相关产品推荐更多 >
万千商家帮你免费找货
0 人在求购买到急需产品
- 详细信息
- 询价记录
- 技术资料
- 供应商:
上海联迈生物工程有限公司
- 库存:
大量
- 目录编号:
LM-0079R
- 克隆性:
多克隆
- 抗原来源:
Rabbit
- 保质期:
1年
- 抗体英文名:
CD19
- 抗体名:
CD19抗体
- 宿主:
Rabbit
- 适应物种:
Human, Mouse, Rat, Pig, Cow, Horse, Guinea Pig,
- 免疫原:
KLH conjugated synthetic peptide derived from human CD19 (485-526aa):485-556/556 <Cytoplasmic>
- 亚型:
IgG
- 形态:
Lyophilized or Liquid
- 应用范围:
ELISA=1:500-1000 IHC-P=1:400-800 IHC-F=1:400-800 Flow-Cyt=1μg/Test IF=1:100-500 (石蜡切片需做抗原修复)
- 浓度:
1mg/ml
- 保存条件:
Store at -20 °C
- 规格:
50ul 100ul 200ul
CD19抗体
| 英文名称 | CD19 |
| 中文名称 | CD19抗体 |
| 别 名 | Antibody deficiency due to defect in CD19, included; AW495831; B lymphocyte antigen CD19; B lymphocyte surface antigen B4; B4; CD 19; CD19 antigen; CD19 molecule; Cd19 protein; Differentiation Antigen CD19; Leu 12; Leu12; Lymphocyte Surface Antigen; MGC109570; MGC12802; T-cell surface antigen Leu-12; CD19_HUMAN. |
![]() |
Specific References (3) | bs-0079R has been referenced in 3 publications. [IF=3.54] Reese, Shannon R., et al. "Calcineurin Inhibitor Minimization With Ixazomib, an Investigational Proteasome Inhibitor, for the Prevention of Antibody Mediated Rejection in a Preclinical Model." Transplantation (2015). IHC-P ; Rat. PubMed:25919767 [IF=2.08] Takahashi, Yuichi, Yohei Ikezumi, and Akihiko Saitoh. "Rituximab protects podocytes and exerts anti‐proteinuric effects in rat adriamycin‐induced nephropathy independent of B‐lymphocytes." Nephrology (2016). Rat. PubMed:26833819 [IF=0.52] Utomo, Pamudji, et al. "Decreasing SDF1-CXCR4 Expression after Adipose-Derived Mesenchymal Stem Cells (ASCS) Treatment Combined with Freeze-Dried Amniotic Membrane Wrapping in Rat Sciatic Nerve Injury." International Journal of ChemTech Research. IF(ICC) ; Rat. PubMed:0 |
| 规格价格 | 50ul/780元 购买 100ul/1380元 购买 200ul/2200元 购买 大包装/询价 |
| 说 明 书 | 50ul 100ul 200ul |
| 研究领域 | 细胞生物 免疫学 干细胞 细胞表面分子 淋巴细胞 b-淋巴细胞 |
| 抗体来源 | Rabbit |
| 克隆类型 | Polyclonal |
| 交叉反应 | Human, Mouse, Rat, Pig, Cow, Horse, Guinea Pig, |
| 产品应用 | ELISA=1:500-1000 IHC-P=1:400-800 IHC-F=1:400-800 Flow-Cyt=1μg/Test IF=1:100-500 (石蜡切片需做抗原修复) not yet tested in other applications. optimal dilutions/concentrations should be determined by the end user. |
| 分 子 量 | 59kDa |
| 细胞定位 | 细胞膜 |
| 性 状 | Lyophilized or Liquid |
| 浓 度 | 1mg/ml |
| 免 疫 原 | KLH conjugated synthetic peptide derived from human CD19 (485-526aa):485-556/556 <Cytoplasmic> |
| 亚 型 | IgG |
| 纯化方法 | affinity purified by Protein A |
| 储 存 液 | 0.01M TBS(pH7.4) with 1% BSA, 0.03% Proclin300 and 50% Glycerol. |
| 保存条件 | Store at -20 °C for one year. Avoid repeated freeze/thaw cycles. The lyophilized antibody is stable at room temperature for at least one month and for greater than a year when kept at -20°C. When reconstituted in sterile pH 7.4 0.01M PBS or diluent of antibody the antibody is stable for at least two weeks at 2-4 °C. |
| PubMed | PubMed |
| 产品介绍 | background: CD19 is a transmembrane glycoprotein that is delectively expressed on the cell surface of B-lymphocytes,where it activates intracellular signaling cascades involving both Ras and phosphatidylinositol 3-kinase pathways.Lymphocytes proliferate and differentiate in response to various concentrations of different antigens. The ability of the B cell to respond in a specific, yet sensitive manner to the various antigens is achieved with the use of low-affinity antigen receptors. This gene encodes a cell surface molecule which assembles with the antigen receptor of B lymphocytes in order to decrease the threshold for antigen receptor-dependent stimulation. Function: Assembles with the antigen receptor of B-lymphocytes in order to decrease the threshold for antigen receptor-dependent stimulation. Subunit: Forms a complex