相关产品推荐更多 >

LRRC15 Rabbit pAb, Biotin conjugated(bs-6815R-Bio)-100ul
¥2980
phospho-MYL (Ser19) Rabbit pAb, HRP conjugated(bs-3295R-HRP)-100ul
¥2980
phospho-Numb (Ser276) Rabbit pAb, AP conjugated(bs-3311R-AP)-100ul
¥2980
PPP2R1B Rabbit pAb(bs-7932R)-50ul/100ul/200ul
¥1180
MUT/Methylmalonyl Coenzyme A mutase Rabbit pAb(bs-18808R)-50ul/100ul/200ul
¥1180
万千商家帮你免费找货
0 人在求购买到急需产品
- 详细信息
- 询价记录
- 文献和实验
- 技术资料
- 应用范围:
产品信息以Bioss网站为准
- 规格:
50ul/100ul/200ul
| 规格: | 50ul | 产品价格: | ¥1180.0 |
|---|---|---|---|
| 规格: | 100ul | 产品价格: | ¥1980.0 |
| 规格: | 200ul | 产品价格: | ¥2800.0 |
| 产品编号 | bs-0822R |
| 英文名称 | TARDBP Rabbit pAb |
| 中文名称 | Tar DNA 结合蛋白43/TDP-43抗体 |
| 英文别名 | TAR DNA-binding protein 43; TAR DNA binding protein 43; ALS10; OTTHUMP00000002171; TAR DNA binding protein 43; TAR DNA binding protein; TDP 43; TDP-43; TDP43; tar DNA binding protein; ALS10; TADBP_HUMAN. |
| 产品应用 | IHC-P=1:100-500, IHC-F=1:100-500, IF=1:100-500 Not yet tested in other applications. |
| 交叉反应 | Rat (Human, Mouse, Chicken, Cow, Rabbit) |
| 抗体来源 | Rabbit |
| 免疫原 | KLH conjugated synthetic peptide derived from human TDP-43 |
| 亚型 | IgG |
| 性状 | Liquid |
| 纯化方法 | affinity purified by Protein A |
| 克隆类型 | Polyclonal |
| 理论分子量 | 45 kDa |
| 浓度 | 1mg/ml |
| 储存液 | 0.01M TBS (pH7.4) with 1% BSA, 0.02% Proclin300 and 50% Glycerol. |
| 研究领域 | Epigenetics and Nuclear Signaling > DNA / RNA > RNA Processing > Splicing Epigenetics and Nuclear Signaling > Transcription > Other factors Microbiology > Organism > Virus > RNA Virus > ssRNA positive strand virus > HIV Neuroscience > Neurology process > Neurodegenerative disease Neuroscience > Neurology process > Neurodegenerative disease > Amyotrophic lateral sclerosis |
| 亚细胞定位 | Nucleus. In patients with frontotemporal lobar degeneration and amyotrophic lateral sclerosis, it is absent from the nucleus of affected neurons but it is the primary component of cytoplasmic ubiquitin-positive inclusion bodies. |
| 组织特异性 | Ubiquitously expressed. In particular, expression is high in pancreas, placenta, lung, genital tract and spleen. |
| 翻译后修饰 | Hyperphosphorylated in hippocampus, neocortex, and spinal cord from individuals affected with ALS and FTLDU. Ubiquitinated in hippocampus, neocortex, and spinal cord from individuals affected with ALS and FTLDU. Cleaved to generate C-terminal fragments in hippocampus, neocortex, and spinal cord from individuals affected with ALS and FTLDU. |
| 相似性 | Contains 2 RRM (RNA recognition motif) domains. |
