相关产品推荐更多 >

GAD65 Rabbit pAb, Cy5 conjugated(bs-0400R-Cy5)-100ul
¥2980
phospho-E2F1 (Ser364) Rabbit pAb(bs-4076R)-50ul/100ul/200ul
¥1180
phospho-eIF4E (Ser209) Rabbit pAb(bs-2446R)-50ul/100ul/200ul
¥1180
TTR/Prealbumin Mouse mAb(bsm-33369M)-50ul/100ul/200ul/200ug
¥1180
ATG1/ULK1 Rabbit pAb, Biotin conjugated(bs-3602R-Bio)-100ul
¥2980
万千商家帮你免费找货
0 人在求购买到急需产品
- 详细信息
- 文献和实验
- 技术资料
- 应用范围:
产品信息以Bioss网站为准
- 规格:
50ul/100ul/200ul
| 规格: | 50ul | 产品价格: | ¥1180.0 |
|---|---|---|---|
| 规格: | 100ul | 产品价格: | ¥1980.0 |
| 规格: | 200ul | 产品价格: | ¥2800.0 |
| 产品编号 | bs-5526R |
| 英文名称 | phospho-TrkB (Tyr705) Rabbit pAb |
| 中文名称 | 磷酸化酪氨酸激酶B抗体 |
| 英文别名 | TrkB(phospho Y705); p-TrkB(phospho Y705); TrkB(phospho-Tyr705); phospho-NTRK2(Tyr705); NTRK2(phospho Y705); Trk B(phospho Tyr706)(human); TrkB; Tyrosine Receptor Kinase B; Tyrosine kinase, Pyk2; BDNF tropomyosine receptor kinase B; BDNF/NT 3 growth factors receptor; BDNF/NT-3 growth factors receptor; Brain derived neurotrophic factor receptor; GP145 TrkB; GP145-TrkB; GP145-TrkB/GP95-TrkB; GP95 TrkB; Neurotrophic tyrosine kinase receptor type 2; Neurotrophin receptor tyrosine kinase type 2; NTRK 2; Ntrk2; NTRK2_HUMAN; Obesity, hyperphagia, and developmental delay, included; RATTRKB1; Tkrb; Trk B; Trk-B; TRKB; TrkB tyrosine kinase; TRKB1; tyrosine kinase receptor B; Tyrosine receptor kinase B. |
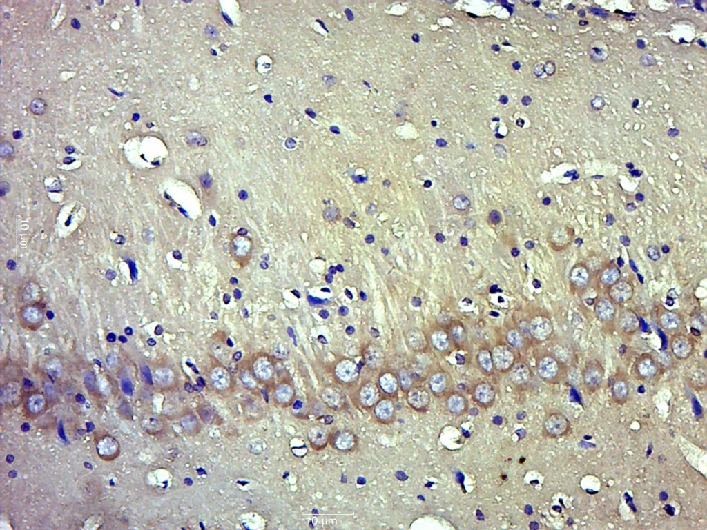
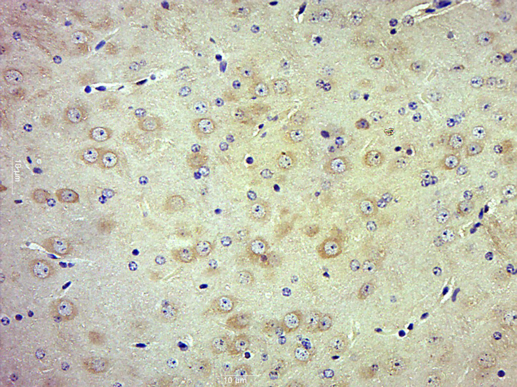
| 产品应用 | IHC-P=1:100-500, IHC-F=1:100-500, ICC/IF=1:100-500, IF=1:100-500 Not yet tested in other applications. |
| 交叉反应 | Human, Mouse, Rat (Chicken, Dog, Pig, Cow, Horse, Rabbit) |
| 抗体来源 | Rabbit |
| 免疫原 | KLH conjugated Synthesised phosphopeptide derived from rat NTRK2 around the phosphorylation site of Tyr705 |
| 亚型 | IgG |
| 性状 | Liquid |
| 纯化方法 | affinity purified by Protein A |
| 克隆类型 | Polyclonal |
| 理论分子量 | 92 kDa |
| 浓度 | 1mg/ml |
| 储存液 | 0.01M TBS (pH7.4) with 1% BSA, 0.02% Proclin300 and 50% Glycerol. |
| 研究领域 | Cancer > Oncoproteins/suppressors > Oncoproteins > Growth factor receptors Metabolism > Pathways and Processes > Metabolism processes > Cellular metabolism Neuroscience > Neurology process > Growth and Development > Neurotrophins |
| 亚基 | Exists in a dynamic equilibrium between monomeric (low affinity) and dimeric (high affinity) structures. Interacts (phosphorylated upon activation by BDNF) with SHC1; mediates SHC1 phosphorylation and activation. Interacts (phosphorylated upon activation by BDNF) with PLCG1 and/or PLCG2; mediates PLCG1 phosphorylation and activation. Interacts with SH2B1 and SH2B2. Interacts with NGFR; may regulate the ligand specificity of the receptor. Interacts (phosphorylated upon ligand-binding) with SH2D1A; regulates NTRK2. Interacts with SQSTM1 and KIDINS220. Interacts (phosphorylated upon ligand-binding) with FRS2; activates the MAPK signaling pathway. |
