相关产品推荐更多 >

human CD34 Mouse mAb, PE conjugated(bsm-30097M-PE)-25T/50T/100T
¥680
AMIGO3 Rabbit pAb(bs-7959R)-50ul/100ul/200ul
¥1180
phospho-CDKN1A/p21 (Ser146) Rabbit pAb(bs-5239R)-50ul/100ul/200ul
¥1180
EphB2 Rabbit pAb, AP conjugated(bs-0996R-AP)-100ul
¥2980
CD226 Rabbit pAb, Cy7 conjugated(bs-2569R-Cy7)-100ul
¥2980
万千商家帮你免费找货
0 人在求购买到急需产品
- 详细信息
- 文献和实验
- 技术资料
- 应用范围:
产品信息以Bioss网站为准
- 规格:
50ul/100ul/200ul
| 规格: | 50ul | 产品价格: | ¥1180.0 |
|---|---|---|---|
| 规格: | 100ul | 产品价格: | ¥1980.0 |
| 规格: | 200ul | 产品价格: | ¥2800.0 |
| 产品编号 | bs-9364R |
| 英文名称 | PSMB8 Rabbit pAb |
| 中文名称 | 低分子量蛋白7抗体 |
| 英文别名 | Proteasome 20S LMP7; D6S216; D6S216E; Large multifunctional peptidase 7; Large multifunctional protease 7; LMP 7; LMP-7; LMP7; Low molecular mass protein 7; Low molecular weight protein 7; Macropain subunit C13; MGC1491; Multicatalytic endopeptidase complex subunit C13; Protease component C13; Proteasome(prosome macropain) subunit beta type 8; Proteasome(prosome, macropain) subunit, beta type, 8(large multifunctional peptidase 7); Proteasome beta 8 subunit; Proteasome catalytic subunit 3i; Proteasome component C13; Proteasome related gene 7; Proteasome subunit beta 5i; Proteasome subunit beta type 8; Proteasome subunit beta type; Proteasome subunit beta type-8; Proteasome subunit beta-5i; Proteasome subunit Y2; PSB8_HUMAN; PSMB 8; PSMB5i; Really interesting new gene 10 protein; RING 10; RING10; Y2; ALDD; D6S216E; JMP; NKJO; PSMB5i; RING10. |
| 产品应用 | IHC-P=1:100-500, IHC-F=1:100-500, IF=1:100-500 Not yet tested in other applications. |
| 交叉反应 | Human (Mouse, Rat, Dog, Cow, Horse, Rabbit, Sheep) |
| 抗体来源 | Rabbit |
| 免疫原 | KLH conjugated synthetic peptide derived from human Proteasome 20S LMP7 |
| 亚型 | IgG |
| 性状 | Liquid |
| 纯化方法 | affinity purified by Protein A |
| 克隆类型 | Polyclonal |
| 理论分子量 | 23 kDa |
| 浓度 | 1mg/ml |
| 储存液 | 0.01M TBS (pH7.4) with 1% BSA, 0.02% Proclin300 and 50% Glycerol. |
| 研究领域 | Cell Biology > Proteolysis / Ubiquitin > Proteasome / Ubiquitin > Proteasome |
| 亚基 | The 26S proteasome consists of a 20S proteasome core and two 19S regulatory subunits. The 20S proteasome core is composed of 28 subunits that are arranged in four stacked rings, resulting in a barrel-shaped structure. The two end rings are each formed by seven alpha subunits, and the two central rings are each formed by seven beta subunits. The catalytic chamber with the active sites is on the inside of the barrel. This subunit is part of the immunoproteasome where it displaces the equivalent housekeeping subunit PSMB5. Directly interacts with POMP. Interacts with HIV-1 TAT protein. Interacts with TAP1. |
| 亚细胞定位 | Cytoplasm. Nucleus. |
| 组织特异性 | Highly expressed in immature dendritic cells (at protein level). |
| 翻译后修饰 | Autocleaved. The resulting N-terminal Thr residue of the mature subunit is responsible for the nucleophile proteolytic activity. |
| 相似性 | Belongs to the peptidase T1B family. |
| 功能 | The proteasome is a multicatalytic proteinase complex which is characterized by its ability to cleave peptides with Arg, Phe, Tyr, Leu, and Glu adjacent to the leaving group at neutral or slightly basic pH. The proteasome has an ATP-dependent proteolytic activity. This subunit is involved in antigen processing to generate class I binding peptides. Replacement of PSMB5 by PSMB8 increases the capacity of the immunoproteasome to cleave model peptides after hydrophobic and basic residues. Acts as a major component of interferon gamma-induced sensitivity. Plays a key role in apoptosis via the degradation of the apoptotic inhibitor MCL1. May be involved in the inflammatory response pathway. In cancer cells, substitution of isoform 1 (E2) by isoform 2 (E1) results in immunoproteasome deficiency. Required for the differentiation of preadipocytes into adipocytes. |
| 保存条件 | Shipped at 4℃. Store at -20℃ for one year. Avoid repeated freeze/thaw cycles. |
| 注意事项 | This product as supplied is intended for research use only, not for use in human, therapeutic or diagnostic applications. |
| 背景资料 | The proteasome is a multicatalytic proteinase complex with a highly ordered ring-shaped 20S core structure. The core structure is composed of 4 rings of 28 non-identical subunits; 2 rings are composed of 7 alpha subunits and 2 rings are composed of 7 beta subunits. Proteasomes are distributed throughout eukaryotic cells at a high concentration and cleave peptides in an ATP/ubiquitin-dependent process in a non-lysosomal pathway. An essential function of a modified proteasome, the immunoproteasome, is the processing of class I MHC peptides. This gene encodes a member of the proteasome B-type family, also known as the T1B family, that is a 20S core beta subunit. This gene is located in the class II region of the MHC (major histocompatibility complex). Expression of this gene is induced by gamma interferon and this gene product replaces catalytic subunit 3 (proteasome beta 5 subunit) in the immunoproteasome. Proteolytic processing is required to generate a mature subunit. Two alternative transcripts encoding two isoforms have been identified; both isoforms are processed to yield the same mature subunit. [provided by RefSeq, Jul 2008]. |
| 应用 | 推荐稀释比例 |
| {IHC-P} | {1:100-500} |
| {IHC-F} | {1:100-500} |
| {IF} | {1:100-500} |

