Tissue/cell: rat uterus tissue;4% Paraformaldehyde-fixed and paraffin-embedded;
Antigen retrieval: citrate buffer ( 0.01M, pH 6.0 ), Boiling bathing for 15min; Blocking buffer (normal goat serum,C-0005) at 37℃ for 20 min;
Incubation: Anti-ETL Polyclonal Antibody, Unconjugated(bs-13111R) 1:200, overnight at 4°C; The secondary antibody was Goat Anti-Rabbit IgG, Cy3 conjugated(bs-0295G-Cy3)used at 1:200 dilution for 40 minutes at 37°C. DAPI(5ug/ml,blue,C-0033) was used to stain the cell nuclei
相关产品推荐更多 >

PLAG1 Rabbit pAb, Biotin conjugated(bs-10092R-Bio)-100ul
¥2980
SSTR3 Rabbit pAb, HRP conjugated(bs-1368R-HRP)-100ul
¥2980
Anti-CD20 & CD47 Reference Antibody (Amulirafusp alfa Biosimilar)(BIO1012SM)-100ug/1mg/5mg
¥3240
calcium-activated chloride channel CLCA4 Rabbit pAb, Biotin conjugated(bs-1585R-Bio)-100ul
¥2980
IL12A Rabbit pAb, BF647 conjugated(bs-0767R-BF647)-100ul
¥2980
万千商家帮你免费找货
0 人在求购买到急需产品
- 详细信息
- 文献和实验
- 技术资料
- 应用范围:
产品信息以Bioss网站为准
- 规格:
50ul/100ul/200ul
| 规格: | 50ul | 产品价格: | ¥1180.0 |
|---|---|---|---|
| 规格: | 100ul | 产品价格: | ¥1980.0 |
| 规格: | 200ul | 产品价格: | ¥2800.0 |
| 产品编号 | bs-13111R |
| 英文名称 | ADGRL4 Rabbit pAb |
| 中文名称 | EGF毒素受体7跨膜结构域蛋白1抗体 |
| 英文别名 | EGF; EGF latrophilin and seven transmembrane domain containing 1; EGF TM7 latrophilin related protein; EGF-TM7-latrophilin-related protein; EGFTM7 latrophilin related protein; ELTD 1; ELTD1; ELTD1_HUMAN; ETL; ETL protein; KPG_003; latrophilin and seven transmembrane domain-containing protein 1; zgc:63629. |
| 产品应用 | IHC-P=1:100-500, IHC-F=1:100-500, IF=1:100-500 Not yet tested in other applications. |
| 交叉反应 | Rat (Human, Mouse, Horse) |
| 抗体来源 | Rabbit |
| 免疫原 | KLH conjugated synthetic peptide derived from human ADGRL4 |
| 亚型 | IgG |
| 性状 | Liquid |
| 纯化方法 | affinity purified by Protein A |
| 克隆类型 | Polyclonal |
| 理论分子量 | 76 kDa |
| 浓度 | 1mg/ml |
| 储存液 | 0.01M TBS (pH7.4) with 1% BSA, 0.02% Proclin300 and 50% Glycerol. |
| 研究领域 | Signal Transduction > Signaling Pathway > G Protein Signaling > GPCR |
| 亚基 | Forms a heterodimer, consisting of a large extracellular region (alpha subunit) non-covalently linked to a seven-transmembrane moiety (beta subunit). Forms stable dimer at the cells surface (By similarity). |
| 亚细胞定位 | Cell membrane. |
| 组织特异性 | Mainly expressed in smooth muscle. |
| 翻译后修饰 | Proteolytically cleaved into 2 subunits, an extracellular alpha subunit and a seven-transmembrane subunit. |
| 相似性 | Belongs to the G-protein coupled receptor 2 family. LN-TM7 subfamily. Contains 2 EGF-like domains. Contains 1 GPS domain. |
| 功能 | Could be involved in cardiac development. |
| 保存条件 | Shipped at 4℃. Store at -20℃ for one year. Avoid repeated freeze/thaw cycles. |
| 注意事项 | This product as supplied is intended for research use only, not for use in human, therapeutic or diagnostic applications. |
| 背景资料 | The epidermal growth factor (EGF)-TM7 family constitutes a group of leukocyte-restricted, class B G-protein coupled receptors (GPCRs). These include CD97, EMR1(EGF-like molecule containing mucin-like hormone receptor 1, designated F4/80 in mouse), EMR2, EMR3, FIRE, and ETL. These family members are characterized by an extended extracellular region with several N-terminal EGF domains and are predominantly expressed on cells of the immune system. Unlike other GPCRs, neither EMR2 nor EMR3 have mouse orthologs. The molecular twins CD97 and EMR2 only differ by 6 out of 236 amino acids, but this slight difference is enough to alter ligand specificity and confer nonredundant functions. EMR3 may function in myeloid-myeloid interactions during immune and inflammatory responses. ETL is a 738 amino acid protein composed of a large extracellular domain with EGF-like repeats, a seven-transmembrane domain, and a short cytoplasmic tail. ETL mRNA expression is up-regulated in the adult rat and human heart. |
| 应用 | 推荐稀释比例 |
| {IHC-P} | {1:100-500} |
| {IHC-F} | {1:100-500} |
| {IF} | {1:100-500} |


