相关产品推荐更多 >

Polycystin 1 Rabbit pAb, PerCP conjugated(bs-2157R-PerCP)-100ul
¥2980
Synaptotagmin XII Rabbit pAb, Cy5.5 conjugated(bs-11398R-Cy5.5)-100ul
¥2980
D.Aspartic acid Rabbit pAb(bs-8529R)-50ul/100ul/200ul
¥1180
GAMT Rabbit pAb(bs-13278R)-50ul/100ul/200ul
¥1180
ADAM17 Rabbit pAb, Biotin conjugated(bs-4236R-Bio)-100ul
¥2980
万千商家帮你免费找货
0 人在求购买到急需产品
- 详细信息
- 文献和实验
- 技术资料
- 应用范围:
产品信息以Bioss网站为准
- 规格:
50ul/100ul/200ul
| 规格: | 50ul | 产品价格: | ¥1180.0 |
|---|---|---|---|
| 规格: | 100ul | 产品价格: | ¥1980.0 |
| 规格: | 200ul | 产品价格: | ¥2800.0 |
| 产品编号 | bs-4484R |
| 英文名称 | IREB2 Rabbit pAb |
| 中文名称 | 铁反应元件结合蛋白2抗体 |
| 英文别名 | IRP 2; IRP-2; IRP2; ACO3; FLJ23381; IRE BP2; IRE-BP 2; IREB 2; IREB2; IREB2_HUMAN; iron regulatory protein 2; iron responsive element binding protein 2; Iron-responsive element-binding protein 2; irp2; IRP2AD; OTTHUMP00000185022. |
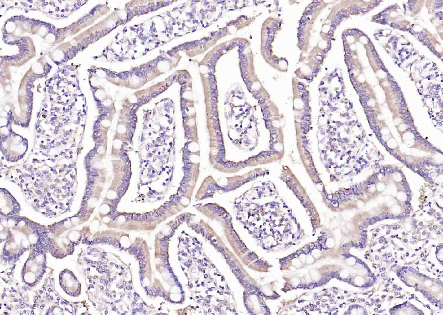
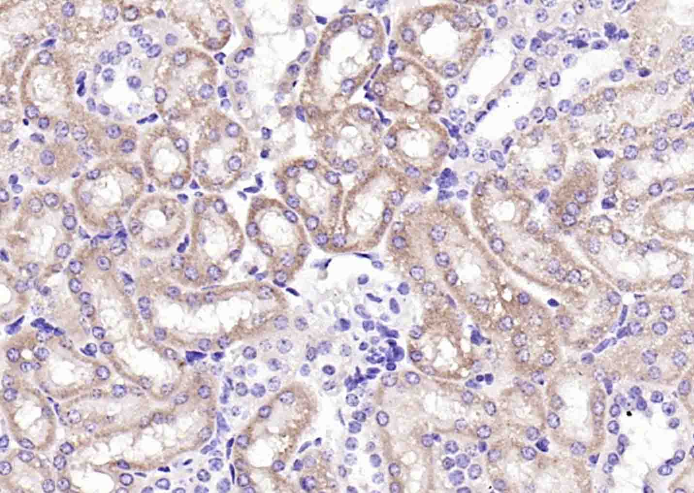
| 产品应用 | IHC-P=1:100-500, IHC-F=1:100-500, IF=1:100-500 Not yet tested in other applications. |
| 交叉反应 | Human, Mouse, 肾, Human duodenum, Human duodenum (Rat, Chicken, Dog, Rabbit) |
| 抗体来源 | Rabbit |
| 免疫原 | KLH conjugated synthetic peptide derived from human IREB2 |
| 亚型 | IgG |
| 性状 | Liquid |
| 纯化方法 | affinity purified by Protein A |
| 克隆类型 | Polyclonal |
| 理论分子量 | 105 kDa |
| 浓度 | 1mg/ml |
| 储存液 | 0.01M TBS (pH7.4) with 1% BSA, 0.02% Proclin300 and 50% Glycerol. |
| 研究领域 | Cardiovascular > Blood Cardiovascular > Hypoxia > Hypoxia-Regulated Epigenetics and Nuclear Signaling > DNA / RNA > RNA Processing Metabolism > Pathways and Processes > Cofactors, Vitamins / minerals > Vitamins / minerals Metabolism > Pathways and Processes > Metabolic signaling pathways > Energy transfer pathways > Energy Metabolism Metabolism > Pathways and Processes > Metabolic signaling pathways > Nucleotide metabolism Metabolism > Pathways and Processes > Metabolism processes > Hypoxia Signal Transduction > Metabolism > Energy Metabolism Signal Transduction > Metabolism > Vitamins / Minerals |
| 亚细胞定位 | Cytoplasm. |
| 翻译后修饰 | Ubiquitinated and degraded by the proteasome in presence of high level of iron and oxygen. Ubiquitinated by a SCF complex containing FBXL5. Upon iron and oxygen depletion FBXL5 is degraded, preventing ubiquitination and allowing its RNA-binding activity. |
| 相似性 | Belongs to the aconitase/IPM isomerase family. |
| 功能 | RNA-binding protein that binds to iron-responsive elements (IRES), which are stem-loop structures found in the 5'-UTR of ferritin, and delta aminolevulinic acid synthase mRNAs, and in the 3'-UTR of transferrin receptor mRNA. Binding to the IRE element in ferritin results in the repression of its mRNA translation. Binding of the protein to the transferrin receptor mRNA inhibits the degradation of this otherwise rapidly degraded mRNA. |
| 保存条件 | Shipped at 4℃. Store at -20℃ for one year. Avoid repeated freeze/thaw cycles. |
