万千商家帮你免费找货
0 人在求购买到急需产品
- 详细信息
- 询价记录
- 文献和实验
- 技术资料
细胞自噬(autophagy or autophagocytosis):又称为Ⅱ型细胞死亡,是细胞在自噬相关基因(autophagy related gene,Atg) 的调控下利用溶酶体降解自身受损的细胞器和大分子物质的过程。自噬作为时下的研究热点,有非常深远的研究意义。拓普生物在自噬研究方面具有丰富的经验,我们可以为您提供从课题设计-实验操作-实验结果-数据分析的整体解决方案。
(一)自噬诱导剂
1)Bredeldin A / Thapsigargin / Tunicamycin :模拟内质网应激
2)Carbamazepine/ L-690,330/ Lithium Chloride(氯化锂):IMPase 抑制剂(即Inositol monophosphatase,肌醇单磷酸酶)
3)Earle's 平衡盐溶液:制造饥饿
4)N-Acetyl-D-sphingosine(C2-ceramide):Class I PI3K Pathway 抑制剂
5)Rapamycin:mTOR 抑制剂(这是最常用的)
6)Xestospongin B/C:IP3R 阻滞剂

图片来源:Eur Rev Med Pharmacol Sci. 2017 Dec;21(24):5548-5556
(二)自噬抑制剂
1)3-Methyladenine(3-MA):(Class III PI3K) hVps34 抑制剂
2)Bafilomycin A1:质子泵抑制剂
3)Hydroxychloroquine(羟氯喹)
(三)细胞自噬形态学特征的检测方法
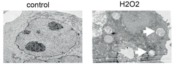
1)透射电镜观察自噬体。
自噬体是自噬的标志性结构。自噬体属于亚细胞结构,直径一般为300~900nm,平均500nm,普通光镜下看不到。通过透射电子显微镜发现自噬体一直是观察自噬现象最直接、最经典的方法,是自噬检测的“金标准”。

图片来源:Eur Rev Med Pharmacol Sci. 2017 Dec;21(24):5548-5556
2)荧光显微镜下采用GFP-LC3融合蛋白来示踪自噬形成。
由于自噬体膜形成过程中需要LC3,因此通过标记LC3可以识别自噬体。

图片来源:Onco Targets Ther. 2018 Apr 9;11:2017-2028
3)荧光染色法
用荧光染料对组织切片或细胞进行染色观察自噬的发生。晚期自噬体与溶酶体融合而呈酸性,根据这个特点可用酸向性染料MDC、吖啶橙和Lyso Tracker标记自噬溶酶体。

MDC染色法观察自噬 图片来源:Acta Pharmacol Sin. 2016 Apr; 37(4): 505–518
(四)自噬标志性蛋白
1.自噬标记蛋白LC3微管相关蛋白1轻链3(LC3/Atg8)是自噬体膜上的标记蛋白。细胞内存在两种形式的LC3蛋白,LC3-Ⅰ和LC3-Ⅱ。细胞内新合成的LC3其C端被Atg4蛋白酶剪切,成为胞质可溶形式的LC3-Ⅰ。当自噬体形成后,LC3-Ⅰ经剪切和泛素化加工修饰.与自噬体膜表面的磷脂酰乙醇胺(PE)偶联,成为膜结合形式的LC3-Ⅱ并定位于自噬体内膜和外膜,因此LC3-Ⅱ/Ⅰ比值的大小可以估计自噬水平的高低。

图片来源:BMC Ophthalmol. 2018 Apr 27;18(1):110
2)细胞自噬底物蛋白的检测
p62偶联于LC3,作为一种调节因子参与自噬体的构成,在自噬的中、晚期被降解。细胞内整体p62水平的表达与自噬活性存在负相关。蛋白质免疫印迹技术检测p62水平的降低可以反映自噬活性程度。p62的增加暗示着自噬、溶酶体降解途径被抑制。

图片来源:Front Physiol. 2018; 9: 441
3)Atg12-Atg5复合体
除了LC3,自噬体膜上标志性蛋白质还有Atg12-Atg5结合体。Atg12和Atg5在翻译后就像单个分子一样共价结合在一起,它定位在自噬体双层隔离膜的整个延长阶段。

图片来源:Front Physiol. 2018; 9: 441
4)Beclin1
哺乳动物Beclin1是酵母Atg6基因的同源物。Beclin1通过激活自噬对细胞生长和抑瘤机制进行控制。蛋白质印迹技术检测Beclin1蛋白表达情况直接反映自噬活性。

图片来源:Onco Targets Ther. 2018 Apr 9;11:2017-2028
5)自噬相关的标志性蛋白还包括ATG1、ATG9、DRAM1、ATG14、ATG16以及 ATG18等。
(五)自噬的调控通路
1)依赖mTOR(哺乳动物雷帕霉素靶点)途径的自噬
A.PI3K-AKT-mTOR信号通路

