相关产品推荐更多 >

PDGF-D/SCDGFB Rabbit pAb(bs-5776R)-50ul/100ul/200ul
¥1180
CD44 Rabbit pAb, PerCP-Cy5.5 conjugated(bs-4916R-PerCP-Cy5.5)-100ul
¥2980
SFTPC Rabbit pAb, RBITC conjugated(bs-10067R-RBITC)-100ul
¥2980
Cyclin B1 Rabbit pAb, AP conjugated(bs-0572R-AP)-100ul
¥2980
SLC2A4RG Rabbit pAb(bs-9457R)-50ul/100ul/200ul
¥1180
万千商家帮你免费找货
0 人在求购买到急需产品
- 详细信息
- 文献和实验
- 技术资料
- 应用范围:
产品信息以Bioss网站为准
- 规格:
50ul/100ul/200ul
| 规格: | 50ul | 产品价格: | ¥1180.0 |
|---|---|---|---|
| 规格: | 100ul | 产品价格: | ¥1980.0 |
| 规格: | 200ul | 产品价格: | ¥2800.0 |
| 产品编号 | bs-7351R |
| 英文名称 | CD200R Rabbit pAb |
| 中文名称 | CD200受体抗体 |
| 英文别名 | CD 200R; CD200 cell surface glycoprotein receptor; CD200 receptor 1; Cd200r1; Cell surface glycoprotein CD200 receptor 1; Cell surface glycoprotein OX2 receptor 1; Cell surface glycoprotein OX2 receptor; cell surface glycoprotein receptor CD200; CRTR 2; CRTR2; HCRTR2; MO2R1_HUMAN; MOX2 receptor; MOX2R; OX2R. |
| 产品应用 | WB=1:500-2000, IHC-P=1:100-500, IHC-F=1:100-500, IF=1:100-500, Flow-Cyt=2μg/Test Not yet tested in other applications. |
| 交叉反应 | Human |
| 抗体来源 | Rabbit |
| 免疫原 | KLH conjugated synthetic peptide derived from human CD200R |
| 亚型 | IgG |
| 性状 | Liquid |
| 纯化方法 | affinity purified by Protein A |
| 克隆类型 | Polyclonal |
| 理论分子量 | 34 kDa |
| 浓度 | 1mg/ml |
| 储存液 | 0.01M TBS (pH7.4) with 1% BSA, 0.02% Proclin300 and 50% Glycerol. |
| 研究领域 | Cardiovascular > Atherosclerosis > Vascular Inflammation > Innate and adaptive immunity Immunology > Adaptive Immunity > T Cells > CD Microbiology > Interspecies Interaction > Host Virus Interaction |
| 亚细胞定位 | Secreted and Cell membrane. |
| 组织特异性 | Expressed in granulocytes, monocytes, most T cells, neutrophils, basophils and a subset of NK, NKT and B cells (at protein level). Expressed in bone marrow, lymph nodes, spleen, lung, liver, spinal cord, kidney. Expressed in monocyte-derived dendritic and mast cells. |
| 翻译后修饰 | The mature form of isoform 2 and/or isoform 4 starts at sequence position 27 of the corresponding isoform. |
| 相似性 | Belongs to the CD200R family. Contains 1 Ig-like C2-type (immunoglobulin-like) domain. Contains 1 Ig-like V-type (immunoglobulin-like) domain. |
| 功能 | Receptor for the CD200/OX2 cell surface glycoprotein. Also binds to HHV-8 K14 viral CD200 homolog with identical affinity and kinetics as the host CD200. |
| 保存条件 | Shipped at 4℃. Store at -20℃ for one year. Avoid repeated freeze/thaw cycles. |
| 注意事项 | This product as supplied is intended for research use only, not for use in human, therapeutic or diagnostic applications. |
| 背景资料 | This gene encodes a receptor for the OX-2 membrane glycoprotein. Both the receptor and substrate are cell surface glycoproteins containing two immunoglobulin-like domains. This receptor is restricted to the surfaces of myeloid lineage cells and the receptor-substrate interaction may function as a myeloid downregulatory signal. Mouse studies of a related gene suggest that this interaction may control myeloid function in a tissue-specific manner. Alternative splicing of this gene results in multiple transcript variants. |
| 应用 | 推荐稀释比例 |
| {WB} | {1:500-2000} |
| {IHC-P} | {1:100-500} |
| {IHC-F} | {1:100-500} |
| {IF} | {1:100-500} |
| {Flow-Cyt} | {2μg/Test} |


