相关产品推荐更多 >
万千商家帮你免费找货
0 人在求购买到急需产品
- 详细信息
- 文献和实验
- 技术资料
- 库存:
233
- 保质期:
长期
- 供应商:
北京百奥莱博科技有限公司
特别声明:本产品及我公司所售其他产品均为科研类试剂产品,严禁用于药物、医疗及其他非科研用途。
北京百奥莱博专业生产供应北京2×RoomTop Taq PCR MasterMix厂家,我公司销*(代"售")全品类的分子生物学试剂,价格优惠,欢迎广大科研工作者垂询订购。
名称:2×RoomTop Taq PCR MasterMix
规格:1ml×5
编号:JN0035
品牌:百奥莱博
产地:国产|进口
本制品是以2×Taq PCR MasterMix为基础,与新型稳定剂整合后研发成功的预混试剂,具有极佳的保存稳定性,室温存放2个月,4℃存放6个月后,依然能保持极佳的扩增性能。2×RoomTop Taq PCR MasterMix保持了2×Taq PCR MasterMix试剂的特点,扩增长度可达8kb,能对4kb及其以下长度的片段进行高效地扩增。使用时只需加入模板和引物并稀释到一倍浓度即可进行PCR反应,大大地简化了操作过程,减少了 PCR操作过程中的污染。2×RoomTop Taq PCR MasterMix提供快速上样型(含高纯度蓝色染料)及不含染料的普通型两种形式供您选择。快速上样型在PCR反应完成后可直接电泳,节省时间。经测试,高纯度染料的加入不影响PCR反应。
产品特点:
1、可置于实验台上的PCR鉴定试剂。
2、室温存放2个月,4℃存放6个月,扩增性能不受影响。
3、可直接用于菌落、菌液等PCR鉴定实验。
产品用途:常规PCR鉴定;小片段DNA克隆;PCR产物加A。
使用建议:
1、使用本试剂扩增得到的PCR产物3´ 端有一突出"A"碱基,可直接克隆于 T载体中。
2、PCR反应液请在冰上配制,然后置于PCR仪上进行。这种冷启动法(Cool Start Method)可增加PCR扩增的特异性,得到良好的PCR结果。
3、使用PCR克隆目的片段时,为减少PCR过程中的随机突变,可适量增加模板量,减少PCR循环(如20至25次循环)。
应用实例:

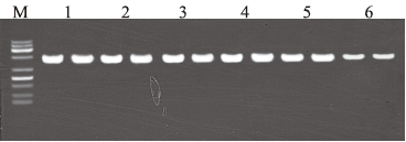
图例一)在50μl 体系中,使用室温保存不同 时间后2×RoomTop Taq PCR Mix试剂对小鼠基因组1.6kb片段进行扩增
泳道M:DNA Ladder 2000 Plus
泳道1:0周 泳道2:2周
泳道3:4周 泳道4:6周
泳道5:8周 泳道6:10周
常用反应体系(50μl):
| 组分 | 体积 |
| 2×PCR MasterMix* | 25μl |
| 上游引物 | 0.2-1.0μM(终浓度) |
| 下游引物 | 0.2-1.0μM(终浓度) |
| 模板 | 1-50ng(质粒) |
| 10ng-1μg(基因组) | |
| ddH2O | 至50μl |
| *Mg2+终浓度为2mM | |
常用PCR循环:
| 当扩增片段<3K: | |
| 94℃ | 10分钟 |
| 30次循环 | 94℃,20秒 57℃ 20秒 72℃根据产物长度调整,60秒/kb |
| 72℃ | 5分钟 |
| 4℃ | 保温 |
| 当扩增片段≥3K(推荐引物长度≥30bp): | |
| 94℃ | 10分钟 |
| 30次循环 | 94℃,5秒 68℃ 根据产物长度调整,60秒/kb |
| 72℃ | 5分钟 |
| 4℃ | 保温 |
PCR MasterMix选购指南:
| 编号 | 产品名称 | 特点 |
| 适用于菌落鉴定、菌液鉴定及常规PCR鉴定实验的Mix系列 | ||
| JN0030 | 2×Taq PCR MasterMix | 高性价比PCR Mix,使用简便,扩增灵敏度高 |
| JN0034 | 2×Complex Taq PCR MasterMix | JN0030改进版,性能更均衡,适用面更广 |
| JN0040 | 2×Fast Taq PCR MasterMix | 最快速的PCR试剂,常规PCR鉴定45分钟内知道结果 |
| JN0035 | 2×RoomTop Taq PCR MasterMix | 可放在手边的PCR试剂,室温稳定存放60天 |
| JN0036 | 2×RoomTop Fast Taq PCR MasterMix | 室温稳定存放60天,高速PCR试剂,常规PCR鉴定45分钟内知道结果 |
| 适用于一些较难扩增的PCR条带的鉴定及短片段克隆 | ||
| JN0032 | 2×Taq Plus PCR MasterMix | 扩增效率更高及较好的保真度 |
