相关产品推荐更多 >

MuRF1 Rabbit pAb, Cy7 conjugated(bs-2539R-Cy7)-100ul
¥2980
MMP2 Rabbit pAb, APC-Cy7 conjugated(bs-0412R-APC-Cy7)-100ul
¥2980
Visfatin Rabbit pAb, PerCP-Cy5.5 conjugated(bs-0272R-PerCP-Cy5.5)-100ul
¥2980
ZNF764 Rabbit pAb, AP conjugated(bs-20837R-AP)-100ul
¥2980
ETEA Rabbit pAb, Biotin conjugated(bs-13109R-Bio)-100ul
¥2980
万千商家帮你免费找货
0 人在求购买到急需产品
- 详细信息
- 文献和实验
- 技术资料
- 应用范围:
产品信息以Bioss网站为准
- 规格:
50ul/100ul/200ul
| 规格: | 50ul | 产品价格: | ¥1180.0 |
|---|---|---|---|
| 规格: | 100ul | 产品价格: | ¥1980.0 |
| 规格: | 200ul | 产品价格: | ¥2800.0 |
| 产品编号 | bs-11641R |
| 英文名称 | BPTF Rabbit pAb |
| 中文名称 | 胎儿阿兹海默病抗原/核小体重塑因子抗体 |
| 英文别名 | Bromodomain and PHD finger containing transcription factor; Bromodomain PHD finger transcription factor; FAC 1; BPTF/FALZ; fac1; FALZ; Fetal Alz 50 clone 1 protein; Fetal Alz 50 reactive clone 1; Fetal Alzheimer antigen; Nucleosome remodeling factor; Nucleosome remodeling factor subunit BPTF; Nucleosome remodeling factor, large subunit; NURF 301; NURF301. |
| 产品应用 | IHC-P=1:100-500, IHC-F=1:100-500, IF=1:100-500 Not yet tested in other applications. |
| 交叉反应 | Human, Mouse, Rat (Chicken, Dog, Cow, Rabbit, Sheep, GuineaPig) |
| 抗体来源 | Rabbit |
| 免疫原 | KLH conjugated synthetic peptide derived from human BPTF/FALZ |
| 亚型 | IgG |
| 性状 | Liquid |
| 纯化方法 | affinity purified by Protein A |
| 克隆类型 | Polyclonal |
| 理论分子量 | 338 kDa |
| 浓度 | 1mg/ml |
| 储存液 | 0.01M TBS (pH7.4) with 1% BSA, 0.02% Proclin300 and 50% Glycerol. |
| 研究领域 | Epigenetics and Nuclear Signaling > Bromodomains Epigenetics and Nuclear Signaling > Chromatin Remodeling > ISWI/NURF/CHRAC Neuroscience > Neurology process > Neurodegenerative disease > Alzheimer's disease > Amyloid |
| 亚基 | Interacts with MAZ. Interacts with KEAP1. Part of the nucleosome-remodeling factor (NURF) complex which consists of SMARCA1; BPTF; RBBP4 and RBBP7. Interacts with histone H3K4me3 and to a lesser extent with histone H3-K4Me2. |
| 亚细胞定位 | Cytoplasm. Nucleus. Note=In brains of Alzheimer disease patients, present in a subset of amyloid-containing plaques. |
| 组织特异性 | Ubiquitously expressed, with highest levels in testis. Present in kidney, liver and brain. In the brain, highest levels are found in motor cortex (at protein level). |
| 翻译后修饰 | Phosphorylation enhances DNA-binding. Phosphorylated upon DNA damage, probably by ATM or ATR.
Highly susceptible to proteolysis. |
| 相似性 | Belongs to the PBTF family.
