相关产品推荐更多 >
万千商家帮你免费找货
0 人在求购买到急需产品
- 详细信息
- 文献和实验
- 技术资料
- 供应商:
上海康朗生物科技有限公司
- 库存:
大量
- 目录编号:
kl-9156R
- 克隆性:
多克隆
- 抗原来源:
Rabbit
- 保质期:
12个月
- 抗体英文名:
RNF142 antibody
- 抗体名:
环指蛋白142抗体
- 宿主:
Rabbit
- 适应物种:
Human, Mouse, Rat, Chicken, Dog, Cow, Horse, Rabbit, Sheep,
- 免疫原:
KLH conjugated synthetic peptide derived from human SH3MD2/RNF142:401-500/888
- 亚型:
IgG
- 形态:
冻干粉或液体
- 应用范围:
ELISA=1:500-1000 IHC-P=1:400-800 IHC-F=1:400-800 IF=1:50-200
- 浓度:
1mg/ml
- 保存条件:
-20 °C
| 中文名称 | 环指蛋白142抗体 |
| 别 名 | Plenty of SH3 domains; Plenty of SH3s; POSH; Ring finger protein 142; RNF 142; RNF142; SH3 domain containing ring finger 1; SH3 domain containing RING finger protein 1; SH3MD2; SH3 multiple domains 2; SH3RF1. |
| 规格价格 | 100ul/1380元 购买 200ul/2200元 购买 大包装/询价 |
| 说 明 书 | 100ul 200ul |
| 研究领域 | 细胞生物 免疫学 信号转导 激酶和磷酸酶 G蛋白信号 |
| 抗体来源 | Rabbit |
| 克隆类型 | Polyclonal |
| 交叉反应 | Human, Mouse, Rat, Chicken, Dog, Cow, Horse, Rabbit, Sheep, |
| 产品应用 | ELISA=1:500-1000 IHC-P=1:400-800 IHC-F=1:400-800 IF=1:50-200 (石蜡切片需做抗原修复) not yet tested in other applications. optimal dilutions/concentrations should be determined by the end user. |
| 分 子 量 | 93kDa |
| 细胞定位 | 细胞浆 |
| 性 状 | Lyophilized or Liquid |
| 浓 度 | 1mg/ml |
| 免 疫 原 | KLH conjugated synthetic peptide derived from human SH3MD2/RNF142:401-500/888 |
| 亚 型 | IgG |
| 纯化方法 | affinity purified by Protein A |
| 储 存 液 | 0.01M TBS(pH7.4) with 1% BSA, 0.03% Proclin300 and 50% Glycerol. |
| 保存条件 | Store at -20 °C for one year. Avoid repeated freeze/thaw cycles. The lyophilized antibody is stable at room temperature for at least one month and for greater than a year when kept at -20°C. When reconstituted in sterile pH 7.4 0.01M PBS or diluent of antibody the antibody is stable for at least two weeks at 2-4 °C. |
| PubMed | PubMed |
| 产品介绍 | background: SH3MD2 acts as a scaffold protein, contributes to Rac-induced signal transduction such as JNKs (MAPK8 and MAPK9) activation and induces apoptosis. Within a signaling complex, it probably recruits protein kinases such as MAP3K10 or MAP3K11 which are in turn activated leading to the sequential activation of MAP2K4, MAP2K7 and JNKs (MAPK8 and MAPK9). SH3MD2 may be involved in targeting of HIV-1 GAG and GAG-POL polyproteins to the plasma membrane. This gene encodes a protein containing an N-terminus RING-finger, four SH3 domains, and a region implicated in binding of the Rho GTPase Rac. Via the RING-finger, the encoded protein has been shown to function as an ubiquitin-protein ligase involved in protein sorting at the trans-Golgi network. The encoded protein may also act as a scaffold for the c-Jun N-terminal kinase signaling pathway, facilitating the formation of a functional signaling module. There are two named isoforms. Function: Acts as a scaffold protein, contributes to Rac-induced signal transduction such as JNKs (MAPK8 and MAPK9) activation and induces apoptosis. Within a signaling complex, it probably recruits protein kinases such as MAP3K10 or MAP3K11 which are in turn activated leading to the sequential activation of MAP2K4, MAP2K7 and JNKs (MAPK8 and MAPK9) (By similarity). May be involved in targeting of HIV-1 GAG and GAG-POL polyproteins to the plasma membrane. Might act as an E3 ubiquitin-protein ligase, or as part of E3 complex, which accepts ubiquitin from specific E2 ubiquitin-conjugating enzymes such as UBE2D1 or UBE2N