相关产品推荐更多 >

Anti-TNF-alpha & HSA Reference Antibody (Ozoralizumab Biosimilar)(BIO0994SM)-100ug/1mg/5mg
¥2160
FSH receptor Rabbit pAb, Biotin conjugated(bs-0895R-Bio)-100ul
¥2980
FAM13C1 Rabbit pAb(bs-8215R)-50ul/100ul/200ul
¥1180
WNT2 Rabbit pAb(bs-6133R)-50ul/100ul
¥1180
FTMT Rabbit pAb(bs-20086R)-50ul/100ul
¥1180
万千商家帮你免费找货
0 人在求购买到急需产品
- 详细信息
- 文献和实验
- 技术资料
- 应用范围:
产品信息以Bioss网站为准
- 规格:
50ul/100ul/200ul
| 规格: | 50ul | 产品价格: | ¥1180.0 |
|---|---|---|---|
| 规格: | 100ul | 产品价格: | ¥1980.0 |
| 规格: | 200ul | 产品价格: | ¥2800.0 |
| 产品编号 | bs-17851R |
| 英文名称 | MSH4 Rabbit pAb |
| 中文名称 | MSH4蛋白抗体 |
| 英文别名 | MSH 4; MutS homolog 4(E. Coli); MutS homolog 4; MutS protein homolog 4. |
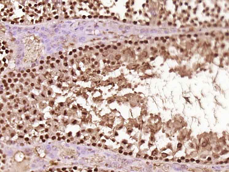
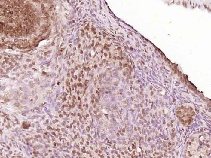
| 产品应用 | IHC-P=1:100-500, IHC-F=1:100-500, IF=1:100-500 Not yet tested in other applications. |
| 交叉反应 | Mouse, Rat (Human, Pig, Cow, Horse, Sheep) |
| 抗体来源 | Rabbit |
| 免疫原 | KLH conjugated synthetic peptide derived from human MSH4 |
| 亚型 | IgG |
| 性状 | Liquid |
| 纯化方法 | affinity purified by Protein A |
| 克隆类型 | Polyclonal |
| 理论分子量 | 105 kDa |
| 浓度 | 1mg/ml |
| 储存液 | 0.01M TBS (pH7.4) with 1% BSA, 0.02% Proclin300 and 50% Glycerol. |
| 研究领域 | Epigenetics and Nuclear Signaling > DNA / RNA > DNA Damage & Repair > Mismatch Repair |
| 亚基 | Heterooligomer of MSH4 and MSH5. |
| 亚细胞定位 | Nuclear |
| 组织特异性 | Testis and ovary specific. |
| 相似性 | Belongs to the DNA mismatch repair MutS family. |
| 功能 | The Escherichia coli MutHLS system has been highly conserved throughout evolution. The eukaryotic pathway results in a specialization of MutS homologs such as MSH2 that have evolved to play crucial roles in both DNA mismatch repair and meiotic recombination. In Saccharomyces cerevisiae, MSH4 is a meiosis-specific protein that is not involved in mismatch correction. This protein is required for reciprocal recombination and proper segregation of homologous chromosomes at meiosis I. |
| 保存条件 | Shipped at 4℃. Store at -20℃ for one year. Avoid repeated freeze/thaw cycles. |
| 注意事项 | This product as supplied is intended for research use only, not for use in human, therapeutic or diagnostic applications. |
| 背景资料 | This gene encodes a member of the DNA mismatch repair mutS family. This member is a meiosis-specific protein that is not involved in DNA mismatch correction, but is required for reciprocal recombination and proper segregation of homologous chromosomes at meiosis I. This protein and MSH5 form a heterodimer which binds uniquely to a Holliday Junction and its developmental progenitor, thus provoking ADP-ATP exchange, and stabilizing the interaction between parental chromosomes during meiosis double-stranded break repair. [provided by RefSeq, Aug 2011] |
| 应用 | 推荐稀释比例 |
| {IHC-P} | {1:100-500} |
| {IHC-F} | {1:100-500} |
| {IF} | {1:100-500} |


风险提示:丁香通仅作为第三方平台,为商家信息发布提供平台空间。用户咨询产品时请注意保护个人信息及财产安全,合理判断,谨慎选购商品,商家和用户对交易行为负责。对于医疗器械类产品,请先查证核实企业经营资质和医疗器械产品注册证情况。
文献和实验= NAL), appears to form upon oxidative cyclization of the nonfluorescent 2:1 lysine-HNE Michael adduct-Schiff base cross-link (Scheme 1). Polyclonal antibody (PAb) to the NAL-HNE fluorophore was raised in rabbit and found to be highly specific
GE Healthcare Benzamidine Sepharose™ 6B is p-aminobenzamidine covalently attached to Sepharose 6B by the epoxy coupling method. p-Aminobenzamidine (PAB), is a synthetic inhibitor of trypsin-like serine protease. Trypsin and trypsin
Nucleic Acid Programmable Protein Arrays: Versatile Tools for Array‐Based Functional Protein Studies
.g., Sigma) 50 mg/ml bis‐sulfosuccinimdylsuberate (BS3 ;Pierce, cat. no. PI 21580) in dimethylsulfoxide (DMSO) 5 mg/ml
技术资料暂无技术资料 索取技术资料