Contains 1 bromo domain. Contains 1 DDT domain. Contains 2 PHD-type zinc fingers. |
| 功能 | Histone-binding component of NURF (nucleosome-remodeling factor), a complex which catalyzes ATP-dependent nucleosome sliding and facilitates transcription of chromatin. Specifically recognizes H3 tails trimethylated on 'Lys-4' (H3K4me3), which mark transcription start sites of virtually all active genes. May also regulate transcription through direct binding to DNA or transcription factors. |
| 保存条件 | Shipped at 4℃. Store at -20℃ for one year. Avoid repeated freeze/thaw cycles. |
| 注意事项 | This product as supplied is intended for research use only, not for use in human, therapeutic or diagnostic applications. |
| 背景资料 | This gene was identified by the reactivity of its encoded protein to a monoclonal antibody prepared against brain homogenates from patients with Alzheimer's disease. Analysis of the original protein (fetal Alz-50 reactive clone 1, or FAC1), identified as an 810 aa protein containing a DNA-binding domain and a zinc finger motif, suggested it might play a role in the regulation of transcription. High levels of FAC1 were detected in fetal brain and in patients with neurodegenerative diseases. The protein encoded by this gene is actually much larger than originally thought, and it also contains a C-terminal bromodomain characteristic of proteins that regulate transcription during proliferation. The encoded protein is highly similar to the largest subunit of the Drosophila NURF (nucleosome remodeling factor) complex. In Drosophila, the NURF complex, which catalyzes nucleosome sliding on DNA and interacts with sequence-specific transcription factors, is necessary for the chromatin remodeling required for transcription. Two alternative transcripts encoding different isoforms have been described completely. [provided by RefSeq, Jul 2008] |
