相关产品推荐更多 >
万千商家帮你免费找货
0 人在求购买到急需产品
- 详细信息
- 文献和实验
- 技术资料
- 应用范围:
产品信息以Bioss网站为准
- 规格:
50ul/100ul/200ul
| 规格: | 50ul | 产品价格: | ¥1180.0 |
|---|---|---|---|
| 规格: | 100ul | 产品价格: | ¥1980.0 |
| 规格: | 200ul | 产品价格: | ¥2800.0 |
| 产品编号 | bs-7497R |
| 英文名称 | TBK1 Rabbit pAb |
| 中文名称 | NF-κB活化激酶抗体 |
| 英文别名 | EC 2.7.11.1; FLJ11330; NAK; NF kappa B activating kinase; NF kB activating kinase; NF-kappa-B-activating kinase; Serine/threonine protein kinase TBK 1; Serine/threonine protein kinase TBK1; Serine/threonine-protein kinase TBK1; T2K; TANK binding kinase 1; TANK-binding kinase 1; TBK 1; TBK1_HUMAN. |
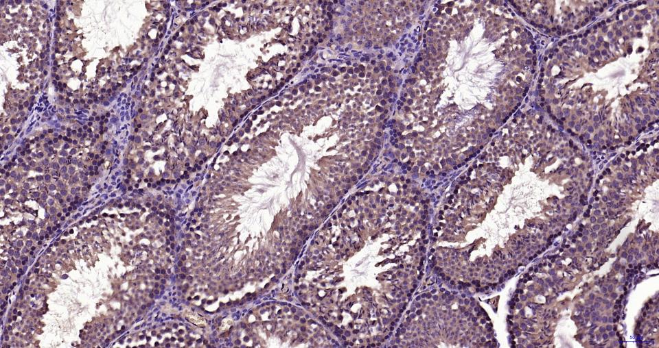
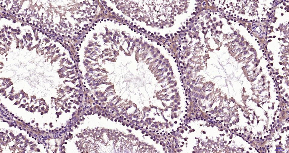
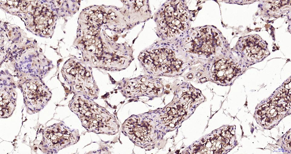
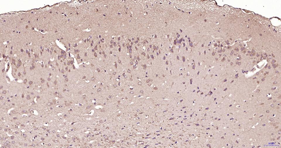
| 产品应用 | WB=1:1000-5000, IHC-P=1:100-500, IHC-F=1:100-500, IF=1:100-500 Not yet tested in other applications. |
| 交叉反应 | Human, Rat, Mouse |
| 抗体来源 | Rabbit |
| 免疫原 | KLH conjugated synthetic peptide derived from human TBK1 |
| 亚型 | IgG |
| 性状 | Liquid |
| 纯化方法 | affinity purified by Protein A |
| 克隆类型 | Polyclonal |
| 理论分子量 | 84 kDa |
| 浓度 | 1mg/ml |
| 储存液 | 0.01M TBS (pH7.4) with 1% BSA, 0.02% Proclin300 and 50% Glycerol. |
| 研究领域 | Epigenetics and Nuclear Signaling > Nuclear Signaling Pathways > NFkB pathway Signal Transduction > Protein Phosphorylation > Ser / Thr Kinases > Other Kinases Signal Transduction > Signaling Pathway > Nuclear Signaling > NFkB Pathway |
| 亚基 | Self-associates. Interacts with TIRAP, TANK and TRAF2. Part of a ternary complex consisting of TANK, TRAF2 and TBK1. |
| 亚细胞定位 | Nucleus. |
| 组织特异性 | Ubiquitous with higher expression in testis. |
| 相似性 | Belongs to the protein kinase superfamily. Ser/Thr protein kinase family. I-kappa-B kinase subfamily.
