相关产品推荐更多 >
万千商家帮你免费找货
0 人在求购买到急需产品
- 详细信息
- 文献和实验
- 技术资料
- 应用范围:
产品信息以Bioss网站为准
- 规格:
50ul/100ul/200ul
| 规格: | 50ul | 产品价格: | ¥1180.0 |
|---|---|---|---|
| 规格: | 100ul | 产品价格: | ¥1980.0 |
| 规格: | 200ul | 产品价格: | ¥2800.0 |
| 产品编号 | bs-1328R |
| 英文名称 | MT2A Rabbit pAb |
| 中文名称 | 金属硫蛋白抗体 |
| 英文别名 | MT2_HUMAN; Metallothionein-2; CES1; MT2; MT-2; Metallothionein-2A; Metallothionein-II(MT-II); |
| 产品应用 | IHC-P=1:100-500, IHC-F=1:100-500, IF=1:100-500, Flow-Cyt=1ug/Test Not yet tested in other applications. |
| 交叉反应 | Human, Mouse (Rat) |
| 抗体来源 | Rabbit |
| 免疫原 | KLH conjugated synthetic peptide derived from mouse MT2A |
| 亚型 | IgG |
| 性状 | Liquid |
| 纯化方法 | affinity purified by Protein A |
| 克隆类型 | Polyclonal |
| 理论分子量 | 6 kDa |
| 浓度 | 1mg/ml |
| 储存液 | 0.01M TBS (pH7.4) with 1% BSA, 0.02% Proclin300 and 50% Glycerol. |
| 相似性 | Belongs to the metallothionein superfamily. Type 1 family. |
| 功能 | Metallothioneins have a high content of cysteine residues that bind various heavy metals; these proteins are transcriptionally regulated by both heavy metals and glucocorticoids. |
| 保存条件 | Shipped at 4℃. Store at -20℃ for one year. Avoid repeated freeze/thaw cycles. |
| 注意事项 | This product as supplied is intended for research use only, not for use in human, therapeutic or diagnostic applications. |
| 背景资料 | Metallothioneins (MTs) are a family of low molecular weight, heavy metal-binding proteins characterized by a high cysteine content and lack of aromatic amino acids. MTs bind 7 to 12 heavy metal atoms per molecule of protein. They are ubiquitous in the animal and plant kingdoms and are also found in prokaryotes. In mammals, the cysteine residues are absolutely conserved and serve to coordinate heavy metal atoms such as zinc, cadmium, and copper via mercaptide linkages. |
