A / p16INK4a antibody.
Dilution : 1:100
WB analysis of HeLa cell lysate using GTX03119 CDKN2A / p16INK4a antibody.
Dilution : 1:1000
Loading : 25μg per lane
风险提示:丁香通仅作为第三方平台,为商家信息发布提供平台空间。用户咨询产品时请注意保护个人信息及财产安全,合理判断,谨慎选购商品,商家和用户对交易行为负责。对于医疗器械类产品,请先查证核实企业经营资质和医疗器械产品注册证情况。
文献和实验Yu R et al., Int J Biol Sci 2022 (PMID:35813476)
Evaluation of Alterations in the Tumor Suppressor Genes INK4A and INK4B in Human Bladder Tumors
, have been subdivided into two groups on the basis of sequence homology. The first CKI family includes p21 Cip1 (4 –6 ), p27 Kip1 (7 –9 ), and p57 Kip2 (10 ,11 ). The other CKI subgroup includes four members: p16 INK4A/MTS1/CDKN2A (12 ,13 ), p15 INK4B/MTS
of the CDKN2A gene (also known as p16INK4A and MTS1 ) cosegregate with cases of melanoma (2 –5 ). We have hypothesized that the identification of mutation carriers may in the future allow us to direct resources to the prevention and surveillance
E2F Transcription Factors and pRb Pocket Proteins in Cell Cycle Progression
association with retinoblastoma pocket protein (pRb) family members. In turn, pRb is regulated through phosphorylation by cyclin-dependent kinase (cdk). The activity of cdk is negatively regulated by cdk-inhibitors, exemplified by p16INK4a , p21CIP1 , and p27
技术资料暂无技术资料 索取技术资料





![ZAP70 antibody [L453R]](https://img1.dxycdn.com/2023/0711/451/6106825198874858761-14.jpg!wh200)



