相关产品推荐更多 >

S100P binding protein Rabbit pAb, BF647 conjugated(bs-6577R-BF647)-100ul
¥2980
phospho-Tau Protein (Thr181) Rabbit pAb, Biotin conjugated(bs-23383R-Bio)-100ul
¥2980
TPPP2 Rabbit pAb(bs-12683R)-50ul/100ul/200ul
¥1180
RAI14 Rabbit pAb, HRP conjugated(bs-19728R-HRP)-100ul
¥2980
PDE7B Rabbit pAb(bs-11576R)-50ul/100ul/200ul
¥1180
万千商家帮你免费找货
0 人在求购买到急需产品
- 详细信息
- 文献和实验
- 技术资料
- 应用范围:
产品信息以Bioss网站为准
- 规格:
50ul/100ul/200ul
| 规格: | 50ul | 产品价格: | ¥1180.0 |
|---|---|---|---|
| 规格: | 100ul | 产品价格: | ¥1980.0 |
| 规格: | 200ul | 产品价格: | ¥2800.0 |
| 产品编号 | bs-3012R |
| 英文名称 | phospho-Bim (Ser87) Rabbit pAb |
| 中文名称 | 磷酸化细胞死亡调解子抗体 |
| 英文别名 | BCL2 like 11; Apoptosis facilitator; BAM; Bcl 2 interacting mediator of cell death; Bcl 2 interacting protein Bim; Bcl 2 like protein 11; Bcl 2 related ovarian death agonis; Bcl 2 related ovarian death agonist; BCL2 interacting mediator of cell death; BCL2 interacting protein Bim; BCL2 like 11(apoptosis facilitator); BCL2 like 11; BCL2 like 11 apoptosis facilitator; BCL2 like protein 11; BCL2 related ovarian death agonist; BCL2L11; BIM alpha3; BIM alpha4; BIM alpha5; BIM alpha6; BIM; BIM beta6; BIM beta7; BimEL; BimL; BOD; B2L11_HUMAN. |
| 产品应用 | WB=1:500-2000, IHC-P=1:100-500, IHC-F=1:100-500, IF=1:100-500 Not yet tested in other applications. |
| 交叉反应 | Mouse, Rat (Human, Dog, Pig, Cow, Horse, Sheep) |
| 抗体来源 | Rabbit |
| 免疫原 | KLH conjugated Synthesised phosphopeptide derived from human Bim around the phosphorylation site of Ser87 |
| 亚型 | IgG |
| 性状 | Liquid |
| 纯化方法 | affinity purified by Protein A |
| 克隆类型 | Polyclonal |
| 理论分子量 | 22 kDa |
| 浓度 | 1mg/ml |
| 储存液 | 0.01M TBS (pH7.4) with 1% BSA, 0.02% Proclin300 and 50% Glycerol. |
| 研究领域 | Cancer > Cell Death > Apoptosis > Apoptosis Markers > Bcl 2 family Cancer > Cell Death > Apoptosis > Metabolism Cancer > Invasion/microenvironment > Apoptosis > Bcl 2 family Cancer > Oncoproteins/suppressors > Oncoproteins > Cell survival & death Cell Biology > Apoptosis > Intracellular > Associated Proteins Cell Biology > Apoptosis > Intracellular > Bcl2 Family Immunology > Innate Immunity > Macrophage / Inflamm. Metabolism > Pathways and Processes > Metabolism processes > Apoptosis Neuroscience > Neurology process > Neurodegenerative disease > Alzheimer's disease Signal Transduction > Protein Phosphorylation > Ser / Thr Kinases > MAPK Pathway |
| 亚基 | Forms heterodimers with a number of antiapoptotic Bcl-2 proteins including MCL1, BCL2, BCL2L1 isoform Bcl-X(L), BCL2A1/BFL-1, and BHRF1. Does not heterodimerize with proapoptotic proteins such as BAD, BOK, BAX or BAK. |
| 亚细胞定位 | Endomembrane system; Peripheral membrane protein. Note=Associated with intracytoplasmic membranes. Isoform BimEL: Mitochondrion. Isoform BimL: Mitochondrion. Isoform BimS: Mitochondrion. Isoform Bim-alpha1: Mitochondrion. |
| 组织特异性 | Isoform BimEL, isoform BimL and isoform BimS are the predominant isoforms and are ubiquitously expressed with a tissue-specific variation. Isoform Bim-gamma is most abundantly expressed in small intestine and colon, and in lower levels in spleen, prostate, testis, heart, liver and kidney. |
| 相似性 | Belongs to the Bcl-2 family. |
| 功能 | Induces apoptosis. Isoform BimL is more potent than isoform BimEL. Isoform Bim-alpha1, isoform Bim-alpha2 and isoform Bim-alpha3 induce apoptosis, although less potent than the isoforms BimEL, BimL and BimS. Isoform Bim-gamma induces apoptosis. |
| 保存条件 | Shipped at 4℃. Store at -20℃ for one year. Avoid repeated freeze/thaw cycles. |
| 注意事项 | This product as supplied is intended for research use only, not for use in human, therapeutic or diagnostic applications. |
| 背景资料 | Bim, Bcl-2 interacting mediator of cell death, is a pro-apoptotic protein belonging to the Bcl2 family of proteins containing a Bcl2 homology domain 3 (BH3). It is proapoptotic and exerts its effects by interacting with prosurvival members of the Bcl2 family like Bcl2, BclxL and Bclw. Bim is sequestered in an inactive conformation through binding to the microtubule-associated dynein motor complex. Certain apoptotic stimuli release Bim from microtubules, allowing inhibitory binding to anti-apoptotic Bcl-2 family members and subsequent iniation of apoptosis. |
| 应用 | 推荐稀释比例 |
| {WB} | {1:500-2000} |
| {IHC-P} | {1:100-500} |
| {IHC-F} | {1:100-500} |
| {IF} | {1:100-500} |

