相关产品推荐更多 >

FAM115C Rabbit pAb, HRP conjugated(bs-22511R-HRP)-100ul
¥2980
Anti-human TIGIT (Ociperlimab Biosimilar)(BIO0662SM)-1mg/5mg/20mg
¥3200
phospho-Bcl2 (Ser87) Rabbit pAb, PerCP-Cy5.5 conjugated(bs-12577R-PerCP-Cy5.5)-100ul
¥2980
Naked1 Rabbit pAb, AP conjugated(bs-19005R-AP)-100ul
¥2980
SLC10A1 Rabbit pAb, Biotin conjugated(bs-1958R-Bio)-100ul
¥2980
万千商家帮你免费找货
0 人在求购买到急需产品
- 详细信息
- 文献和实验
- 技术资料
- 应用范围:
产品信息以Bioss网站为准
- 规格:
50ul/100ul/200ul/200ug
| 规格: | 50ul | 产品价格: | ¥1180.0 |
|---|---|---|---|
| 规格: | 100ul | 产品价格: | ¥1980.0 |
| 规格: | 200ul | 产品价格: | ¥2800.0 |
| 规格: | 200ug | 产品价格: | ¥5600.0 |
| 产品编号 | bsm-33170M |
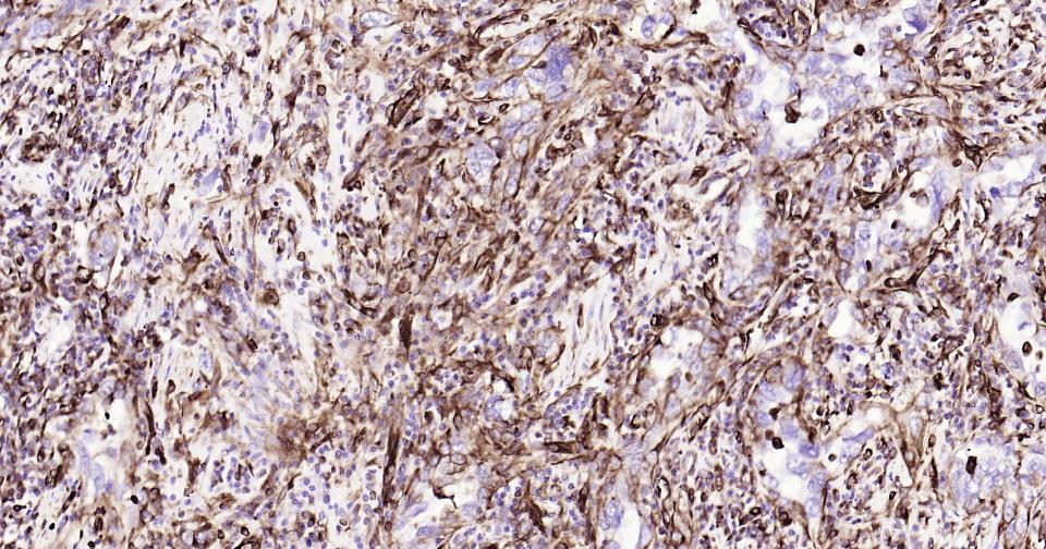
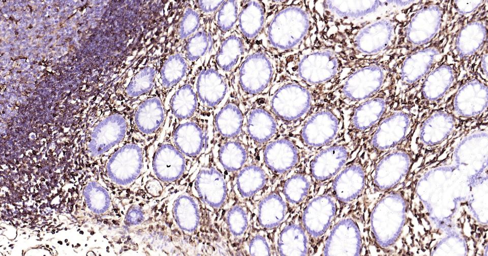
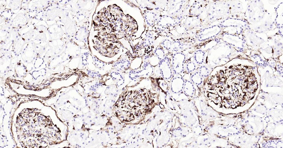
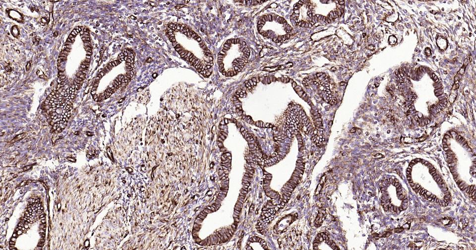
| 英文名称 | Vimentin Mouse mAb |
| 中文名称 | 波形蛋白单克隆抗体 |
| 英文别名 | FLJ36605; OTTHUMP00000019224; VIM; VIME_HUMAN; Vimentin. |
| 产品应用 | WB=1:1000-10000, IHC-P=1:200-1000, IHC-F=1:200-1000, ICC/IF=1:100-500, IF=1:200-1000, Flow-Cyt=1ug/Test Not yet tested in other applications. |
| 交叉反应 | Human, Hela |
| 抗体来源 | Mouse |
| 免疫原 | Recombinant human Vimentin Protein |
| 亚型 | IgG |
| 性状 | Liquid |
| 纯化方法 | affinity purified by Protein G |
| 克隆类型 | Monoclonal |
| 理论分子量 | 53 kDa |
| 浓度 | 1mg/ml |
| 储存液 | 0.01M TBS (pH7.4) with 1% BSA, 0.02% Proclin300 and 50% Glycerol. |
| 研究领域 | Cancer > Tumor biomarkers Developmental Biology > Lineage specification > Ectoderm Neuroscience > Cell Type Marker > Neural Stem Cell marker Neuroscience > Neurology process > Neurogenesis Neuroscience > Neurology process > Neuroregeneration > Neuroregeneration Signal Transduction > Antibodies > vimentin Signal Transduction > Cytoskeleton / ECM > Cytoskeleton > Intermediate Filaments > Class III > Vimentin Stem Cells > Lineage Markers > Endoderm Stem Cells > Neural Stem Cells > Intracellular |
| 亚基 | Homopolymer assembled from elementary dimers. Interacts with HCV core protein. Interacts with LGSN and SYNM. Interacts (via rod region) with PLEC (via CH 1 domain) (By similarity). Interacts with SLC6A4. Interacts with STK33. Interacts with LARP6. Interacts with RAB8B (By similarity). |
| 亚细胞定位 | Cytoplasm. |
