相关产品推荐更多 >
万千商家帮你免费找货
0 人在求购买到急需产品
- 详细信息
- 文献和实验
- 技术资料
- 应用范围:
产品信息以Bioss网站为准
- 规格:
50ul/100ul/200ul
| 规格: | 50ul | 产品价格: | ¥1180.0 |
|---|---|---|---|
| 规格: | 100ul | 产品价格: | ¥1980.0 |
| 规格: | 200ul | 产品价格: | ¥2800.0 |
| 产品编号 | bs-7697R |
| 英文名称 | BS69 Rabbit pAb |
| 中文名称 | 腺病毒5结合蛋白BS69/骨形态发生蛋白受体相关分子1抗体 |
| 英文别名 | Adenovirus 5 E1A binding protein; Bone morphogenetic protein receptor associated molecule 1; BRAM1; BS69 variant 1; BS69 variant 2; BS69 variant 3; BS69 variant 4; Zinc finger MYND domain containing 11; ZMYND11. |
| 产品应用 | IHC-P=1:100-500, IHC-F=1:100-500, IF=1:100-500 Not yet tested in other applications. |
| 交叉反应 | Rat (Human, Mouse, Chicken, Dog, Horse, Sheep) |
| 抗体来源 | Rabbit |
| 免疫原 | KLH conjugated synthetic peptide derived from human ZMYND11/BS69 |
| 亚型 | IgG |
| 性状 | Liquid |
| 纯化方法 | affinity purified by Protein A |
| 克隆类型 | Polyclonal |
| 理论分子量 | 71 kDa |
| 浓度 | 1mg/ml |
| 储存液 | 0.01M TBS (pH7.4) with 1% BSA, 0.02% Proclin300 and 50% Glycerol. |
| 研究领域 | Cell Biology > Cell Cycle > Cell Cycle Inhibitors Epigenetics and Nuclear Signaling > Transcription > Polymerase associated factors > Pol II Transcription Epigenetics and Nuclear Signaling > Transcription > RNA polymerase Epigenetics and Nuclear Signaling > Transcription > Transcription Factors Immunology > Immune System Diseases > Antiviral Signaling |
| 亚基 | Interacts (via MYND-type zinc finger) with NCOR1. Interacts (via MYND-type zinc finger) with human adenovirus early E1A protein (via PXLXP motif); this interaction inhibits E1A mediated transactivation. Interacts (via MYND-type zinc finger) with Epstein-Barr virus EBNA2 protein (via PXLXP motif). Interacts (via MYND-type zinc finger) with EZH2. Interacts with E2F6. |
| 亚细胞定位 | Nucleus. Chromosome. Note=Associates with chromatin and mitotic chromosomes. |
| 组织特异性 | Ubiquitous. |
| 翻译后修饰 | Phosphorylated upon DNA damage, probably by ATM or ATR. Ubiquitinated, leading to proteasomal degradation. |
| 相似性 | Contains 1 bromo domain.
Contains 1 MYND-type zinc finger. Contains 1 PHD-type zinc finger. Contains 1 PWWP domain. |
| 功能 | Corepressor of transcription (Probable). May be involved in chromatin remodeling through association with several remodeling factors. |
| 保存条件 | Shipped at 4℃. Store at -20℃ for one year. Avoid repeated freeze/thaw cycles. |
| 注意事项 | This product as supplied is intended for research use only, not for use in human, therapeutic or diagnostic applications. |
| 背景资料 | The protein encoded by this gene was first identified by its ability to bind the adenovirus E1A protein. The protein localizes to the nucleus. It functions as a transcriptional repressor, and expression of E1A inhibits this repression. Alternatively spliced transcript variants encoding different isoforms have been identified. [provided by RefSeq, Jul 2008] |
| 应用 | 推荐稀释比例 |
| {IHC-P} | {1:100-500} |
| {IHC-F} | {1:100-500} |
| {IF} | {1:100-500} |

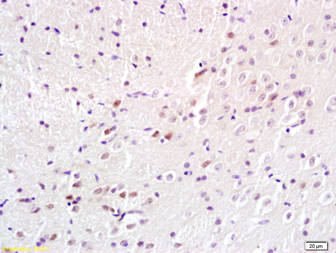
Antigen retrieval: citrate buffer ( 0.01M, pH 6.0 ), Boiling bathing for 15min; Block endogenous peroxidase by 3% Hydrogen peroxide for 30min; Blocking buffer (normal goat serum,C-0005) at 37℃ for 20 min;
Incubation: Anti-BS69/Adenovirus 5 E1A binding protein Polyclonal Antibody, Unconjugated (bs-7697R) 1:200, overnight at 4°C, followed by conjugation to the secondary antibody(SP-0023) and DAB(C-0010) staining
风险提示:丁香通仅作为第三方平台,为商家信息发布提供平台空间。用户咨询产品时请注意保护个人信息及财产安全,合理判断,谨慎选购商品,商家和用户对交易行为负责。对于医疗器械类产品,请先查证核实企业经营资质和医疗器械产品注册证情况。
文献和实验= NAL), appears to form upon oxidative cyclization of the nonfluorescent 2:1 lysine-HNE Michael adduct-Schiff base cross-link (Scheme 1). Polyclonal antibody (PAb) to the NAL-HNE fluorophore was raised in rabbit and found to be highly specific
GE Healthcare Benzamidine Sepharose™ 6B is p-aminobenzamidine covalently attached to Sepharose 6B by the epoxy coupling method. p-Aminobenzamidine (PAB), is a synthetic inhibitor of trypsin-like serine protease. Trypsin and trypsin
GE Healthcare Benzamidine Sepharose™ 6B is p-aminobenzamidine covalently attached to Sepharose 6B by the epoxy coupling method. p-Aminobenzamidine (PAB), is a synthetic inhibitor of trypsin-like serine protease. Trypsin and trypsin
技术资料暂无技术资料 索取技术资料









