相关产品推荐更多 >
万千商家帮你免费找货
0 人在求购买到急需产品
- 详细信息
- 技术资料
- 应用范围:
产品信息以Bioss网站为准
- 规格:
50ul/100ul/200ul
| 规格: | 50ul | 产品价格: | ¥1180.0 |
|---|---|---|---|
| 规格: | 100ul | 产品价格: | ¥1980.0 |
| 规格: | 200ul | 产品价格: | ¥2800.0 |
| 产品编号 | bs-4258R |
| 英文名称 | Vesicle docking protein p115 Rabbit pAb |
| 中文名称 | 囊泡对接蛋白p115抗体 |
| 英文别名 | P115-RhoGEF General vesicular transport factor; General vesicular transport factor p115; P115; TAP; Transcytosis associated protein; VDP; Vesicle docking protein; USO1_HUMAN. |
| 产品应用 | WB=1:500-2000, IHC-P=1:100-500, IHC-F=1:100-500, IF=1:100-500 Not yet tested in other applications. |
| 交叉反应 | Human, Mouse (Rat, Chicken, Pig, Cow, Horse, Sheep) |
| 抗体来源 | Rabbit |
| 免疫原 | KLH conjugated synthetic peptide derived from human Vesicle docking protein p115 |
| 亚型 | IgG |
| 性状 | Liquid |
| 纯化方法 | affinity purified by Protein A |
| 克隆类型 | Polyclonal |
| 理论分子量 | 108 kDa |
| 浓度 | 1mg/ml |
| 储存液 | 0.01M TBS (pH7.4) with 1% BSA, 0.02% Proclin300 and 50% Glycerol. |
| 研究领域 | Signal Transduction > Protein Trafficking > Golgi Proteins Signal Transduction > Protein Trafficking > Vesicle Transport > Adapters |
| 亚基 | Homodimer. Dimerizes by parallel association of the tails, resulting in an elongated structure with two globular head domains side by side, and a long rod-like tail structure (Probable). Interacts with MIF. |
| 亚细胞定位 | Cytoplasm; cytosol. Golgi apparatus membrane. Recycles between the cytosol and the Golgi apparatus during interphase. During interphase, the phosphorylated form is found exclusively in cytosol; the unphosphorylated form is associated with Golgi apparatus membranes. |
| 翻译后修饰 | Phosphorylated in a cell cycle-specific manner; phosphorylated in interphase but not in mitotic cells. Dephosphorylated protein associates with the Golgi membrane; phosphorylation promotes dissociation. |
| 相似性 | Belongs to the VDP/USO1/EDE1 family. Contains 10 ARM repeats. |
| 功能 | General vesicular transport factor required for intercisternal transport in the Golgi stack; it is required for transcytotic fusion and/or subsequent binding of the vesicles to the target membrane. May well act as a vesicular anchor by interacting with the target membrane and holding the vesicular and target membranes in proximity. |
| 保存条件 | Shipped at 4℃. Store at -20℃ for one year. Avoid repeated freeze/thaw cycles. |
| 注意事项 | This product as supplied is intended for research use only, not for use in human, therapeutic or diagnostic applications. |
| 背景资料 | p115 (Vesicle docking protein p115) is a peripheral membrane protein that is located on the Golgi complex. p115 exists as a homodimer with two globular heads, an extended coiled-coil tail, followed by an acidic domain at the extreme C terminus. p115 is homologous to a yeast protein, Uso1p, which is required for ER to Golgi transport. p115 likely plays an important role in vesicle transportation from the ER to the cis-Golgi comparments. |
| 应用 | 推荐稀释比例 |
| {WB} | {1:500-2000} |
| {IHC-P} | {1:100-500} |
| {IHC-F} | {1:100-500} |
| {IF} | {1:100-500} |

