相关产品推荐更多 >

FARP1 Rabbit pAb, RBITC conjugated(bs-13144R-RBITC)-100ul
¥2980
p75 NGF Receptor Rabbit pAb, PerCP-Cy7 conjugated(bs-7122R-PerCP-Cy7)-100ul
¥2980
CYGB Rabbit pAb, Biotin conjugated(bs-0590R-Bio)-100ul
¥2980
GOLGA6L4 Rabbit pAb(bs-13483R)-50ul/100ul/200ul
¥1180
Nance-Horan Syndrome Protein Rabbit pAb(bs-19007R)-50ul/100ul/200ul
¥1180
万千商家帮你免费找货
0 人在求购买到急需产品
- 详细信息
- 文献和实验
- 技术资料
- 应用范围:
产品信息以Bioss网站为准
- 规格:
50ul/100ul/200ul
| 规格: | 50ul | 产品价格: | ¥1180.0 |
|---|---|---|---|
| 规格: | 100ul | 产品价格: | ¥1980.0 |
| 规格: | 200ul | 产品价格: | ¥2800.0 |
| 产品编号 | bs-1367R |
| 英文名称 | VHL Rabbit pAb |
| 中文名称 | VHL抗体 |
| 英文别名 | VHL_HUMAN; von Hippel-Lindau disease tumor suppressor; Protein G7; pVHL; RCA1; VHL1; HRCA1; |
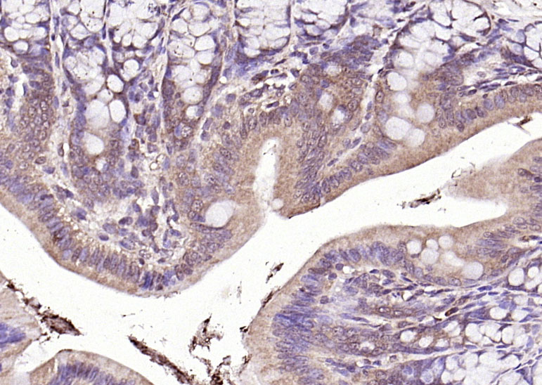
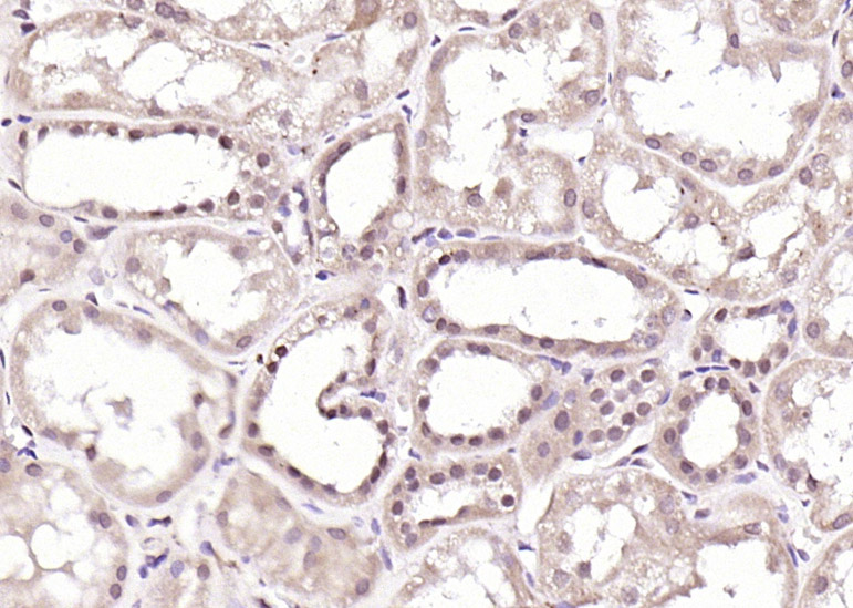
| 产品应用 | IHC-P=1:100-500, IHC-F=1:100-500, IF=1:100-500, Flow-Cyt=1ug/test Not yet tested in other applications. |
| 交叉反应 | Human, Rat (Mouse, Dog, Cow) |
| 抗体来源 | Rabbit |
| 免疫原 | KLH conjugated synthetic peptide derived from human VHL |
| 亚型 | IgG |
| 性状 | Liquid |
| 纯化方法 | affinity purified by Protein A |
| 克隆类型 | Polyclonal |
| 理论分子量 | 24 kDa |
| 浓度 | 1mg/ml |
| 储存液 | 0.01M TBS (pH7.4) with 1% BSA, 0.02% Proclin300 and 50% Glycerol. |
| 研究领域 | Cancer > Cancer Metabolism > Response to hypoxia Cancer > Cell cycle > Cell differentiation Cancer > Oncoproteins/suppressors > Tumor suppressors Cell Biology > Cell Cycle > Cell Cycle Inhibitors Cell Biology > Cell Cycle > Cell differentiation Cell Biology > Proteolysis / Ubiquitin > Proteasome / Ubiquitin > Proteasome Cell Biology > Proteolysis / Ubiquitin > Proteasome / Ubiquitin > Ubiquitin Epigenetics and Nuclear Signaling > Transcription > Co-factors Epigenetics and Nuclear Signaling > Transcription > Polymerase associated factors > Pol II Transcription Metabolism > Pathways and Processes > Cofactors, Vitamins / minerals > Co-factors Metabolism > Pathways and Processes > Metabolism processes > Hypoxia |
| 亚基 | Component of the VCB (VHL-Elongin BC-CUL2) complex; this complex acts as a ubiquitin-ligase E3 and directs proteasome-dependent degradation of targeted proteins. Interacts with CUL2; this interaction is dependent on the integrity of the trimeric VBC complex. Interacts (via the beta domain) with HIF1A (via the NTAD domain); this interaction mediates degradation of HIF1A in normoxia and, in hypoxia, prevents ubiqitination and degradation of HIF1A by mediating hypoxia-induced translocation to the nucleus, a process which requires a hypoxia-dependent regulatory signal. Interacts with ADRB2; the interaction, in normoxia, is dependent on hydroxylation of ADRB2 and the subsequent VCB-mediated ubiquitination and degradation of ADRB2. Under hypoxia, hydroxylation, interaction with VHL, ubiquitination and subsequent degradation of ADRB2 are dramatically decreased. Interacts with RNF139, USP33 and PHF17. Found in a complex composed of LIMD1, VHL, EGLN1/PHD2, TCEB2 AND CUL2. Isoform 1 and isoform 3 interact with LIMD1 (via LIM zinc-binding 2), AJUBA (via LIM domains) and WTIP (via LIM domains). Interacts with EPAS1 |
| 亚细胞定位 | Isoform 1: Cytoplasm. Membrane; Peripheral membrane protein. Nucleus. Note=Found predominantly in the cytoplasm and with less amounts nuclear or membrane-associated. Colocalizes with ADRB2 at the cell membrane.
