相关产品推荐更多 >

Bile salt-activated lipase Rabbit pAb(bs-5042R)-50ul/100ul/200ul
¥1180
Glucocorticoid receptor Rabbit pAb, Biotin conjugated(bs-0252R-Bio)-100ul
¥2980
DBF4B Rabbit pAb, Biotin conjugated(bs-5748R-Bio)-100ul
¥2980
phospho-EphB1+EphB2 (Tyr594) Rabbit pAb(bs-10781R)-50ul/100ul/200ul
¥1180
phospho-ACLY (Ser455) Rabbit pAb(bs-3037R)-50ul/100ul/200ul
¥1180
万千商家帮你免费找货
0 人在求购买到急需产品
- 详细信息
- 文献和实验
- 技术资料
- 应用范围:
产品信息以Bioss网站为准
- 规格:
50ul/100ul/200ul
| 规格: | 50ul | 产品价格: | ¥1180.0 |
|---|---|---|---|
| 规格: | 100ul | 产品价格: | ¥1980.0 |
| 规格: | 200ul | 产品价格: | ¥2800.0 |
| 产品编号 | bs-1753R |
| 英文名称 | ECE2 Rabbit pAb |
| 中文名称 | 内皮素转化酶2抗体 |
| 英文别名 | ECE2; MGC78487; ECE 2; Endothelin converting enzyme 2; Hypothetical protein MGC2408; KIAA0604; MGC17664; ECE2_HUMAN. |
| 产品应用 | WB=1:500-2000, IHC-P=1:100-500, IHC-F=1:100-500, IF=1:100-500 Not yet tested in other applications. |
| 交叉反应 | Human, Mouse, Rat |
| 抗体来源 | Rabbit |
| 免疫原 | KLH conjugated synthetic peptide derived from human ECE2 |
| 亚型 | IgG |
| 性状 | Liquid |
| 纯化方法 | affinity purified by Protein A |
| 克隆类型 | Polyclonal |
| 理论分子量 | 80-100 kDa |
| 浓度 | 1mg/ml |
| 储存液 | 0.01M TBS (pH7.4) with 1% BSA, 0.02% Proclin300 and 50% Glycerol. |
| 亚细胞定位 | Golgi apparatus membrane; Single-pass type II membrane protein (By similarity). Cytoplasmic granule membrane; Single-pass type II membrane protein (By similarity). |
| 组织特异性 | Expressed in brain. Strongly down-regulated in inferior parietal lobe from Alzheimer disease patients (at protein level). |
| 相似性 | In the N-terminal section; belongs to the methyltransferase superfamily. In the C-terminal section; belongs to the peptidase M13 family. |
| 保存条件 | Shipped at 4℃. Store at -20℃ for one year. Avoid repeated freeze/thaw cycles. |
| 注意事项 | This product as supplied is intended for research use only, not for use in human, therapeutic or diagnostic applications. |
| 背景资料 | Endothelin-converting enzyme 2 (ECE2) converts big endothelin-1 to endothelin-1. Also involved in the processing of various neuroendocrine peptides, including neurotensin, angiotensin I, substance P, proenkephalin-derived peptides, and prodynorphin-derived peptides. May limit beta-amyloid peptide accumulation in brain. May also have methyltransferase activity. Expressed at high levels in central nervous system. Expressed in adrenal glands, ovary and uterus, and at low levels in heart. |
| 应用 | 推荐稀释比例 |
| {WB} | {1:500-2000} |
| {IHC-P} | {1:100-500} |
| {IHC-F} | {1:100-500} |
| {IF} | {1:100-500} |

Primary: Anti-ECE2 (bs-1753R) at 1/300 dilution
Secondary: IRDye800CW Goat Anti-Rabbit IgG at 1/20000 dilution
Predicted band size: 80-100 kD
Observed band size: 80 kD


风险提示:丁香通仅作为第三方平台,为商家信息发布提供平台空间。用户咨询产品时请注意保护个人信息及财产安全,合理判断,谨慎选购商品,商家和用户对交易行为负责。对于医疗器械类产品,请先查证核实企业经营资质和医疗器械产品注册证情况。
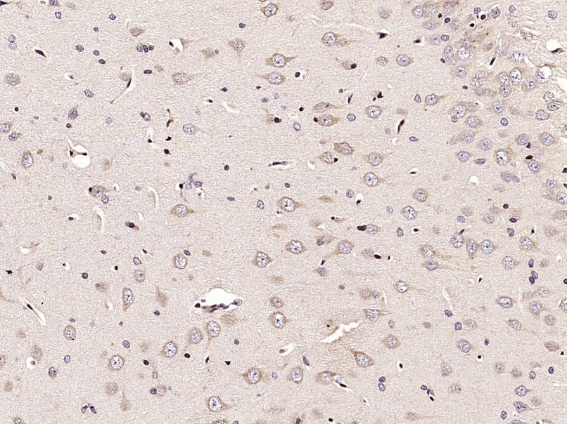
文献和实验[IF={{ 5.23 }}] {Esposito, Giuseppe, et al. "Autologous transplantation of intestine-isolated glia cells improves neuropathology and restores cognitive deficits in β amyloid-induced neurodegeneration." Scientific reports 6 (2016).} {IHC} {="Rat"}
= NAL), appears to form upon oxidative cyclization of the nonfluorescent 2:1 lysine-HNE Michael adduct-Schiff base cross-link (Scheme 1). Polyclonal antibody (PAb) to the NAL-HNE fluorophore was raised in rabbit and found to be highly specific
GE Healthcare Benzamidine Sepharose™ 6B is p-aminobenzamidine covalently attached to Sepharose 6B by the epoxy coupling method. p-Aminobenzamidine (PAB), is a synthetic inhibitor of trypsin-like serine protease. Trypsin and trypsin
Measurement of Chloride Movement in Neuronal Preparations
.) pp. 67‐83. Plenum, New York. Dunn, S.M.J., Shelman, R.A., and Agey, M.W. 1989. Fluorescence measurements of anion transport by the GABAA receptor in reconstituted membrane
技术资料暂无技术资料 索取技术资料






