相关产品推荐更多 >
万千商家帮你免费找货
0 人在求购买到急需产品
- 详细信息
- 询价记录
- 文献和实验
- 技术资料
- 保存条件:
-25~-15℃保存
- 保质期:
有效期1年
- 英文名:
Mouse Tissue Direct PCR Kit Pro
- 库存:
大量
- 供应商:
翌圣生物科技(上海)股份有限公司
- 规格:
20 T(10191ES20)/50 T(10191ES50)/200 T(10191ES70)
| 规格: | 20 T(10191ES20) | 产品价格: | ¥195.0 |
|---|---|---|---|
| 规格: | 50 T(10191ES50) | 产品价格: | ¥265.0 |
| 规格: | 200 T(10191ES70) | 产品价格: | ¥1085.0 |
产品介绍
本试剂盒包含组织快速裂解试剂和扩增试剂,可直接对小鼠组织(如鼠尾、鼠耳、鼠趾、肝脏、肾脏等)样本进行裂解,快速释放基因组DNA,还可兼容血液、细胞悬浮液等样本,裂解产物的上清液可直接加入到 PCR反应体系中,无需精提纯化,操作方便。此外,本试剂盒对样品投入量要求低,2~5 mm2鼠耳或肝脏、1~5 mm鼠尾、1~2个脚趾均可进行实验。
本试剂盒提供的 2× Hieff® Tissue Direct PCR Mix(With Dye)为 2倍浓度的PCR反应液,包含了用于PCR扩增除模板和引物外的所有组分,大大简化操作过程,降低污染几率,可广泛扩增10 Kb及以内的片段。
该试剂盒可用于转基因鉴定、小鼠基因分型等。
产品特色
- 直扩片段长:最长可直扩10 kb片段。
- 快速延伸:5-10秒/kb延伸速度,省时高效。
- 耐受性好:裂解液投入量可达到扩增体系20%。
- 裂解灵活:95℃3分钟裂解/60℃15分钟裂解。
- 多重扩增:至多可满足5-7重扩增。
- 稳定可靠:试剂盒&裂解产物稳定性好。
应用案例
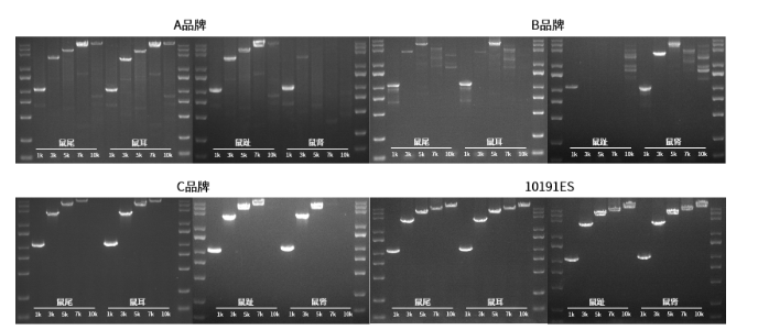
- 可满足10 kb以内的小鼠直扩
▲可满足10kb以内的小鼠直扩。分别裂解鼠尾、鼠耳、鼠趾和鼠肾,取1 μL 裂解产物扩增1~10 kb片段。其中翌圣10191ES采用95℃高温3分钟裂解,5-10 sec/kb的延伸速度进行扩增,其他品牌采用各自对应说明书进行反应。数据结果显示10191ES在快速裂解和快速扩增的情况下,可保证10kb以内的片段扩增。
- 覆盖30%-70%GC含量的片段

▲可满足10kb以内不同GC含量片段的小鼠直扩。取1 μL 裂解产物扩增1~10 kb中不同GC含量的片段。数据结果显示10191ES可满足10kb以内不同GC含量的片段扩增,GC含量覆盖范围为30%-70%。
- PCR耐受性好
▲耐受性好。分别取95℃高温3分钟裂解后的不同体积裂解产物扩增1~10 kb片段,PCR扩增体系为20 μL,5-10 sec/kb的延伸速度进行扩增。数据结果显示PCR组分对裂解液有优秀的耐受性,裂解液投入量可达到扩增体系的20%。
- 裂解产物多重扩增
▲裂解产物可满足7重扩增。取95℃高温3分钟裂解后的裂解产物进行7重引物扩增,PCR扩增体系为25 μL,5 sec/kb的延伸速度进行扩增。数据结果显示翌圣10191ES可扩增500 bp~5 kb的7重条带。
- 裂解产物稳定性好
▲鼠组织裂解产物稳定性好。取裂解的鼠尾上清液保存于25℃恒温箱和4℃冰箱中4周,PCR扩增检测1~10 kb片段。数据结果显示相比新鲜裂解液,裂解产物在保存一段时间后,仍能够保证扩增检出。
- 试剂盒稳定好
▲试剂盒稳定性好。将10191ES全套试剂盒保存于25℃恒温箱和4℃冰箱中4周,37℃恒温箱中2周。PCR扩增检测1~10 kb片段。数据结果显示试剂盒稳定性好,仍能够保证扩增检出。
存储条件
未开封状态下,-25~-15℃保存,有效期1年。
开封后A、B组分4℃保存,有效期1年。若长时间多次使用,请分装后储存,避免交叉污染。
开封后C组分-25~-15℃保存,避免反复冻融,有效期1年。
FAQ
1. 电泳条带弱(扩增产量低)
1)引物:优化引物设计;
2)退火温度:设置退火温度梯度,找到合适的退火温度;
3)引物浓度:适当提高引物浓度;
4)延伸时间:适当增加延伸时间至10 sec/kb;
5)循环数:增加循环数至36~ 40个循环;
6)模板量不足:样本裂解不彻底导致DNA释放量少,可适当延长裂解时间至20min或提高裂解温度至95℃。
2. 有杂带或弥散条带
1)引物设计问题:引物错配导致扩增特异性差,需重新设计引物,可以先用精提模板扩增,验证引物设计的合理性;
2)退火温度:尝试提高退火温度并设置退火温度梯度;
3)引物浓度:适当降低引物浓度;
4)循环数:减少循环数至25~30个循环;
5)模板降解:更换高质量模板。
3. 产物堵胶孔
1)清洁实验环境,避免气溶胶污染;
2)模板使用量:降低模板使用量;
3)循环数:减少循环数至25~30个循环;
4)退火温度:设置退火温度梯度,摸索最佳退火温度。
风险提示:丁香通仅作为第三方平台,为商家信息发布提供平台空间。用户咨询产品时请注意保护个人信息及财产安全,合理判断,谨慎选购商品,商家和用户对交易行为负责。对于医疗器械类产品,请先查证核实企业经营资质和医疗器械产品注册证情况。
- 作者
- 内容
- 询问日期
文献和实验of tissue/ cell harvest. Dynabeads® mRNA DIRECT™ Kit protocols can be scaled up or down to suit specific sample source and quantity. Please see section "Sample Guidelines and Scaling" before preparing the sample, and for recommended bead and buffer volumes
from the same sample, the AllPrep DNA/RNA 96 Kit is the ideal tool for sample preparation in genomics and systems biology. Efficient purification of high-quality DNA and RNA from different tissue types is achieved (see figures "Reproducible purification of DNA and RNA
Dynabeads® mRNA DIRECT Micro Kit - mRNA isolation for RT-PCR amplification
实验原理 Use the Dynabeads® mRNA DIRECT™ Micro Kit for simple and rapid isolation of mRNA from small cell and tissue samples, for direct use in reverse transcription PCR. The direct mRNA isolation is completed in only 15
技术资料需要更多技术资料 索取更多技术资料











