相关产品推荐更多 >

MRPL22 Rabbit pAb, Biotin conjugated(bs-17781R-Bio)-100ul
¥2980
Tyrosine Hydroxylase Rabbit pAb, Cy3 conjugated(bs-0016R-Cy3)-100ul
¥2980
GBE1 Rabbit pAb(bs-13300R)-50ul/100ul/200ul
¥1180
VEGFR3 Rabbit pAb, APC-Cy5 conjugated(bs-2202R-APC-Cy5)-100ul
¥2980
ornithine aminotransferase Rabbit pAb, Biotin conjugated(bs-18036R-Bio)-100ul
¥2980
万千商家帮你免费找货
0 人在求购买到急需产品
- 详细信息
- 文献和实验
- 技术资料
- 应用范围:
产品信息以Bioss网站为准
- 规格:
50ul/100ul/200ul
| 规格: | 50ul | 产品价格: | ¥1180.0 |
|---|---|---|---|
| 规格: | 100ul | 产品价格: | ¥1980.0 |
| 规格: | 200ul | 产品价格: | ¥2800.0 |
| 产品编号 | bs-1162R |
| 英文名称 | CXCL2/GRO Beta Rabbit pAb |
| 中文名称 | 巨噬细胞炎症蛋白2( GROβ)抗体 |
| 英文别名 | C-X-C motif chemokine 2; Chemokine(C X C motif) ligand 2; Chemokine, CXC motif, ligand 2; CINC 2a; CINC2a; CINC3; CXC chemokine; CXCL 2; CXCL2; MIP2; MIP 2; MIP-2; Cytokine-induced neutrophil chemoattractant 3; GRO 2; GRO b; GRO protein, beta; Gro-beta; GRO2; GRO2 oncogene; GROb; GRObeta; GRO beta; Growth regulated protein beta; GROX; Macrophage inflammatory protein 2 alpha; Macrophage inflammatory protein 2; Melanoma growth stimulatory activity beta; MGSA b; MGSA beta; MGSAbeta; MIP 2; MIP 2a; MIP2 alpha; MIP2; MIP2A; MIP2alpha; SCYB 2; Scyb; SCYB2; Small inducible cytokine subfamily B, member 2. |
| 产品应用 | WB=1:500-2000, IHC-P=1:100-500, IHC-F=1:100-500, IF=1:100-500, Flow-Cyt=0.2ug/test Not yet tested in other applications. |
| 交叉反应 | Human, Mouse, Rat (Pig, Cow, Horse, Rabbit, Sheep) |
| 抗体来源 | Rabbit |
| 免疫原 | KLH conjugated synthetic peptide derived from human MIP2 |
| 亚型 | IgG |
| 性状 | Liquid |
| 纯化方法 | affinity purified by Protein A |
| 克隆类型 | Polyclonal |
| 理论分子量 | 12 kDa |
| 浓度 | 1mg/ml |
| 储存液 | 0.01M TBS (pH7.4) with 1% BSA, 0.02% Proclin300 and 50% Glycerol. |
| 研究领域 | Immunology > Innate Immunity > Chemokines > Alpha Chemokines (CXC) |
| 亚细胞定位 | Secreted. |
| 翻译后修饰 | The N-terminal processed form GRO-beta(5-73) is produced by proteolytic cleavage after secretion from bone marrow stromal cells. |
| 相似性 | Belongs to the intercrine alpha (chemokine CxC) family. |
| 功能 | Produced by activated monocytes and neutrophils and expressed at sites of inflammation. Hematoregulatory chemokine, which, in vitro, suppresses hematopoietic progenitor cell proliferation. GRO-beta(5-73) shows a highly enhanced hematopoietic activity. |
| 保存条件 | Shipped at 4℃. Store at -20℃ for one year. Avoid repeated freeze/thaw cycles. |
| 注意事项 | This product as supplied is intended for research use only, not for use in human, therapeutic or diagnostic applications. |
| 背景资料 | GRO beta is a member of the CXC, or chemokine class. It contains the ELR domain immediately preceding the first cysteine residue near the amino terminus. Other chemokines in this group include IL8, GRO alpha/beta/gamma, mouse KC, ENA78, GCP2, PBP/CTAPIII/beta TG/NAP2. These chemokines act primarily on neutrophils as chemoattractants and activators, including neutrophil degradation with release of myloperoxidase and other enzymes. GRO beta was originally identified as a heparin-binding protein secreted from a murine macrophage cell line in response to endotoxin stimulation. GRO beta is an approximately 8 kDa polypeptide of 73 amino acids. The precursor form of GRO beta consists of 100 amino acids. To generate the mature GRO beta, the precursor cleaves its amino terminal 27 amino acids. GRO beta shows 60% amino acid homology to human GRO alpha and GRO gamma. |
| 应用 | 推荐稀释比例 |
| {WB} | {1:500-2000} |
| {IHC-P} | {1:100-500} |
| {IHC-F} | {1:100-500} |
| {IF} | {1:100-500} |
| {Flow-Cyt} | {0.2ug/test} |