and then transfers it to substrates. In the absence of an external substrate, it can catalyze self-ubiquitination. Stimulates ubiquitination of potassium channel KCNJ1, enhancing it's dynamin-dependent and clathrin-independent endocytosis. Plays an essential role in the targeting of HIV-1 Gag to the plasma membrane, this function is dependent on it's RING domain, and hence it's E3 ligase activity. Subunit: Interacts with Rac; in a GTP-dependent manner (By similarity). Interacts with MAP3K10 and MAP3K11. Interacts with MAPK8IP; this interaction leads to the PJAC complex (POSH-JIP or SH3RF1/MAPK8IP apoptotic complex) with a 1:1 ratio. Interacts with SIAH1. Interacts with HERP1. Probably part of a signaling complex that may contain SH3RF1, MAPK8IP, DLK1, MAP2K4, MAP2K7, MAPK8, MAPK9, AKT1 and AKT2. Subcellular Location: Cytoplasm, perinuclear region (By similarity). Cell projection, lamellipodium. Cytoplasm. Golgi apparatus, trans-Golgi network. Note=Colocalizes, with AKT2, in lamellipodia (By similarity). Colocalizes, with HERP1, in trans-Golgi network. Tissue Specificity: Golgi Apparatus. Lamellipodium. Perinuclear region of cytoplasm. Post-translational modifications: Phosphorylated at Ser-304 by AKT1 and AKT2. When phosphorylated, it has reduced ability to bind Rac. Subject to ubiquitination and proteasomal degradation (By similarity). Similarity: Belongs to the SH3RF family. Contains 1 RING-type zinc finger. Contains 4 SH3 domains. SWISS: Q9C019 Gene ID: 89870 Database links: Entrez Gene: 89870 Human Entrez Gene: 69097 Mouse Entrez Gene: 414821 Rat SwissProt: Q9C019 Human Unigene: 591789 Human Unigene: 606488 Human Unigene: 307027 Mouse Important Note: This product as supplied is intended for research use only, not for use in human, therapeutic or diagnostic applications. |
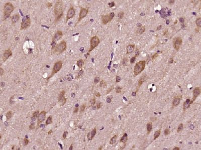
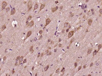
| 产品图片 | ![]() Paraformaldehyde-fixed, paraffin embedded (Rat brain); Antigen retrieval by boiling in sodium citrate buffer (pH6.0) for 15min; Block endogenous peroxidase by 3% hydrogen peroxide for 20 minutes; Blocking buffer (normal goat serum) at 37°C for 30min; Antibody incubation with (RNF142) Polyclonal Antibody, Unconjugated (bs-9156R) at 1:400 overnight at 4°C, followed by operating according to SP Kit(Rabbit) (sp-0023) instructionsand DAB staining. |
风险提示:丁香通仅作为第三方平台,为商家信息发布提供平台空间。用户咨询产品时请注意保护个人信息及财产安全,合理判断,谨慎选购商品,商家和用户对交易行为负责。对于医疗器械类产品,请先查证核实企业经营资质和医疗器械产品注册证情况。
文献和实验Nat Commun:结直肠癌致癌突变 RNF43_pG659fs 对 PI3K/mTOR 抑制剂敏感
RNF43 G659fs is an oncogenic colorectal cancer mutation and sensitizes tumor cells to PI3K/mTOR inhibition 的研究论文,揭示了 RNF43_p.G659fs 突变在结直肠癌的致癌机制,并对 PI3K/mTOR 抑制剂敏感。 RNF43 是一种 E3 泛素连接酶,Wnt 信号通路的主要负向调节因子,编码 783aa 的锌指蛋白,2014 年 Giannakis 团队在 Nature
Generation of Antibody Molecules Through Antibody Engineering
been overcome to a large extent using genetic-engineering techniques to produce chimeric mouse/human and completely human antibodies. Such an approach is particularly suitable because of the domain structure of the antibody molecule ( 2 ), where functional
The importance of antibody molecules was first recognized in the 1890s, when it was shown that immunity to tetanus and diphtheria was caused by antibodies against the bacterial exotoxins (1 ). Around the same time, it was shown that antisera
技术资料暂无技术资料 索取技术资料











