相关产品推荐更多 >
万千商家帮你免费找货
0 人在求购买到急需产品
- 详细信息
- 技术资料
- 供应商:
上海康朗生物科技有限公司
- 库存:
大量
- 目录编号:
kl-6536R
- 克隆性:
多克隆
- 抗原来源:
Rabbit
- 保质期:
12个月
- 抗体英文名:
GCET2 antibody
- 抗体名:
生发中心B淋巴细胞相关蛋白2抗体
- 宿主:
Rabbit
- 适应物种:
Human, Mouse,
- 免疫原:
KLH conjugated synthetic peptide derived from human GCET2(13-60aa):31-130/178
- 亚型:
IgG
- 形态:
冻干粉或液体
- 应用范围:
WB=1:500-2000 ELISA=1:500-1000 IHC-P=1:400-800 IHC-F=1:400-800 IF=1:100-500
- 浓度:
1mg/ml
- 保存条件:
-20 °C
- 规格:
100ul 200ul
GCET2 antibody
| 中文名称 | 生发中心B淋巴细胞相关蛋白2抗体 |
| 别 名 | M17; GCAT2; Gcet; GCET2 germinal center expressed transcript 2; GCET2 germinal centre expressed transcript 2; Germinal center associated lymphoma; Germinal center associated lymphoma protein; Germinal center B cell associated protein 2; Germinal center expressed transcript 2; Germinal centre associated lymphoma; Germinal centre associated lymphoma protein; Germinal centre B cell associated protein 2; Germinal centre expressed transcript 2; HGAL; M17 L. |
| 规格价格 | 100ul/1380元 购买 200ul/2200元 购买 大包装/询价 |
| 说 明 书 | 100ul 200ul |
| 研究领域 | 肿瘤 免疫学 b-淋巴细胞 肿瘤细胞生物标志物 |
| 抗体来源 | Rabbit |
| 克隆类型 | Polyclonal |
| 交叉反应 | Human, Mouse, |
| 产品应用 | WB=1:500-2000 ELISA=1:500-1000 IHC-P=1:400-800 IHC-F=1:400-800 IF=1:100-500 (石蜡切片需做抗原修复) not yet tested in other applications. optimal dilutions/concentrations should be determined by the end user. |
| 分 子 量 | 20kDa |
| 细胞定位 | 细胞浆 细胞膜 |
| 性 状 | Lyophilized or Liquid |
| 浓 度 | 1mg/ml |
| 免 疫 原 | KLH conjugated synthetic peptide derived from human GCET2(13-60aa):31-130/178 |
| 亚 型 | IgG |
| 纯化方法 | affinity purified by Protein A |
| 储 存 液 | 0.01M TBS(pH7.4) with 1% BSA, 0.03% Proclin300 and 50% Glycerol. |
| 保存条件 | Store at -20 °C for one year. Avoid repeated freeze/thaw cycles. The lyophilized antibody is stable at room temperature for at least one month and for greater than a year when kept at -20°C. When reconstituted in sterile pH 7.4 0.01M PBS or diluent of antibody the antibody is stable for at least two weeks at 2-4 °C. |
| PubMed | PubMed |
| 产品介绍 | background: This gene encodes a protein which may function in signal transduction pathways and whose expression is elevated in germinal cell lymphomas. It contains a putative PDZ-interacting domain, an immunoreceptor tyrosine-based activation motif (ITAM), and two putative SH2 binding sites. In B cells, its expression is specifically induced by interleukin-4. Alternative splicing results in multiple transcript variants encoding different isoforms. [provided by RefSeq, Jul 2008]. Function: Involved in the negative regulation of lymphocyte motility. It mediates the migration-inhibitory effects of IL6. Serves as a positive regulator of the RhoA signaling pathway. Enhancement of RhoA activation results in inhibition of lymphocyte and lymphoma cell motility by activation of its downstream effector ROCK. Subunit: Interacts with ACTB and MYH2; the interaction with MYH2 is increased by IL6-induced phosphorylation. Interacts (via C-terminus) with ARHGEF11 (via DH domain). Interacts with ARHGEF12. Subcellular Location: Cytoplasm. Cell membrane. Note=It relocalizes from the cytoplasm to podosome-like structures upon cell treatment with IL6. Tissue Specificity: Expressed in diffuse large B-cell lymphoma (DLBCL) and several germinal center (GC)-like lymphoma cell lines (at protein level). Highly expressed in normal GC lymphocytes and GC-derived malignancies. Expressed in thymus and spleen. Post-translational modifications: Phosphorylation on tyrosine residues can be induced by IL6. Phosphorylation is mediated by LYN. SWISS: Q8N6F7 Gene ID: 257144 Database links: Entrez Gene: 257144 Human Omim: 607792 Human SwissProt: Q8N6F7 Human Unigene: 49614 Human Important Note: This product as supplied is intended for research use only, not for use in human, therapeutic or diagnostic applications. |
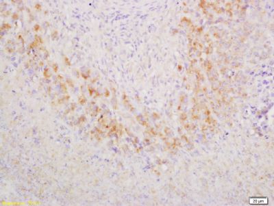
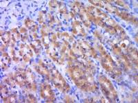
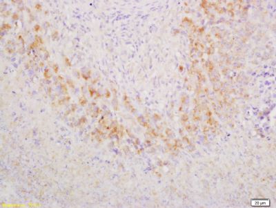
| 产品图片 | ![]() Tissue/cell: mouse lymphoma tissue; 4% Paraformaldehyde-fixed and paraffin-embedded; Antigen retrieval: citrate buffer ( 0.01M, pH 6.0 ), Boiling bathing for 15min; Block endogenous peroxidase by 3% Hydrogen peroxide for 30min; Blocking buffer (normal goat serum,C-0005) at 37℃ for 20 min; Incubation: Anti-GCET2 Polyclonal Antibody, Unconjugated(bs-6536R) 1:200, overnight at 4°C, followed by conjugation to the secondary antibody(SP-0023) and DAB(C-0010) staining |
风险提示:丁香通仅作为第三方平台,为商家信息发布提供平台空间。用户咨询产品时请注意保护个人信息及财产安全,合理判断,谨慎选购商品,商家和用户对交易行为负责。对于医疗器械类产品,请先查证核实企业经营资质和医疗器械产品注册证情况。
技术资料暂无技术资料 索取技术资料
GCET2 antibody
¥1380 - 2200