| 亚细胞定位 | Isoform TrkB is expressed in the central and peripheral nervous system. In the central nervous system (CNS), expression is observed in the cerebral cortex, hippocampus, thalamus, choroid plexus, granular layer of the cerebellum, brain stem, and spinal cord. In the peripheral nervous system, it is expressed in many cranial ganglia, the ophtalmic nerve, the vestibular system, multiple facial structures, the submaxillary glands, and dorsal root ganglia. Isoform TrkB-T1 is mainly expressed in the brain but also detected in other tissues including pancreas, kidney and heart. Isoform TrkB-T-Shc is predominantly expressed in the brain. |
| 组织特异性 | TrkB-T1 is mainly expressed in the brain but also detected in other tissues including pancreas, kidney and heart. Isoform TrkB-T-Shc is predominantly expressed in the brain. |
| 翻译后修饰 | Phosphorylated. Undergoes ligand-mediated autophosphorylation that is required for interaction with SHC1 and PLCG1 and other downstream effectors. Isoform TrkB-T-Shc is not phosphorylated.
Ubiquitinated. Undergoes polyubiquitination upon activation; regulated by NGFR. Ubiquitination regulates the internalization of the receptor. |
| 相似性 | Belongs to the protein kinase superfamily. Tyr protein kinase family. Insulin receptor subfamily.
Contains 2 Ig-like C2-type (immunoglobulin-like) domains. Contains 2 LRR (leucine-rich) repeats. Contains 1 LRRCT domain. Contains 1 LRRNT domain. Contains 1 protein kinase domain. |
| 功能 | Receptor tyrosine kinase involved in the development and the maturation of the central and the peripheral nervous systems through regulation of neuron survival, proliferation, migration, differentiation, and synapse formation and plasticity. Receptor for BDNF/brain-derived neurotrophic factor and NTF4/neurotrophin-4. Alternatively can also bind NTF3/neurotrophin-3 which is less efficient in activating the receptor but regulates neuron survival through NTRK2. Upon ligand-binding, undergoes homodimerization, autophosphorylation and activation. Recruits, phosphorylates and/or activates several downstream effectors including SHC1, FRS2, SH2B1, SH2B2 and PLCG1 that regulate distinct overlapping signaling cascades. Through SHC1, FRS2, SH2B1, SH2B2 activates the GRB2-Ras-MAPK cascade that regulates for instance neuronal differentiation including neurite outgrowth. Through the same effectors controls the Ras-PI3 kinase-AKT1 signaling cascade that mainly regulates growth and survival. Through PLCG1 and the downstream protein kinase C-regulated pathways controls synaptic plasticity. Thereby, plays a role in learning and memory by regulating both short term synaptic function and long-term potentiation. PLCG1 also leads to NF-Kappa-B activation and the transcription of genes involved in cell survival. Hence, it is able to suppress anoikis, the apoptosis resulting from loss of cell-matrix interactions. May also play a role in neutrophin-dependent calcium signaling in glial cells and mediate communication between neurons and glia. |
