相关产品推荐更多 >
万千商家帮你免费找货
0 人在求购买到急需产品
- 详细信息
- 文献和实验
- 技术资料
- 供应商:
上海康朗生物科技有限公司
- 库存:
大量
- 目录编号:
kl-1016R
- 克隆性:
多克隆
- 抗原来源:
Rabbit
- 保质期:
12个月
- 抗体英文名:
E cadherin antibody
- 抗体名:
上皮钙粘附分子抗体
- 宿主:
Rabbit
- 适应物种:
Human, Mouse, Rat, Chicken, Dog, Pig, Cow, Horse,
- 免疫原:
KLH conjugated synthetic peptide derived from human E-cadherin C-terminus:801-882/882 <Cytoplasmic>
- 亚型:
IgG
- 形态:
冻干粉或液体
- 应用范围:
WB=1:500-2000 ELISA=1:500-1000 IHC-P=1:400-800 IHC-F=1:400-800 Flow-Cyt=1μg /test IF=1:100-500
- 浓度:
1mg/ml
- 保存条件:
-20 °C
- 规格:
50ul 100ul 200ul
| 中文名称 | 上皮钙粘附分子抗体 |
| 别 名 | E-cadherin; anion exchanger protein 3; Arc 1; Cadherin 1; cadherin 1 type 1 E-cadherin; Cadherin1; CAM 120/80; CD 234; CD324; CD324 antigen; CDH1; CDHE; ECAD; Epithelial cadherin; epithelial calcium dependant adhesion protein; LCAM; Liver cell adhesion molecule; UVO; Uvomorulin; CADH1_HUMAN. |
| 规格价格 | 50ul/780元 购买 100ul/1380元 购买 200ul/2200元 购买 大包装/询价 |
| 说 明 书 | 50ul 100ul 200ul |
| 研究领域 | 免疫学 发育生物学 信号转导 干细胞 通道蛋白 细胞粘附分子 |
| 抗体来源 | Rabbit |
| 克隆类型 | Polyclonal |
| 交叉反应 | Human, Mouse, Rat, Chicken, Dog, Pig, Cow, Horse, |
| 产品应用 | WB=1:500-2000 ELISA=1:500-1000 IHC-P=1:400-800 IHC-F=1:400-800 Flow-Cyt=1μg /test IF=1:100-500 (石蜡切片需做抗原修复) not yet tested in other applications. optimal dilutions/concentrations should be determined by the end user. |
| 分 子 量 | 80kDa |
| 细胞定位 | 细胞膜 |
| 性 状 | Lyophilized or Liquid |
| 浓 度 | 1mg/ml |
| 免 疫 原 | KLH conjugated synthetic peptide derived from human E-cadherin C-terminus:801-882/882 <Cytoplasmic> |
| 亚 型 | IgG |
| 纯化方法 | affinity purified by Protein A |
| 储 存 液 | 0.01M TBS(pH7.4) with 1% BSA, 0.03% Proclin300 and 50% Glycerol. |
| 保存条件 | Store at -20 °C for one year. Avoid repeated freeze/thaw cycles. The lyophilized antibody is stable at room temperature for at least one month and for greater than a year when kept at -20°C. When reconstituted in sterile pH 7.4 0.01M PBS or diluent of antibody the antibody is stable for at least two weeks at 2-4 °C. |
| PubMed | PubMed |
| 产品介绍 | background: Cadherins comprise a family of Ca2+-dependent adhesion molecules that function to mediate cell-cell binding critical to the maintenance of tissue structure and morphogenesis. Members of this family of adhesion proteins include rat cadherin K (and its human homolog, cadherin-6), R-cadherin, B-cadherin, E/P cadherin and cadherin-5. The classical cadherins, E-, N- and P-cadherin, consist of large extracellular domains characterized by a series of five homologous NH2 terminal repeats. The most distal of these cadherins is thought to be responsible for binding specificity, transmembrane domains and carboxy terminal intracellular domains. The relatively short intracellular domains interact with a variety of cytoplasmic proteins, such as ∫-catenin, to regulate cadherin function. Function: Cadherins are calcium-dependent cell adhesion proteins. They preferentially interact with themselves in a homophilic manner in connecting cells; cadherins may thus contribute to the sorting of heterogeneous cell types. CDH1 is involved in mechanisms regulating cell-cell adhesions, mobility and proliferation of epithelial cells. Has a potent invasive suppressor role. It is a ligand for integrin alpha-E/beta-7. E-Cad/CTF2 promotes non-amyloidogenic degradation of Abeta precursors. Has a strong inhibitory effect on APP C99 and C83 production. Subunit: Homodimer. Subcellular Location: Cell junction. Cell membrane; Single-pass type I membrane protein. Tissue Specificity: Non-neural epithelial tissues. Post-translational modifications: During apoptosis or with calcium influx, cleaved by a membrane-bound metalloproteinase (ADAM10), PS1/gamma-secretase and caspase-3 to produce fragments of about 38 kDa (E-CAD/CTF1), 33 kDa (E-CAD/CTF2) and 29 kDa (E-CAD/CTF3), respectively. Processing by the metalloproteinase, induced by calcium influx, causes disruption of cell-cell adhesion and the subsequent release of beta-catenin into the cytoplasm. The