with CD21, CD81 and CD225 in the membrane of mature B-cells. Interacts with VAV. Interacts with GRB2 and SOS when phosphorylated on Tyr-348 and/or Tyr-378. Interacts with PLCG2 when phosphorylated on Tyr-409. Interacts with LYN. Subcellular Location: Membrane; Single-pass type I membrane protein. Post-translational modifications: Phosphorylated on serine and threonine upon DNA damage, probably by ATM or ATR. Phosphorylated on tyrosine following B-cell activation. Phosphorylated on tyrosine residues by LYN. DISEASE: Defects in CD19 are the cause of immunodeficiency common variable type 3 (CVID3) [MIM:613493]; also called antibody deficiency due to CD19 defect. CVID3 is a primary immunodeficiency characterized by antibody deficiency, hypogammaglobulinemia, recurrent bacterial infections and an inability to mount an antibody response to antigen. The defect results from a failure of B-cell differentiation and impaired secretion of immunoglobulins; the numbers of circulating B-cells is usually in the normal range, but can be low. Similarity: Contains 2 Ig-like C2-type (immunoglobulin-like) domains. SWISS: P15391 Gene ID: 930 Database links: Entrez Gene: 930 Human Entrez Gene: 12478 Mouse Entrez Gene: 365367 Rat Omim: 107265 Human SwissProt: P15391 Human SwissProt: P25918 Mouse Unigene: 652262 Human Unigene: 4360 Mouse Important Note: This product as supplied is intended for research use only, not for use in human, therapeutic or diagnostic applications. CD19是一种质膜蛋白质,参与信号传导作用。表达与前B细胞和成熟的B细胞膜表面,与B细胞的活化调节和发育调节相关,在T细胞和正常粒细胞上无表达。此抗体可以特异性识别CD19,主要用于标记正常B细胞及肿瘤性B细胞。 |
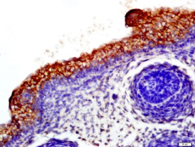
| 产品图片 | ![]() Tissue/cell: mouse fetal skin; 4% Paraformaldehyde-fixed and paraffin-embedded; Antigen retrieval: citrate buffer ( 0.01M, pH 6.0 ), Boiling bathing for 15min; Block endogenous peroxidase by 3% Hydrogen peroxide for 30min; Blocking buffer (normal goat serum,C-0005) at 37℃ for 20 min; Incubation: Anti-CD19 Polyclonal Antibody, Unconjugated(bs-0079R) 1:500, overnight at 4°C, followed by conjugation to the secondary antibody(SP-0023) and DAB(C-0010) staining ![]() ![]() Blank control (blue line): HL60 cells (blue). Primary Antibody (green line): Rabbit Anti-CD19 antibody (bs-0079R) Dilution: 1μg /10^6 cells; Isotype Control Antibody (orange line): Rabbit IgG . Secondary Antibody (white blue line): Goat anti-rabbit IgG-PE Dilution: 1μg /test. Protocol The cells were fixed with 70% methanol (Overnight at 4℃) . Cells stained with Primary Antibody for 30 min at room temperature. The cells were then incubated in 1 X PBS/2%BSA/10% goat serum to block non-specific protein-protein interactions followed by the antibody for 15 min at room temperature. The secondary antibody used for 40 min at room temperature. Acquisition of 20,000 events was performed. ![]() Blank control: Raji(blue). Primary Antibody: Rabbit Anti-CD19 antibody(bs-0079R), Dilution: 5μg in 100 μL 1X PBS containing 0.5% BSA; Isotype Control Antibody: Rabbit IgG (orange) ,used under the same conditions. Secondary Antibody: Goat anti-rabbit IgG-PE(white blue), Dilution: 1:200 in 1 X PBS containing 0.5% BSA. Protocol Primary antibody (bs-0079R, 5μg /1x10^6 cells) were incubated for 30 min on the ice, followed by 1 X PBS containing 0.5% BSA + 1 0% goat serum (15 min) to block non-specific protein-protein interactions. Then the Goat Anti-rabbit IgG/PE antibody was added into the blocking buffer mentioned above to react with the primary antibody at 1/200 dilution for 30 min on ice. Acquisition of 20,000 events was performed. |
风险提示:丁香通仅作为第三方平台,为商家信息发布提供平台空间。用户咨询产品时请注意保护个人信息及财产安全,合理判断,谨慎选购商品,商家和用户对交易行为负责。对于医疗器械类产品,请先查证核实企业经营资质和医疗器械产品注册证情况。
- 作者
- 内容
- 询问日期
技术资料暂无技术资料 索取技术资料
CD19抗体
¥780 - 2200