| 保存条件 | Shipped at 4℃. Store at -20℃ for one year. Avoid repeated freeze/thaw cycles. |
| 注意事项 | This product as supplied is intended for research use only, not for use in human, therapeutic or diagnostic applications. |
| 背景资料 | This gene encodes a member of the neurotrophic tyrosine receptor kinase (NTRK) family. This kinase is a membrane-bound receptor that, upon neurotrophin binding, phosphorylates itself and members of the MAPK pathway. Signalling through this kinase leads to cell differentiation. Mutations in this gene have been associated with obesity and mood disorders. Alternate transcriptional splice variants encoding different isoforms have been found for this gene. [provided by RefSeq, Jul 2008]. |
| 应用 | 推荐稀释比例 |
| {IHC-P} | {1:100-500} |
| {IHC-F} | {1:100-500} |
| {ICC/IF} | {1:100-500} |
| {IF} | {1:100-500} |



风险提示:丁香通仅作为第三方平台,为商家信息发布提供平台空间。用户咨询产品时请注意保护个人信息及财产安全,合理判断,谨慎选购商品,商家和用户对交易行为负责。对于医疗器械类产品,请先查证核实企业经营资质和医疗器械产品注册证情况。
文献和实验[IF={{ 4.872 }}] {Zixuan Li. et al. Perinatal exposure to BDE-47 exacerbated autistic-like behaviors and impairments of dendritic development in a valproic acid-induced rat model of autism. Ecotox Environ Safe. 2021 Apr;212:112000} {WB,IF} {Dog}
[IF={{ 4.427 }}] {You M et al. Perinatal exposure to nonylphenol impairs dendritic outgrowth of cerebellar Purkinje cells in progeny. Chemosphere. 2018 Nov;211:758-766. } {IF,WB} {pup}
[IF={{ 3.349 }}] {Liu C et al. Esculentoside A suppresses breast cancer stem cell growth through stemness attenuation and apoptosis induction by blocking IL-6/STAT3 signaling pathway. Phytotherapy Research.2018.} {WB} {Mouse&Human}
[IF={{ 2.6 }}] {Yanping Ding. et al. Astragaloside IV plays a neuroprotective role by promoting PPARγ in cerebral ischemia-reperfusion rats. BEHAV BRAIN RES. 2024 Sep;:115267} {WB} {Rat}
[IF={{ 14.5 }}] {Kaikai Zhang. et al. Gut microbiota-derived short-chain fatty acids ameliorate methamphetamine-induced depression- and anxiety-like behaviors in a Sigmar-1 receptor-dependent manner. ACTA PHARM SIN B. 2023 Sep;:} {IF} {Mouse}
。所以,我们建议使用微波炉或高压锅加热煮沸以达到最佳抗原修复效果。抗体:Phospho–Stat3 (Tyr705)(D3A7) XP. Rabbit mAb #9145样本:石蜡包埋人类肺部肿瘤样本煮沸设备:浴锅 (左),微波炉 (中),高压锅 (右)免疫染色—封闭在 IHC–P 中,我们建议在室温下在含有 Tween20 的 TBST 缓冲液和 5% 正常山羊血清 (NGS) 中封闭样品,时长 1 小时,以防止非特异性背景染色。在进行 IHC–F 时,在含有 0.3% Triton. X–100 的 1X
used in accordance withmanufacturer recommendationsSignalStain?DAB Substrate Kit #8059:IHC analysis of paraffin-embedded human breastcarcinoma using Phospho-Stat3 (Tyr705) (D3A7) XP? Rabbit mAb #9145. Chromogenicdetection was performed using #8059 (left
v468. chapter 4 WNT 细胞通路 检测细胞GSK3活性与表达水平
. Immunoblot using antibodies to phospho-Tyr279/216 can assess alterations in activity independent ofthe N-terminal phosphorylation, although phosphorylation atthis site is most likely to be constitutive (14) . 3. Immunoblot using antibodies to known
技术资料暂无技术资料 索取技术资料





