相关产品推荐更多 >
万千商家帮你免费找货
0 人在求购买到急需产品
- 详细信息
- 文献和实验
- 技术资料
- 供应商:
上海康朗生物科技有限公司
- 库存:
大量
- 目录编号:
kl-10233R
- 克隆性:
多克隆
- 抗原来源:
Rabbit
- 保质期:
12个月
- 抗体英文名:
Nephrin antibody
- 抗体名:
肾小球细胞粘附分子受体抗体
- 宿主:
Rabbit
- 适应物种:
Human, Mouse, Rat, Dog, Rabbit,
- 免疫原:
KLH conjugated synthetic peptide derived from human Nephrin:451-550/1241 <Extracellular>
- 亚型:
IgG
- 形态:
冻干粉或液体
- 应用范围:
WB=1:500-2000 ELISA=1:500-1000 IHC-P=1:400-800 Flow-Cyt=1μg/Test
- 浓度:
1mg/ml
- 保存条件:
-20 °C
- 规格:
50ul 100ul 200ul
| 中文名称 | 肾小球细胞粘附分子受体抗体 |
| 别 名 | CNF; NPHN; Nephrosis 1 congenital Finnish type; NPHS 1; NPHS1; Renal glomerulus specific cell adhesion receptor; Renal glomerulus-specific cell adhesion receptor; NPHN_HUMAN . |
| 规格价格 | 50ul/780元 购买 100ul/1380元 购买 200ul/2200元 购买 大包装/询价 |
| 说 明 书 | 50ul 100ul 200ul |
| 研究领域 | |
| 抗体来源 | Rabbit |
| 克隆类型 | Polyclonal |
| 交叉反应 | Human, Mouse, Rat, Dog, Rabbit, |
| 产品应用 | WB=1:500-2000 ELISA=1:500-1000 IHC-P=1:400-800 Flow-Cyt=1μg/Test (石蜡切片需做抗原修复) not yet tested in other applications. optimal dilutions/concentrations should be determined by the end user. |
| 分 子 量 | 138kDa |
| 细胞定位 | 细胞外基质 |
| 性 状 | Lyophilized or Liquid |
| 浓 度 | 1mg/ml |
| 免 疫 原 | KLH conjugated synthetic peptide derived from human Nephrin:451-550/1241 <Extracellular> |
| 亚 型 | IgG |
| 纯化方法 | affinity purified by Protein A |
| 储 存 液 | 0.01M TBS(pH7.4) with 1% BSA, 0.03% Proclin300 and 50% Glycerol. |
| 保存条件 | Store at -20 °C for one year. Avoid repeated freeze/thaw cycles. The lyophilized antibody is stable at room temperature for at least one month and for greater than a year when kept at -20°C. When reconstituted in sterile pH 7.4 0.01M PBS or diluent of antibody the antibody is stable for at least two weeks at 2-4 °C. |
| PubMed | PubMed |
| 产品介绍 | background: This gene encodes a member of the immunoglobulin family of cell adhesion molecules that functions in the glomerular filtration barrier in the kidney. The gene is primarily expressed in renal tissues, and the protein is a type-1 transmembrane protein found at the slit diaphragm of glomerular podocytes. The slit diaphragm is thought to function as an ultrafilter to exclude albumin and other plasma macromolecules in the formation of urine. Mutations in this gene result in Finnish-type congenital nephrosis 1, characterized by severe proteinuria and loss of the slit diaphragm and foot processes.[provided by RefSeq, Oct 2009] Function: Seems to play a role in the development or function of the kidney glomerular filtration barrier. Regulates glomerular vascular permeability. May anchor the podocyte slit diaphragm to the actin cytoskeleton. Plays a role in skeletal muscle formation through regulation of myoblast fusion. Subunit: Interacts with CD2AP (via C-terminal domain). Interacts with MAGI1 (via PDZ 2 and 3 domains) forming a tripartite complex with IGSF5/JAM4. Interacts with DDN; the interaction is direct. Self-associates (via the Ig-like domains). Also interacts (via the Ig-like domains) with KIRREL/NEPH1 and KIRREL2; the interaction with KIRREL is dependent on KIRREL glycosylation. Forms a complex with ACTN4, CASK, IQGAP1, MAGI2, SPTAN1 and SPTBN1 (By similarity). Interacts with NPHS2. Subcellular Location: Cell membrane; Single-pass type I membrane protein (Potential). Note=Predominantly located at podocyte slit diaphragm between podocyte foot processes. Also associated with podocyte apical plasma membrane. Tissue Specificity: Specifically expressed in podocytes of kidney glomeruli. Expressed in kidney glomeruli. In the embryo,expressed in the mesonephric kidney at E11 with strong expression in cranial tubules with podocyte-like structures. Expression is observed in the podocytes of the developing kidney from E13. High expression is also detected in the developing cerebellum, hindbrain, spinal cord, retina and hypothalamus. Expressed in skeletal muscle during myoblast fusion such as in the adult following acute injury and in the embryo but not detected in uninjured adult skeletal muscle. Isoform 1 and isoform 2 are expressed in the newborn brain and developing cerebellum. Isoform 1 is the predominant isoform in adult kidney Post-translational modifications: Phosphorylated at Tyr-1193 by FYN, leading to