相关产品推荐更多 >

RNF113A Rabbit pAb(bs-9248R)-50ul/100ul/200ul
¥1180
phospho-14-3-3 beta + zeta (Ser186 / Ser184) Rabbit pAb, PE-Cy5.5 conjugated(bs-13773R-PE-Cy5.5)-100ul
¥2980
EGFR Rabbit pAb, BF405 conjugated(bs-0165R-BF405)-100ul
¥2980
Tissue factor Rabbit pAb(bs-4690R)-50ul/100ul/200ul
¥1180
GRK5 Rabbit pAb, Biotin conjugated(bs-7540R-Bio)-100ul
¥2980
万千商家帮你免费找货
0 人在求购买到急需产品
- 详细信息
- 技术资料
- 应用范围:
产品信息以Bioss网站为准
- 规格:
50ul/100ul/200ul
| 规格: | 50ul | 产品价格: | ¥1180.0 |
|---|---|---|---|
| 规格: | 100ul | 产品价格: | ¥1980.0 |
| 规格: | 200ul | 产品价格: | ¥2800.0 |
| 产品编号 | bs-1960R |
| 英文名称 | ABCF1 Rabbit pAb |
| 中文名称 | ATP结合盒蛋白家族GCN20F家族1抗体 |
| 英文别名 | ATP-binding cassette sub-family F(GCN20) member 1; Abc50; GCN20; AU041969; D17Wsu166e; Abcf1; ABC27; ATP binding cassette 50(TNF alpha stimulated); ATP binding cassette 50; ATP binding cassette sub family F member 1; EST123147; TNF alpha stimulated ABC protein; TNFalpha inducible ATP binding protein; wu:fb79c06; wu:fc39a05; wu:fj94a08; zgc:85667; ABCF1_HUMAN. |
| 产品应用 | IHC-P=1:100-500, IHC-F=1:100-500, ICC/IF=1:100-500, IF=1:100-500 Not yet tested in other applications. |
| 交叉反应 | Human, Rat (Mouse, Dog, Pig, Cow, Rabbit) |
| 抗体来源 | Rabbit |
| 免疫原 | KLH conjugated synthetic peptide derived from human ABCF1 |
| 亚型 | IgG |
| 性状 | Liquid |
| 纯化方法 | affinity purified by Protein A |
| 克隆类型 | Polyclonal |
| 理论分子量 | 96 kDa |
| 浓度 | 1mg/ml |
| 储存液 | 0.01M TBS (pH7.4) with 1% BSA, 0.02% Proclin300 and 50% Glycerol. |
| 研究领域 | Epigenetics and Nuclear Signaling > DNA / RNA > Translation > Regulation Epigenetics and Nuclear Signaling > DNA / RNA > Translation > Ribosome Immunology > Immune System Diseases > Autoimmune |
| 亚基 | Isoform 2 interacts (via N-terminus) with EIF2S1; the interaction is independent of its phosphorylated status. Isoform 2 associates (via both ABC transporter domains) with the ribosomes. |
| 亚细胞定位 | Isoform 2: Cytoplasm. Nucleus, nucleoplasm. Nucleus envelope. |
| 组织特异性 | Ubiquitous. |
| 翻译后修饰 | Isoform 2 is phosphorylated at phosphoserine and phosphothreonine. Isoform 2 phosphorylation on Ser-109 and Ser-140 by CK2; inhibits association of EIF2 with ribosomes. Phosphorylated upon DNA damage, probably by ATM or ATR. |
| 相似性 | Belongs to the ABC transporter superfamily. ABCF family. EF3 subfamily. Contains 2 ABC transporter domains. |
| 功能 | Isoform 2 is required for efficient Cap- and IRES-mediated mRNA translation initiation. Isoform 2 is not involved in the ribosome biogenesis. |
| 保存条件 | Shipped at 4℃. Store at -20℃ for one year. Avoid repeated freeze/thaw cycles. |
| 注意事项 | This product as supplied is intended for research use only, not for use in human, therapeutic or diagnostic applications. |
| 背景资料 | The protein encoded by this gene is a member of the superfamily of ATP-binding cassette (ABC) transporters. ABC proteins transport various molecules across extra- and intra-cellular membranes. ABC genes are divided into seven distinct subfamilies (ABC1, MDR/TAP, MRP, ALD, OABP, GCN20, White). This protein is a member of the GCN20 subfamily. Unlike other members of the superfamily, this protein lacks the transmembrane domains which are characteristic of most ABC transporters. This protein may be regulated by tumor necrosis factor-alpha and play a role in enhancement of protein synthesis and the inflammation process. [provided by RefSeq, Jul 2008] |
| 应用 | 推荐稀释比例 |
| {IHC-P} | {1:100-500} |
| {IHC-F} | {1:100-500} |
| {ICC/IF} | {1:100-500} |
| {IF} | {1:100-500} |

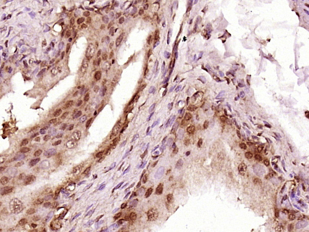
Paraformaldehyde-fixed, paraffin embedded (Rat bladder); Antigen retrieval by boiling in sodium citrate buffer (pH6.0) for 15min; Block endogenous peroxidase by 3% hydrogen peroxide for 20 minutes; Blocking buffer (normal goat serum) at 37°C for 30min; Antibody incubation with (ABCF1) Polyclonal Antibody, Unconjugated (bs-1960R) at 1:400 overnight at 4°C, followed by a conjugated secondary antibody (sp-0023) for 20 minutes and DAB staining.

HepG2 cell; 4% Paraformaldehyde-fixed; Triton X-100 at room temperature for 20 min; Blocking buffer (normal goat serum, C-0005) at 37°C for 20 min; Antibody incubation with (ABCF1) polyclonal Antibody, Unconjugated (bs-1960R) 1:50, 90 minutes at 37°C; followed by a conjugated Goat Anti-Rabbit IgG antibody at 37°C for 90 minutes, DAPI (blue, C02-04002) was used to stain the cell nuclei.
风险提示:丁香通仅作为第三方平台,为商家信息发布提供平台空间。用户咨询产品时请注意保护个人信息及财产安全,合理判断,谨慎选购商品,商家和用户对交易行为负责。对于医疗器械类产品,请先查证核实企业经营资质和医疗器械产品注册证情况。
技术资料暂无技术资料 索取技术资料
ABCF1 Rabbit pAb(bs-1960R)-50ul/100ul/200ul
¥1180 - 2800





