相关产品推荐更多 >
万千商家帮你免费找货
0 人在求购买到急需产品
- 详细信息
- 文献和实验
- 技术资料
- 供应商:
上海康朗生物科技有限公司
- 库存:
大量
- 目录编号:
kl-1756R
- 克隆性:
多克隆
- 抗原来源:
Rabbit
- 保质期:
12个月
- 抗体英文名:
alpha Elastin/Tropoelastin antibody
- 抗体名:
α弹性蛋白抗体
- 宿主:
Rabbit
- 适应物种:
Human, Mouse, Rat,
- 免疫原:
KLH conjugated synthetic peptide derived from human Elastin:681-786/786
- 亚型:
IgG
- 形态:
冻干粉或液体
- 应用范围:
WB=1:500-2000 ELISA=1:500-1000 IHC-P=1:400-800 IHC-F=1:400-800 Flow-Cyt=1μg /test IF=1:100-500
- 浓度:
1mg/ml
- 保存条件:
-20 °C
- 规格:
50ul 100ul 200ul
| 中文名称 | α弹性蛋白抗体 |
| 别 名 | Elastin alpha; Elastin; Elastin isoform a; ELN; ELN_HUMAN; FLJ38671; FLJ43523; Supravalvular aortic stenosis; SVAS; Tropoelastin; WBS; Williams Beuren syndrome; Williams syndrome region; WS. |
![]() |
Specific References (3) | bs-1756R has been referenced in 3 publications. [IF=6.87] Konii, Hanae, et al. "Stimulatory Effects of Cardiotrophin 1 on Atherosclerosis."Hypertension?(2013): HYPERTENSIONAHA-113 WB ; Human. PubMed:24041953 [IF=3.55] Guo, Hong-Feng, et al. "Piezoelectric PU/PVDF electrospun scaffolds for wound healing applications." Colloids and Surfaces B: Biointerfaces (2012). WB ; Mouse. PubMed:22503631 [IF=3.53] Hasegawa A, Sato K, Shirai R, Watanabe R, Yamamoto K, et al. (2014) Vasoprotective Effects of Urocortin 1 against Atherosclerosis In Vitro and In Vivo. PLoS ONE 9(12): e110866 WB ; Human. PubMed:5462164 |
| 规格价格 | 50ul/780元 购买 100ul/1380元 购买 200ul/2200元 购买 大包装/询价 |
| 说 明 书 | 50ul 100ul 200ul |
| 研究领域 | 肿瘤 免疫学 神经生物学 转录调节因子 |
| 抗体来源 | Rabbit |
| 克隆类型 | Polyclonal |
| 交叉反应 | Human, Mouse, Rat, |
| 产品应用 | WB=1:500-2000 ELISA=1:500-1000 IHC-P=1:400-800 IHC-F=1:400-800 Flow-Cyt=1μg /test IF=1:100-500 (石蜡切片需做抗原修复) not yet tested in other applications. optimal dilutions/concentrations should be determined by the end user. |
| 分 子 量 | 70kDa |
| 细胞定位 | 细胞外基质 分泌型蛋白 |
| 性 状 | Lyophilized or Liquid |
| 浓 度 | 1mg/ml |
| 免 疫 原 | KLH conjugated synthetic peptide derived from human Elastin:681-786/786 |
| 亚 型 | IgG |
| 纯化方法 | affinity purified by Protein A |
| 储 存 液 | 0.01M TBS(pH7.4) with 1% BSA, 0.03% Proclin300 and 50% Glycerol. |
| 保存条件 | Store at -20 °C for one year. Avoid repeated freeze/thaw cycles. The lyophilized antibody is stable at room temperature for at least one month and for greater than a year when kept at -20°C. When reconstituted in sterile pH 7.4 0.01M PBS or diluent of antibody the antibody is stable for at least two weeks at 2-4 °C. |
| PubMed | PubMed |
| 产品介绍 | background: Elastin is a major structural protein of tissues such as aorta, which must expand rapidly and recover completely. Elastin chains are cross-linked together into an extensible 3D network. It is a molecular determinant of late arterial morphogenesis, stabilizing arterial structure by regulating proliferation and organization of vascular smooth muscle. Elastin forms a complex with BGN and MFAP2. Function: Major structural protein of tissues such as aorta and nuchal ligament, which must expand rapidly and recover completely. Molecular determinant of the late arterial morphogenesis, stabilizing arterial structure by regulating proliferation and organization of vascular smooth muscle. Subunit: The polymeric elastin chains are cross-linked together into an extensible 3D network. Forms a ternary complex with BGN and MFAP2. Interacts with MFAP2 via divalent