相关产品推荐更多 >
万千商家帮你免费找货
0 人在求购买到急需产品
- 详细信息
- 技术资料
- 供应商:
上海康朗生物科技有限公司
- 库存:
大量
- 目录编号:
kl-9870R
- 克隆性:
多克隆
- 抗原来源:
Rabbit
- 保质期:
12个月
- 抗体英文名:
Thymosin beta 4 antibody
- 抗体名:
胸腺素β4抗体
- 宿主:
Rabbit
- 适应物种:
Human, Mouse, Rat,
- 免疫原:
KLH conjugated synthetic peptide derived from human Thymosin beta 4:37-44/44
- 亚型:
IgG
- 形态:
冻干粉或液体
- 应用范围:
WB=1:500-2000 ELISA=1:500-1000 IHC-P=1:400-800 IHC-F=1:400-800 IF=1:50-200
- 浓度:
1mg/ml
- 保存条件:
-20 °C
- 规格:
100ul 200ul
Thymosin beta 4 antibody
| 中文名称 | 胸腺素β4抗体 |
| 别 名 | Tβ4; FX; Hematopoietic system regulatory peptide; Prothymosin beta 4; PTMB 4; PTMB4; Seraspenide; T beta 4; T beta-4; TB4X; THYB 4; Thyb4; Thymosin beta 4; Thymosin beta 4 X chromosome; Thymosin beta 4 X linked; TMSB 4; TMSB4; TMSB4X; TYB4_HUMAN. Tβ-4; Tβ 4. |
| 规格价格 | 100ul/1380元 购买 200ul/2200元 购买 大包装/询价 |
| 说 明 书 | 100ul 200ul |
| 研究领域 | 心血管 信号转导 细胞骨架 细胞外基质 |
| 抗体来源 | Rabbit |
| 克隆类型 | Polyclonal |
| 交叉反应 | Human, Mouse, Rat, |
| 产品应用 | WB=1:500-2000 ELISA=1:500-1000 IHC-P=1:400-800 IHC-F=1:400-800 IF=1:50-200 (石蜡切片需做抗原修复) not yet tested in other applications. optimal dilutions/concentrations should be determined by the end user. |
| 分 子 量 | 4.8kDa |
| 细胞定位 | 细胞浆 |
| 性 状 | Lyophilized or Liquid |
| 浓 度 | 1mg/ml |
| 免 疫 原 | KLH conjugated synthetic peptide derived from human Thymosin beta 4:37-44/44 |
| 亚 型 | IgG |
| 纯化方法 | affinity purified by Protein A |
| 储 存 液 | 0.01M TBS(pH7.4) with 1% BSA, 0.03% Proclin300 and 50% Glycerol. |
| 保存条件 | Store at -20 °C for one year. Avoid repeated freeze/thaw cycles. The lyophilized antibody is stable at room temperature for at least one month and for greater than a year when kept at -20°C. When reconstituted in sterile pH 7.4 0.01M PBS or diluent of antibody the antibody is stable for at least two weeks at 2-4 °C. |
| PubMed | PubMed |
| 产品介绍 | background: Proteins in the thymosin beta family are highly conserved polar peptides that bind monomeric Actin and thereby inhibit Actin polymerization. These proteins act as the main intracellular G-Actin sequestering peptides. The most abundant thymosin beta family member in mammalian cells and tissues is thymosin beta-4 (Tbeta-4), also designated Seraspenide. T beta-4 participates in several cellular events including cancerogenesis, apoptosis, angiogenesis, blood coagulation and would healing. Specifically, T beta-4 promotes cell migration and adhesion, accelerates wound healing and reduces inflammation, and becomes upregulated in a wide variety of human carcinomas. Due to the effects of T beta-4 in these events, it may become a protein of significant biological and pharmaceutical relevance. Function: Plays an important role in the organization of the cytoskeleton. Binds to and sequesters actin monomers (G actin) and therefore inhibits actin polymerization. Seraspenide inhibits the entry of hematopoietic pluripotent stem cells into the S-phase. Subcellular Location: Cytoplasm, cytoskeleton. Tissue Specificity: Originally found in thymus but it is widely distributed in many tissues. Similarity: Belongs to the thymosin beta family. SWISS: P62327 Gene ID: 7114 Database links: Entrez Gene: 7114 Human Entrez Gene: 19241 Mouse Entrez Gene: 81814 Rat Omim: 300159 Human SwissProt: P62327 Horse SwissProt: P62328 Human SwissProt: P20065 Mouse SwissProt: P62329 Rat SwissProt: Q0P5V6 Rat Unigene: 437277 Human Unigene: 142729 Mouse Unigene: 409203 Mouse Unigene: 168067 Rat Unigene: 2605 Rat Important Note: This product as supplied is intended for research use only, not for use in human, therapeutic or diagnostic applications. |
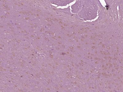
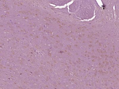
| 产品图片 | ![]() Paraformaldehyde-fixed, paraffin embedded (Mouse brain); Antigen retrieval by boiling in sodium citrate buffer (pH6.0) for 15min; Block endogenous peroxidase by 3% hydrogen peroxide for 20 minutes; Blocking buffer (normal goat serum) at 37°C for 30min; Antibody incubation with (Thymosin beta 4) Polyclonal Antibody, Unconjugated (bs-9870R) at 1:400 overnight at 4°C, followed by operating according to SP Kit(Rabbit) (sp-0023) instructionsand DAB staining. |
风险提示:丁香通仅作为第三方平台,为商家信息发布提供平台空间。用户咨询产品时请注意保护个人信息及财产安全,合理判断,谨慎选购商品,商家和用户对交易行为负责。对于医疗器械类产品,请先查证核实企业经营资质和医疗器械产品注册证情况。
技术资料暂无技术资料 索取技术资料
Thymosin beta 4 antibody
¥1380 - 2200










