相关产品推荐更多 >
万千商家帮你免费找货
0 人在求购买到急需产品
- 详细信息
- 文献和实验
- 技术资料
- 应用范围:
产品信息以Bioss网站为准
- 规格:
50ul/100ul/200ul
| 规格: | 50ul | 产品价格: | ¥1180.0 |
|---|---|---|---|
| 规格: | 100ul | 产品价格: | ¥1980.0 |
| 规格: | 200ul | 产品价格: | ¥2800.0 |
| 产品编号 | bs-2985R |
| 英文名称 | ADM2 Rabbit pAb |
| 中文名称 | 中介素抗体 |
| 英文别名 | ADM2; IMD; Intermedin; Adrenomedullin-2; AM2; IMDL; IMDS; ADM2_HUMAN; Adrenomedullin 2; dJ579N16.4; FLJ21135; IMDL; Intermedin-long; Intermedin-short. |
| 产品应用 | IHC-P=1:100-500, IHC-F=1:100-500, IF=1:100-500 Not yet tested in other applications. |
| 交叉反应 | Human, Mouse, Rat (Pig, Horse, Rabbit) |
| 抗体来源 | Rabbit |
| 免疫原 | KLH conjugated synthetic peptide derived from human Intermedin |
| 亚型 | IgG |
| 性状 | Liquid |
| 纯化方法 | affinity purified by Protein A |
| 克隆类型 | Polyclonal |
| 理论分子量 | 5.2 kDa |
| 浓度 | 1mg/ml |
| 储存液 | 0.01M TBS (pH7.4) with 1% BSA, 0.02% Proclin300 and 50% Glycerol. |
| 研究领域 | Developmental Biology > Reproduction > Placental development Neuroscience > Endocrine system > Hypothalamic pituitary adrenal axis Neuroscience > Neurotransmitter > Neuropeptides > Hormones Signal Transduction > Growth Factors/Hormones > Hormones |
| 亚细胞定位 | Secreted. |
| 组织特异性 | Expressed in the esophagus, stomach, jejunum, ileum, ileocecum, ascending colon, transverse colon, descending colon and rectum. Expressed in myocardial cells of the heart, renal tubular cells, hypothalamus, and pituitary. |
| 相似性 | Belongs to the adrenomedullin family. |
| 功能 | IMDL and IMDS may play a role as physiological regulators of gastrointestinal, cardiovascular bioactivities mediated by the CALCRL/RAMPs receptor complexes. Activates the cAMP-dependent pathway. |
| 保存条件 | Shipped at 4℃. Store at -20℃ for one year. Avoid repeated freeze/thaw cycles. |
| 注意事项 | This product as supplied is intended for research use only, not for use in human, therapeutic or diagnostic applications. |