| JN0038 | 2×Hot Start Taq PCR MasterMix | 采用热启动Taq,可获得很好的特异性 |
| JN0041 | 2×Ultra Taq PCR MasterMix | 高速扩增酶,优化配方,解决PCR扩增难题的,灵敏度高 |
| 高保真酶试剂,适用于长片段基因克隆 | ||
| JN0031 | 2×Pfu PCR MasterMix | 采用高保真酶,适用于基因克隆 |
| JN0043 | 2×Fast Pfu PCR MasterMix | 采用改良型高保真酶,更好的扩增效果,4倍扩增速度;扩增迅速 |
| 防止PCR产物二次污染、极高检测灵敏度的PCR试剂 | ||
| JN0047 | 2×PCR MasterMix(防污染) | 采用dUTP/UDG酶系统,从根本上杜绝PCR产物二次污染 |
| JN0033 | 2×Genotyping PCR Kit(nomal) | 极高检测灵敏度,可达到普通PCR试剂102至104倍扩增灵敏度 |
PCR MasterMix性能对比表:
| 名称 | 编号 | 扩增时间 | 扩增长度 | 是否有3"-A | 基因组扩增 |
| 2×Taq PCR MasterMix | JN0030 | 1min/kb | ≤8kb | √ | + |
| 2×RoomTop Taq PCR MasterMix | JN0035 | 1min/kb | ≤8kb | √ | ++ |
| 2×Complex Taq PCR MasterMix | JN0034 | 1min/kb | ≤8kb | √ | + |
| 2×Fast Taq PCR MasterMix | JN0040 | 15s/kb | ≤8kb | √ | + |
| 2×RoomTop Fast Taq PCR MasterMix | JN0036 | 15s/kb | ≤8kb | √ | ++ |
| 2×Ultra Taq PCR MasterMix | JN0041 | 15s/kb | ≤8kb | √ | +++ |
| 2×Taq Plus PCR MasterMix | JN0032 | 1min/kb | ≤20kb | √ | ++++ |
| 2×Ultra Taq Plus PCR MasterMix | JN0042 | 15s/kb | ≤30kb | √ | ++++ |
| 2×Hot Start Taq PCR MasterMix | JN0038 | 1min/kb | ≤8kb | √ | ++++ |
| 2×Hot Start Taq Plus PCR MasterMix | JN0039 | 1min/kb | ≤20kb | √ | ++++ |
| 2×Pfu PCR MasterMix | JN0031 | 1min/kb | ≤6kb | × | + |
| 2×Fast Pfu PCR MasterMix | JN0043 | 30min/kb | ≤12kb | × | + |
| 2×SYBR Green Realtime PCR MasterMix | JN0049 | 1min/kb | ≤8kb | √ | ++ |
| 2×Genotyping PCR Kit(Normal) | JN0033 | 1min/kb | ≤8kb | √ | +++++ |
| 2×Genotyping PCR Kit(Fast) | JN0044 | 15s/kb | ≤8kb | √ | +++++ |
| 2×PCR MasterMix(防污染) | JN0047 | 1min/kb | ≤8kb | √ | + |
关键词:百奥莱博,2×RoomTop Taq PCR MasterMix,JN0035
欲咨询购买北京2×RoomTop Taq PCR MasterMix厂家,请致电北京百奥莱博科技有限公司,为您提供最全面周到的产品服务,除此之外,我公司正在促销以下产品:
| 编号 | 名称 |
| JN0583 | 重组人甘露糖结合凝集素2(MBL-2) |
| JN0020 | Phi29 DNA聚合酶 |
| JN0701 | 重组人PDGF相关蛋白(PAP) |
| JN0625 | 重组人载脂蛋白M(ApoM) |
| JN0013 | RNA酶抑制剂(40U/μl) |
| JN1307 | 重组人细胞色素B5(CYB5B) |
| JN0781 | 重组人维生素D结合蛋白(VDBP) |
| JN0488 | 重组人OX40(TNFRSF4)(CD134)(C端Fc标签) |
| JN1402 | 重组人IL-17B |
| JN1007 | 重组人泛素结合酶E2-C(UBCE2C) |
| JN0733 | 重组人甘露糖苷乙酰葡糖*基转移酶2(MGAT2) |