| 应用 | 推荐稀释比例 |
| {IHC-P} | {1:100-500} |
| {IHC-F} | {1:100-500} |
| {IF} | {1:100-500} |
| {Flow-Cyt} | {1ug/Test} |

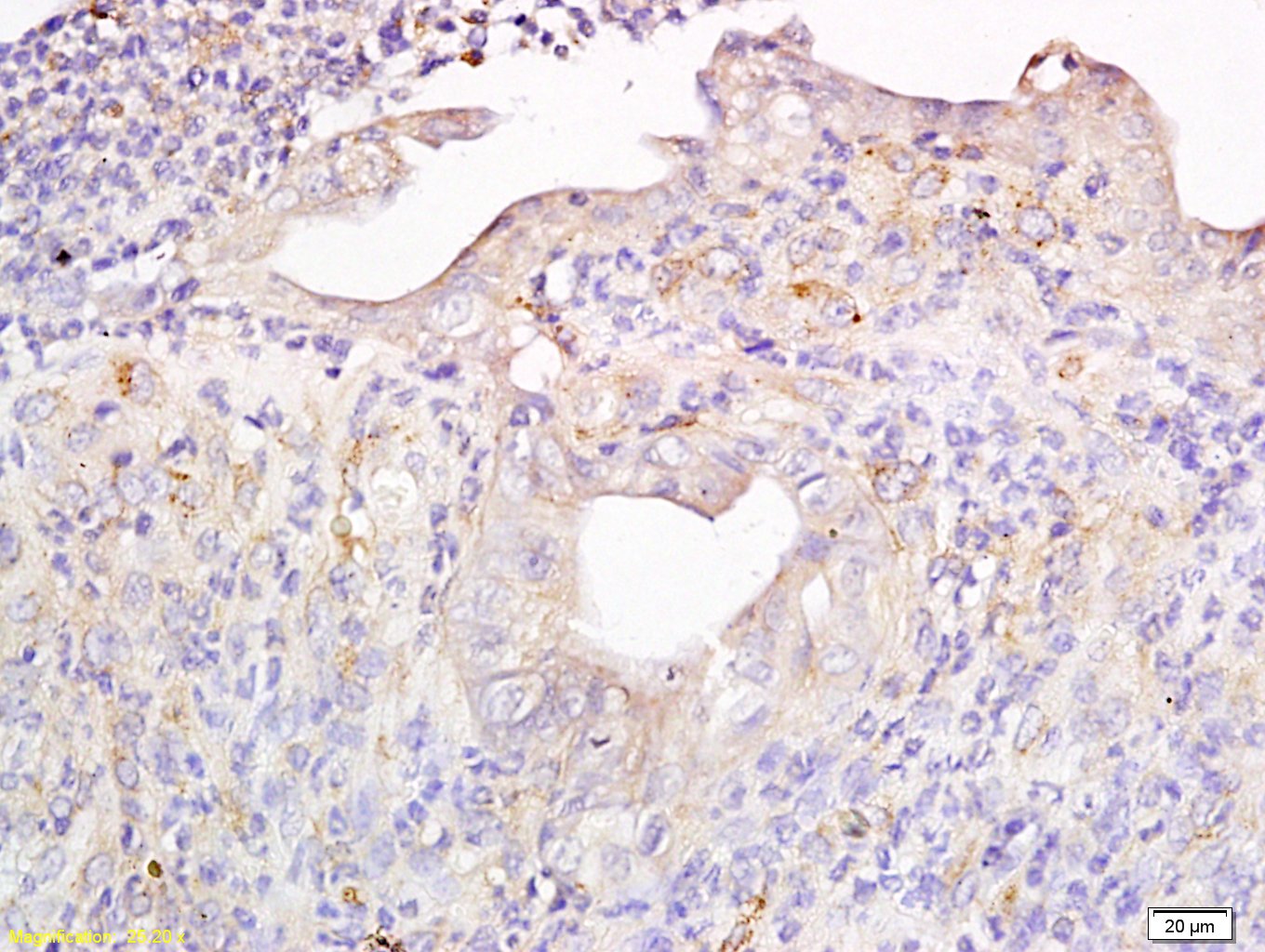
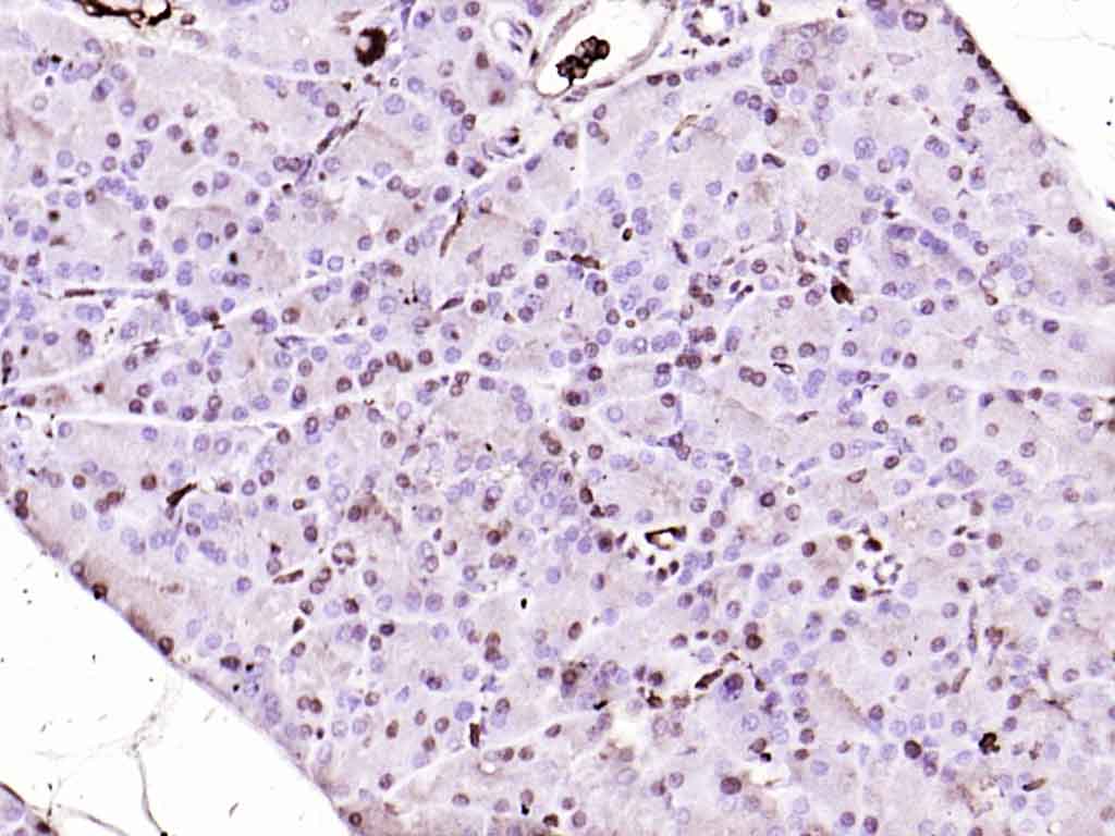
Antigen retrieval: citrate buffer ( 0.01M, pH 6.0 ), Boiling bathing for 15min; Block endogenous peroxidase by 3% Hydrogen peroxide for 30min; Blocking buffer (normal goat serum,C-0005) at 37℃ for 20 min;
Incubation: Anti-Metallothionein Polyclonal Antibody, Unconjugated(bs-1328R) 1:200, overnight at 4°C, followed by conjugation to the secondary antibody(SP-0023) and DAB(C-0010) staining


Primary Antibody (green line): Rabbit Anti-Metallothionein antibody (bs-1328R)
Dilution: 1ug/Test;
Secondary Antibody : Goat anti-rabbit IgG-FITC
Dilution: 0.5ug/Test.
Protocol
The cells were fixed with 4% PFA (10min at room temperature)and then permeabilized with 0.1% PBST for 20 min at room temperature.The cells were then incubated in 5%BSA to block non-specific protein-protein interactions for 30 min at room temperature .Cells stained with Primary Antibody for 30 min at room temperature. The secondary antibody used for 40 min at room temperature. Acquisition of 20,000 events was performed.
风险提示:丁香通仅作为第三方平台,为商家信息发布提供平台空间。用户咨询产品时请注意保护个人信息及财产安全,合理判断,谨慎选购商品,商家和用户对交易行为负责。对于医疗器械类产品,请先查证核实企业经营资质和医疗器械产品注册证情况。
文献和实验[IF={{ 7.7 }}] {Zhen Tang. et al.Integrated analysis of multiple programmed cell death-related prognostic genes and functional validation of apoptosis-related genes in osteosarcoma..International Journal of Biological Macromolecules.2025 Mar 13;307(Pt 3):142113.} {Western blot,Co-ip} {Human}
