相关产品推荐更多 >
万千商家帮你免费找货
0 人在求购买到急需产品
- 详细信息
- 文献和实验
- 技术资料
- 供应商:
上海康朗生物科技有限公司
- 库存:
大量
- 目录编号:
kl-1559R
- 克隆性:
多克隆
- 抗原来源:
Rabbit
- 保质期:
12个月
- 抗体英文名:
GLP-1R antibody
- 抗体名:
胰高血糖素样肽-1受体/GLP-1受体抗体
- 宿主:
Rabbit
- 适应物种:
Human, Mouse, Rat, Dog,
- 免疫原:
KLH conjugated synthetic peptide derived from human GLP-1R C-terminus:101-200/463 <Extracellular>
- 亚型:
IgG
- 形态:
冻干粉或液体
- 应用范围:
WB=1:500-2000 ELISA=1:500-1000 IHC-P=1:400-800 IHC-F=1:400-800 ICC=1:100-500 IF=1:100-500
- 浓度:
1mg/ml
- 保存条件:
-20 °C
- 规格:
50ul 100ul 200ul
| 中文名称 | 胰高血糖素样肽-1受体/GLP-1受体抗体 |
| 别 名 | Glucagon like peptide-1 receptor; GLP 1 R; GLP 1 receptor; GLP 1R; Glp1r; GLP; glp1r; Glucagon like peptide 1 receptor; RATGL1RCP; Glip;MGC138331; GLP-1-R; GLP1R_HUMAN; Glucagon-like peptide 1 receptor; GLP-1 receptor; GLP-1-R; GLP-1R; Precursor. |
![]() |
Specific References (2) | bs-1559R has been referenced in 2 publications. [IF=5.71] Zhou, Hao, et al. "Exendin-4 protects ADMSCs from apoptosis induced by Hydrogen peroxide through PI3K/Akt-Sfrp2 pathways." Free Radical Biology and Medicine (2014). Rat. PubMed:25452142 [IF=3.06] Nagai, Takuo, et al. "Linagliptin Ameliorates Methylglyoxal-Induced Peritoneal Fibrosis in Mice." PLOS ONE 11.8 (2016): e0160993. WB, IHC-P ; Mouse. PubMed:27513960 |
| 规格价格 | 50ul/780元 购买 100ul/1380元 购买 200ul/2200元 购买 大包装/询价 |
| 说 明 书 | 50ul 100ul 200ul |
| 研究领域 | 免疫学 生长因子和激素 糖尿病 |
| 抗体来源 | Rabbit |
| 克隆类型 | Polyclonal |
| 交叉反应 | Human, Mouse, Rat, Dog, |
| 产品应用 | WB=1:500-2000 ELISA=1:500-1000 IHC-P=1:400-800 IHC-F=1:400-800 ICC=1:100-500 IF=1:100-500 (石蜡切片需做抗原修复) not yet tested in other applications. optimal dilutions/concentrations should be determined by the end user. |
| 分 子 量 | 51kDa |
| 细胞定位 | 细胞浆 细胞膜 |
| 性 状 | Lyophilized or Liquid |
| 浓 度 | 1mg/ml |
| 免 疫 原 | KLH conjugated synthetic peptide derived from human GLP-1R C-terminus:101-200/463 <Extracellular> |
| 亚 型 | IgG |
| 纯化方法 | affinity purified by Protein A |
| 储 存 液 | 0.01M TBS(pH7.4) with 1% BSA, 0.03% Proclin300 and 50% Glycerol. |
| 保存条件 | Store at -20 °C for one year. Avoid repeated freeze/thaw cycles. The lyophilized antibody is stable at room temperature for at least one month and for greater than a year when kept at -20°C. When reconstituted in sterile pH 7.4 0.01M PBS or diluent of antibody the antibody is stable for at least two weeks at 2-4 °C. |
| PubMed | PubMed |
| 产品介绍 | background: GLP1R is a receptor for glucagon-like peptide 1. The activity of this receptor is mediated by G proteins which activate adenylyl cyclase.It has been suggested that this protein influences the feelings of satiety or hunger, sensation of glucose levels, control of glucagon sensitivity of islets, and non insulin-dependent diabetes mellitus. GLP1R is believed to be expressed in human pancreas,lung, brain, stomach, kidney and heart. ESTs have been isolated from skin and kidney libraries. Function: This is a receptor for glucagon-like peptide 1. The activity of this receptor is mediated by G proteins which activate adenylyl cyclase. Subunit: May form homodimers and heterodimers with GIPR. Subcellular Location: Cell membrane; Multi-pass membrane