相关产品推荐更多 >

eIF3s8 Rabbit pAb, AP conjugated(bs-14546R-AP)-100ul
¥2980
Rab3A+Rab3B+Rab3C+Rab3D Rabbit pAb(bs-6180R)-50ul/100ul/200ul
¥1180
CFHL1 Rabbit pAb, HRP conjugated(bs-9905R-HRP)-100ul
¥2980
TMEM176B Rabbit pAb(bs-11876R)-50ul/100ul/200ul
¥1180
MCT1 Rabbit pAb, PerCP-Cy7 conjugated(bs-10249R-PerCP-Cy7)-100ul
¥2980
万千商家帮你免费找货
0 人在求购买到急需产品
- 详细信息
- 文献和实验
- 技术资料
- 应用范围:
产品信息以Bioss网站为准
- 规格:
50ul/100ul/200ul
| 规格: | 50ul | 产品价格: | ¥1180.0 |
|---|---|---|---|
| 规格: | 100ul | 产品价格: | ¥1980.0 |
| 规格: | 200ul | 产品价格: | ¥2800.0 |
| 产品编号 | bs-1077R |
| 英文名称 | OCT2 Rabbit pAb |
| 中文名称 | 阳离子转运蛋白2抗体 |
| 英文别名 | organic cation transporter OCT2; POU domain, class 2, transcription factor 2; Octamer-binding transcription factor 2; Oct-2; OTF-2; Lymphoid-restricted immunoglobulin octamer-binding protein NF-A2; POU2F2; NF A2; Oct 2; PO2F2_MOUSE; PO2F2_HUMAN. |
| 产品应用 | WB=1:500-2000, IHC-P=1:100-500, IHC-F=1:100-500, IF=1:100-500 Not yet tested in other applications. |
| 交叉反应 | Human, Mouse, Rat |
| 抗体来源 | Rabbit |
| 免疫原 | KLH conjugated synthetic peptide derived from mouse OCT2 |
| 亚型 | IgG |
| 性状 | Liquid |
| 纯化方法 | affinity purified by Protein A |
| 克隆类型 | Polyclonal |
| 理论分子量 | 51 kDa |
| 浓度 | 1mg/ml |
| 储存液 | 0.01M TBS (pH7.4) with 1% BSA, 0.02% Proclin300 and 50% Glycerol. |
| 研究领域 | Epigenetics and Nuclear Signaling > Transcription > Domain Families > Developmental Families > OCT |
| 亚基 | Interacts with NR3C1, AR and PGR. |
| 亚细胞定位 | Cytoplasm. Nuclear |
| 组织特异性 | Isoform 3 is B-cell specific. Isoform 5 is expressed in B-cells and the immunoglobulin-expressing T-cell line Molt-4, but not in the T-cell line BW 5147. |
| 相似性 | Belongs to the POU transcription factor family. Class-2 subfamily. Contains 1 homeobox DNA-binding domain. Contains 1 POU-specific domain. |
| 功能 | Transcription factor that specifically binds to the octamer motif (5'-ATTTGCAT-3'). Regulates transcription in a number of tissues in addition to activating immunoglobulin gene expression. Modulates transcription transactivation by NR3C1, AR and PGR. Isoform 5 activates the U2 small nuclear RNA (snRNA) promoter. |
| 保存条件 | Shipped at 4℃. Store at -20℃ for one year. Avoid repeated freeze/thaw cycles. |
| 注意事项 | This product as supplied is intended for research use only, not for use in human, therapeutic or diagnostic applications. |
| 背景资料 | Oct2 is a transcription factor that specifically binds to the octamer motif (5'-ATTTGCAT-3'). Oct2 regulates transcription in a number of tissues in addition to activating immunoglobulin gene expression. It also modulates transcription transactivation by NR3C1, AR and PGR. Oct2 is B cell specific, belongs to the POU transcription factor family class 2 subfamily and contains 1 homeobox domain. |
| 应用 | 推荐稀释比例 |
| {WB} | {1:500-2000} |
| {IHC-P} | {1:100-500} |
| {IHC-F} | {1:100-500} |
| {IF} | {1:100-500} |

