Sample:
Liver(Rat) Cell Lysate at 40 ug
Primary: Anti-14-3-3 Tau (bs-12419R) at 1/300 dilution
Secondary: IRDye800CW Goat Anti-Rabbit IgG at 1/20000 dilution
Predicted band size: 28 kD
Observed band size: 28 kD
相关产品推荐更多 >

phospho-MEK1 (Thr292) Recombinant Rabbit mAb(bsm-52177R)-50ul/100ul
¥1400
AES Rabbit pAb(bs-12392R)-50ul/100ul/200ul
¥1180
HGFA Inhibitor 2 Rabbit pAb, BF488 conjugated(bs-10062R-BF488)-100ul
¥2980
MRP1/ABCC1 Rabbit pAb, Cy5 conjugated(bs-0657R-Cy5)-100ul
¥2980
Oxytocin R Rabbit pAb(bs-25327R)-50ul/100ul/200ul
¥1180
万千商家帮你免费找货
0 人在求购买到急需产品
- 详细信息
- 技术资料
- 应用范围:
产品信息以Bioss网站为准
- 规格:
50ul/100ul/200ul
| 规格: | 50ul | 产品价格: | ¥1180.0 |
|---|---|---|---|
| 规格: | 100ul | 产品价格: | ¥1980.0 |
| 规格: | 200ul | 产品价格: | ¥2800.0 |
| 产品编号 | bs-12419R |
| 英文名称 | 14-3-3 Tau Rabbit pAb |
| 中文名称 | 14-3-3τ蛋白抗体 |
| 英文别名 | 1433T_HUMAN; YWHAQ; 14-3-3 protein theta; 14-3-3 protein T-cell; 14-3-3 protein tau; Protein HS1; 14-3-3 Tau; |
| 产品应用 | WB=1:500-2000, IHC-P=1:100-500, IHC-F=1:100-500, IF=1:100-500, Flow-Cyt=1μg/Test Not yet tested in other applications. |
| 交叉反应 | Human, Mouse, Rat (Dog, Pig, Cow, Sheep) |
| 抗体来源 | Rabbit |
| 免疫原 | KLH conjugated synthetic peptide derived from human 14-3-3 Tau |
| 亚型 | IgG |
| 性状 | Liquid |
| 纯化方法 | affinity purified by Protein A |
| 克隆类型 | Polyclonal |
| 理论分子量 | 28 kDa |
| 浓度 | 1mg/ml |
| 储存液 | 0.01M TBS (pH7.4) with 1% BSA, 0.02% Proclin300 and 50% Glycerol. |
| 亚基 | Homodimer. Interacts with CDK16. Interacts with RGS7 (phosphorylated form) (PubMed:10862767). Interacts with SSH1. Interacts with CDKN1B ('Thr-198' phosphorylated form); the interaction translocates CDKN1B to the cytoplasm. Interacts with GAB2. Interacts with the 'Ser-241' phosphorylated form of PDPK1. Interacts with the 'Thr-369' phosphorylated form of DAPK2 (PubMed:26047703). Interacts with PI4KB, TBC1D22A and TBC1D22B (PubMed:23572552). Interacts with SLITRK1 (PubMed:19640509). Interacts with RIPOR2 isoform 2 (PubMed:25588844). Interacts with INAVA; the interaction increases upon PRR (pattern recognition receptor) stimulation and is required for cellular signaling pathway activation and cytokine secretion (PubMed:28436939). |
| 亚细胞定位 | Cytoplasm. In neurons, axonally transported to the nerve terminals. |
| 组织特异性 | Abundantly expressed in brain, heart and pancreas, and at lower levels in kidney and placenta. Up-regulated in the lumbar spinal cord from patients with sporadic amyotrophic lateral sclerosis (ALS) compared with controls, with highest levels of expression in individuals with predominant lower motor neuron involvement. |
| 翻译后修饰 | Ser-232 is probably phosphorylated by CK1. |
| 相似性 | Belongs to the 14-3-3 family. |
| 功能 | Adapter protein implicated in the regulation of a large spectrum of both general and specialized signaling pathways. Binds to a large number of partners, usually by recognition of a phosphoserine or phosphothreonine motif. Binding generally results in the modulation of the activity of the binding partner. Negatively regulates the kinase activity of PDPK1. |
| 保存条件 | Shipped at 4℃. Store at -20℃ for one year. Avoid repeated freeze/thaw cycles. |
| 注意事项 | This product as supplied is intended for research use only, not for use in human, therapeutic or diagnostic applications. |
| 背景资料 | This gene product belongs to the 14-3-3 family of proteins which mediate signal transduction by binding to phosphoserine-containing proteins. This highly conserved protein family is found in both plants and mammals, and this protein is 99% identical to the mouse and rat orthologs. This gene is upregulated in patients with amyotrophic lateral sclerosis. It contains in its 5' UTR a 6 bp tandem repeat sequence which is polymorphic, however, there is no correlation between the repeat number and the disease. [provided by RefSeq, Jul 2008] |
| 应用 | 推荐稀释比例 |
| {WB} | {1:500-2000} |
| {IHC-P} | {1:100-500} |
| {IHC-F} | {1:100-500} |
| {IF} | {1:100-500} |
| {Flow-Cyt} | {1μg/Test} |