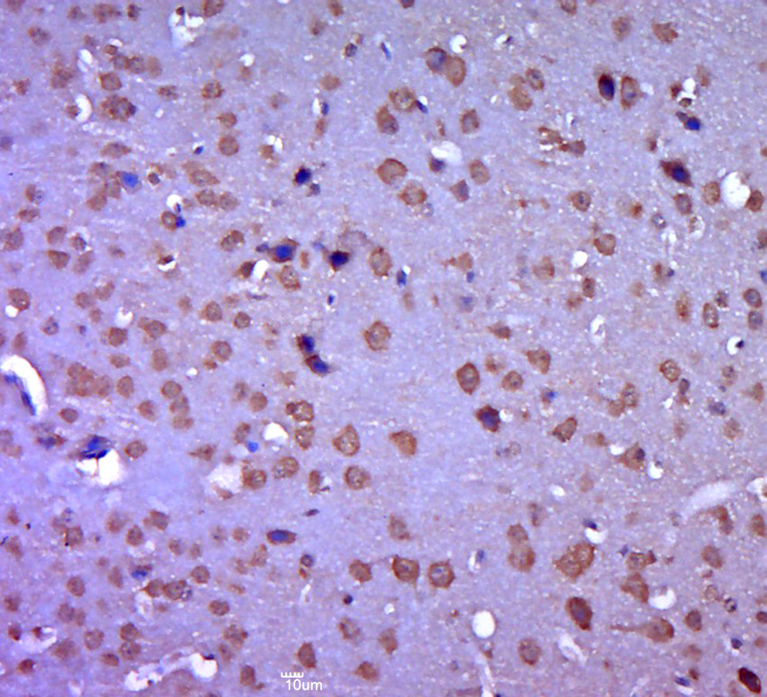
Paraformaldehyde-fixed, paraffin embedded (mouse brain tissue); Antigen retrieval by boiling in sodium citrate buffer (pH6.0) for 15min; Block endogenous peroxidase by 3% hydrogen peroxide for 20 minutes; Blocking buffer (normal goat serum) at 37°C for 30min; Antibody incubation with (Vesicle docking protein p115) Polyclonal Antibody, Unconjugated (bs-4258R) at 1:400 overnight at 4°C, followed by a conjugated secondary (sp-0023) for 20 minutes and DAB staining.

Sample:
A431(Human) Cell Lysate at 30 ug
293T(Human) Cell Lysate at 30 ug
Primary: Anti- USO1 (bs-4258R) at 1/1000 dilution
Secondary: IRDye800CW Goat Anti-Rabbit IgG at 1/20000 dilution
Predicted band size: 108 kD
Observed band size: 120 kD
A431(Human) Cell Lysate at 30 ug
293T(Human) Cell Lysate at 30 ug
Primary: Anti- USO1 (bs-4258R) at 1/1000 dilution
Secondary: IRDye800CW Goat Anti-Rabbit IgG at 1/20000 dilution
Predicted band size: 108 kD
Observed band size: 120 kD

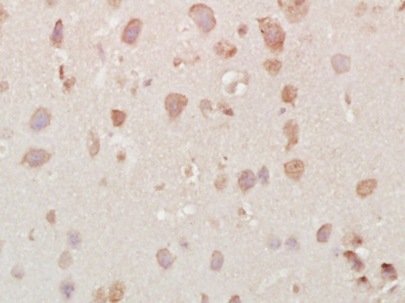
Paraformaldehyde-fixed, paraffin embedded (Mouse brain); Antigen retrieval by boiling in sodium citrate buffer (pH6.0) for 15min; Block endogenous peroxidase by 3% hydrogen peroxide for 20 minutes; Blocking buffer (normal goat serum) at 37°C for 30min; Antibody incubation with (Vesicle docking protein p115) Polyclonal Antibody, Unconjugated (bs-4258R) at 1:400 overnight at 4°C, followed by operating according to SP Kit(Rabbit) (sp-0023) instructionsand DAB staining.

Sample:
Lane 1: Human HeLa cell lysates
Lane 2: Human HepG2 cell lysates
Primary: Anti-Vesicle docking protein p115 (bs-4258R) at 1/1000 dilution
Secondary: IRDye800CW Goat Anti-Rabbit IgG at 1/20000 dilution
Predicted band size: 108 kDa
Observed band size: 140 kDa
Lane 1: Human HeLa cell lysates
Lane 2: Human HepG2 cell lysates
Primary: Anti-Vesicle docking protein p115 (bs-4258R) at 1/1000 dilution
Secondary: IRDye800CW Goat Anti-Rabbit IgG at 1/20000 dilution
Predicted band size: 108 kDa
Observed band size: 140 kDa
风险提示:丁香通仅作为第三方平台,为商家信息发布提供平台空间。用户咨询产品时请注意保护个人信息及财产安全,合理判断,谨慎选购商品,商家和用户对交易行为负责。对于医疗器械类产品,请先查证核实企业经营资质和医疗器械产品注册证情况。
技术资料暂无技术资料 索取技术资料
Vesicle docking protein p115 Rabbit pAb(bs-4258R)-50ul/100ul/200ul
¥1180 - 2800