| 组织特异性 | Highly expressed in fibroblasts, somev expression in T- and B-lymphocytes, and little or no expression in Burkitt's lymphoma cell lines. Expressed in many hormone-independent mammary carcinoma cell lines. |
| 翻译后修饰 | Filament disassembly during mitosis is promoted by phosphorylation at Ser-55 as well as by nestin (By similarity). One of the most prominent phosphoproteins in various cells of mesenchymal origin. Phosphorylation is enhanced during cell division, at which time vimentin filaments are significantly reorganized. Phosphorylation by PKN1 inhibits the formation of filaments. Phosphorylated at Ser-56 by CDK5 during neutrophil secretion in the cytoplasm. Phosphorylated by STK33. |
| 相似性 | Belongs to the intermediate filament family. |
| 功能 | Vimentins are class-III intermediate filaments found in various non-epithelial cells, especially mesenchymal cells. Vimentin is attached to the nucleus, endoplasmic reticulum, and mitochondria, either laterally or terminally. Involved with LARP6 in the stabilization of type I collagen mRNAs for CO1A1 and CO1A2. |
| 保存条件 | Shipped at 4℃. Store at -20℃ for one year. Avoid repeated freeze/thaw cycles. |
| 注意事项 | This product as supplied is intended for research use only, not for use in human, therapeutic or diagnostic applications. |
| 背景资料 | This gene encodes a member of the intermediate filament family. Intermediate filamentents, along with microtubules and actin microfilaments, make up the cytoskeleton. The protein encoded by this gene is responsible for maintaining cell shape, integrity of the cytoplasm, and stabilizing cytoskeletal interactions. It is also involved in the immune response, and controls the transport of low-density lipoprotein (LDL)-derived cholesterol from a lysosome to the site of esterification. It functions as an organizer of a number of critical proteins involved in attachment, migration, and cell signaling. Mutations in this gene causes a dominant, pulverulent cataract.[provided by RefSeq, Jun 2009] |
| 应用 | 推荐稀释比例 |
| {WB} | {1:1000-10000} |
| {IHC-P} | {1:200-1000} |
| {IHC-F} | {1:200-1000} |
| {ICC/IF} | {1:100-500} |
| {IF} | {1:200-1000} |
| {Flow-Cyt} | {1ug/Test} |

Primary Antibody (green line): Mouse Anti-Vimentin antibody (bsm-33170M)
Dilution: 1ug/Test;
Secondary Antibody : Goat anti-Mouse IgG-FITC
Dilution: 0.5ug/Test.