Raji(Human) Cell Lysate at 30 ug
Primary: Anti-CD200R (bs-7351R) at 1/300 dilution
Secondary: IRDye800CW Goat Anti-Rabbit IgG at 1/20000 dilution
Predicted band size: 33 kD
Observed band size: 58 kD

Primary Antibody: Rabbit Anti-CD200R/AF647 Conjugated antibody (bs-7351R-AF647), Dilution: 5μg in 100 μL 1X PBS containing 0.5% BSA;
Isotype Control Antibody: Rabbit IgG/AF647(orange) ,used under the same conditions.
风险提示:丁香通仅作为第三方平台,为商家信息发布提供平台空间。用户咨询产品时请注意保护个人信息及财产安全,合理判断,谨慎选购商品,商家和用户对交易行为负责。对于医疗器械类产品,请先查证核实企业经营资质和医疗器械产品注册证情况。
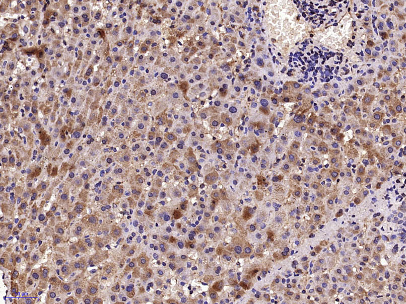
文献和实验[IF={{ 2.8 }}] {Clark, David A., et al. "The Receptor for the CD200 Tolerance‐Signaling Molecule Associated with Successful Pregnancy is Expressed by Early‐Stage Breast Cancer Cells in 80% of Patients and by Term Placental Trophoblasts." American Journal of Reproductive Immunology 74.5 (2015): 387-391.} {IHC} {="Human"}
[IF={{ 2.8 }}] {Clark, David A., Jorge L. Arredondo, and Sukhbinder Dhesy-Thind. "The CD200 tolerance-signaling molecule and its receptor, CD200R1, are expressed in human placental villus trophoblast and in peri-implant decidua by 5 weeks’ gestation." Journal of Reproductive Immunology 112 (2015): 20-23.} {IHC} {="Human"}
[IF={{ 2.8 }}] {Clark, David A., et al. "Changes in expression of the CD200 tolerance‐signaling molecule and its receptor (CD200R) by villus trophoblasts during first trimester missed abortion and in chronic histiocytic intervillositis." American Journal of Reproductive Immunology (2017).} {IHC} {="Human"}
= NAL), appears to form upon oxidative cyclization of the nonfluorescent 2:1 lysine-HNE Michael adduct-Schiff base cross-link (Scheme 1). Polyclonal antibody (PAb) to the NAL-HNE fluorophore was raised in rabbit and found to be highly specific
GE Healthcare Benzamidine Sepharose™ 6B is p-aminobenzamidine covalently attached to Sepharose 6B by the epoxy coupling method. p-Aminobenzamidine (PAB), is a synthetic inhibitor of trypsin-like serine protease. Trypsin and trypsin
Nucleic Acid Programmable Protein Arrays: Versatile Tools for Array‐Based Functional Protein Studies
.g., Sigma) 50 mg/ml bis‐sulfosuccinimdylsuberate (BS3 ;Pierce, cat. no. PI 21580) in dimethylsulfoxide (DMSO) 5 mg/ml
技术资料暂无技术资料 索取技术资料






