相关产品推荐更多 >
万千商家帮你免费找货
0 人在求购买到急需产品
- 详细信息
- 技术资料
- 应用范围:
产品信息以Bioss网站为准
- 规格:
50ul/100ul/25ul
| 规格: | 50ul | 产品价格: | ¥1400.0 |
|---|---|---|---|
| 规格: | 100ul | 产品价格: | ¥2500.0 |
| 规格: | 25ul | 产品价格: | ¥800.0 |
| 产品编号 | bsm-60407M |
| 英文名称 | ADAM10 Recombinant Mouse mAb |
| 中文名称 | 去整合素样金属蛋白酶10(CD156c)单克隆抗体 |
| 英文别名 | A disintegrin and metalloprotease domain 10; A Disintegrin And Metalloproteinase Domain 10; ADAM 10; ADAM metallopeptidase domain 10; CD 156c; CD156c; CD156c antigen; CDw156; HsT 18717; HsT18717; kuz; kuzbanian; Kuzbanian protein homolog; MADM; Mammalian disintegrin metalloprotease; ADA10_HUMAN; RAK; kuz; AD10; AD18; |
| 产品应用 | Flow-Cyt=1:50-100, IHC-P=1:50-200, IHC-F=1:50-200, IF=1:50-200, ICC/IF=1:50-200 Not yet tested in other applications. |
| 交叉反应 | Human |
| 抗体来源 | Mouse |
| 亚型 | IgG1, Kappa |
| 性状 | Liquid |
| 纯化方法 | affinity purified by Protein G |
| 克隆类型 | Recombinant |
| 理论分子量 | 84 kDa |
| 浓度 | 1mg/ml |
| 储存液 | 0.01M TBS (pH7.4) with 1% BSA, 0.02% Proclin300 and 50% Glycerol. |
| 研究领域 | Cancer > Cell Death > Apoptosis > Receptors > Receptor Processing Cancer > Invasion/microenvironment > ECM > Extracellular matrix > ADAM protein family Cell Biology > Apoptosis > Receptors > Receptor Processing Cell Biology > Proteolysis / Ubiquitin > Proteolytic enzymes > Metalloprotease > ADAMs Signal Transduction > Cytoskeleton / ECM > Extracellular Matrix > ECM Enzymes > ADAM Protein Family |
| 亚基 | Heteromultimeric cytoplasmic complex with HSP90, HSP70, and FKBP5 or another immunophilin, or the immunophilin homolog PPP5C. Directly interacts with UNC45A. Upon ligand binding FKBP5 dissociates from the complex and FKBP4 takes its place, thereby linking the complex to dynein and mediating transport to the nucleus, where the complex dissociates (By similarity). Binds to DNA as a homodimer, and as a heterodimer with NR3C2 or the retinoid X receptor. Binds STAT5A and STAT5B homodimers and heterodimers. Interacts with NRIP1, POU2F1, POU2F2 and TRIM28. Interacts with NCOA1, NCOA3, SMARCA4, SMARCC1, SMARCD1, and SMARCE1 (By similarity). Interacts with several coactivator complexes, including the SMARCA4 complex, CREBBP/EP300, TADA2L and p160 coactivators such as NCOA2 and NCOA6. Interaction with BAG1 inhibits transactivation. Interacts with HEXIM1, PELP1 and TGFB1I1. |
| 亚细胞定位 | Cytoplasm. Nucleus. Note=Cytoplasmic in the absence of ligand, nuclear after ligand-binding. Isoform Beta: Nucleus. Note=Localized largely in the nucleus. |
| 组织特异性 | Widely expressed. In the heart, detected in left and right atria, left and right ventricles, aorta, apex, intraventricular septum, and atrioventricular node as well as whole adult and fetal heart. |
| 相似性 | Belongs to the nuclear hormone receptor family. NR3 subfamily. Contains 1 nuclear receptor DNA-binding domain. |
| 保存条件 | Shipped at 4℃. Store at -20℃ for one year. Avoid repeated freeze/thaw cycles. |
| 注意事项 | This product as supplied is intended for research use only, not for use in human, therapeutic or diagnostic applications. |
| 背景资料 | Members of the ADAM family are cell surface proteins with a unique structure possessing both potential adhesion and protease domains. This gene encodes and ADAM family member that cleaves many proteins including TNF-alpha and E-cadherin. Alternate splicing results in multiple transcript variants encoding different proteins that may undergo similar processing. [provided by RefSeq, Feb 2016] |
| 应用 | 推荐稀释比例 |
| {Flow-Cyt} | {1:50-100} |
| {IHC-P} | {1:50-200} |
| {IHC-F} | {1:50-200} |
| {IF} | {1:50-200} |
| {ICC/IF} | {1:50-200} |

Paraformaldehyde-fixed, paraffin embedded Human Prostate Cancer; Antigen retrieval by boiling in sodium citrate buffer (pH6.0) for 15 min; The section was incubated with ADAM10 Monoclonal Antibody, Unconjugated (bsm-60407M) at 1:200 overnight at 4°C, followed by conjugation to the bs-40296G-HRP and DAB (C-0010) staining.

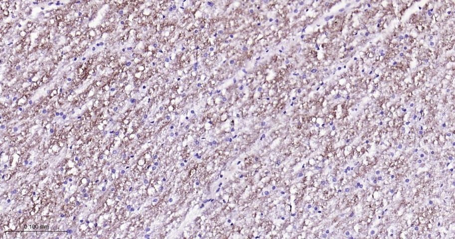
Paraformaldehyde-fixed, paraffin embedded Human Right occipital lobe; Antigen retrieval by boiling in sodium citrate buffer (pH6.0) for 15 min; The section was incubated with ADAM10 Monoclonal Antibody, Unconjugated (bsm-60407M) at 1:200 overnight at 4°C, followed by conjugation to the bs-40296G-HRP and DAB (C-0010) staining.

The Jurkat (H) cells were incubated in 5%BSA to block non-specific protein-protein interactions (30 min at r.t.). Primary Antibody (green): Mouse Anti-ADAM10 antibody (bsm-60407M,1:100); Secondary Antibody (white blue): Goat anti-Mouse IgG-FITC (bs-60296G-FITC): 1 μg/test. Blank control (black): PBS. Acquisition of 20,000 events was performed.

4% Paraformaldehyde-fixed Jurkat (H) cell; Antibody incubation with (ADAM10) monoclonal Antibody, unconjugated (bsm-60407M) 1:100, 90 min at 37°C; followed by conjugated Goat Anti-Mouse IgG antibody (green, bs-60296G-FITC) at 37°C for 90 min, DAPI (blue, C02-04002) was used to stain the cell nuclei. PBS instead of the primary antibody was used as the blank control.
风险提示:丁香通仅作为第三方平台,为商家信息发布提供平台空间。用户咨询产品时请注意保护个人信息及财产安全,合理判断,谨慎选购商品,商家和用户对交易行为负责。对于医疗器械类产品,请先查证核实企业经营资质和医疗器械产品注册证情况。
技术资料暂无技术资料 索取技术资料
ADAM10 Recombinant Mouse mAb(bsm-60407M)-50ul/100ul/25ul
¥800 - 2500