Protocol
The cells were fixed with 4% PFA (10min at room temperature)and then permeabilized with 90% ice-cold methanol for 20 min at -20℃.The cells were then incubated in 5%BSA to block non-specific protein-protein interactions for 30 min at room temperature .Cells stained with Primary Antibody for 30 min at room temperature. The secondary antibody used for 40 min at room temperature. Acquisition of 20,000 events was performed.

Hela(Human) Cell Lysate at 30 ug
Hela KO Vimentin (Human) Cell Lysate at 30 ug
Primary: Anti- Vimentin (bsm-33170M) at 1/1000 dilution
Secondary: IRDye800CW Goat Anti-Mouse IgG at 1/20000 dilution
Predicted band size: 53 kD
Observed band size: 58 kD













风险提示:丁香通仅作为第三方平台,为商家信息发布提供平台空间。用户咨询产品时请注意保护个人信息及财产安全,合理判断,谨慎选购商品,商家和用户对交易行为负责。对于医疗器械类产品,请先查证核实企业经营资质和医疗器械产品注册证情况。
文献和实验[IF={{ 8.755 }}] {Sijie Wang. et al. PFKFB4 facilitates palbociclib resistance in oestrogen receptor-positive breast cancer by enhancing stemness. CELL PROLIFERAT. 2022 Sep;:e13337} {WB} {Human}
[IF={{ 5.201 }}] {Juan-Juan Zhu. et al. VAMP3 and SNAP23 as Potential Targets for Preventing the Disturbed Flow-Accelerated Thrombus Formation. Front Cell Dev Biol. 2020; 8: 576826} {WB,IF,IHC} {Human}
[IF={{ 4.5 }}] {Ying Sun. et al. Cinobufagin inhibits M2‑like tumor‑associated macrophage polarization to attenuate the invasion and migration of lung cancer cells. INT J ONCOL. 2024 Nov;65(5):1-17} {WB} {Human}
[IF={{ 4.3 }}] {Jianwei Dong. et al. Efficient detection of heterogeneous CTCs using folate modified magnetic beads combined with microfluidic spatial confinement signal amplification. CHEM ENG SCI. 2025 Jun;:121983} {} {}
[IF={{ 3.6 }}] {Zheng Bo. et al. Propranolol inhibits EMT and metastasis in breast cancer through miR-499-5p-mediated Sox6. J CANCER RES CLIN. 2024 Feb;150(2):1-13} {WB} {Mouse}
T-Cell Activation Using mAb to CD3
One of the most common ways to assess T cell activation is to measure T cell proliferation upon in vitro stimulation of T cells via antigen or agonistic antibodies to TCR. This protocol is written as a starting point for examining in vitro proliferation of mouse
WHOLE MOUNT IN SITU HYBRIDIZATION. Mouse Embryos
. Use gloves and aerosol barrier tips. Linearize the plasmid and check the digest. Phenol extract. Extract twice with chloroform:isoamyl alcohol (24:1) Ethanol precipitate ( 1/2 vol 7.5 M NH4 OAc + 2.5 vol 100
Hybrid Resistance by Mouse NK Cells In Vitro
A purified NK cells to kill H2d target cells can be reversed by adding MAb reagents that bind to either Ly49A or H2-Dd . We and others have extended these early findings to the Ly49C and I subsets of NK cells, and have recently detected positive signaling
技术资料暂无技术资料 索取技术资料