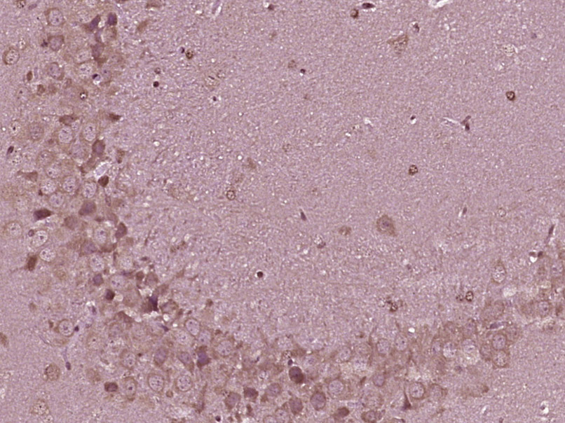
Paraformaldehyde-fixed, paraffin embedded (Mouse brain); Antigen retrieval by boiling in sodium citrate buffer (pH6.0) for 15min; Block endogenous peroxidase by 3% hydrogen peroxide for 20 minutes; Blocking buffer (normal goat serum) at 37°C for 30min; Antibody incubation with (14-3-3 Tau) Polyclonal Antibody, Unconjugated (bs-12419R) at 1:400 overnight at 4°C, followed by operating according to SP Kit(Rabbit) (sp-0023) instructionsand DAB staining.

Blank control (blue line): HL60 (fixed with 70% ethanol (overninght at 4℃) and then permeabilized with 0.1% PBS-Tween for 20 min at room temperature).
Primary Antibody (green line): Rabbit Anti-14-3-3 Tau antibody (bs-12419R),Dilution: 1μg /10^6 cells;
Isotype Control Antibody (orange line): Rabbit IgG .
Secondary Antibody (white blue line): Goat anti-rabbit IgG-PE,Dilution: 1μg /test.
Primary Antibody (green line): Rabbit Anti-14-3-3 Tau antibody (bs-12419R),Dilution: 1μg /10^6 cells;
Isotype Control Antibody (orange line): Rabbit IgG .
Secondary Antibody (white blue line): Goat anti-rabbit IgG-PE,Dilution: 1μg /test.
风险提示:丁香通仅作为第三方平台,为商家信息发布提供平台空间。用户咨询产品时请注意保护个人信息及财产安全,合理判断,谨慎选购商品,商家和用户对交易行为负责。对于医疗器械类产品,请先查证核实企业经营资质和医疗器械产品注册证情况。
技术资料暂无技术资料 索取技术资料
14-3-3 Tau Rabbit pAb(bs-12419R)-50ul/100ul/200ul
¥1180 - 2800





