相关产品推荐更多 >

SLC6A19 Rabbit pAb, PE conjugated(bs-0478R-PE)-100ul
¥2980
Anti-human INHBA / Activin A (Garetosmab Biosimilar)(BIO0304SM)-1mg/5mg/20mg
¥1550
BAGE2 + BAGE3 Rabbit pAb(bs-9114R)-50ul/100ul/200ul
¥1180
phospho-TIRAP (Tyr86) Rabbit pAb, BF594 conjugated(bs-7562R-BF594)-100ul
¥2980
CA9 Recombinant Rabbit mAb(bsm-61234R)-50ul/100ul/25ul
¥800
万千商家帮你免费找货
0 人在求购买到急需产品
- 详细信息
- 文献和实验
- 技术资料
- 应用范围:
产品信息以Bioss网站为准
- 规格:
50ul/100ul/200ul
| 规格: | 50ul | 产品价格: | ¥1180.0 |
|---|---|---|---|
| 规格: | 100ul | 产品价格: | ¥1980.0 |
| 规格: | 200ul | 产品价格: | ¥2800.0 |
| 产品编号 | bs-5921R |
| 英文名称 | YB1 Rabbit pAb |
| 中文名称 | 核酸敏感元件结合蛋白1抗体 |
| 英文别名 | BP 8; CBF-A; binding transcription factor I subunit A; YBX1; CCAAT-binding transcription factor I subunit A; CSDA2; CSDB; DBPB; DNA binding protein B; DNA-binding protein B; EFI-A; Enhancer factor I subunit A; MDR NF1; NSEP 1; NSEP1; Nuclease sensitive element binding protein 1; Nuclease-sensitive element-binding protein 1; p50; Q15905; Y-box binding protein 1; Y-box transcription factor; Y-box-binding protein 1; YB 1. YB-1; YBOX1_HUMAN; YBX 1; YBX1. |
| 中文别名 | DNA结合蛋白B; y-盒结合蛋白1 |
| 产品应用 | WB=1:500-2000, IHC-P=1:100-500, IHC-F=1:100-500, IF=1:100-500 Not yet tested in other applications. |
| 交叉反应 | Human, Mouse, Rat (Chicken, Dog, Pig, Cow, Rabbit) |
| 抗体来源 | Rabbit |
| 免疫原 | KLH conjugated synthetic peptide derived from human YB1 |
| 亚型 | IgG |
| 性状 | Liquid |
| 纯化方法 | affinity purified by Protein A |
| 克隆类型 | Polyclonal |
| 理论分子量 | 36 kDa |
| 浓度 | 1mg/ml |
| 储存液 | 0.01M TBS (pH7.4) with 1% BSA, 0.02% Proclin300 and 50% Glycerol. |
| 研究领域 | Developmental Biology > Embryogenesis > Embryonic stem cells > Surface molecules Epigenetics and Nuclear Signaling > Chromatin Binding Proteins > DNA / RNA binding Epigenetics and Nuclear Signaling > Transcription > Other factors Stem Cells > Embryonic Stem Cells > Intracellular Tags & Cell Markers > Cell Type Markers > Tumor Associated |
| 亚基 | Identified in a histone pre-mRNA complex, at least composed of ERI1, LSM11, SLBP, SNRPB, SYNCRIP and YBX1 (By similarity). Component of the coding region determinant (CRD)-mediated complex, composed of DHX9, HNRNPU, IGF2BP1, SYNCRIP and YBX1. Identified in a mRNP complex, at least composed of DHX9, DDX3X, ELAVL1, HNRNPU, IGF2BP1, ILF3, PABPC1, PCBP2, PTBP2, STAU1, STAU2, SYNCRIP and YBX1. Identified in a mRNP granule complex, at least composed of