Tissue/cell: rat uterus tissue;4% Paraformaldehyde-fixed and paraffin-embedded;
Antigen retrieval: citrate buffer ( 0.01M, pH 6.0 ), Boiling bathing for 15min; Blocking buffer (normal goat serum,C-0005) at 37℃ for 20 min;
Incubation: Anti-ETL Polyclonal Antibody, Unconjugated(bs-13111R) 1:200, overnight at 4°C; The secondary antibody was Goat Anti-Rabbit IgG, Cy3 conjugated(bs-0295G-FITC)used at 1:200 dilution for 40 minutes at 37°C. DAPI(5ug/ml,blue,C-0033) was used to stain the cell nuclei
Antigen retrieval: citrate buffer ( 0.01M, pH 6.0 ), Boiling bathing for 15min; Blocking buffer (normal goat serum,C-0005) at 37℃ for 20 min;
Incubation: Anti-ETL Polyclonal Antibody, Unconjugated(bs-13111R) 1:200, overnight at 4°C; The secondary antibody was Goat Anti-Rabbit IgG, Cy3 conjugated(bs-0295G-FITC)used at 1:200 dilution for 40 minutes at 37°C. DAPI(5ug/ml,blue,C-0033) was used to stain the cell nuclei

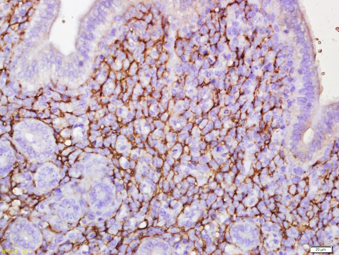
Tissue/cell: rat uterus tissue ; 4% Paraformaldehyde-fixed and paraffin-embedded;
Antigen retrieval: citrate buffer ( 0.01M, pH 6.0 ), Boiling bathing for 15min; Block endogenous peroxidase by 3% Hydrogen peroxide for 30min; Blocking buffer (normal goat serum,C-0005) at 37℃ for 20 min;
Incubation: Anti-ETL Polyclonal Antibody, Unconjugated(bs-13111R) 1:500, overnight at 4°C, followed by conjugation to the secondary antibody(SP-0023) and DAB(C-0010) staining
Antigen retrieval: citrate buffer ( 0.01M, pH 6.0 ), Boiling bathing for 15min; Block endogenous peroxidase by 3% Hydrogen peroxide for 30min; Blocking buffer (normal goat serum,C-0005) at 37℃ for 20 min;
Incubation: Anti-ETL Polyclonal Antibody, Unconjugated(bs-13111R) 1:500, overnight at 4°C, followed by conjugation to the secondary antibody(SP-0023) and DAB(C-0010) staining
风险提示:丁香通仅作为第三方平台,为商家信息发布提供平台空间。用户咨询产品时请注意保护个人信息及财产安全,合理判断,谨慎选购商品,商家和用户对交易行为负责。对于医疗器械类产品,请先查证核实企业经营资质和医疗器械产品注册证情况。
文献和实验该产品被引用文献
[IF={{ 4.658 }}] {Zalles M et al. Optimized monoclonal antibody treatment against ELTD1 for GBM in a G55 xenograft mouse model. J Cell Mol Med. 2019 Dec 21.} {Other} {Mouse}
技术资料暂无技术资料 索取技术资料
文献支持
ADGRL4 Rabbit pAb(bs-13111R)-50ul/100ul/200ul
¥1180 - 2800