| 背景资料 | This gene encodes a protein which is a member of the calcitonin-related hormones. The encoded protein is involved in maintaining homeostasis in many tissues, acting via CRLR/RAMP receptor (calcitonin receptor-like receptor/receptor activity-modifying protein) complexes. Multiple alternatively spliced variants, encoding the same protein, have been identified. [provided by RefSeq, Dec 2011]. TISSUE SPECIFICITY:High expression detected in the submaxillary gland, kidney, stomach, and mesentery, followed by the pituitary, lung, pancreas, intestines, spleen, thymus and ovary. Expressed mainly in the intermediate lobe of the pituitary, with sporadic in the anterior lobe. |
| 应用 | 推荐稀释比例 |
| {IHC-P} | {1:100-500} |
| {IHC-F} | {1:100-500} |
| {IF} | {1:100-500} |





风险提示:丁香通仅作为第三方平台,为商家信息发布提供平台空间。用户咨询产品时请注意保护个人信息及财产安全,合理判断,谨慎选购商品,商家和用户对交易行为负责。对于医疗器械类产品,请先查证核实企业经营资质和医疗器械产品注册证情况。
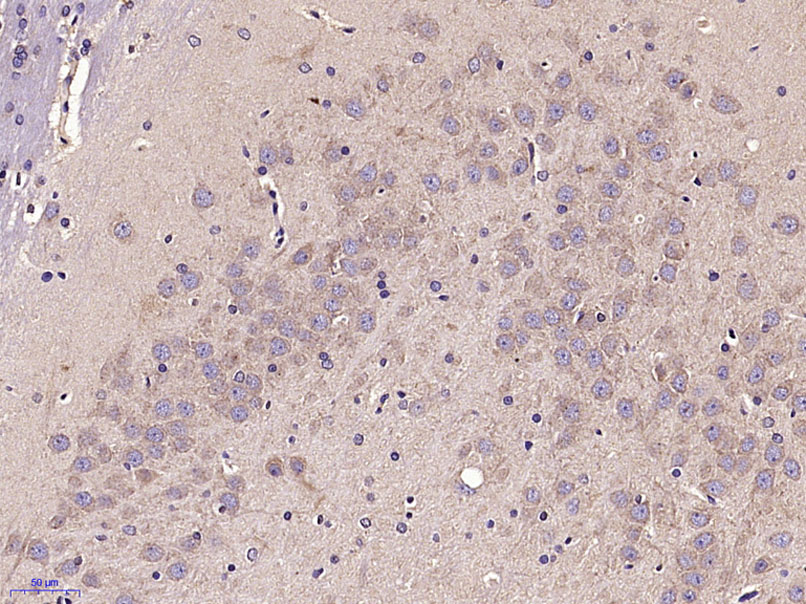
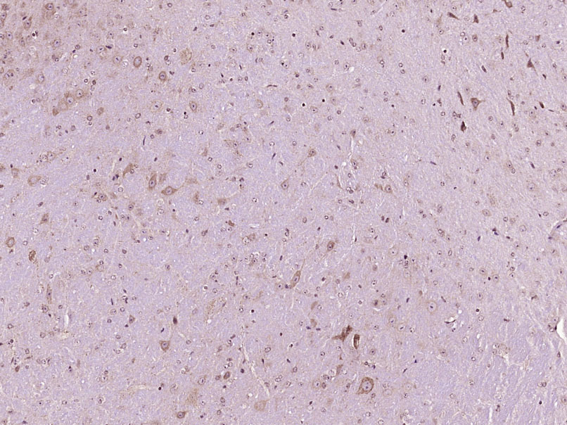
文献和实验[IF={{ 4.24 }}] {Nagasaki, Shuji, et al. "Induction of adrenomedullin2/intermedin expression by thyroid stimulating hormone in thyroid." Molecular and Cellular Endocrinology (2014).} {IHC} {="Rat"}
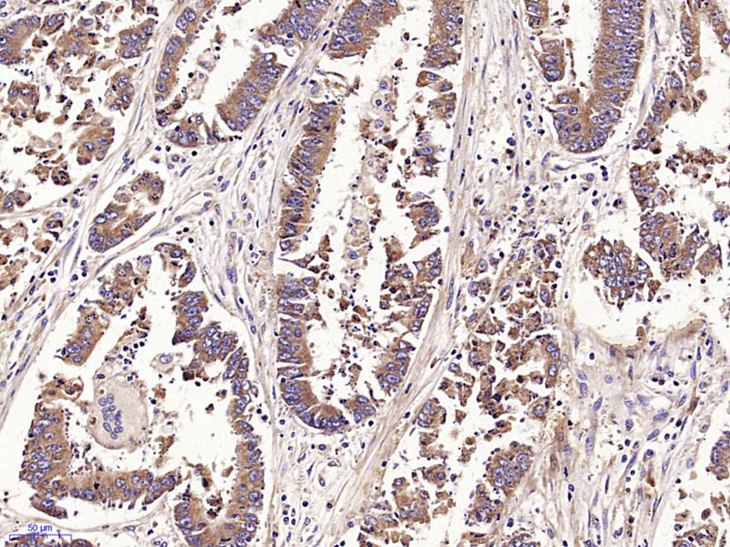
[IF={{ 2.9 }}] {Tan Jun. et al. Reduced PATL2 Impairs the Proliferation of Ovarian Granulosa Cells by Decreasing ADM2 Expression in Patients with PCOS. REPROD SCI. 2023 Dec;:1-11} {IHC} {Rat}
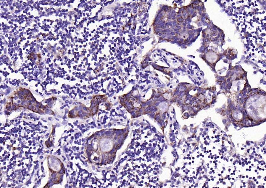
[IF={{ 2.27 }}] {Møller, Martin Nue, et al. "The human endolymphatic sac expresses natriuretic peptides." The Laryngoscope (2017).} {IHC} {="Human"}
= NAL), appears to form upon oxidative cyclization of the nonfluorescent 2:1 lysine-HNE Michael adduct-Schiff base cross-link (Scheme 1). Polyclonal antibody (PAb) to the NAL-HNE fluorophore was raised in rabbit and found to be highly specific
GE Healthcare Benzamidine Sepharose™ 6B is p-aminobenzamidine covalently attached to Sepharose 6B by the epoxy coupling method. p-Aminobenzamidine (PAB), is a synthetic inhibitor of trypsin-like serine protease. Trypsin and trypsin
Nucleic Acid Programmable Protein Arrays: Versatile Tools for Array‐Based Functional Protein Studies
.g., Sigma) 50 mg/ml bis‐sulfosuccinimdylsuberate (BS3 ;Pierce, cat. no. PI 21580) in dimethylsulfoxide (DMSO) 5 mg/ml
技术资料暂无技术资料 索取技术资料