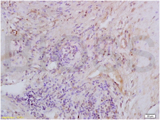
Antigen retrieval: citrate buffer ( 0.01M, pH 6.0 ), Boiling bathing for 15min; Block endogenous peroxidase by 3% Hydrogen peroxide for 30min; Blocking buffer (normal goat serum,C-0005) at 37℃ for 20 min;
Incubation: Anti-MIP2/GRO Beta/CXCL2 Polyclonal Antibody, Unconjugated(bs-1162R) 1:200, overnight at 4℃, followed by conjugation to the secondary antibody(SP-0023) and DAB(C-0010) staining

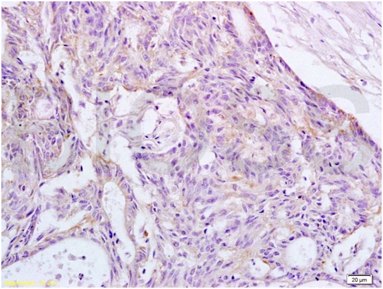
Antigen retrieval: citrate buffer ( 0.01M, pH 6.0 ), Boiling bathing for 15min; Block endogenous peroxidase by 3% Hydrogen peroxide for 30min; Blocking buffer (normal goat serum,C-0005) at 37℃ for 20 min;
Incubation: Anti-MIP2/GRO Beta/CXCL2 Polyclonal Antibody, Unconjugated(bs-1162R) 1:200, overnight at 4℃, followed by conjugation to the secondary antibody(SP-0023) and DAB(C-0010) staining

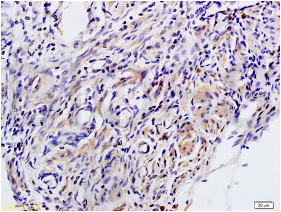
Antigen retrieval: citrate buffer ( 0.01M, pH 6.0 ), Boiling bathing for 15min; Block endogenous peroxidase by 3% Hydrogen peroxide for 30min; Blocking buffer (normal goat serum,C-0005) at 37℃ for 20 min;
Incubation: Anti-MIP2/GRO Beta/CXCL2 Polyclonal Antibody, Unconjugated(bs-1162R) 1:200, overnight at 4℃, followed by conjugation to the secondary antibody(SP-0023) and DAB(C-0010) staining

Plasma (Rat) at 40 ug
Serum (Rat) at 40 ug
Primary: Anti-CXCL2 (bs-1162R) at 1/1000 dilution
Secondary: IRDye800CW Goat Anti-Rabbit IgG at 1/20000 dilution
Predicted band size: 12 kD
Observed band size: 12 kD

风险提示:丁香通仅作为第三方平台,为商家信息发布提供平台空间。用户咨询产品时请注意保护个人信息及财产安全,合理判断,谨慎选购商品,商家和用户对交易行为负责。对于医疗器械类产品,请先查证核实企业经营资质和医疗器械产品注册证情况。
文献和实验[IF={{ 9.417 }}] {Yuqin Yang. et al. Natural small molecule self-assembled hydrogel inhibited tumor growth and lung metastasis of 4T1 breast cancer by regulating the CXCL1/2-S100A8/9 axis. MATER DESIGN. 2022 Nov;:111435} {WB} {Mouse}
[IF={{ 9 }}] {Nie Fujiao. et al. The role of CXCL2-mediated crosstalk between tumor cells and macrophages in Fusobacterium nucleatum-promoted oral squamous cell carcinoma progression. CELL DEATH DIS. 2024 Apr;15(4):1-15} {WB,IHC,IF} {Human,Mouse}
[IF={{ 8.1 }}] {Fujiao Nie. et al.The role of CXCL2-mediated crosstalk between tumor cells and macrophages in Fusobacterium nucleatum -promoted oral squamous cell carcinoma progression.cell death dis.2024 Apr 18;15(4):277.} {IHC} {}
[IF={{ 7.9 }}] {Jialing Bai. et al. Dioscin decreases M2 polarization via inhibiting a positive feedback loop between RBM47 and NF-κB in glioma. PHYTOMEDICINE. 2024 Feb;:155417} {WB} {Human}
[IF={{ 7.419 }}] {Mengen Zhou. et al. Xuanfei Baidu Decoction regulates NETs formation via CXCL2/CXCR2 signaling pathway that is involved in acute lung injury. BIOMED PHARMACOTHER. 2023 May;161:114530} {IHC} {Mouse}
Generation of Spatio‐Temporally Controlled Targeted Somatic Mutations in the Mouse
. Berton, T.R., Matsumoto, T., Page, A., Conti, C.J., Deng, C.X., Jorcano, J.L., and Johnson, D.G. 2003. Tumor formation in mice with conditional inactivation of Brca1 in epithelial tissues. Oncogene 22:5415
技术资料暂无技术资料 索取技术资料