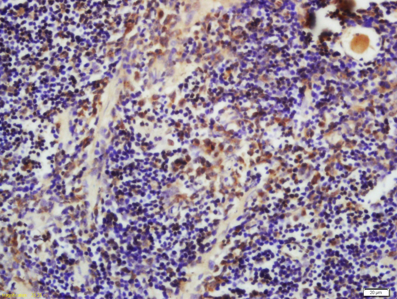
Antigen retrieval: citrate buffer ( 0.01M, pH 6.0 ), Boiling bathing for 15min; Block endogenous peroxidase by 3% Hydrogen peroxide for 30min; Blocking buffer (normal goat serum,C-0005) at 37℃ for 20 min;
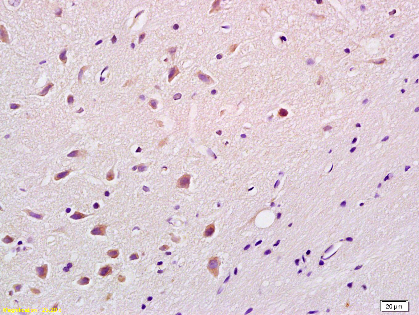
Incubation: Anti-phospho-Bim(Ser87) Polyclonal Antibody, Unconjugated(bs-3012R) 1:200, overnight at 4°C, followed by conjugation to the secondary antibody(SP-0023) and DAB(C-0010) staining

Antigen retrieval: citrate buffer ( 0.01M, pH 6.0 ), Boiling bathing for 15min; Block endogenous peroxidase by 3% Hydrogen peroxide for 30min; Blocking buffer (normal goat serum,C-0005) at 37℃ for 20 min;
Incubation: Anti-phospho-Bim Polyclonal Antibody, Unconjugated(bs-3012R) 1:200, overnight at 4°C, followed by conjugation to the secondary antibody(SP-0023) and DAB(C-0010) staining

Raw264.7(Mouse) Cell Lysate at 30 ug
Primary: Anti-phospho-Bim(Ser87) (bs-3012R) at 1/1000 dilution
Secondary: IRDye800CW Goat Anti-Rabbit IgG at 1/20000 dilution
Predicted band size: 22 kD
Observed band size: 24 kD
风险提示:丁香通仅作为第三方平台,为商家信息发布提供平台空间。用户咨询产品时请注意保护个人信息及财产安全,合理判断,谨慎选购商品,商家和用户对交易行为负责。对于医疗器械类产品,请先查证核实企业经营资质和医疗器械产品注册证情况。
文献和实验[IF={{ 4.65 }}] {Gogada, Raghu, et al. "Bim, a Proapoptotic Protein, Up-regulated via Transcription Factor E2F1-dependent Mechanism, Functions as a Prosurvival Molecule in Cancer." Journal of Biological Chemistry 288.1 (2013): 368-381.} {Other} {=""}
[IF={{ 4.486 }}] {Yuanhui Zhu. et al. 1-Methyl-4-phenyl-1,2,3,6-tetrahydropyridine Induced Parkinson’s Disease in Mouse: Potential Association between Neurotransmitter Disturbance and Gut Microbiota Dysbiosis. Acs Chem Neurosci. 2020;11(20):3366–3376} {WB} {Mouse}
[IF={{ 31.743 }}] {Kosuke Tanaka. et al. Targeting Aurora B kinase prevents and overcomes resistance to EGFR inhibitors in lung cancer by enhancing BIM- and PUMA-mediated apoptosis. Cancer Cell. 2021 Aug;:} {WB} {Human}
:使用 Anti-phospho-Akt (Ser473) Rabbit mAb 对石蜡包埋的人乳腺癌组织进行免疫组织化学分析。(图 A)使用免疫组化试剂盒M&R HRP/DAB Detection IHC Kit,抗体 1:100 稀释;(图 B) 采用普通免疫组化试剂盒,抗体 1:25 稀释。 图 6 免疫组化实验检测 Erk1/2 表达 注:使用 Anti-Erk1/2 Mouse mAb与p44/42 MAPK (Erk1/2)Rabbit mAb 对正常小鼠心脏组织进行免疫
at 10, 25, and 50 μM). At 24 h post-treatment, celllysates were obtained; SDS-PAGE and Western blotting were performed as described in Section 3, Methods. AR-A014418dose-dependent decreases of phospho-β-catenin (Ser33/37) and phospho-glycogen synthase
(Ser473)(193H12)Rabbit mAb,1:300,稀释,二抗是驴抗兔,1:2000,我是实验室的新手,刚呆俩月,受 此挫折,一头雾水,请过来人或者有经验的同学帮忙解答怎样解决,非常感谢! 碧峤 pAkt有两个位点,Ser473和Thr308,其中Ser473相对容易显色。如果显色失败,可能的原因:1 上样量过少,我们一般都是30μg;2 一抗孵育时间过短,我们一般24h~48h;3 一抗是否工作有待排除 米宝
技术资料暂无技术资料 索取技术资料





