相关产品推荐更多 >

Peroxiredoxin 1 Mouse mAb(bsm-33118M)-50ul/100ul/200ul/200ug
¥1180
DACT1 Rabbit pAb(bs-10304R)-50ul/100ul/200ul
¥1180
GGN Rabbit pAb, HRP conjugated(bs-13347R-HRP)-100ul
¥2980
VLDL Receptor Rabbit pAb, Cy3 conjugated(bs-4228R-Cy3)-100ul
¥2980
phospho-IRAK4 (Thr345) Rabbit pAb(bs-4080R)-50ul/100ul/200ul
¥1180
万千商家帮你免费找货
0 人在求购买到急需产品
- 详细信息
- 文献和实验
- 技术资料
- 应用范围:
产品信息以Bioss网站为准
- 规格:
50ul/100ul/200ul
| 规格: | 50ul | 产品价格: | ¥1180.0 |
|---|---|---|---|
| 规格: | 100ul | 产品价格: | ¥1980.0 |
| 规格: | 200ul | 产品价格: | ¥2800.0 |
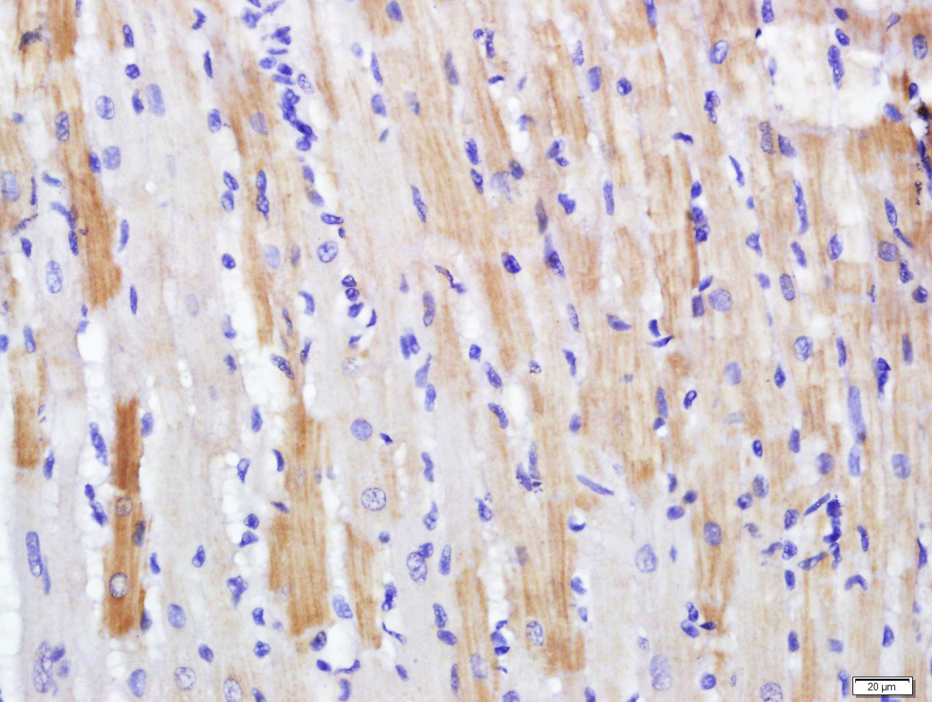
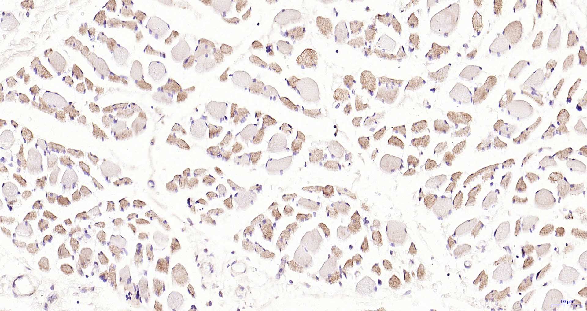
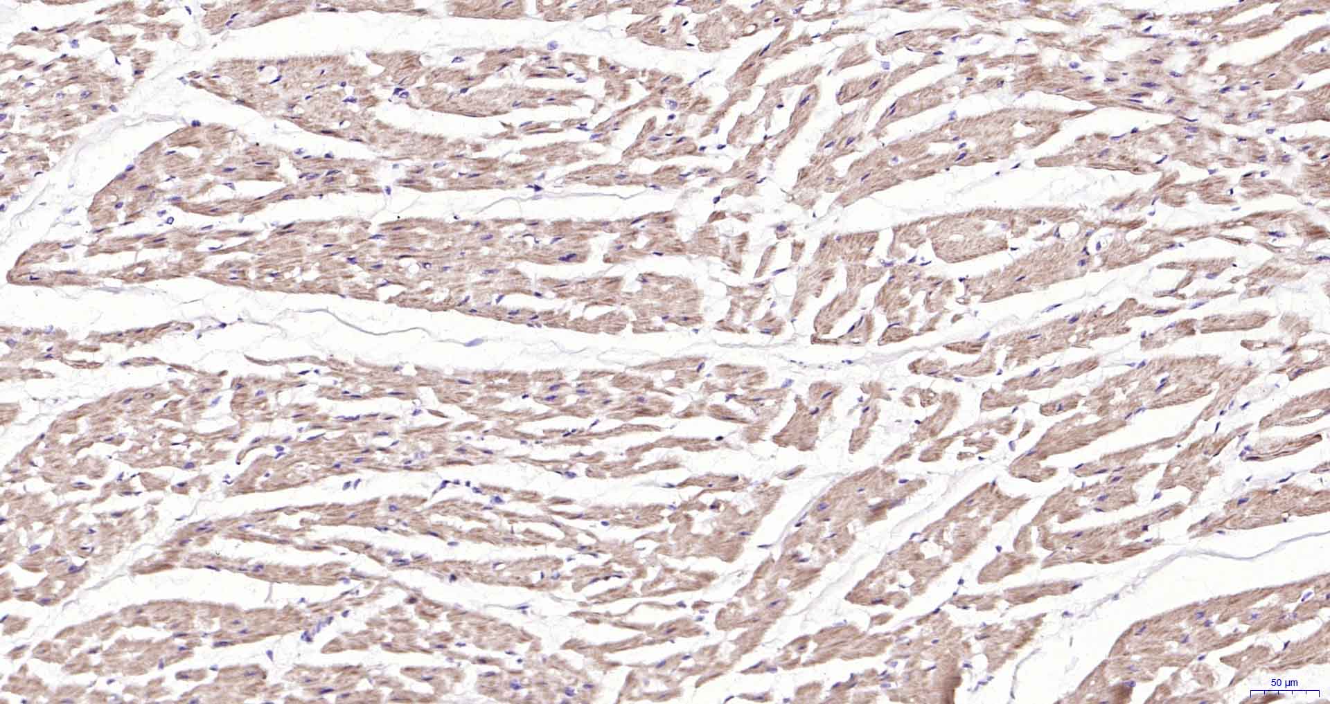
| 产品编号 | bs-11575R |
| 英文名称 | PDE7A Rabbit pAb |
| 中文名称 | 磷酸二酯酶7抗体 |
| 英文别名 | HCP 1; HCP1; High affinity cAMP specific 3'5' cyclic phosphodiesterase 7A; High affinity cAMP-specific 3''; P2A; PDE 7; PDE 7A; PDE7; PDE71; PDE7A; PDE7A_HUMAN; phosphodiesterase 7A; phosphodiesterase isozyme 7; phosphodiesterase7A; Rolipram insensitive phosphodiesterase type 7; TM 22; TM22; 5''-cyclic phosphodiesterase 7A. |
| 产品应用 | WB=1:500-2000, IHC-P=1:100-500, IHC-F=1:100-500, IF=1:100-500, Flow-Cyt=1μg/Test Not yet tested in other applications. |
| 交叉反应 | Human, Mouse, Rat (Chicken, Dog, Pig, Cow, Horse, Rabbit) |
| 抗体来源 | Rabbit |
| 免疫原 | KLH conjugated synthetic peptide derived from human PDE7A |
| 亚型 | IgG |
| 性状 | Liquid |
| 纯化方法 | affinity purified by Protein A |
| 克隆类型 | Polyclonal |
| 理论分子量 | 55 kDa |
| 浓度 | 1mg/ml |
| 储存液 | 0.01M TBS (pH7.4) with 1% BSA, 0.02% Proclin300 and 50% Glycerol. |
| 研究领域 | Neuroscience > Neurology process > Neural Signal Transduction Signal Transduction > Second Messenger > Nucleotide Messenger > cAMP |