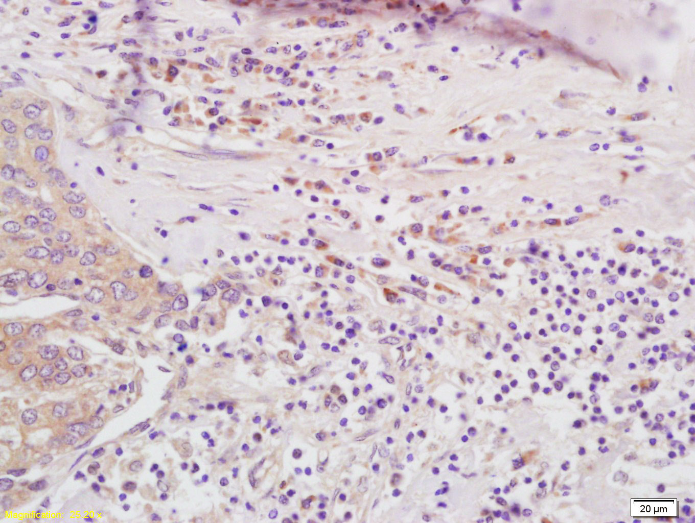
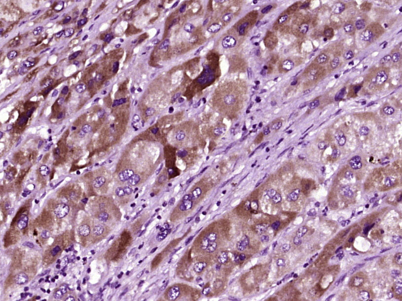
Antigen retrieval: citrate buffer ( 0.01M, pH 6.0 ), Boiling bathing for 15min; Block endogenous peroxidase by 3% Hydrogen peroxide for 30min; Blocking buffer (normal goat serum,C-0005) at 37℃ for 20 min;
Incubation: Anti-LMP7 Polyclonal Antibody, Unconjugated(bs-9364R) 1:200, overnight at 4°C, followed by conjugation to the secondary antibody(SP-0023) and DAB(C-0010) staining

风险提示:丁香通仅作为第三方平台,为商家信息发布提供平台空间。用户咨询产品时请注意保护个人信息及财产安全,合理判断,谨慎选购商品,商家和用户对交易行为负责。对于医疗器械类产品,请先查证核实企业经营资质和医疗器械产品注册证情况。
文献和实验= NAL), appears to form upon oxidative cyclization of the nonfluorescent 2:1 lysine-HNE Michael adduct-Schiff base cross-link (Scheme 1). Polyclonal antibody (PAb) to the NAL-HNE fluorophore was raised in rabbit and found to be highly specific
GE Healthcare Benzamidine Sepharose™ 6B is p-aminobenzamidine covalently attached to Sepharose 6B by the epoxy coupling method. p-Aminobenzamidine (PAB), is a synthetic inhibitor of trypsin-like serine protease. Trypsin and trypsin
Nucleic Acid Programmable Protein Arrays: Versatile Tools for Array‐Based Functional Protein Studies
.g., Sigma) 50 mg/ml bis‐sulfosuccinimdylsuberate (BS3 ;Pierce, cat. no. PI 21580) in dimethylsulfoxide (DMSO) 5 mg/ml
技术资料暂无技术资料 索取技术资料






