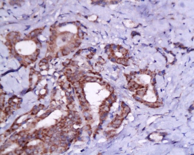
Tissue/cell: human thyroid carcinoma; 4% Paraformaldehyde-fixed and paraffin-embedded;
Antigen retrieval: citrate buffer ( 0.01M, pH 6.0 ), Boiling bathing for 15min; Block endogenous peroxidase by 3% Hydrogen peroxide for 30min; Blocking buffer (normal goat serum,C-0005) at 37℃ for 20 min;
Incubation: Anti-TSHR(CT) Polyclonal Antibody, Unconjugated(bs-0206R) 1:200, overnight at 4°C, followed by conjugation to the secondary antibody(SP-0023) and DAB(C-0010) staining
相关产品推荐更多 >

TGF beta 3 propeptide Rabbit pAb(bs-0099R)-50ul/100ul/200ul
¥1180
NSUN5 Rabbit pAb, Biotin conjugated(bs-19480R-Bio)-100ul
¥2980
Polycystin 1 Rabbit pAb, Cy5.5 conjugated(bs-2157R-Cy5.5)-100ul
¥2980
Ricin A chain Rabbit pAb, FITC conjugated(bs-7140R-FITC)-100ul
¥2980
phospho-p107 (Ser975) Rabbit pAb(bs-5696R)-50ul/100ul/200ul
¥1180
万千商家帮你免费找货
0 人在求购买到急需产品
- 详细信息
- 技术资料
- 应用范围:
产品信息以Bioss网站为准
- 规格:
50ul/100ul/200ul
| 规格: | 50ul | 产品价格: | ¥1180.0 |
|---|---|---|---|
| 规格: | 100ul | 产品价格: | ¥1980.0 |
| 规格: | 200ul | 产品价格: | ¥2800.0 |
| 产品编号 | bs-0206R |
| 英文名称 | TSHR (CT) Rabbit pAb |
| 中文名称 | 促甲状腺素受体抗体(C端) |
| 英文别名 | hTSHR I; hTSHRI; LGR 3; LGR3; MGC75129; Thyroid adenoma hyperfunctioning; Thyroid carcinoma with thyrotoxicosis; Thyroid Stimulating Hormone Receptor; Thyrotropin Receptor; Thyrotropin receptor I; TSH R; TSHR; Thyroid stimulating hormone receptor; TSHR_HUMAN. |
| 中文别名 | 促甲状腺激素受体 |
| 产品应用 | WB=1:500-2000, IHC-P=1:100-500, IHC-F=1:100-500, IF=1:100-500 Not yet tested in other applications. |
| 交叉反应 | Human (Rat, Chicken, Pig, Cow, Horse, Rabbit, GuineaPig) |
| 抗体来源 | Rabbit |
| 免疫原 | KLH conjugated synthetic peptide derived from human TSHR |
| 亚型 | IgG |
| 性状 | Liquid |
| 纯化方法 | affinity purified by Protein A |
| 克隆类型 | Polyclonal |
| 理论分子量 | 86 kDa |
| 浓度 | 1mg/ml |
| 储存液 | 0.01M TBS (pH7.4) with 1% BSA, 0.02% Proclin300 and 50% Glycerol. |
| 研究领域 | Neuroscience > Endocrine system > Thyroid axis Signal Transduction > Growth Factors/Hormones > Hormones |
| 亚基 | Interacts (via the PDZ-binding motif) with SCRIB; regulates TSHR trafficking and function. |
| 亚细胞定位 | Cell membrane; Multi-pass membrane protein. |
| 组织特异性 | Expressed in the thyroid. |
| 相似性 | Belongs to the G-protein coupled receptor 1 family. FSH/LSH/TSH subfamily.
Contains 7 LRR (leucine-rich) repeats. |
| 功能 | Receptor for thyrothropin. Plays a central role in controlling thyroid cell metabolism. The activity of this receptor is mediated by G proteins which activate adenylate cyclase. Also acts as a receptor for thyrostimulin (GPA2+GPB5). |
| 保存条件 | Shipped at 4℃. Store at -20℃ for one year. Avoid repeated freeze/thaw cycles. |
| 注意事项 | This product as supplied is intended for research use only, not for use in human, therapeutic or diagnostic applications. |
| 背景资料 | The glycoprotein hormone receptor family consists of the luteinizing hormone receptor, the follicle-stimulating hormone receptor, and the thyroid stimulating hormone(TSH) receptor. TSH, which is released from the pituitary gland, binds to the TSH receptor on thyroid cells to control size and function of the thyroid gland (De Felice et al. 2004). The TSH receptor signals through Gs to elevate intracellular cAMP in the thyroid gland, which regulates iodide uptake, and transcription of thyroglobulin (Tg), thyroid peroxidase (TPO), and sodium-iodide symporter. The TSH receptor also signals Gq and phospholipase C to regulat iodide efflux, H2O2 production, and thyroglobulin iodination. Autoimmunity to the TSH receptor causes hyperthyroidism (Graves disease) or hypothyroidism (Hashimoto thyroiditis) when the autoantibodies function as agonists or antagonists, respectively, at the TSH receptor (Rapoport and McLachlan, 2001; Davies et al., 2002). Millipore’s cloned human TSH receptor-expressing cell line is made in the Chem-10 host, which supports high levels of recombinant TSH receptor expression on the cell surface and contains high levels of the promiscuous G protein to couple the receptor to the calcium signaling pathway. Thus, the cell line is an ideal tool for screening for antagonists of interactions between TSH and its ligands. |
| 应用 | 推荐稀释比例 |
| {WB} | {1:500-2000} |
| {IHC-P} | {1:100-500} |
| {IHC-F} | {1:100-500} |
| {IF} | {1:100-500} |


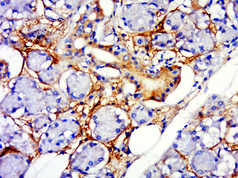
Paraformaldehyde-fixed, paraffin embedded (human parotid gland); Antigen retrieval by boiling in sodium citrate buffer (pH6.0) for 15min; Block endogenous peroxidase by 3% hydrogen peroxide for 20 minutes; Blocking buffer (normal goat serum) at 37°C for 30min; Antibody incubation with (TSHR) Polyclonal Antibody, Unconjugated (bs-0206R) at 1:500 overnight at 4°C, followed by a conjugated secondary (sp-0023) for 20 minutes and DAB staining.

Sample:
Lane 1: Human Jurkat cell lysates
Lane 2: Human TT cell lysates
Primary: Anti-TSHR (CT) (bs-0206R) at 1/2000 dilution
Secondary: IRDye800CW Goat Anti-Rabbit IgG at 1/20000 dilution
Predicted band size: 86 kD
Observed band size: 130 kD
Lane 1: Human Jurkat cell lysates
Lane 2: Human TT cell lysates
Primary: Anti-TSHR (CT) (bs-0206R) at 1/2000 dilution
Secondary: IRDye800CW Goat Anti-Rabbit IgG at 1/20000 dilution
Predicted band size: 86 kD
Observed band size: 130 kD
风险提示:丁香通仅作为第三方平台,为商家信息发布提供平台空间。用户咨询产品时请注意保护个人信息及财产安全,合理判断,谨慎选购商品,商家和用户对交易行为负责。对于医疗器械类产品,请先查证核实企业经营资质和医疗器械产品注册证情况。
技术资料暂无技术资料 索取技术资料
TSHR (CT) Rabbit pAb(bs-0206R)-50ul/100ul/200ul
¥1180 - 2800