ACTB, ACTN4, DHX9, ERG, HNRNPA1, HNRNPA2B1, HNRNPAB, HNRNPD, HNRNPL, HNRNPR, HNRNPU, HSPA1, HSPA8, IGF2BP1, ILF2, ILF3, NCBP1, NCL, PABPC1, PABPC4, PABPN1, RPLP0, RPS3, RPS3A, RPS4X, RPS8, RPS9, SYNCRIP, TROVE2, YBX1 and untranslated mRNAs. Component of the U11/U12 snRNPs that are part of the U12-type spliceosome. Interacts with IGF2BP1 and RBBP6. Component of cytoplasmic messenger ribonucleoprotein particles (mRNPs). Interacts with AKT1, MBNL1, SFRS9, ALYREF/THOC4, MSH2, XRCC5, WRN and NCL. Can bind to DNA as a homomeric form, (EFI-A)n or as a heteromeric form in association with EFI-B. Homodimer in the presence of ATP. Interacts (via C-terminus) with APEX1 (via N-terminus); the interaction is increased with APEX1 acetylated at 'Lys-6' and 'Lys-7'. Interacts with EIF2C1 and EIF2C2. |
| 亚细胞定位 | Cytoplasm. Nucleus. Cytoplasmic granule. Secreted. Note=Localized in cytoplasmic mRNP granules containing untranslated mRNAs. Shuttles between nucleus and cytoplasm. Predominantly cytoplasmic in proliferating cells. Cytotoxic stress and DNA damage enhance translocation to the nucleus. Localized with DDX1, MBNL1 and TIAL1 in stress granules upon stress. Secreted by mesangial and monocytic cells after inflammatory challenges. Translocates from the cytoplasm to the nucleus after and colocalizes with APEX1 in nuclear speckles after genotoxic stress. |
| 翻译后修饰 | Ubiquitinated by RBBP6; leading to a decrease of YBX1 transcactivational ability. In the absence of phosphorylation the protein is retained in the cytoplasm.br |
| 相似性 | Contains 1 CSD (cold-shock) domain. |
| 功能 | Mediates pre-mRNA alternative splicing regulation. Binds to splice sites in pre-mRNA and regulates splice site selection. Binds and stabilizes cytoplasmic mRNA. Contributes to the regulation of translation by modulating the interaction between the mRNA and eukaryotic initiation factors (By similarity). Regulates the transcription of numerous genes. Its transcriptional activity on the multidrug resistance gene MDR1 is enhanced in presence of the APEX1 acetylated form at 'Lys-6' and 'Lys-7'. Binds to promoters that contain a Y-box (5'-CTGATTGGCCAA-3'), such as MDR1 and HLA class II genes. Promotes separation of DNA strands that contain mismatches or are modified by cisplatin. Has endonucleolytic activity and can introduce nicks or breaks into double-stranded DNA (in vitro). May play a role in DNA repair. Component of the CRD-mediated complex that promotes MYC mRNA stability. Binds preferentially to the 5'-[CU]CUGCG-3' motif in vitro. The secreted form acts as an extracellular mitogen and stimulates cell migration and proliferation. |