| 亚基 | Interacts with CBFA2T3. |
| 亚细胞定位 | Cytoplasm |
| 组织特异性 | PDE7A1 is found at high levels in skeletal muscle and at low levels in a variety of tissues including brain and heart. It is expressed as well in two T-cell lines. PDE7A2 is found abundantly in skeletal muscle and at low levels in heart. |
| 相似性 | Belongs to the cyclic nucleotide phosphodiesterase family. PDE7 subfamily. |
| 功能 | Hydrolyzes the second messenger cAMP, which is a key regulator of many important physiological processes. May have a role in muscle signal transduction. |
| 保存条件 | Shipped at 4℃. Store at -20℃ for one year. Avoid repeated freeze/thaw cycles. |
| 注意事项 | This product as supplied is intended for research use only, not for use in human, therapeutic or diagnostic applications. |
| 背景资料 | Phosphodiesterases (PDE, also designated cyclic nucleotide phosphodiesterase) are important for the downregulation of the intracellular level of the second messenger cyclic adenosine monophosphate (cAMP) by hydrolyzing cAMP to 5'AMP. Phosphodiesterase type 3 isoforms, PDE3A and 3B, are expressed primarily in cardiovascular tissue and adipose tissue, respectively. PDE3A, is found in myocardium and platelets and PDE3B is found in lymphocytes. The PDE7A1 (HCP1) isozyme and the PDE7A2 proteins, alternate splice products of PDE7A, are highly expressed in skeletal muscle. PDE7B is most highly expressed in pancreas. The PDE family contains proteins that serve tissue-specific roles in regulation of lipolysis, glycogenolysis, myocardial contractility, and smooth muscle relaxation. |
| 应用 | 推荐稀释比例 |
| {WB} | {1:500-2000} |
| {IHC-P} | {1:100-500} |
| {IHC-F} | {1:100-500} |
| {IF} | {1:100-500} |
| {Flow-Cyt} | {1μg/Test} |

