相关产品推荐更多 >

GSK-3 Beta Rabbit pAb(bs-0028R)-50ul/100ul/200ul
¥1180
GATA3 Rabbit pAb, PE-Cy5 conjugated(bs-1452R-PE-Cy5)-100ul
¥2980
Nemo-like kinase Rabbit pAb, HRP conjugated(bs-10420R-HRP)-100ul
¥2980
phospho-VEGFR2 (Tyr1175) Rabbit pAb, PerCP-Cy5.5 conjugated(bs-3468R-PerCP-Cy5.5)-100ul
¥2980
ANKRD20A3 Rabbit pAb(bs-9747R)-50ul/100ul/200ul
¥1180
万千商家帮你免费找货
0 人在求购买到急需产品
- 详细信息
- 文献和实验
- 技术资料
- 应用范围:
产品信息以Bioss网站为准
- 规格:
50ul/100ul/200ul
| 规格: | 50ul | 产品价格: | ¥1180.0 |
|---|---|---|---|
| 规格: | 100ul | 产品价格: | ¥1980.0 |
| 规格: | 200ul | 产品价格: | ¥2800.0 |
| 产品编号 | bs-6818R |
| 英文名称 | MAGEA12 Rabbit pAb |
| 中文名称 | 黑色素瘤相关抗原12抗体 |
| 英文别名 | Cancer/testis antigen 1.12; Cancer/testis antigen family 1 member 12; CT1.12; MAGAC_HUMAN; MAGE 12 antigen; MAGE-12 antigen; MAGE12; MAGE12 antigen; MAGE12F; MAGE12F antigen; MAGEA12; Melanoma antigen family A 12; Melanoma associated antigen 12; Melanoma-associated antigen 12. |
| 产品应用 | IHC-P=1:100-500, IHC-F=1:100-500, IF=1:100-500 Not yet tested in other applications. |
| 交叉反应 | Human |
| 抗体来源 | Rabbit |
| 免疫原 | KLH conjugated synthetic peptide derived from human MAGEA12 |
| 亚型 | IgG |
| 性状 | Liquid |
| 纯化方法 | affinity purified by Protein A |
| 克隆类型 | Polyclonal |
| 理论分子量 | 35 kDa |
| 浓度 | 1mg/ml |
| 储存液 | 0.01M TBS (pH7.4) with 1% BSA, 0.02% Proclin300 and 50% Glycerol. |
| 组织特异性 | Expressed in many tumors of several types, such as melanoma, head and neck squamous cell carcinoma, lung carcinoma and breast carcinoma, but not in normal tissues except for testes. |
| 相似性 | Contains 1 MAGE domain. |
| 功能 | Not known, though may play a role in tumor transformation or aspects of tumor progression. |
| 保存条件 | Shipped at 4℃. Store at -20℃ for one year. Avoid repeated freeze/thaw cycles. |
| 注意事项 | This product as supplied is intended for research use only, not for use in human, therapeutic or diagnostic applications. |
| 背景资料 | Not known, though may play a role in tumor transformation or aspects of tumor progression.Tissue specificity: Expressed in many tumors of several types, such as melanoma, head and neck squamous cell carcinoma, lung carcinoma and breast carcinoma, but not in normal tissues except for testes. |
| 应用 | 推荐稀释比例 |
| {IHC-P} | {1:100-500} |
| {IHC-F} | {1:100-500} |
| {IF} | {1:100-500} |

风险提示:丁香通仅作为第三方平台,为商家信息发布提供平台空间。用户咨询产品时请注意保护个人信息及财产安全,合理判断,谨慎选购商品,商家和用户对交易行为负责。对于医疗器械类产品,请先查证核实企业经营资质和医疗器械产品注册证情况。
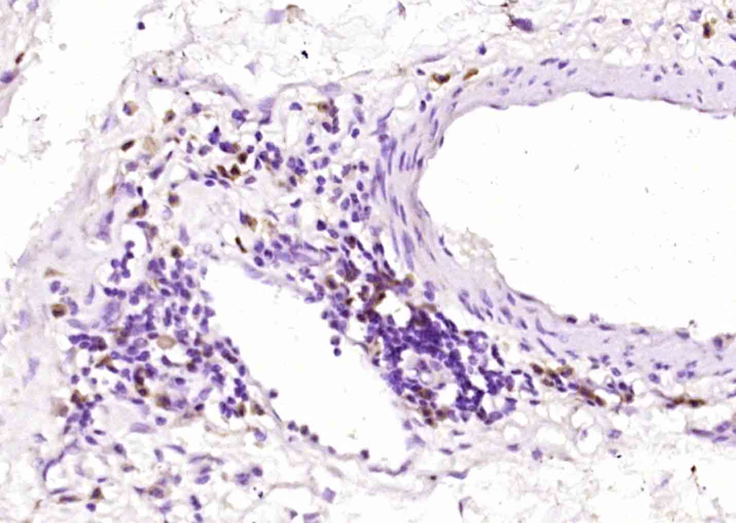
文献和实验[IF={{ 2.6 }}] {Yinghao He. et al. Identification of cuproptosis and ferroptosis-related subtypes and development of a prognostic signature in colon cancer. PLOS ONE. 2025 Jan;20(1):e0307013} {IHC} {Human}
= NAL), appears to form upon oxidative cyclization of the nonfluorescent 2:1 lysine-HNE Michael adduct-Schiff base cross-link (Scheme 1). Polyclonal antibody (PAb) to the NAL-HNE fluorophore was raised in rabbit and found to be highly specific
GE Healthcare Benzamidine Sepharose™ 6B is p-aminobenzamidine covalently attached to Sepharose 6B by the epoxy coupling method. p-Aminobenzamidine (PAB), is a synthetic inhibitor of trypsin-like serine protease. Trypsin and trypsin
Nucleic Acid Programmable Protein Arrays: Versatile Tools for Array‐Based Functional Protein Studies
.g., Sigma) 50 mg/ml bis‐sulfosuccinimdylsuberate (BS3 ;Pierce, cat. no. PI 21580) in dimethylsulfoxide (DMSO) 5 mg/ml
技术资料暂无技术资料 索取技术资料