Contains 1 protein kinase domain. Contains 1 ubiquitin-like domain. |
| 功能 | Serine/threonine protein involved in the signaling cascade converging to the activation of the transcription factor NF-kappa-B. May function as an IKK kinase, playing an essential role in the transcription of a subset of TNF-alpha-induced genes. Also mediates production of RANTES/CCL5 and interferon-beta/IFNB1. Has a pivotal role in the innate immune response. Phosphorylates Borna disease virus (BDV) P protein. Phosphorylates and activates IRF3 and IRF7 and allows their nuclear localization. This leads to production of alpha/beta interferons and the development of a cellular antiviral state. It also seems to be a central factor in the induction of the antiviral interferon response. Inhibition of its interaction with IRF3, due to HCV NS3 binding or BDV P protein seems to be one mechanism of inhibition of the innate immune responses of hepatitis C virus (HCV) infection or Borna disease virus infection respectively. |
| 保存条件 | Shipped at 4℃. Store at -20℃ for one year. Avoid repeated freeze/thaw cycles. |
| 注意事项 | This product as supplied is intended for research use only, not for use in human, therapeutic or diagnostic applications. |
| 背景资料 | The NF-kappa-B (NFKB) complex of proteins is inhibited by I-kappa-B (IKB) proteins, which inactivate NFKB by trapping it in the cytoplasm. Phosphorylation of serine residues on the IKB proteins by IKB kinases marks them for destruction via the ubiquitination pathway, thereby allowing activation and nuclear translocation of the NFKB complex. The protein encoded by this gene is similar to IKB kinases and can mediate NFKB activation in response to certain growth factors. [provided by RefSeq, Oct 2010] |
| 应用 | 推荐稀释比例 |
| {WB} | {1:1000-5000} |
| {IHC-P} | {1:100-500} |
| {IHC-F} | {1:100-500} |
| {IF} | {1:100-500} |









风险提示:丁香通仅作为第三方平台,为商家信息发布提供平台空间。用户咨询产品时请注意保护个人信息及财产安全,合理判断,谨慎选购商品,商家和用户对交易行为负责。对于医疗器械类产品,请先查证核实企业经营资质和医疗器械产品注册证情况。
文献和实验[IF={{ 8 }}] {Xiaomei Jiang. et al. A pH-Sensitive Nanoparticle as Reactive Oxygen Species Amplifier to Regulate Tumor Microenvironment and Potentiate Tumor Radiotherapy. INT J NANOMED. 2024 Jan 22} {WB} {Mouse}
[IF={{ 52.7 }}] {She Han. et al. Arginase 1 drives mitochondrial cristae remodeling and PANoptosis in ischemia/hypoxia-induced vascular dysfunction. SIGNAL TRANSDUCT TAR. 2025 May;10(1):1-20} {WB} {Rat}
[IF={{ 5.3 }}] {Yuanjia Huang. et al. Enhancing Tumor-Specific immunity with SLdacA: A attenuated Salmonella-mediated c-di-AMP delivery system targeting the STING pathway. INT J PHARMACEUT. 2024 Dec;666:124759} {WB} {Mouse}
[IF={{ 5.191 }}] {Huiqing Hu. et al. cGAS-STING mediates cytoplasmic mitochondrial-DNA-induced inflammatory signal transduction during accelerated senescence of pancreatic β-cells induced by metabolic stress. Faseb J. 2022 May;36(5):e22266} {WB} {Mouse}
[IF={{ 4.784 }}] {Wan B et al. Porcine FcγRIIb mediated PRRSV ADE infection through inhibiting IFN-β by cytoplasmic inhibitory signal transduction. Int J Biol Macromol. 2019 Jul 5;138:198-206.} {WB} {Monkey}
= NAL), appears to form upon oxidative cyclization of the nonfluorescent 2:1 lysine-HNE Michael adduct-Schiff base cross-link (Scheme 1). Polyclonal antibody (PAb) to the NAL-HNE fluorophore was raised in rabbit and found to be highly specific
GE Healthcare Benzamidine Sepharose™ 6B is p-aminobenzamidine covalently attached to Sepharose 6B by the epoxy coupling method. p-Aminobenzamidine (PAB), is a synthetic inhibitor of trypsin-like serine protease. Trypsin and trypsin
Nucleic Acid Programmable Protein Arrays: Versatile Tools for Array‐Based Functional Protein Studies
.g., Sigma) 50 mg/ml bis‐sulfosuccinimdylsuberate (BS3 ;Pierce, cat. no. PI 21580) in dimethylsulfoxide (DMSO) 5 mg/ml
技术资料暂无技术资料 索取技术资料