Primary Antibody:Rabbit Anti- PDE7A antibody(bs-11575R), Dilution: 1μg in 100 μL 1X PBS containing 0.5% BSA;
Isotype Control Antibody: Rabbit IgG(orange) ,used under the same conditions );
Secondary Antibody: Goat anti-rabbit IgG-PE(white blue), Dilution: 1:200 in 1 X PBS containing 0.5% BSA.


Primary: Anti-PDE7A(bs-11575R)at 1/300 dilution
Secondary: IRDye800CW Goat Anti-RabbitIgG at 1/20000 dilution
Predicted band size: 55kD
Observed band size: 55kD

Primary: Anti-PDE7A (bs-11575R) at 1/300 dilution
Secondary: IRDye800CW Goat Anti-Rabbit IgG at 1/20000 dilution
Predicted band size: 55kD
Observed band size: 55kD


风险提示:丁香通仅作为第三方平台,为商家信息发布提供平台空间。用户咨询产品时请注意保护个人信息及财产安全,合理判断,谨慎选购商品,商家和用户对交易行为负责。对于医疗器械类产品,请先查证核实企业经营资质和医疗器械产品注册证情况。
文献和实验= NAL), appears to form upon oxidative cyclization of the nonfluorescent 2:1 lysine-HNE Michael adduct-Schiff base cross-link (Scheme 1). Polyclonal antibody (PAb) to the NAL-HNE fluorophore was raised in rabbit and found to be highly specific
GE Healthcare Benzamidine Sepharose™ 6B is p-aminobenzamidine covalently attached to Sepharose 6B by the epoxy coupling method. p-Aminobenzamidine (PAB), is a synthetic inhibitor of trypsin-like serine protease. Trypsin and trypsin
Nucleic Acid Programmable Protein Arrays: Versatile Tools for Array‐Based Functional Protein Studies
.g., Sigma) 50 mg/ml bis‐sulfosuccinimdylsuberate (BS3 ;Pierce, cat. no. PI 21580) in dimethylsulfoxide (DMSO) 5 mg/ml
技术资料暂无技术资料 索取技术资料