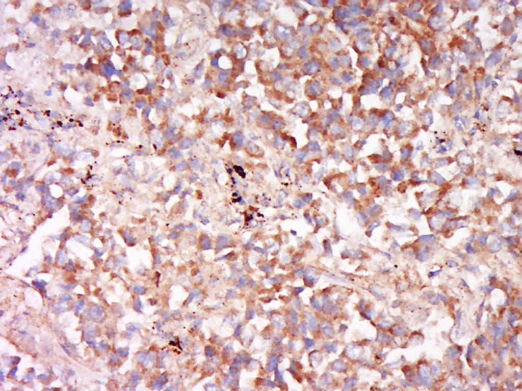
Antigen retrieval: citrate buffer ( 0.01M, pH 6.0 ), Boiling bathing for 15min; Block endogenous peroxidase by 3% Hydrogen peroxide for 30min; Blocking buffer (normal goat serum,C-0005) at 37℃ for 20 min;
Incubation: Anti-OCT2 Polyclonal Antibody, Unconjugated(bs-1077R) 1:200, overnight at 4°C, followed by conjugation to the secondary antibody(SP-0023) and DAB(C-0010) staining

A549 Cell lysate at 30 ug;
Primary: Anti-OCT2 (bs-1077R) at 1:300 dilution;
Secondary: HRP conjugated Goat-Anti-Rabbit IgG(bse-0295G) at 1: 3000 dilution;
Predicted band size : 51 kD
Observed band size : 51 kD

Antigen retrieval: citrate buffer ( 0.01M, pH 6.0 ), Boiling bathing for 15min; Block endogenous peroxidase by 3% Hydrogen peroxide for 30min; Blocking buffer (normal goat serum,C-0005) at 37℃ for 20 min;
Incubation: Anti-OCT2 Polyclonal Antibody, Unconjugated(bs-1077R) 1:500, overnight at 4°C, followed by conjugation to the secondary antibody(SP-0023) and DAB(C-0010) staining

Lane 1: Mouse Lymph node tissue lysates
Lane 2: Rat Lymph node tissue lysates
Primary: Anti-OCT2 (bs-1077R) at 1/1000 dilution
Secondary: IRDye800CW Goat Anti-Rabbit IgG at 1/20000 dilution
Predicted band size: 51 kDa
Observed band size: 51 kDa
风险提示:丁香通仅作为第三方平台,为商家信息发布提供平台空间。用户咨询产品时请注意保护个人信息及财产安全,合理判断,谨慎选购商品,商家和用户对交易行为负责。对于医疗器械类产品,请先查证核实企业经营资质和医疗器械产品注册证情况。
文献和实验[IF={{ 4.8 }}] {Qingchen Qiao. et al. Combination of Periodontal Ligament Stem Cells and Metformin via Organic Cation Transporters for Periodontal Regeneration in Rats. BIOMOLECULES. 2025 May;15(5):663} {IF} {Human}
[IF={{ 3.3 }}] {Xu C, Zhu L, Chan T, Lu X, Shen W, et al. (2015) The Altered Renal and Hepatic Expression of Solute Carrier Transporters (SLCs) in Type 1 Diabetic Mice. PLoS ONE 10(3): e0120760. doi:10.1371/journal.pone.0120760} {WB} {="Mouse"}
[IF={{ 2.31 }}] {Zhou LN et al. Macrophage polarization in human gingival tissue in response to periodontal disease.(2018) Oral Dis. Oct 4.} {IHC} {Human}
[IF={{ 10.273 }}] {Singh NK et al. Three-dimensional cell-printing of advanced renal tubular tissue analogue. Biomaterials. 2019 Dec 26;232:119734.} {WB,IF} {Mouse}
= NAL), appears to form upon oxidative cyclization of the nonfluorescent 2:1 lysine-HNE Michael adduct-Schiff base cross-link (Scheme 1). Polyclonal antibody (PAb) to the NAL-HNE fluorophore was raised in rabbit and found to be highly specific
.Biochemical mechanisms to immunosuppressionsin well-trained and overtrained athletes,Int Sports Med,1994,Oct; 10、Thomsen BS,et al.Levels of complement receptor type one(CR1,CD35)on erythrocyte,circulating immune complex and complement C3-split products C3
Studies of the Ubiquitin Proteasome System
Assays of E1 and E2 Activity Basic Protocol 1: Thiolester Formation Between Rabbit E1 and Ubiquitin Basic Protocol 2: Thiolester Formation Between E2 and Ubiquitin Binding of Ubiquitin‐Proteasome Proteins Basic Protocol 3: Binding of E2s to E3s Alternate
技术资料暂无技术资料 索取技术资料