Isoform 3: Cytoplasm. Nucleus. Note=Equally distributed between the nucleus and the cytoplasm but not membrane-associated. |
| 组织特异性 | Expressed in the adult and fetal brain and kidney |
| 功能 | Involved in the ubiquitination and subsequent proteasomal degradation via the von Hippel-Lindau ubiquitination complex. Seems to act as target recruitment subunit in the E3 ubiquitin ligase complex and recruits hydroxylated hypoxia-inducible factor (HIF) under normoxic conditions. Involved in transcriptional repression through interaction with HIF1A, HIF1AN and histone deacetylases. Ubiquitinates, in an oxygen-responsive manner, ADRB2. |
| 保存条件 | Shipped at 4℃. Store at -20℃ for one year. Avoid repeated freeze/thaw cycles. |
| 注意事项 | This product as supplied is intended for research use only, not for use in human, therapeutic or diagnostic applications. |
| 背景资料 | This gene encodes a component of a ubiquitination complex. The encoded protein is involved in the ubiquitination and degradation of hypoxia-inducible-factor (HIF), which is a transcription factor that plays a central role in the regulation of gene expression by oxygen. In addition to oxygen-related gene expression, this protein plays a role in many other cellular processes including cilia formation, cytokine signaling, regulation of senescence, and formation of the extracellular matrix. Variants of this gene are associated with von Hippel-Lindau syndrome, pheochromocytoma, erythrocytosis, renal cell carcinoma, and cerebellar hemangioblastoma. [provided by RefSeq, Jun 2022] |
| 应用 | 推荐稀释比例 |
| {IHC-P} | {1:100-500} |
| {IHC-F} | {1:100-500} |
| {IF} | {1:100-500} |
| {Flow-Cyt} | {1ug/test} |



Primary Antibody (green line): Rabbit Anti-VHL antibody (bs-1367R)
Dilution: 1μg /10^6 cells;
Isotype Control Antibody (orange line): Rabbit IgG .
Secondary Antibody : Goat anti-rabbit IgG-AF647
Dilution: 1μg /test.
Protocol
The cells were fixed with 4% PFA (10min at room temperature)and then permeabilized with 90% ice-cold methanol for 20 min at-20℃. The cells were then incubated in 5%BSA to block non-specific protein-protein interactions for 30 min at at room temperature .Cells stained with Primary Antibody for 30 min at room temperature. The secondary antibody used for 40 min at room temperature. Acquisition of 20,000 events was performed.
风险提示:丁香通仅作为第三方平台,为商家信息发布提供平台空间。用户咨询产品时请注意保护个人信息及财产安全,合理判断,谨慎选购商品,商家和用户对交易行为负责。对于医疗器械类产品,请先查证核实企业经营资质和医疗器械产品注册证情况。
文献和实验= NAL), appears to form upon oxidative cyclization of the nonfluorescent 2:1 lysine-HNE Michael adduct-Schiff base cross-link (Scheme 1). Polyclonal antibody (PAb) to the NAL-HNE fluorophore was raised in rabbit and found to be highly specific
GE Healthcare Benzamidine Sepharose™ 6B is p-aminobenzamidine covalently attached to Sepharose 6B by the epoxy coupling method. p-Aminobenzamidine (PAB), is a synthetic inhibitor of trypsin-like serine protease. Trypsin and trypsin
Studies of the Ubiquitin Proteasome System
Assays of E1 and E2 Activity Basic Protocol 1: Thiolester Formation Between Rabbit E1 and Ubiquitin Basic Protocol 2: Thiolester Formation Between E2 and Ubiquitin Binding of Ubiquitin‐Proteasome Proteins Basic Protocol 3: Binding of E2s to E3s Alternate
技术资料暂无技术资料 索取技术资料