| 应用 | 推荐稀释比例 |
| {IHC-P} | {1:100-500} |
| {IHC-F} | {1:100-500} |
| {IF} | {1:100-500} |







风险提示:丁香通仅作为第三方平台,为商家信息发布提供平台空间。用户咨询产品时请注意保护个人信息及财产安全,合理判断,谨慎选购商品,商家和用户对交易行为负责。对于医疗器械类产品,请先查证核实企业经营资质和医疗器械产品注册证情况。
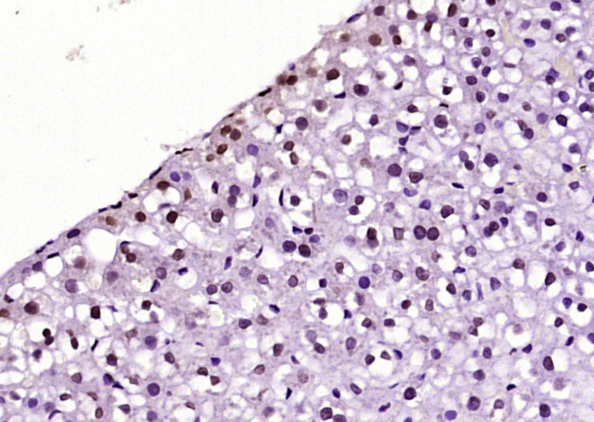
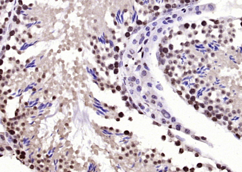
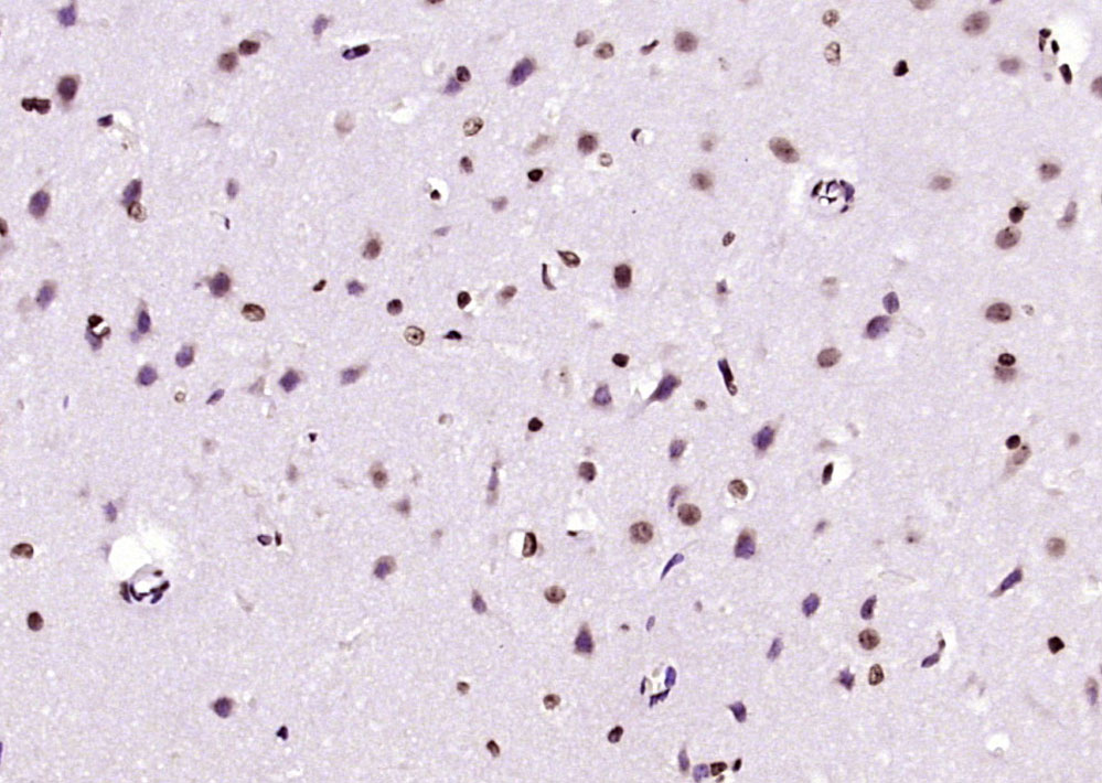
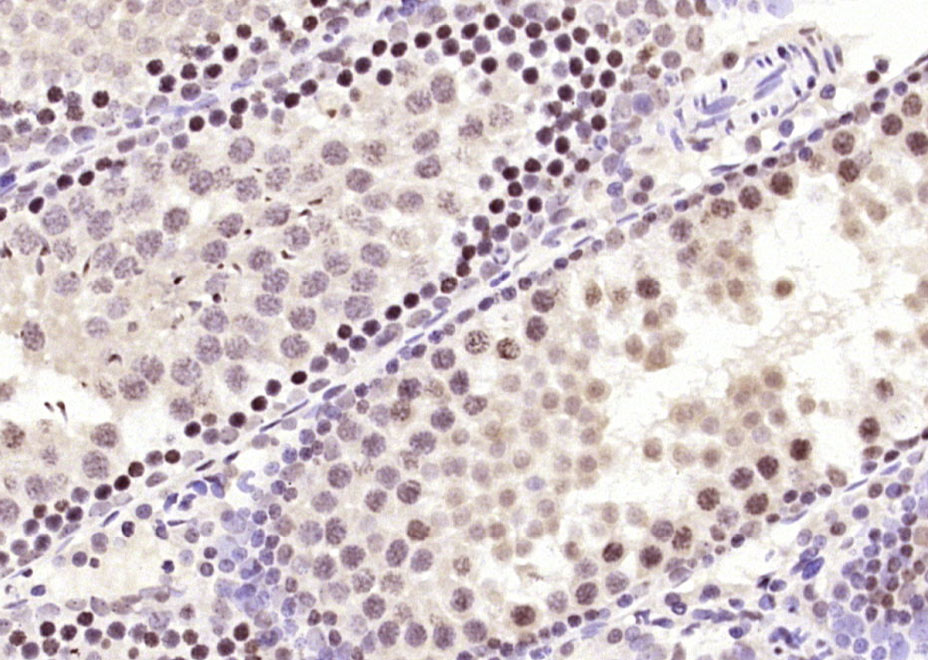
文献和实验[IF={{ 2.5 }}] {Yanling Pan. et al.BPTF/FOXC1 axis promotes glioma.histology and histopathology.2025 Feb;40(2):205-214.} {Western blot} {Human}
[IF={{ 2 }}] {Pan Y. et al. BPTF promotes glioma development through USP34-mediated de-ubiquitination of FOXC1.. HISTOL HISTOPATHOL. 2024 Apr;:18748-18748} {WB} {Human}
[IF={{ 12.78 }}] {Zhu et al. ZIC2-dependent OCT4 activation drives self-renewal of human liver cancer stem cells. (2015) J.Clin.Inves. 125:3795-808} {IF,WB} {Human}
= NAL), appears to form upon oxidative cyclization of the nonfluorescent 2:1 lysine-HNE Michael adduct-Schiff base cross-link (Scheme 1). Polyclonal antibody (PAb) to the NAL-HNE fluorophore was raised in rabbit and found to be highly specific
GE Healthcare Benzamidine Sepharose™ 6B is p-aminobenzamidine covalently attached to Sepharose 6B by the epoxy coupling method. p-Aminobenzamidine (PAB), is a synthetic inhibitor of trypsin-like serine protease. Trypsin and trypsin
Nucleic Acid Programmable Protein Arrays: Versatile Tools for Array‐Based Functional Protein Studies
.g., Sigma) 50 mg/ml bis‐sulfosuccinimdylsuberate (BS3 ;Pierce, cat. no. PI 21580) in dimethylsulfoxide (DMSO) 5 mg/ml
技术资料暂无技术资料 索取技术资料





