相关产品推荐更多 >
万千商家帮你免费找货
0 人在求购买到急需产品
- 详细信息
- 文献和实验
- 技术资料
- 供应商:
上海康朗生物科技有限公司
- 库存:
大量
- 目录编号:
kl-33034M
- 克隆性:
多克隆
- 抗原来源:
Mouse
- 保质期:
12个月
- 抗体英文名:
Beta tubulin(Loading Control) antibody
- 抗体名:
微管蛋白β tubulin/Tubulin β单克隆抗体(内参抗体)
- 宿主:
Mouse
- 适应物种:
Human, Mouse, Rat, Chicken, Dog, Pig, Cow, Rabbit, Sheep, Guinea Pig, Monkey, Insect, Yeast
- 免疫原:
KLH conjugated synthetic peptide derived from human Beta tubulin:
- 亚型:
IgG
- 形态:
冻干粉或液体
- 应用范围:
WB=1:5000-20000 ELISA=1:5000-10000 IHC-P=1:400-800 IHC-F=1:200-500 ICC=1:100-500 IF=1:200-500
- 浓度:
1mg/ml
- 保存条件:
-20 °C
- 规格:
50ul 100ul 200ul
| 中文名称 | 微管蛋白β tubulin/Tubulin β单克隆抗体(内参抗体) |
| 别 名 | Beta 4 tubulin; Beta 5 tubulin; beta Ib tubulin; Beta1 tubulin; Class I beta tubulin; M40; MGC117247; MGC16435; OK/SW cl.56; OK/SWcl.56; TBB5_HUMAN; TUBB 1; TUBB 2; TUBB 5; TUBB; TUBB1; TUBB2; TUBB5; tubulin beta 1 chain; Tubulin beta 2 chain; tubulin beta 5 chain; Tubulin beta chain; Tubulin beta class I; tubulin beta polypeptide; Tubulin beta-5 chain. |
| 规格价格 | 50ul/580元 购买 100ul/920元 购买 200ul/1600元 购买 大包装/询价 |
| 说 明 书 | 50ul 100ul 200ul |
| 产品类型 | 内参抗体 |
| 研究领域 | 细胞骨架 细胞外基质 |
| 抗体来源 | Mouse |
| 克隆类型 | Monoclonal |
| 克 隆 号 | 7G3 |
| 交叉反应 | Human, Mouse, Rat, Chicken, Dog, Pig, Cow, Rabbit, Sheep, Guinea Pig, Monkey, Insect, Yeast |
| 产品应用 | WB=1:5000-20000 ELISA=1:5000-10000 IHC-P=1:400-800 IHC-F=1:200-500 ICC=1:100-500 IF=1:200-500 (石蜡切片需做抗原修复) not yet tested in other applications. optimal dilutions/concentrations should be determined by the end user. |
| 分 子 量 | 55kDa |
| 细胞定位 | 细胞浆 |
| 性 状 | Lyophilized or Liquid |
| 浓 度 | 1mg/ml |
| 免 疫 原 | KLH conjugated synthetic peptide derived from human Beta tubulin: |
| 亚 型 | IgG1 |
| 纯化方法 | affinity purified by Protein G |
| 储 存 液 | 0.01M TBS(pH7.4) with 1% BSA, 0.03% Proclin300 and 50% Glycerol. |
| 保存条件 | Store at -20 °C for one year. Avoid repeated freeze/thaw cycles. The lyophilized antibody is stable at room temperature for at least one month and for greater than a year when kept at -20°C. When reconstituted in sterile pH 7.4 0.01M PBS or diluent of antibody the antibody is stable for at least two weeks at 2-4 °C. |
| PubMed | PubMed |
| 产品介绍 | background: This gene encodes a beta tubulin protein. This protein forms a dimer with alpha tubulin and acts as a structural component of microtubules. Mutations in this gene cause cortical dysplasia, complex, with other brain malformations 6. Alternative splicing results in multiple splice variants. There are multiple pseudogenes for this gene on chromosomes 1, 6, 7, 8, 9, and 13. [provided by RefSeq, Jun 2014] Function: Tubulin is the major constituent of microtubules. It binds two moles of GTP, one at an exchangeable site on the beta chain and one at a non-exchangeable site on the alpha chain. Subunit: Dimer of alpha and beta chains. May interact with RNABP10. Interacts with PIFO. Interacts with MX1. Subcellular Location: Cytoplasmic, cytoskeleton. Tissue Specificity: