相关产品推荐更多 >

ITK Rabbit pAb(bs-2784R)-50ul/100ul/200ul
¥1180
phospho-14-3-3 beta + zeta (Ser186 / Ser184) Rabbit pAb, BF594 conjugated(bs-13773R-BF594)-100ul
¥2980
FBXO36 Rabbit pAb(bs-8470R)-50ul/100ul/200ul
¥1180
SDHAF1 Rabbit pAb, Biotin conjugated(bs-19603R-Bio)-100ul
¥2980
VWF Rabbit pAb, APC-Cy7 conjugated(bs-20428R-APC-Cy7)-100ul
¥2980
万千商家帮你免费找货
0 人在求购买到急需产品
- 详细信息
- 文献和实验
- 技术资料
- 应用范围:
产品信息以Bioss网站为准
- 规格:
50ul/100ul
| 规格: | 50ul | 产品价格: | ¥1180.0 |
|---|---|---|---|
| 规格: | 100ul | 产品价格: | ¥1980.0 |
| 产品编号 | bs-2653R |
| 英文名称 | SPHK2 Rabbit pAb |
| 中文名称 | 鞘氨醇激酶2抗体 |
| 英文别名 | sphingosine kinase 2; SK 2; SPK 2; C76851; MGC102297; SPHK2_HUMAN. |
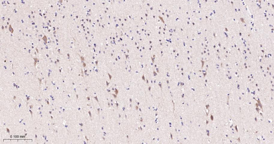
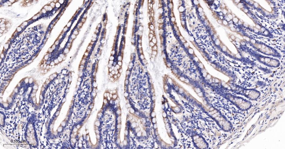
| 产品应用 | WB=1:500-2000, IHC-P=1:100-500, IHC-F=1:100-500, IF=1:100-500, ELISA=1:5000-10000 Not yet tested in other applications. |
| 交叉反应 | Human, Mouse |
| 抗体来源 | Rabbit |
| 免疫原 | KLH conjugated synthetic peptide derived from human SPHK2 |
| 亚型 | IgG |
| 性状 | Liquid |
| 纯化方法 | affinity purified by Protein A |
| 克隆类型 | Polyclonal |
| 理论分子量 | 72 kDa |
| 浓度 | 1mg/ml |
| 储存液 | 0.01M TBS (pH7.4) with 1% BSA, 0.02% Proclin300 and 50% Glycerol. |
| 研究领域 | Cancer > Cancer Metabolism > Metabolic signaling pathway > Metabolism of lipids and lipoproteins Cell Biology > Apoptosis > Intracellular > Kinases Metabolism > Pathways and Processes > Metabolic signaling pathways > Lipid and lipoprotein metabolism > Lipid metabolism Metabolism > Types of disease > Cancer Signal Transduction > Signaling Pathway > G Protein Signaling > GPCR Signal Transduction > Signaling Pathway > Lipid Signaling > Lipid Kinases |
| 亚细胞定位 | Isoform 1: Cytoplasm. Membrane. Isoform 2: Lysosome membrane. |
| 相似性 | Contains 1 DAGKc domain. |
| 功能 | Catalyzes the phosphorylation of sphingosine to form sphingosine 1-phosphate (SPP), a lipid mediator with both intra-and extracellular functions. Also acts on D-erythro-dihydrosphingosine, D-erythro-sphingosine and L-threo-dihydrosphingosine. Binds phosphoinositides. |
| 保存条件 | Shipped at 4℃. Store at -20℃ for one year. Avoid repeated freeze/thaw cycles. |
| 注意事项 | This product as supplied is intended for research use only, not for use in human, therapeutic or diagnostic applications. |
| 背景资料 | This gene encodes a kinase that phosphorylates sphingosine into sphingosine-1-phosphate, which is involved in cell differentiation, motility, and apoptosis. The encoded protein plays a role in maintaining cellular levels of sphingosine-1-phosphate. The gene product also enhances apoptosis in different cell types and suppresses cellular proliferation. In mast cells, the encoded protein is necessary for influx of calcium, protein kinase C activation, and cytokine production and degranulation. Alternative splicing results in multiple transcript variants. [provided by RefSeq]. |
| 应用 | 推荐稀释比例 |
| {WB} | {1:500-2000} |
| {IHC-P} | {1:100-500} |
| {IHC-F} | {1:100-500} |
| {IF} | {1:100-500} |
| {ELISA} | {1:5000-10000} |





风险提示:丁香通仅作为第三方平台,为商家信息发布提供平台空间。用户咨询产品时请注意保护个人信息及财产安全,合理判断,谨慎选购商品,商家和用户对交易行为负责。对于医疗器械类产品,请先查证核实企业经营资质和医疗器械产品注册证情况。
文献和实验[IF={{ 5.853 }}] {Mili Minaduola. et al. The circadian clock sets a spatial–temporal window for recent thymic emigrants. IMMUNOL CELL BIOL. 2022 Sep;:} {IF} {Mouse}
[IF={{ 4.29 }}] {Tran, Hai B., et al. "Cigarette smoke inhibits efferocytosis via deregulation of sphingosine kinase signaling: reversal with exogenous S1P and the S1P analogue FTY720." Journal of Leukocyte Biology (2016): jlb-3A1015.} {Other} {="Human"}
[IF={{ 3.53 }}] {Tani, Kohsuke, Keiji Tabuchi, and Akira Hara. "Hair Cell Loss Induced by Sphingosine and a Sphingosine Kinase Inhibitor in the Rat Cochlea."Neurotoxicity research 29.1 (2016): 35-46.} {WB,ICC} {="Rat"}
[IF={{ 2.89 }}] {Tran, Hai B., et al. "Disrupted epithelial/macrophage crosstalk via Spinster homologue 2-mediated S1P signaling may drive defective macrophage phagocytic function in COPD." PloS one 12.11 (2017): e0179577.} {ICC} {="Human"}
[IF={{ 2.822 }}] {Zhang,et al.The Role of Tumor-Associated Ingredients in Serum on Antitumor Immunity.(2017) Drug Design Development and Therapy. 1:.} {ELISA} {Mouse}
= NAL), appears to form upon oxidative cyclization of the nonfluorescent 2:1 lysine-HNE Michael adduct-Schiff base cross-link (Scheme 1). Polyclonal antibody (PAb) to the NAL-HNE fluorophore was raised in rabbit and found to be highly specific
GE Healthcare Benzamidine Sepharose™ 6B is p-aminobenzamidine covalently attached to Sepharose 6B by the epoxy coupling method. p-Aminobenzamidine (PAB), is a synthetic inhibitor of trypsin-like serine protease. Trypsin and trypsin
Nucleic Acid Programmable Protein Arrays: Versatile Tools for Array‐Based Functional Protein Studies
.g., Sigma) 50 mg/ml bis‐sulfosuccinimdylsuberate (BS3 ;Pierce, cat. no. PI 21580) in dimethylsulfoxide (DMSO) 5 mg/ml
技术资料暂无技术资料 索取技术资料





