相关产品推荐更多 >
万千商家帮你免费找货
0 人在求购买到急需产品
- 详细信息
- 文献和实验
- 技术资料
- 供应商:
上海康朗生物科技有限公司
- 库存:
大量
- 目录编号:
kl-13645R
- 克隆性:
多克隆
- 抗原来源:
Rabbit
- 保质期:
12个月
- 抗体英文名:
IQSEC2 antibody
- 抗体名:
IQSEC2抗体
- 宿主:
Rabbit
- 适应物种:
Human, Mouse, Rat, Dog, Pig, Cow, Sheep,
- 免疫原:
KLH conjugated synthetic peptide derived from human IQSEC2:851-950/1478
- 亚型:
IgG
- 形态:
冻干粉或液体
- 应用范围:
ELISA=1:500-1000 IHC-P=1:400-800 IHC-F=1:400-800 ICC=1:100-500 IF=1:100-500
- 浓度:
1mg/ml
- 保存条件:
-20 °C
- 规格:
100ul 200ul
| 中文名称 | IQSEC2抗体 |
| 别 名 | BRAG1; IQ motif and SEC7 domain-containing protein 2; IQEC2_HUMAN; Iqsec2; KIAA0522; mKIAA0522; MRX1; RP11-258C19.1. |
| 规格价格 | 100ul/1380元 购买 200ul/2200元 购买 大包装/询价 |
| 说 明 书 | 100ul 200ul |
| 研究领域 | 肿瘤 细胞生物 神经生物学 信号转导 细胞骨架 |
| 抗体来源 | Rabbit |
| 克隆类型 | Polyclonal |
| 交叉反应 | Human, Mouse, Rat, Dog, Pig, Cow, Sheep, |
| 产品应用 | ELISA=1:500-1000 IHC-P=1:400-800 IHC-F=1:400-800 ICC=1:100-500 IF=1:100-500 (石蜡切片需做抗原修复) not yet tested in other applications. optimal dilutions/concentrations should be determined by the end user. |
| 分 子 量 | 162kDa |
| 细胞定位 | 细胞浆 |
| 性 状 | Lyophilized or Liquid |
| 浓 度 | 1mg/ml |
| 免 疫 原 | KLH conjugated synthetic peptide derived from human IQSEC2:851-950/1478 |
| 亚 型 | IgG |
| 纯化方法 | affinity purified by Protein A |
| 储 存 液 | 0.01M TBS(pH7.4) with 1% BSA, 0.03% Proclin300 and 50% Glycerol. |
| 保存条件 | Store at -20 °C for one year. Avoid repeated freeze/thaw cycles. The lyophilized antibody is stable at room temperature for at least one month and for greater than a year when kept at -20°C. When reconstituted in sterile pH 7.4 0.01M PBS or diluent of antibody the antibody is stable for at least two weeks at 2-4 °C. |
| PubMed | PubMed |
| 产品介绍 | background: IQSEC2 is a 1,478 amino acid protein that belongs to the BRAG family and contains one IQ domain, one PH domain and a SEC7 domain. Localizing to the cytoplasm, IQSEC2 is expressed in brain, kidney and small intestine, with weaker levels of expression in placenta, pancreas, ovary, prostate and liver. IQSEC2 is a component of the postsynaptic density at excitatory synapses, and interacts with ARF family members as a guanine nucleotide exchange factor. Through the activation of ARF substrates, IQSEC2 may play a crucial role in cytoskeletal and synaptic organization. The gene encoding IQSEC2 maps to the human X chromosome. Defects to the IQSEC2 gene have been linked to mental retardation X-linked type 1 (MRX1), a condition characterized by decreased intellectual function. IQSEC2 exists as three isoforms due to alternative splicing events. Subcellular Location: Cytoplasm. Tissue Specificity: Expressed in brain, kidney and small intestine. Weakly expressed in placenta, pancreas, ovary, prostate and liver. DISEASE: Defects in IQSEC2 are the cause of mental retardation X-linked type 1 (MRX1) [MIM:309530]. Mental retardation is characterized by significantly below average general intellectual functioning associated with impairments in adaptative behavior and manifested during the developmental period. In contrast to syndromic or specific X-linked mental retardation which also present with associated physical, neurological and/or psychiatric manifestations, intellectual deficiency is the only primary symptom of non-syndromic X-linked mental retardation. Similarity: Belongs to the BRAG family. Contains 1 IQ domain. Contains 1 PH domain. Contains 1 SEC7 domain. Gene ID: 23096 Database links: Entrez Gene: 23096 Human Omim: 300522 Human SwissProt: Q5JU85 Human Unigene: 496138 Human Important Note: This product as supplied is intended for research use only, not for use in human, therapeutic or diagnostic applications. |
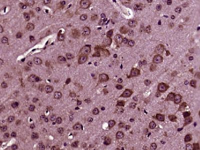
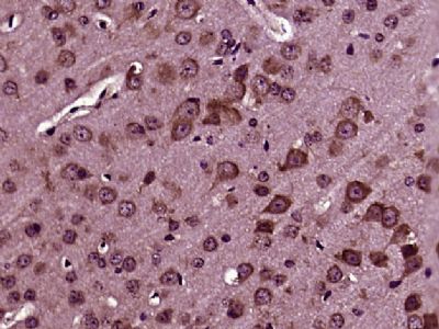
| 产品图片 | ![]() Paraformaldehyde-fixed, paraffin embedded (Mouse brain); Antigen retrieval by boiling in sodium citrate buffer (pH6.0) for 15min; Block endogenous peroxidase by 3% hydrogen peroxide for 20 minutes; Blocking buffer (normal goat serum) at 37°C for 30min; Antibody incubation with (IQSEC2) Polyclonal Antibody, Unconjugated (bs-13645R) at 1:400 overnight at 4°C, followed by operating according to SP Kit(Rabbit) (sp-0023) instructionsand DAB staining. |
风险提示:丁香通仅作为第三方平台,为商家信息发布提供平台空间。用户咨询产品时请注意保护个人信息及财产安全,合理判断,谨慎选购商品,商家和用户对交易行为负责。对于医疗器械类产品,请先查证核实企业经营资质和医疗器械产品注册证情况。
文献和实验Generation of Antibody Molecules Through Antibody Engineering
been overcome to a large extent using genetic-engineering techniques to produce chimeric mouse/human and completely human antibodies. Such an approach is particularly suitable because of the domain structure of the antibody molecule ( 2 ), where functional
The importance of antibody molecules was first recognized in the 1890s, when it was shown that immunity to tetanus and diphtheria was caused by antibodies against the bacterial exotoxins (1 ). Around the same time, it was shown that antisera
General comments: Antibodies, like most proteins, do not like to be freeze-thawed. Avoid repetitive freezing of your solution. The best way to store your antibody is to keep a high protein concentration (>1 mg/ml), add some protease
技术资料暂无技术资料 索取技术资料