| 保存条件 | Shipped at 4℃. Store at -20℃ for one year. Avoid repeated freeze/thaw cycles. |
| 注意事项 | This product as supplied is intended for research use only, not for use in human, therapeutic or diagnostic applications. |
| 背景资料 | The Y-box binding protein 1(YB1)is a pluripotent DNA/RNA-binding factor which regulates gene expression through transcription and translation. YB1 has been shown to be a marker of tumour aggressiveness and belongs to the cold-shock domain family. |
| 应用 | 推荐稀释比例 |
| {WB} | {1:500-2000} |
| {IHC-P} | {1:100-500} |
| {IHC-F} | {1:100-500} |
| {IF} | {1:100-500} |

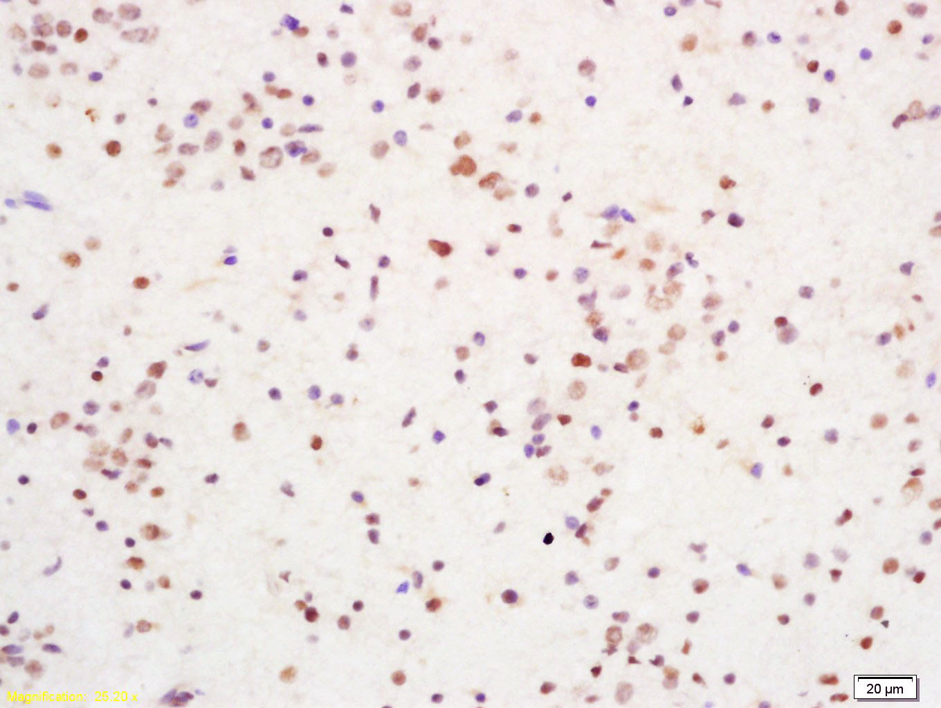
Antigen retrieval: citrate buffer ( 0.01M, pH 6.0 ), Boiling bathing for 15min; Block endogenous peroxidase by 3% Hydrogen peroxide for 30min; Blocking buffer (normal goat serum,C-0005) at 37℃ for 20 min;
Incubation: Anti-YBX-1/YB1 Polyclonal Antibody, Unconjugated(bs-5921R) 1:200, overnight at 4°C, followed by conjugation to the secondary antibody(SP-0023) and DAB(C-0010) staining



Lane 1: Mouse Testis tissue lysates
Lane 2: Rat Testis tissue lysates
Lane 3: Human MCF-7 cell lysates
Lane 4: Human HL-60 cell lysates
Lane 5: Human U251 cell lysates
Primary: Anti-YB1 (bs-5921R) at 1/1000 dilution
Secondary: IRDye800CW Goat Anti-Rabbit IgG at 1/20000 dilution
Predicted band size: 36 kDa
Observed band size: 50 kDa
风险提示:丁香通仅作为第三方平台,为商家信息发布提供平台空间。用户咨询产品时请注意保护个人信息及财产安全,合理判断,谨慎选购商品,商家和用户对交易行为负责。对于医疗器械类产品,请先查证核实企业经营资质和医疗器械产品注册证情况。
文献和实验= NAL), appears to form upon oxidative cyclization of the nonfluorescent 2:1 lysine-HNE Michael adduct-Schiff base cross-link (Scheme 1). Polyclonal antibody (PAb) to the NAL-HNE fluorophore was raised in rabbit and found to be highly specific
GE Healthcare Benzamidine Sepharose™ 6B is p-aminobenzamidine covalently attached to Sepharose 6B by the epoxy coupling method. p-Aminobenzamidine (PAB), is a synthetic inhibitor of trypsin-like serine protease. Trypsin and trypsin
Nucleic Acid Programmable Protein Arrays: Versatile Tools for Array‐Based Functional Protein Studies
.g., Sigma) 50 mg/ml bis‐sulfosuccinimdylsuberate (BS3 ;Pierce, cat. no. PI 21580) in dimethylsulfoxide (DMSO) 5 mg/ml
技术资料暂无技术资料 索取技术资料