the recruitment and activation of phospholipase C-gamma-1/PLCG1. DISEASE: Defects in NPHS1 are the cause of nephrotic syndrome type 1 (NPHS1) [MIM:256300]; also known as Finnish congenital nephrosis (CNF). A renal disease characterized clinically by proteinuria, hypoalbuminemia, hyperlipidemia, and edema. Kidney biopsies show non-specific histologic changes such as focal segmental glomerulosclerosis and diffuse mesangial proliferation. Some affected individuals have an inherited steroid-resistant form and progress to end-stage renal failure. Similarity: Belongs to the immunoglobulin superfamily. Contains 1 fibronectin type-III domain. Contains 8 Ig-like C2-type (immunoglobulin-like) domains. SWISS: O60500 Gene ID: 4868 Database links: Entrez Gene: 4868 Human Entrez Gene: 54631 Mouse Entrez Gene: 64563 Rat Omim: 602716 Human SwissProt: O60500 Human SwissProt: Q9QZS7 Mouse SwissProt: Q9R044 Rat Unigene: 122186 Human Unigene: 437830 Mouse Unigene: 48745 Rat
Important Note: This product as supplied is intended for research use only, not for use in human, therapeutic or diagnostic applications. 葛博:bs-10233R 细胞定位:质膜、细胞外基质 17.10.19日张凤英修改 |
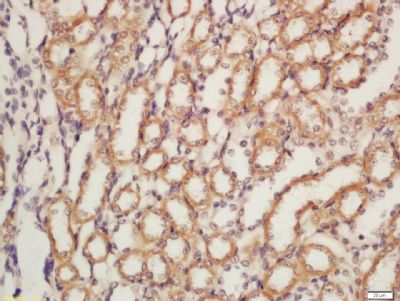
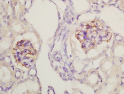
| 产品图片 | ![]() Sample: MDCK(Dog) Cell Lysate at 40 ug Primary: Anti-Nephrin (bs-10233R) at 1/500 dilution Secondary: IRDye800CW Goat Anti-Rabbit IgG at 1/20000 dilution Predicted band size: 138 kD Observed band size: 138 kD ![]() Sample: Liver (Mouse) Lysate at 40 ug Primary: Anti-Nephrin (bs-10233R) at 1/300 dilution Secondary: IRDye800CW Goat Anti-Rabbit IgG at 1/20000 dilution Predicted band size: 138 kD Observed band size: 138 kD ![]() Tissue/cell: mouse kidney tissue; 4% Paraformaldehyde-fixed and paraffin-embedded; Antigen retrieval: citrate buffer ( 0.01M, pH 6.0 ), Boiling bathing for 15min; Block endogenous peroxidase by 3% Hydrogen peroxide for 30min; Blocking buffer (normal goat serum,C-0005) at 37℃ for 20 min; Incubation: Anti-Nephrin Polyclonal Antibody, Unconjugated(bs-10233R) 1:200, overnight at 4°C, followed by conjugation to the secondary antibody(SP-0023) and DAB(C-0010) staining ![]() Tissue/cell: rat kidney tissue; 4% Paraformaldehyde-fixed and paraffin-embedded; Antigen retrieval: citrate buffer ( 0.01M, pH 6.0 ), Boiling bathing for 15min; Block endogenous peroxidase by 3% Hydrogen peroxide for 30min; Blocking buffer (normal goat serum,C-0005) at 37℃ for 20 min; Incubation: Anti-Nephrin Polyclonal Antibody, Unconjugated(bs-10233R) 1:200, overnight at 4°C, followed by conjugation to the secondary antibody(SP-0023) and DAB(C-0010) staining ![]() Blank control: RSC96(blue), the cells were fixed with 2% paraformaldehyde (10 min) and then permeabilized with ice-cold 90% methanol for 30 min on ice. Isotype Control Antibody: Rabbit IgG(orange) ; Secondary Antibody: Goat anti-rabbit IgG-PE(white blue), Dilution: 1:200 in 1 X PBS containing 0.5% BSA ; Primary Antibody Dilution: 1μg in 100 μL1X PBS containing 0.5% BSA(green). ![]() the cells(293T) were fixed with 2% paraformaldehyde (10 min). Isotype Control Antibody: Rabbit IgG(orange) ; Secondary Antibody: Goat anti-rabbit IgG-PE(white blue), Dilution: 1:200 in 1 X PBS containing 0.5% BSA ; Primary Antibody Dilution: 1μg in 100 μL1X PBS containing 0.5% BSA(green). |
风险提示:丁香通仅作为第三方平台,为商家信息发布提供平台空间。用户咨询产品时请注意保护个人信息及财产安全,合理判断,谨慎选购商品,商家和用户对交易行为负责。对于医疗器械类产品,请先查证核实企业经营资质和医疗器械产品注册证情况。
文献和实验上海西唐生物科技有限公司 021-55229872, 65333639 www.westang.com 大鼠肾病蛋白 (Nephrin)ELISA 试剂盒 ( 用于血清、血浆、细胞培养上清液和其它生物体液内 ) 原理 本实验采用双抗体夹心 ABC-ELISA 法。用抗大鼠 Nephrin 单抗包被于酶标板上,标准品和样品中的 Nephrin 与单抗结合,加入生物素化的抗大鼠 Nephrin ,形成免疫
Generation of Antibody Molecules Through Antibody Engineering
been overcome to a large extent using genetic-engineering techniques to produce chimeric mouse/human and completely human antibodies. Such an approach is particularly suitable because of the domain structure of the antibody molecule ( 2 ), where functional
The importance of antibody molecules was first recognized in the 1890s, when it was shown that immunity to tetanus and diphtheria was caused by antibodies against the bacterial exotoxins (1 ). Around the same time, it was shown that antisera
技术资料暂无技术资料 索取技术资料
