| 功能 | DNA and RNA-binding protein which regulates transcription and splicing. Involved in the regulation of CFTR splicing. It promotes CFTR exon 9 skipping by binding to the UG repeated motifs in the polymorphic region near the 3'-splice site of this exon. The resulting aberrant splicing is associated with pathological features typical of cystic fibrosis. May also be involved in microRNA biogenesis, apoptosis and cell division. Can repress HIV-1 transcription by binding to the HIV-1 long terminal repeat. Stabilizes the low molecular weight neurofilament (NFL) mRNA through a direct interaction with the 3' UTR. |
| 保存条件 | Shipped at 4℃. Store at -20℃ for one year. Avoid repeated freeze/thaw cycles. |
| 注意事项 | This product as supplied is intended for research use only, not for use in human, therapeutic or diagnostic applications. |
| 背景资料 | HIV-1, the causative agent of acquired immunodeficiency syndrome (AIDS), contains an RNA genome that produces a chromosomally integrated DNA during the replicative cycle. Activation of HIV-1 gene expression by the transactivator Tat is dependent on an RNA regulatory element (TAR) located downstream of the transcription initiation site. The protein encoded by this gene is a transcriptional repressor that binds to chromosomally integrated TAR DNA and represses HIV-1 transcription. In addition, this protein regulates alternate splicing of the CFTR gene. A similar pseudogene is present on chromosome 20. [provided by RefSeq, Jul 2008] |
| 应用 | 推荐稀释比例 |
| {IHC-P} | {1:100-500} |
| {IHC-F} | {1:100-500} |
| {IF} | {1:100-500} |

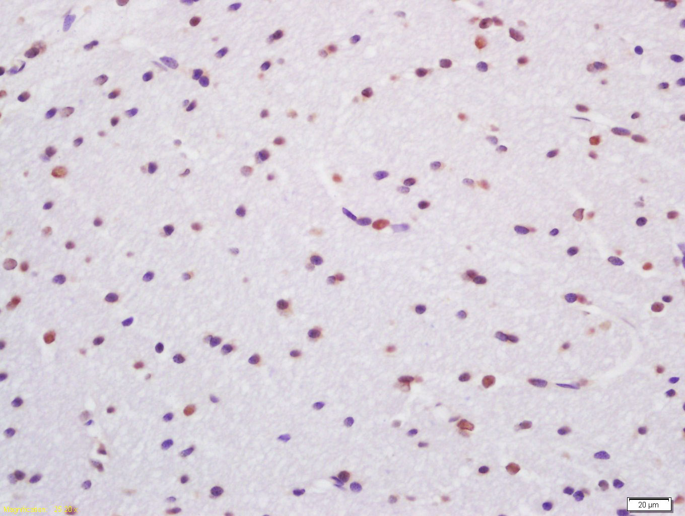
Antigen retrieval: citrate buffer ( 0.01M, pH 6.0 ), Boiling bathing for 15min; Block endogenous peroxidase by 3% Hydrogen peroxide for 30min; Blocking buffer (normal goat serum,C-0005) at 37℃ for 20 min;
Incubation: Anti-TARDBP Polyclonal Antibody, Unconjugated(bs-0822R) 1:200, overnight at 4°C, followed by conjugation to the secondary antibody(SP-0023) and DAB(C-0010) staining
风险提示:丁香通仅作为第三方平台,为商家信息发布提供平台空间。用户咨询产品时请注意保护个人信息及财产安全,合理判断,谨慎选购商品,商家和用户对交易行为负责。对于医疗器械类产品,请先查证核实企业经营资质和医疗器械产品注册证情况。
- 作者
- 内容
- 询问日期
文献和实验[IF={{ 5 }}] {Jian Yang. et al. A Transcription Factor ZNF384, Regulated by LINC00265, Activates the Expression of IFI30 to Stimulate Malignant Progression in Glioma. ACS CHEM NEUROSCI. 2023;XXXX(XXX):XXX-XXX} {WB} {Human}
= NAL), appears to form upon oxidative cyclization of the nonfluorescent 2:1 lysine-HNE Michael adduct-Schiff base cross-link (Scheme 1). Polyclonal antibody (PAb) to the NAL-HNE fluorophore was raised in rabbit and found to be highly specific
GE Healthcare Benzamidine Sepharose™ 6B is p-aminobenzamidine covalently attached to Sepharose 6B by the epoxy coupling method. p-Aminobenzamidine (PAB), is a synthetic inhibitor of trypsin-like serine protease. Trypsin and trypsin
Nucleic Acid Programmable Protein Arrays: Versatile Tools for Array‐Based Functional Protein Studies
.g., Sigma) 50 mg/ml bis‐sulfosuccinimdylsuberate (BS3 ;Pierce, cat. no. PI 21580) in dimethylsulfoxide (DMSO) 5 mg/ml
技术资料暂无技术资料 索取技术资料






