相关产品推荐更多 >
万千商家帮你免费找货
0 人在求购买到急需产品
- 详细信息
- 文献和实验
- 技术资料
- 供应商:
上海康朗生物科技有限公司
- 库存:
大量
- 目录编号:
kl-6335R
- 克隆性:
多克隆
- 抗原来源:
Rabbit
- 保质期:
12个月
- 抗体英文名:
ALOX15B antibody
- 抗体名:
花生四烯酸15脂氧合酶2抗体
- 宿主:
Rabbit
- 适应物种:
Human, Mouse, Rat, Pig, Cow, Horse, Rabbit,
- 免疫原:
KLH conjugated synthetic peptide derived from human ALOX15B/15 Lipoxygenase 2:13-110/676
- 亚型:
IgG
- 形态:
冻干粉或液体
- 应用范围:
ELISA=1:500-1000 IHC-P=1:400-800 IHC-F=1:400-800 IF=1:100-500
- 浓度:
1mg/ml
- 保存条件:
-20 °C
- 规格:
100ul 200ul
| 中文名称 | 花生四烯酸15脂氧合酶2抗体 |
| 别 名 | 15 LO 2; 15 LOX 2; 15-lipoxygenase 2; 15-LOX-2; 15-LOX-B; ALOX15B; Arachidonate 15 lipoxygenase second type; Arachidonate 15 lipoxygenase type II; Arachidonate 15-lipoxygenase B; Arachidonate 15-lipoxygenase type II; LX15B_HUMAN; ALOX8_MOUSE; Arachidonate 8S-lipoxygenase; 8-LOX; 8S-LOX; 15-lipoxygenase 2; Arachidonate 15-lipoxygenase B; 15-LOX-B. |
| 规格价格 | 100ul/1380元 购买 200ul/2200元 购买 大包装/询价 |
| 说 明 书 | 100ul 200ul |
| 研究领域 | 肿瘤 心血管 细胞生物 信号转导 |
| 抗体来源 | Rabbit |
| 克隆类型 | Polyclonal |
| 交叉反应 | Human, Mouse, Rat, Pig, Cow, Horse, Rabbit, |
| 产品应用 | ELISA=1:500-1000 IHC-P=1:400-800 IHC-F=1:400-800 IF=1:100-500 (石蜡切片需做抗原修复) not yet tested in other applications. optimal dilutions/concentrations should be determined by the end user. |
| 分 子 量 | 74kDa |
| 细胞定位 | 细胞浆 |
| 性 状 | Lyophilized or Liquid |
| 浓 度 | 1mg/ml |
| 免 疫 原 | KLH conjugated synthetic peptide derived from human ALOX15B/15 Lipoxygenase 2:13-110/676 |
| 亚 型 | IgG |
| 纯化方法 | affinity purified by Protein A |
| 储 存 液 | 0.01M TBS(pH7.4) with 1% BSA, 0.03% Proclin300 and 50% Glycerol. |
| 保存条件 | Store at -20 °C for one year. Avoid repeated freeze/thaw cycles. The lyophilized antibody is stable at room temperature for at least one month and for greater than a year when kept at -20°C. When reconstituted in sterile pH 7.4 0.01M PBS or diluent of antibody the antibody is stable for at least two weeks at 2-4 °C. |
| PubMed | PubMed |
| 产品介绍 | background: Converts arachidonic acid exclusively to 15S-hydroperoxyeicosatetraenoic acid, while linoleic acid is less well metabolized. Tissue specificity: Expressed in hair, prostate, lung and cornea. Function: Converts arachidonic acid exclusively to 15S-hydroperoxyeicosatetraenoic acid, while linoleic acid is less well metabolized. Subcellular Location: Cytoplasm. Tissue Specificity: Expressed in hair, prostate, lung and cornea. Similarity: Belongs to the lipoxygenase family. Contains 1 lipoxygenase domain. Contains 1 PLAT domain. SWISS: O15296 Gene ID: 247 Database links: Entrez Gene: 247 Human Entrez Gene: 11688 Mouse Entrez Gene: 266604 Rat Omim: 603697 Human SwissProt: O15296 Human SwissProt: O35936 Mouse SwissProt: Q5NCF6 Mouse SwissProt: Q5NCF7 Mouse SwissProt: Q8K4F2 Rat Unigene: 111256 Human Unigene: 289672 Mouse Unigene: 86437 Rat Important Note: This product as supplied is intended for research use only, not for use in human, therapeutic or diagnostic applications. |
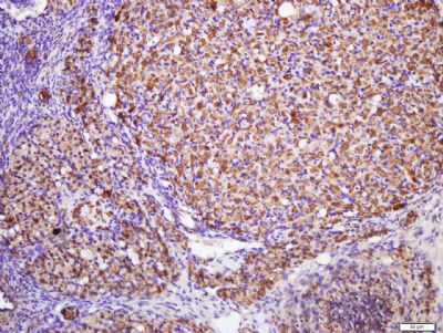
| 产品图片 | ![]() Paraformaldehyde-fixed, paraffin embedded (rat ovary tissue); Antigen retrieval by boiling in sodium citrate buffer (pH6.0) for 15min; Block endogenous peroxidase by 3% hydrogen peroxide for 20 minutes; Blocking buffer (normal goat serum) at 37°C for 30min; Antibody incubation with (ALOX15B) Polyclonal Antibody, Unconjugated (bs-6335R) at 1:500 overnight at 4°C, followed by a conjugated secondary (sp-0023) for 20 minutes and DAB staining |
风险提示:丁香通仅作为第三方平台,为商家信息发布提供平台空间。用户咨询产品时请注意保护个人信息及财产安全,合理判断,谨慎选购商品,商家和用户对交易行为负责。对于医疗器械类产品,请先查证核实企业经营资质和医疗器械产品注册证情况。
文献和实验Generation of Antibody Molecules Through Antibody Engineering
been overcome to a large extent using genetic-engineering techniques to produce chimeric mouse/human and completely human antibodies. Such an approach is particularly suitable because of the domain structure of the antibody molecule ( 2 ), where functional
The importance of antibody molecules was first recognized in the 1890s, when it was shown that immunity to tetanus and diphtheria was caused by antibodies against the bacterial exotoxins (1 ). Around the same time, it was shown that antisera
General comments: Antibodies, like most proteins, do not like to be freeze-thawed. Avoid repetitive freezing of your solution. The best way to store your antibody is to keep a high protein concentration (>1 mg/ml), add some protease
技术资料暂无技术资料 索取技术资料