residual membrane-tethered cleavage product is rapidly degraded via an intracellular proteolytic pathway. Cleavage by caspase-3 releases the cytoplasmic tail resulting in disintegration of the actin microfilament system. The gamma-secretase-mediated cleavage promotes disaaaembly of adherens junctions. DISEASE: Defects in CDH1 are the cause of hereditary diffuse gastric cancer (HDGC) . An autosomal dominant cancer predisposition syndrome with increased susceptibility to diffuse gastric cancer. Diffuse gastric cancer is a malignant disease characterized by poorly differentiated infiltrating lesions resulting in thickening of the stomach. Malignant tumors start in the stomach, can spread to the esophagus or the small intestine, and can extend through the stomach wall to nearby lymph nodes and organs. It also can metastasize to other parts of the body. Note=Heterozygous germline mutations CDH1 are responsible for familial cases of diffuse gastric cancer. Somatic mutations in the has also been found in patients with sporadic diffuse gastric cancer and lobular breast cancer. Similarity: Contains 5 cadherin domains. SWISS: P12830 Gene ID: 999 Database links: Entrez Gene: 999 Human Entrez Gene: 12550 Mouse Entrez Gene: 83502 Rat Entrez Gene: 282637 Cow Entrez Gene: 442858 Dog Omim: 192090 Human SwissProt: Q6R8F2 Cow SwissProt: P12830 Human SwissProt: P09803 Mouse SwissProt: Q9R0T4 Rat Unigene: 461086 Human Unigene: 35605 Mouse Unigene: 1303 Rat Important Note: This product as supplied is intended for research use only, not for use in human, therapeutic or diagnostic applications. |
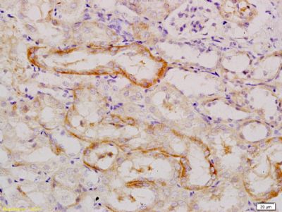
| 产品图片 | ![]() Tissue/cell: mouse kidney tissue; 4% Paraformaldehyde-fixed and paraffin-embedded; Antigen retrieval: citrate buffer ( 0.01M, pH 6.0 ), Boiling bathing for 15min; Block endogenous peroxidase by 3% Hydrogen peroxide for 30min; Blocking buffer (normal goat serum,C-0005) at 37℃ for 20 min; Incubation: Anti-E-cadherin Polyclonal Antibody, Unconjugated(bs-1016R) 1:200, overnight at 4°C, followed by conjugation to the secondary antibody(SP-0023) and DAB(C-0010) staining ![]() Blank control: Hepg2(blue). Primary Antibody:Rabbit Anti-E cadherin antibody (bs-1016R,Green); Dilution: 1μg in 100 μL 1X PBS containing 0.5% BSA; Isotype Control Antibody: Rabbit IgG(orange) ,used under the same conditions; Secondary Antibody: Goat anti-rabbit IgG-FITC(white blue), Dilution: 1:200 in 1 X PBS containing 0.5% BSA. Protocol The cells were fixed with 2% paraformaldehyde for 10 min at 37℃. Primary antibody (bs-1016R, 1μg /1x10^6 cells) were incubated for 30 min at room temperature, followed by 1 X PBS containing 0.5% BSA + 1 0% goat serum (1 hour) to block non-specific protein-protein interactions. Then the Goat Anti-rabbit IgG/FITC antibody was added into the blocking buffer mentioned above to react with the primary antibody at 1/200 dilution for 40 min at room temperature. Acquisition of 20,000 events was performed. |
风险提示:丁香通仅作为第三方平台,为商家信息发布提供平台空间。用户咨询产品时请注意保护个人信息及财产安全,合理判断,谨慎选购商品,商家和用户对交易行为负责。对于医疗器械类产品,请先查证核实企业经营资质和医疗器械产品注册证情况。
文献和实验人钙粘蛋白E(Cadherin E)ELISA试剂盒 说明书
上海西唐生物科技有限公司 021-55229872, 65333639 www.westang.com 人钙粘蛋白E ( Cadherin E )ELISA 试剂盒 ( 用于血清、血浆、细胞培养上清液和尿液、唾液生物体液内 ) 原理 本实验采用双抗体夹心 ABC-ELISA 法。用抗人 Cadherin E 单抗包被于酶标板上,标准品和样品中的 Cadherin E与单抗结合
Expression of Recombinant Antibody Fusion Proteins in E. coli
Conjugates of antibodies or antibody fragments with foreign proteins have attracted interest because of their therapeutic potential as antitumor agents in vivo. Localization of the complex to the target site is dependent on the specificity
Expression and Isolation of Recombinant Antibody Fragments in E. coli
antibodies (MAbs), functional derivatives (antibody fragments) carrying antigen (Ag)-binding activities, and comprising at minimum the antibody variable heavy- and light-chain domains, can be readily produced in bacterial cells (1 ). The range of antibody
技术资料暂无技术资料 索取技术资料