图片来源:Onco Targets Ther. 2018 Apr 9;11:2017-2028
B. AMPK-TSC 1/2-mTOR 信号通路
2)其它的信号通路
A. 3-甲基腺嘌呤(3-MA)通过抑制Class ⅢPI3K的活性抑制自噬。
B. beclin1和UVRAG作为正调控子,抗凋亡因子bcl-2作为负调控子共同参与组成ClassⅢPI3 复合物调控自噬。
C. GTP结合的G蛋白亚基Gαi3抑制自噬;GDP结合的Gαi3蛋白活化自噬。
D. 死亡相关蛋白激酶(death-associated proteinlinase,DAPK)和DAPK相关蛋白激酶(DAPK-related protein kinase-1,DRP-1)诱导自噬。
参考文献:
1.Li et al.Autophagy attenuates the oxidative stress-induced apoptosis of Mc3T3-E1 osteoblasts. Eur Rev Med Pharmacol Sci. 2017 Dec;21(24):5548-5556.
2.Fu et al. Hyperoside induces both autophagy and apoptosis in non-small cell lung cancer cells in vitro. Acta Pharmacol Sin. 2016 Apr; 37(4): 505–518.
3.Yao et al. Crocin induces autophagic apoptosis in hepatocellular carcinoma by inhibiting Akt/mTOR activity. Onco Targets Ther. 2018 Apr 9;11:2017-2028.
4. Li et al. Manipulation of autophagy: a novelly potential therapeutic strategy for retinal neovascularization. BMC Ophthalmol. 2018 Apr 27;18(1):110.
5. Huang et al. Severe Burn-Induced Intestinal Epithelial Barrier Dysfunction Is Associated With Endoplasmic Reticulum Stress and Autophagy in Mice. Front Physiol. 2018; 9: 441
(一)自噬诱导剂
1)Bredeldin A / Thapsigargin / Tunicamycin :模拟内质网应激
2)Carbamazepine/ L-690,330/ Lithium Chloride(氯化锂):IMPase 抑制剂(即Inositol monophosphatase,肌醇单磷酸酶)
3)Earle's 平衡盐溶液:制造饥饿
4)N-Acetyl-D-sphingosine(C2-ceramide):Class I PI3K Pathway 抑制剂
5)Rapamycin:mTOR 抑制剂(这是最常用的)
6)Xestospongin B/C:IP3R 阻滞剂

图片来源:Eur Rev Med Pharmacol Sci. 2017 Dec;21(24):5548-5556
(二)自噬抑制剂
1)3-Methyladenine(3-MA):(Class III PI3K) hVps34 抑制剂
2)Bafilomycin A1:质子泵抑制剂
3)Hydroxychloroquine(羟氯喹)
(三)细胞自噬形态学特征的检测方法
1)透射电镜观察自噬体。
自噬体是自噬的标志性结构。自噬体属于亚细胞结构,直径一般为300~900nm,平均500nm,普通光镜下看不到。通过透射电子显微镜发现自噬体一直是观察自噬现象最直接、最经典的方法,是自噬检测的“金标准”。

图片来源:Eur Rev Med Pharmacol Sci. 2017 Dec;21(24):5548-5556
2)荧光显微镜下采用GFP-LC3融合蛋白来示踪自噬形成。
由于自噬体膜形成过程中需要LC3,因此通过标记LC3可以识别自噬体。

图片来源:Onco Targets Ther. 2018 Apr 9;11:2017-2028
3)荧光染色法
用荧光染料对组织切片或细胞进行染色观察自噬的发生。晚期自噬体与溶酶体融合而呈酸性,根据这个特点可用酸向性染料MDC、吖啶橙和Lyso Tracker标记自噬溶酶体。

MDC染色法观察自噬 图片来源:Acta Pharmacol Sin. 2016 Apr; 37(4): 505–518
(四)自噬标志性蛋白
1.自噬标记蛋白LC3微管相关蛋白1轻链3(LC3/Atg8)是自噬体膜上的标记蛋白。细胞内存在两种形式的LC3蛋白,LC3-Ⅰ和LC3-Ⅱ。细胞内新合成的LC3其C端被Atg4蛋白酶剪切,成为胞质可溶形式的LC3-Ⅰ。当自噬体形成后,LC3-Ⅰ经剪切和泛素化加工修饰.与自噬体膜表面的磷脂酰乙醇胺(PE)偶联,成为膜结合形式的LC3-Ⅱ并定位于自噬体内膜和外膜,因此LC3-Ⅱ/Ⅰ比值的大小可以估计自噬水平的高低。