Ubiquitously expressed with highest levels in spleen, thymus and immature brain. Post-translational modifications: Some glutamate residues at the C-terminus are polyglutamylated. This modification occurs exclusively on glutamate residues and results in polyglutamate chains on the gamma-carboxyl group. Also monoglycylated but not polyglycylated due to the absence of functional TTLL10 in human. Monoglycylation is mainly limited to tubulin incorporated into axonemes (cilia and flagella) whereas glutamylation is prevalent in neuronal cells, centrioles, axonemes, and the mitotic spindle. Both modifications can coexist on the same protein on adjacent residues, and lowering glycylation levels increases polyglutamylation, and reciprocally. The precise function of such modifications is still unclear but they regulate the assembly and dynamics of axonemal microtubules (Probable). Similarity: Belongs to the tubulin family. SWISS: P07437 Gene ID: 203068 Database links: Entrez Gene: 203068 Human Entrez Gene: 22154 Mouse Entrez Gene: 29214 Rat Omim: 191130 Human SwissProt: P07437 Human SwissProt: P99024 Mouse SwissProt: P69897 Rat Unigene: 636480 Human Unigene: 2458 Rat Important Note: This product as supplied is intended for research use only, not for use in human, therapeutic or diagnostic applications. |
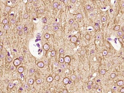
| 产品图片 | ![]() Sample: U87MG Cell (Human) Lysate at 40 ug SW480 Cell (Human) Lysate at 40 ug Primary: Anti- Beta tubulin (bsm-33034M) at 1/2 000 dilution Secondary: IRDye800CW Goat Anti-Mouse IgG at 1/20000 dilution Predicted band size: 55 kD Observed band size: 55 kD ![]() Paraformaldehyde-fixed, paraffin embedded (Mouse brain); Antigen retrieval by boiling in sodium citrate buffer (pH6.0) for 15min; Block endogenous peroxidase by 3% hydrogen peroxide for 20 minutes; Blocking buffer (normal goat serum) at 37°C for 30min; Antibody incubation with (Beta tubulin) Monoclonal Antibody, Unconjugated (bsm-33034M) at 1:400 overnight at 4°C, followed by operating according to SP Kit(Mouse) (sp-0024) instructionsand DAB staining. |
风险提示:丁香通仅作为第三方平台,为商家信息发布提供平台空间。用户咨询产品时请注意保护个人信息及财产安全,合理判断,谨慎选购商品,商家和用户对交易行为负责。对于医疗器械类产品,请先查证核实企业经营资质和医疗器械产品注册证情况。
文献和实验Anticardiolipin Antibody and Anti-beta 2 Glycoprotein I Antibody Assays
) antibodies and anti-beta 2 glycoprotein I (β2-GPI) antibodies. Other autoantibodies, such as those directed against anionic phospholipids, can also be assayed; however they are not of clinical significance. Participation in a quality assurance
Although many protocols for tubulin preparation are available, the procedure described below is the simplest and highest yielding
Immunofluorescent Localization of Tubulin
antibody to tubulin) FITC-labeled goat anti-rabbit (or secondary antibody to match the primary) Fluorescence Mounting Media Fluorescent Microscope equipped with 490 nm excitation filter and 515 nmbarrier filter Kodachrome film
技术资料暂无技术资料 索取技术资料