| 注意事项 | This product as supplied is intended for research use only, not for use in human, therapeutic or diagnostic applications. |
| 背景资料 | Iron metabolism is essential for sustaining mammalian homeostasis. Iron uptake and distribution is a highly regulated process in mammalian cells that is monitored by two iron sensing proteins: IRP-1 and -2 (iron regulatory protein-1 and -2), also known as iron responsive element-binding protein-1 and -2 (IRE-BP-1 and -2) or aconitase 1 and 2. IRP-1 and IRP-2 are important soluble regulatory factors that mediate iron uptake and storage in mammalian cells. They are capable of either repressing translation or enhancing mRNA stability by associating with stem-loop motifs known as iron-responsive elements (IREs). IRPs respond to stress mediators, iron concentration and signaling factors, including nitrogen monoxide, cytokines and hydrogen peroxide. |
| 应用 | 推荐稀释比例 |
| {IHC-P} | {1:100-500} |
| {IHC-F} | {1:100-500} |
| {IF} | {1:100-500} |



风险提示:丁香通仅作为第三方平台,为商家信息发布提供平台空间。用户咨询产品时请注意保护个人信息及财产安全,合理判断,谨慎选购商品,商家和用户对交易行为负责。对于医疗器械类产品,请先查证核实企业经营资质和医疗器械产品注册证情况。
文献和实验[IF={{ 6.706 }}] {Keyuan Chen. et al. Lactobacillus johnsonii L531 Ameliorates Salmonella enterica Serovar Typhimurium Diarrhea by Modulating Iron Homeostasis and Oxidative Stress via the IRP2 Pathway. NUTRIENTS. 2023 Jan;15(5):1127} {WB,IF} {Mouse,Pig,Human}
[IF={{ 4.571 }}] {Lingbing Zhang. et al. Disruption of the lung-gut-brain axis is responsible for cortex damage induced by pulmonary exposure to zinc oxide nanoparticles. TOXICOLOGY. 2022 Dec;:153390} {WB} {Mouse}
[IF={{ 3.628 }}] {Sheng Zhang. et al. Realgar induced nephrotoxicity via ferroptosis in mice. J APPL TOXICOL. 2022 Jul 08} {WB} {Mouse, Human}
[IF={{ 3.076 }}] {Tang Q et al. Ferroptosis is newly characterized form of neuronal cell death in response to arsenite exposure.Neurotoxicology. 2018 Jul;67:27-36.} {WB} {Mouse}
[IF={{ 2.4 }}] {Keyuan Chen. et al. Salmonella enterica serovar Typhimurium Effectors spiA and spiC Promote Replication by Modulating Iron Metabolism and Oxidative Stress. VET MICROBIOL. 2024 Dec;:110328} {IF,WB} {Mouse}
= NAL), appears to form upon oxidative cyclization of the nonfluorescent 2:1 lysine-HNE Michael adduct-Schiff base cross-link (Scheme 1). Polyclonal antibody (PAb) to the NAL-HNE fluorophore was raised in rabbit and found to be highly specific
GE Healthcare Benzamidine Sepharose™ 6B is p-aminobenzamidine covalently attached to Sepharose 6B by the epoxy coupling method. p-Aminobenzamidine (PAB), is a synthetic inhibitor of trypsin-like serine protease. Trypsin and trypsin
Nucleic Acid Programmable Protein Arrays: Versatile Tools for Array‐Based Functional Protein Studies
.g., Sigma) 50 mg/ml bis‐sulfosuccinimdylsuberate (BS3 ;Pierce, cat. no. PI 21580) in dimethylsulfoxide (DMSO) 5 mg/ml
技术资料暂无技术资料 索取技术资料






