相关产品推荐更多 >
万千商家帮你免费找货
0 人在求购买到急需产品
- 详细信息
- 文献和实验
- 技术资料
- 免疫原:
Purified full-size recombinant Gag p17 of HIV-1 subtype B expressed in E. coli
- 亚型:
IgG
- 形态:
Liquid
- 保存条件:
Store as concentrated solution. Centrifuge briefly prior to opening vial. For short-term storage (1-2 weeks), store at 4ºC. For long-term storage, aliquot and store at -20ºC or below. Avoid multiple freeze-thaw cycles.
- 克隆性:
Polyclonal
- 标记物:
Unconjugated
- 适应物种:
Human Immunodeficiency virus
- 保质期:
12 months from the shipping date of the product.
- 抗原来源:
Human Immunodeficiency virus
- 目录编号:
GTX64126
- 级别:
Primary Antibodies
- 库存:
Available
- 供应商:
GeneTex
- 宿主:
Rabbit
- 应用范围:
WB, IP, Dot, ELISA
- 浓度:
Batch dependent (Please refer to the vial label for the specific concentration.)
- 靶点:
HIV1 p17
- 抗体英文名:
HIV1 p17 antibody
- 抗体名:
HIV1 p17 抗体
- 规格:
100 μl
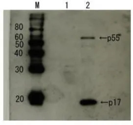
Detection of HIV-1 p17 and its p55 precursor protein by Western blotting using the anti-p17 antibody. Lane 1: Extract of MT4 cells Lane 2: Extract of MT4 cells infected with HIV-1(LAI strain) The antiserum was diluted 2,500 fold before use.
风险提示:丁香通仅作为第三方平台,为商家信息发布提供平台空间。用户咨询产品时请注意保护个人信息及财产安全,合理判断,谨慎选购商品,商家和用户对交易行为负责。对于医疗器械类产品,请先查证核实企业经营资质和医疗器械产品注册证情况。
文献和实验[3] 。但据报道,MCF-7 人乳腺癌细胞系中,因在 CASP-3 基因 exon 3 中存在 47bp 的缺失而不表达 caspase 3 蛋白[4] 。前体形式的 caspase-3 由一个前端功能区(prodomain)和一大一小两个催化亚单位构成。在特定的刺激比如配体受体互作、生长因子匮乏和细胞功能抑制剂等的作用下,未活化的酶原形式的 caspase-3 在 Asp-28/Ser-29(N 端功能前区)以及 Asp-175/Ser-176(大小亚基之间)被剪切活化,转变为活化的 p17 大亚
Molecular Approaches to AIDS Vaccine Development Using Baculovirus Expression Vectors
immune response to its viral components. However, the response cannot cope with progressive infection. An antibody response to the virion surface proteins, env (gp120, gp41), and the core protein, gag (p24, p17), is observed in most instances 4–8 wk
我准备做凋亡过程中CASPASE 3的变化,用WESTERN检测。我准备买SANTA CRUZ的抗体。有两种,一种是单抗,另一种是多抗。具体如下: 1.caspase-3 (E-8): sc-7272 SOURCE Caspase-3 (E-8) is a mouse monoclonal IgG2a antibody corresponding to amino acids 1-277 representing the full length precursor form
技术资料暂无技术资料 索取技术资料





![NCAM antibody [NCAM1/2217R]](https://img1.dxycdn.com/2022/0328/261/6255787834259700453-14.jpg!wh200)

![Glypican-3 antibody [SPM595]](https://img1.dxycdn.com/2022/0328/930/0199539307740700453-14.jpg!wh200)