图片来源:BMC Ophthalmol. 2018 Apr 27;18(1):110
2)细胞自噬底物蛋白的检测
p62偶联于LC3,作为一种调节因子参与自噬体的构成,在自噬的中、晚期被降解。细胞内整体p62水平的表达与自噬活性存在负相关。蛋白质免疫印迹技术检测p62水平的降低可以反映自噬活性程度。p62的增加暗示着自噬、溶酶体降解途径被抑制。

图片来源:Front Physiol. 2018; 9: 441
3)Atg12-Atg5复合体
除了LC3,自噬体膜上标志性蛋白质还有Atg12-Atg5结合体。Atg12和Atg5在翻译后就像单个分子一样共价结合在一起,它定位在自噬体双层隔离膜的整个延长阶段。

图片来源:Front Physiol. 2018; 9: 441
4)Beclin1
哺乳动物Beclin1是酵母Atg6基因的同源物。Beclin1通过激活自噬对细胞生长和抑瘤机制进行控制。蛋白质印迹技术检测Beclin1蛋白表达情况直接反映自噬活性。

图片来源:Onco Targets Ther. 2018 Apr 9;11:2017-2028
5)自噬相关的标志性蛋白还包括ATG1、ATG9、DRAM1、ATG14、ATG16以及 ATG18等。
(五)自噬的调控通路
1)依赖mTOR(哺乳动物雷帕霉素靶点)途径的自噬
A.PI3K-AKT-mTOR信号通路

图片来源:Onco Targets Ther. 2018 Apr 9;11:2017-2028
B. AMPK-TSC 1/2-mTOR 信号通路
2)其它的信号通路
A. 3-甲基腺嘌呤(3-MA)通过抑制Class ⅢPI3K的活性抑制自噬。
B. beclin1和UVRAG作为正调控子,抗凋亡因子bcl-2作为负调控子共同参与组成ClassⅢPI3 复合物调控自噬。
C. GTP结合的G蛋白亚基Gαi3抑制自噬;GDP结合的Gαi3蛋白活化自噬。
D. 死亡相关蛋白激酶(death-associated proteinlinase,DAPK)和DAPK相关蛋白激酶(DAPK-related protein kinase-1,DRP-1)诱导自噬。
参考文献:
1.Li et al.Autophagy attenuates the oxidative stress-induced apoptosis of Mc3T3-E1 osteoblasts. Eur Rev Med Pharmacol Sci. 2017 Dec;21(24):5548-5556.
2.Fu et al. Hyperoside induces both autophagy and apoptosis in non-small cell lung cancer cells in vitro. Acta Pharmacol Sin. 2016 Apr; 37(4): 505–518.
3.Yao et al. Crocin induces autophagic apoptosis in hepatocellular carcinoma by inhibiting Akt/mTOR activity. Onco Targets Ther. 2018 Apr 9;11:2017-2028.
4. Li et al. Manipulation of autophagy: a novelly potential therapeutic strategy for retinal neovascularization. BMC Ophthalmol. 2018 Apr 27;18(1):110.
5. Huang et al. Severe Burn-Induced Intestinal Epithelial Barrier Dysfunction Is Associated With Endoplasmic Reticulum Stress and Autophagy in Mice. Front Physiol. 2018; 9: 441
风险提示:丁香通仅作为第三方平台,为商家信息发布提供平台空间。用户咨询产品时请注意保护个人信息及财产安全,合理判断,谨慎选购商品,商家和用户对交易行为负责。对于医疗器械类产品,请先查证核实企业经营资质和医疗器械产品注册证情况。
- 作者
- 内容
- 询问日期
文献和实验相关实验
和元生物
proteins are visualized in the pellet fraction (P) after centrifugation of the reaction. 由于膜蛋白的过表达可能对细胞有毒性,并且在纯化时很难选择合适的溶解试剂,再加上目前对膜蛋白晶体培养缺少有效方法和模型,所以要想顺利地获得膜蛋白的三维数据更是难上加难。幸亏技术总在进步,创新的产品也不断涌现。QIAGEN在2009年推出了膜蛋白的整体解决方案
什么是外泌体? 外泌体(Exosomes)是细胞分泌到胞外的一种囊泡(Extracellular Vesicles,EVs),其大小为30-150nm,具有双层膜结构和茶托状形态,含有丰富的内含物(包括核酸、蛋白和脂质等),参与细胞间的分子传递。外泌体广泛存在于细胞培养上清以及各种体液中,包括血液、淋巴液、唾液、尿液、精液、乳汁等,同时也存在于组织样本中,如脑组织、肌肉组织、脂肪组织等。 脑组织分离方法简述:将脑组织剪成薄片,放入离心管中加上消化液进行消化,经水浴、反复轻轻上下颠倒,再用移液
技术资料暂无技术资料 索取技术资料
自噬整体解决方案
询价