protein. Post-translational modifications: N-glycosylation enhances cell surface expression and lengthens receptor half-life by preventing degradation in the ER. Similarity: Belongs to the G-protein coupled receptor 2 family. SWISS: O35659 Gene ID: 2740 Database links: Entrez Gene: 2740 Human Entrez Gene: 14652 Mouse Entrez Gene: 25051 Rat Omim: 138032 Human SwissProt: P43220 Human SwissProt: O35659 Mouse SwissProt: P32301 Rat Unigene: 389103 Human Unigene: 390969 Mouse Unigene: 11408 Rat Important Note: This product as supplied is intended for research use only, not for use in human, therapeutic or diagnostic applications. GLP-1R是GLP-1在体内作用的主要靶点,它是一个7次跨膜的G蛋白偶联受体,以cAMP为主要第二信使。GLP-1与GLP-1R结合过程是一个两结构域相互作用的过程,都与胰岛素分泌和糖代谢调节密切相关。 |
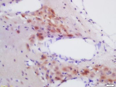
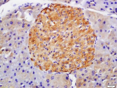
| 产品图片 | ![]() Sample: Cerebrum(Rat) Lysate at 40 ug Primary: Anti-GLP-1R (bs-1559R) at 1/300 dilution Secondary: IRDye800CW Goat Anti-Rabbit IgG at 1/20000 dilution Predicted band size: 51 kD Observed band size: 51 kD ![]() Sample: Liver(Mouse) lysate at 30 ug; Primary: Anti- GLP-1R (bs-1559R) at 1:300 dilution; Secondary: HRP conjugated Goat-Anti-rabbit IgG(bs-0295G-HRP) at 1: 5000 dilution; Predicted band size: 51 kD Observed band size: 51 kD ![]() Tissue/cell: mouse pancreas tissue; 4% Paraformaldehyde-fixed and paraffin-embedded; Antigen retrieval: citrate buffer ( 0.01M, pH 6.0 ), Boiling bathing for 15min; Block endogenous peroxidase by 3% Hydrogen peroxide for 30min; Blocking buffer (normal goat serum,C-0005) at 37℃ for 20 min; Incubation: Anti-GLP-1R Polyclonal Antibody, Unconjugated(bs-1559R) 1:200, overnight at 4°C, followed by conjugation to the secondary antibody(SP-0023) and DAB(C-0010) staining ![]() Tissue/cell: rat brain tissue; 4% Paraformaldehyde-fixed and paraffin-embedded; Antigen retrieval: citrate buffer ( 0.01M, pH 6.0 ), Boiling bathing for 15min; Block endogenous peroxidase by 3% Hydrogen peroxide for 30min; Blocking buffer (normal goat serum,C-0005) at 37℃ for 20 min; Incubation: Anti-GLP-1R Polyclonal Antibody, Unconjugated(bs-1559R) 1:200, overnight at 4°C, followed by conjugation to the secondary antibody(SP-0023) and DAB(C-0010) staining |
风险提示:丁香通仅作为第三方平台,为商家信息发布提供平台空间。用户咨询产品时请注意保护个人信息及财产安全,合理判断,谨慎选购商品,商家和用户对交易行为负责。对于医疗器械类产品,请先查证核实企业经营资质和医疗器械产品注册证情况。
文献和实验小鼠基质细胞衍生因子-1R(SDF-1R)ELISA试剂盒 说明书
上海西唐生物科技有限公司 021-55229872, 65333639 www.westang.com 小鼠基质细胞衍生因子-1 R (SDF-1 R )ELISA 试剂盒 ( 用于血浆、细胞培养上清液和生物体液内 ) 原理 本实验采用双抗体夹心 ABC-ELISA 法。用抗小鼠SDF-1R 单抗包被于酶标板上,标准品和样品中的 SDF-1R与单抗结合,加入生物
小鼠胰高血糖素样肽-1(GLP-1) (GLP-1)ELISA试剂盒 说明书
上海西唐生物科技有限公司 021-55229872, 65333639 www.westang.com 小鼠胰高血糖素样肽-1 (GLP-1) ( GLP-1 )ELISA 试剂盒 ( 用于血清、血浆、细胞培养上清液和其它生物体液内 ) 原理 本实验采用双抗体夹心 ABC-ELISA 法。用抗小鼠 GLP-1 单抗包被于酶标板上,标准品和样品中的 GLP-1与单抗
Generation and Characterization of MacGreen Mice, the Cfs1r-EGFP Transgenic Mice
-fms (Csf1r ) protooncogene. The c-fms gene is expressed in macrophage, trophoblast cell lineages, and to some extent granulocytes. A reporter gene construct containing 3.5-kb of 5′ flanking sequence and the downstream intron 2 of the c-fms gene
技术资料暂无技术资料 索取技术资料