[IF={{ 7.33 }}] {Na et al. Novel roles of DC-SIGNR in colon cancer cell adhesion, migration, invasion, and liver metastasis. (2017) J.Hematol.Oncol. 10:28} {WB} {Mouse}
[IF={{ 4.3 }}] {Wang Chenggang. et al. Compensatory upregulation of MT2A alleviates neurogenic intermittent claudication through inhibiting activated p38 MAPK-mediated neuronal apoptosis. HUM CELL. 2024 Mar;:1-14} {IF} {Rat}
[IF={{ 3.2 }}] {Jingjing Wang. et al. Melatonin ameliorates RF-EMR-induced reproductive damage by inhibiting ferroptosis through Nrf2 pathway activation. PATHOL RES PRACT. 2025 Jun;270:156003} {IF} {Mouse}
[IF={{ 2.2 }}] {Dianshan Ke. et al. RANKL promotes MT2 degradation and ROS production in osteoclast precursors through Beclin1-dependent autophagy. DIFFERENTIATION. 2025 May;143:100863} {WB} {Mouse}
= NAL), appears to form upon oxidative cyclization of the nonfluorescent 2:1 lysine-HNE Michael adduct-Schiff base cross-link (Scheme 1). Polyclonal antibody (PAb) to the NAL-HNE fluorophore was raised in rabbit and found to be highly specific
GE Healthcare Benzamidine Sepharose™ 6B is p-aminobenzamidine covalently attached to Sepharose 6B by the epoxy coupling method. p-Aminobenzamidine (PAB), is a synthetic inhibitor of trypsin-like serine protease. Trypsin and trypsin
GE Healthcare Benzamidine Sepharose™ 6B is p-aminobenzamidine covalently attached to Sepharose 6B by the epoxy coupling method. p-Aminobenzamidine (PAB), is a synthetic inhibitor of trypsin-like serine protease. Trypsin and trypsin
技术资料暂无技术资料 索取技术资料








