相关产品推荐更多 >
万千商家帮你免费找货
0 人在求购买到急需产品
- 详细信息
- 文献和实验
- 技术资料
- 应用范围:
产品信息以Bioss网站为准
- 规格:
50ul/100ul/200ul
| 规格: | 50ul | 产品价格: | ¥1180.0 |
|---|---|---|---|
| 规格: | 100ul | 产品价格: | ¥1980.0 |
| 规格: | 200ul | 产品价格: | ¥2800.0 |
| 产品编号 | bs-2461R |
| 英文名称 | IL13RA2 Rabbit pAb |
| 中文名称 | 白细胞介素13受体a2抗体 |
| 英文别名 | Interleukin-13 receptor subunit alpha-2; IL-13 receptor subunit alpha-2; IL-13 receptor subunit alpha-2; subunit alpha-2; IL-13R-alpha-2; IL-13RA2; CD213a2; IL13R; IL-13R; IL13 receptor; IL13BP; Interleukin 13 binding protein; Interleukin-13-binding protein; I13R2_HUMAN. |
| 产品应用 | WB=1:500-2000 Not yet tested in other applications. |
| 交叉反应 | Human, Mouse, Rat |
| 抗体来源 | Rabbit |
| 免疫原 | KLH conjugated synthetic peptide derived from human IL-13Ra2 |
| 亚型 | IgG |
| 性状 | Liquid |
| 纯化方法 | affinity purified by Protein A |
| 克隆类型 | Polyclonal |
| 理论分子量 | 41 kDa |
| 浓度 | 1mg/ml |
| 储存液 | 0.01M TBS (pH7.4) with 1% BSA, 0.02% Proclin300 and 50% Glycerol. |
| 研究领域 | Immunology > Innate Immunity > Cytokines Immunology > Innate Immunity > Cytokines > Interleukins Microbiology > Organism > Virus > RNA Virus > ssRNA positive strand virus > SARS Coronavirus |
| 亚细胞定位 | Membrane; Single-pass type I membrane protein. |
| 相似性 | Belongs to the type I cytokine receptor family. Type 5 subfamily. Contains 1 fibronectin type-III domain. |
| 功能 | Binds as a monomer with high affinity to interleukin-13 (IL13), but not to interleukin-4 (IL4). |
| 保存条件 | Shipped at 4℃. Store at -20℃ for one year. Avoid repeated freeze/thaw cycles. |
| 注意事项 | This product as supplied is intended for research use only, not for use in human, therapeutic or diagnostic applications. |
| 背景资料 | This protein is closely related to IL13RA1, a subunit of the interleukin 13 receptor complex. This protein binds IL13 with high affinity, but lacks cytoplasmic domain, and does not appear to function as a signal mediator. It is reported to play a role in the internalization of IL13. |
| 应用 | 推荐稀释比例 |
| {WB} | {1:500-2000} |

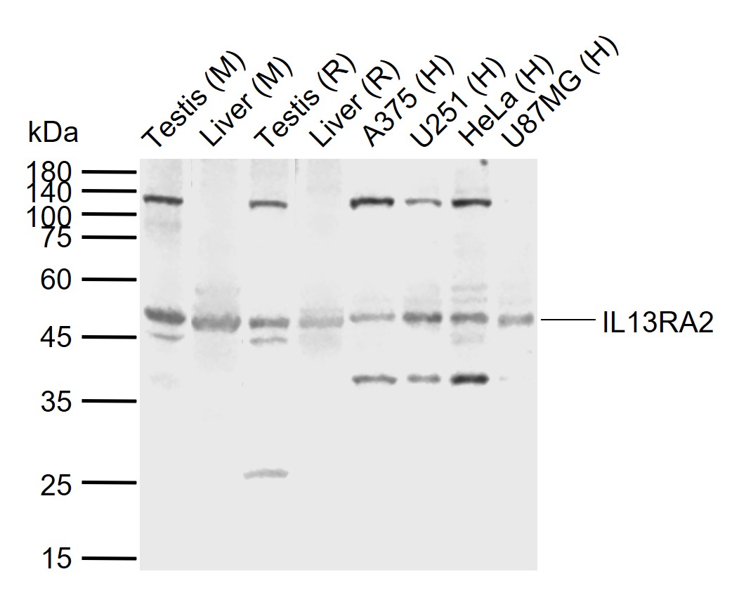
Lane 1: Mouse Testis tissue lysates
Lane 2: Mouse Liver tissue lysates
Lane 3: Rat Testis tissue lysates
Lane 4: Rat Liver tissue lysates
Lane 5: Human A375 cell lysates
Lane 6: Human U251 cell lysates
Lane 7: Human HeLa cell lysates
Lane 8: Human U87MG cell lysates
Primary: Anti-IL13RA2 (bs-2461R) at 1/500 dilution
Secondary: IRDye800CW Goat Anti-Rabbit IgG at 1/20000 dilution
Predicted band size: 41 kDa
Observed band size: 48 kDa
风险提示:丁香通仅作为第三方平台,为商家信息发布提供平台空间。用户咨询产品时请注意保护个人信息及财产安全,合理判断,谨慎选购商品,商家和用户对交易行为负责。对于医疗器械类产品,请先查证核实企业经营资质和医疗器械产品注册证情况。
文献和实验[IF={{ 2.668 }}] {Du, Yujing. et al. 99mTc-labeled peptide targeting interleukin 13 receptor α 2 for tumor imaging in a cervical cancer mouse model. Ann Nucl Med. 2022 Jan;:1-13} {FCM} {Human}
= NAL), appears to form upon oxidative cyclization of the nonfluorescent 2:1 lysine-HNE Michael adduct-Schiff base cross-link (Scheme 1). Polyclonal antibody (PAb) to the NAL-HNE fluorophore was raised in rabbit and found to be highly specific
GE Healthcare Benzamidine Sepharose™ 6B is p-aminobenzamidine covalently attached to Sepharose 6B by the epoxy coupling method. p-Aminobenzamidine (PAB), is a synthetic inhibitor of trypsin-like serine protease. Trypsin and trypsin
Nucleic Acid Programmable Protein Arrays: Versatile Tools for Array‐Based Functional Protein Studies
.g., Sigma) 50 mg/ml bis‐sulfosuccinimdylsuberate (BS3 ;Pierce, cat. no. PI 21580) in dimethylsulfoxide (DMSO) 5 mg/ml
技术资料暂无技术资料 索取技术资料