cations (calcium > magnesium > manganese) in a dose-dependent and saturating manner. Subcellular Location: Secreted, extracellular space, extracellular matrix. Note=Extracellular matrix of elastic fibers. Tissue Specificity: Expressed within the outer myometrial smooth muscle and throughout the arteriolar tree of uterus (at protein level). Also expressed in the large arteries, lung and skin. DISEASE: Defects in ELN are the cause of cutis laxa, autosomal dominant, type 1 (ADCL1) . A connective tissue disorder characterized by loose, hyperextensible skin with decreased resilience and elasticity leading to a premature aged appearance. Face, hands, feet, joints, and torso may be differentially affected. Additional variable clinical features are gastrointestinal diverticula, hernia, and genital prolapse. Rare manifestations are pulmonary artery stenosis, aortic aneurysm, bronchiectasis, and emphysema. Similarity: Belongs to the elastin family. SWISS: P15502 Gene ID: 2006 Database links: Entrez Gene: 2006 Human Entrez Gene: 13717 Mouse Omim: 130160 Human SwissProt: P15502 Human SwissProt: P54320 Mouse Unigene: 647061 Human Important Note: This product as supplied is intended for research use only, not for use in human, therapeutic or diagnostic applications. |
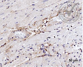
| 产品图片 | ![]() Sample: Lung (Mouse) Lysate at 30 ug Primary: Anti- alpha Elastin/Tropoelastin (bs-1756R) at 1/300 dilution Secondary: IRDye800CW Goat Anti-Mouse IgG at 1/10000 dilution Predicted band size: 70 kD Observed band size: 68 kD ![]() Images provided the Independent Validation Program (badge number 28751): Formalin-fixed and paraffin embedded mouse heart labeled with Rabbit Anti-alpha Elastin Polyclonal Antibody (bs-1756R) at 1:1000 4 ∑C temperature overnight 4 ∑C followed by conjugation to secondary antibody. ![]() The figure annotation: The blue histogram is unstained cells.The green histogram is cells stained with Rabbit Anti-alpha Elastin/Tropoelastin antibody (bs-1756R)plus secondary antibody. Controls: Positive control: A549 cells .Isotype control: Cell lines treated with rabbit IgG (bs-0295P)instead of the primary antibody to confirm that primary antibody binding is specific.Secondary only control: Both cell lines treated with Goat Anti-rabbit IgG/FITC antibody (bs-0295G-FITC) to confirm no background signal produced from secondary antibody alone. 1ug in 100uL 1 X PBS containing 0.5% BSA. |
风险提示:丁香通仅作为第三方平台,为商家信息发布提供平台空间。用户咨询产品时请注意保护个人信息及财产安全,合理判断,谨慎选购商品,商家和用户对交易行为负责。对于医疗器械类产品,请先查证核实企业经营资质和医疗器械产品注册证情况。
文献和实验In situ hybridisation to alpha satellite sequences (chromosome specific)
Alpha satellite sequences, whilst highly repetitive, are specific to each individual chromosome. These sequences flank the centromeres and can present a target measured in megabases. In this protocol a biotin or digoxigenin labelled DNA
位升高),不知道我的这个结果是否可以说明gsk活性降低了?还是一定需要第九位的结果才能解释这个问题?似乎也有些人说216特异性不强,没有第九位有说服力,不是很能理解这其中的原因,再次感谢你! ylhuang0502 As for the GSK phosphorylation, it is clear now that, GSK serine phosphorylation (S9 for beta and S21 for alpha
CD11a/CD11b/CD11c 分子 CDlla 常用单克隆抗体或代号:MHM24, 2F12; CRIS―3(LFA―lα链,整合素α1) 主要表达细胞:Leu[A5] 分子质量(kDa)和结构:spl80(整合素α) 功 能:与1CAM-l(CD54)、ICAM-2(CDl02)、ICAM-3(C1350)结合,介导细胞黏附;与JAMl结合,参与白细胞穿过内皮细胞
技术资料暂无技术资料 索取技术资料