| JN0726 | 重组人LRRC3B(富含亮*酸重复序列3B蛋白) |
| JN1879 | 重组小鼠CD32(FCGR2) |
| JN1428 | 重组小鼠Dtk |
| JN1363 | 重组人LRRC19(富亮*酸重复域蛋白19) |
| JN1325 | 重组人RPS6KA1(核糖体蛋白S6激酶α1) |
| JN0724 | 重组人Parafibromin蛋白(细胞分裂周期蛋白73同源蛋白)(CDC73) |
| JN1997 | 重组人生长停滞特异性蛋白7(GAS-7) |
| JN1658 | 重组人FBPase1 |
| JN1637 | 重组人IL-13RA1 |
| JN0898 | 重组人锌指蛋白75A(ZNF75A) |
| JN1313 | 重组小鼠GDF15(生长分化因子15) |
| JN0300 | 重组人趋化因子CXCL1(GROα) |
| JN0379 | 重组人白介素IL-4(白细胞介素4) |
| JN0750 | 重组人TFF2(三叶因子2) |
| JN0127 | BL21(DE3)感受态细胞(pG-TF2分子伴侣) |
| JN1758 | 重组人Serpin B5(丝*酸蛋白酶抑制剂B5) |
| JN1357 | 重组人PTH1R(PTHR1)(甲状旁腺素1受体) |
| JN1957 | 重组人小泛素相关修饰物1(SUMO1) |
| JN0939 | 重组人信号转导与转录激活因子3(STAT3) |
| JN0076 | Klenow片段 |
| JN1715 | 重组人激肽释放酶(Kallikrein 8)(KLK8) |
| JN1456 | 重组小鼠Soggy-1(DkkL1) |
| JN1889 | 重组人CD99L2 |
| JN0445 | 重组人TNFRSF10B(TRAILR2) |
| JN0168 | 糖苷内切酶H |
| JN1441 | 重组小鼠*结合蛋白S100B |
| JN0676 | 重组人α-可溶性NSF附着蛋白(α-SNAP) |
| JN1841 | 重组人LIR-1 |
| JN0657 | 重组人抑瘤素M(肿瘤抑制因子M)(Oncostatin M)(OSM) |
| JN0414 | 重组人白介素2受体β(C端带His标签) |
| JN1244 | 重组人AMY2B(α-淀粉酶2B) |
| JN1659 | 重组MAP |
| JN1532 | 重组人IL-35 |
| JN0350 | 重组小鼠白介素IL-13(Pro22-Phe131) |
风险提示:丁香通仅作为第三方平台,为商家信息发布提供平台空间。用户咨询产品时请注意保护个人信息及财产安全,合理判断,谨慎选购商品,商家和用户对交易行为负责。对于医疗器械类产品,请先查证核实企业经营资质和医疗器械产品注册证情况。
文献和实验for both DNA sample and reaction mixture preparation, is strongly recommended.The reagents for PCR should be prepared separately and used solely for this purpose. Autoclaving of all solutions, except dNTPs, primers and Taq DNA Polymerase is recommended
bp 片段,以 pBS 菌液为模板扩增 1500 bp 片段。 模板:菌液 OD600=0.8 时 2 μL /50 μL PCR 扩增程序:同上 a 扩增程序同。 结果:Bioteke 2×power Taq PCR MasterMix 试剂对于质粒或菌液均可高效率的扩增。取扩增产物 10 μL 用 1% 琼脂糖凝胶电泳进行分析可见明亮条带。 二、genomic DNA扩增 1.大肠杆菌DNA扩增 模板:大肠杆菌DNA 50 ng/50 μL PCR扩增程序: 循环数 Step 温度
Cloning of Taq polymerase-amplified PCR products
" vector) Taq polymerase has a nontemplate-dependent terminal transferase activity that adds a single deoxyadenosine (A) to the 3´ ends of PCR products. The linearized vector supplied in this kit has single, overhanging 3´ deoxythymidine (T) residues
技术资料暂无技术资料 索取技术资料










