相关产品推荐更多 >

NT5D1 Rabbit pAb, Biotin conjugated(bs-19490R-Bio)-100ul
¥2980
phospho-NPM (Thr95) Rabbit pAb, AP conjugated(bs-3309R-AP)-100ul
¥2980
ERK1/2 Mouse mAb, HRP conjugated(bsm-33232M-HRP)-100ul
¥2980
CCDC83 Rabbit pAb(bs-8087R)-50ul/100ul/200ul
¥1180
Arginase 1 Rabbit pAb, BF405 conjugated(bs-8585R-BF405)-100ul
¥2980
万千商家帮你免费找货
0 人在求购买到急需产品
- 详细信息
- 文献和实验
- 技术资料
- 应用范围:
产品信息以Bioss网站为准
- 规格:
50ul/100ul/200ul
| 规格: | 50ul | 产品价格: | ¥1180.0 |
|---|---|---|---|
| 规格: | 100ul | 产品价格: | ¥1980.0 |
| 规格: | 200ul | 产品价格: | ¥2800.0 |
| 产品编号 | bs-3602R |
| 英文名称 | ATG1/ULK1 Rabbit pAb |
| 中文名称 | 自噬相关蛋白1抗体 |
| 英文别名 | ATG 1; ULK1; ATG1; ATG1A; Serine/threonine protein kinase ULK1; Serine/threonine protein kinase Unc51.1; ULK 1; Unc 51(C. elegans) like kinase 1; UNC 51; Unc 51 like kinase 1; Unc-51-like kinase 1; Unc-51 like kinase 1(C. elegans); UNC51; ULK1_HUMAN; Serine/threonine-protein kinase ULK1; Autophagy-related protein 1 homolog; hATG1. |
| 产品应用 | WB=1:500-2000, IHC-P=1:100-500, IHC-F=1:100-500, ICC/IF=1:100-500, IF=1:100-500, Flow-Cyt=0.5μg /Test Not yet tested in other applications. |
| 交叉反应 | Human, Mouse, Rat (Chicken, Pig, Cow, Horse, Rabbit) |
| 抗体来源 | Rabbit |
| 免疫原 | KLH conjugated synthetic peptide derived from human ATG1/ULK1 |
| 亚型 | IgG |
| 性状 | Liquid |
| 纯化方法 | affinity purified by Protein A |
| 克隆类型 | Polyclonal |
| 理论分子量 | 116 kDa |
| 浓度 | 1mg/ml |
| 储存液 | 0.01M TBS (pH7.4) with 1% BSA, 0.02% Proclin300 and 50% Glycerol. |
| 研究领域 | Cardiovascular > Heart > Autophagy Metabolism > Pathways and Processes > Mitochondrial Metabolism > Mitophagy fission and fusion Neuroscience > Neurology process > Neurogenesis Signal Transduction > Protein Phosphorylation > Ser / Thr Kinases > Other Kinases |
| 亚基 | Interacts with GABARAP and GABARAPL2. Interacts (via C-terminus) with ATG13/KIAA0652. Part of a complex consisting of ATG13/KIAA0652, ULK1 and RB1CC1. Associates with the mammalian target of rapamycin complex 1 (mTORC1) through an interaction with RPTOR; the association depends on nutrient conditions and is reduced during starvation. |
| 亚细胞定位 | Cytoplasm, cytosol. Preautophagosomal structure. Note=Under starvation conditions, is localized to puncate structures primarily representing the isolation membrane that sequesters a portion of the cytoplasm resulting in the formation of an autophagosome. |
| 组织特异性 | Ubiquitously expressed. Detected in the following adult tissues: skeletal muscle, heart, pancreas, brain, placenta, liver, kidney, and lung. |
| 翻译后修饰 | Autophosphorylated. Phosphorylated under nutrient-rich conditions; dephosphorylated during starvation or following treatment with rapamycin. Under nutrient sufficiency phosphorylated by MTOR/mTOR, disrupting the interaction with AMPK and preventing activation of ULK1 (By similarity). In response to nutrient limitation, phosphorylated and activated by AMPK, leading to activate autophagy. |
| 相似性 | Belongs to the protein kinase superfamily. Ser/Thr protein kinase family. APG1/unc-51/ULK1 subfamily. Contains 1 protein kinase domain. |
| 功能 | Serine/threonine-protein kinase involved in autophagy in response to starvation. Acts upstream of phosphatidylinositol 3-kinase PIK3C3 to regulate the formation of autophagophores, the precursors of autophagosomes. Part of regulatory feedback loops in autophagy: acts both as a downstream effector and negative regulator of mammalian target of rapamycin complex 1 (mTORC1) via interaction with RPTOR. Activated via phosphorylation by AMPK and also acts as a regulator of AMPK by mediating phosphorylation of AMPK subunits PRKAA1, PRKAB2 and PRKAG1, leading to negatively regulate AMPK activity. May phosphorylate ATG13/KIAA0652 and RPTOR; however such data need additional evidences. Plays a role early in neuronal differentiation and is required for granule cell axon formation. |
| 保存条件 | Shipped at 4℃. Store at -20℃ for one year. Avoid repeated freeze/thaw cycles. |
| 注意事项 | This product as supplied is intended for research use only, not for use in human, therapeutic or diagnostic applications. |
| 背景资料 | ULK1 belongs to the serine/threonine protein kinase family. It is involved in axon growth and plays an essential role in neurite branching during sensory axon outgrowth. Knockdown of ULK1 results in impaired endocytosis of nerve growth factor (NGF), excessive axon arborization, and severely stunted axon elongation indicating that ULK1 mediates a non clathrin coated endocytosis in sensory growth cones. Knockdown of ULK1 also inhibits the autophagic response. It appears to act as a convergence point for multiple signals that regulate autophagy, and in turn interacts with a large number of autophagy related (Atg) proteins. |
| 应用 | 推荐稀释比例 |
| {WB} | {1:500-2000} |
| {IHC-P} | {1:100-500} |
| {IHC-F} | {1:100-500} |
| {ICC/IF} | {1:100-500} |
| {IF} | {1:100-500} |
| {Flow-Cyt} | {0.5μg /Test} |

Isotype Control Antibody: Rabbit IgG; Secondary Antibody: Goat anti-rabbit IgG-FITC; Dilution: 1:200 in 1 X PBS containing 0.5% BSA
Primary Antibody catalog number: bs-3602R; Dilution: 0.5μg in 100 μl 1X PBS containing 0.5% BSA

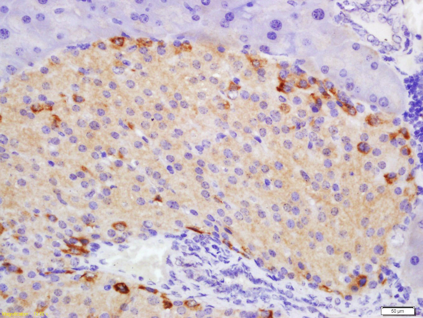
Antigen retrieval: citrate buffer ( 0.01M, pH 6.0 ), Boiling bathing for 15min; Block endogenous peroxidase by 3% Hydrogen peroxide for 30min; Blocking buffer (normal goat serum,C-0005) at 37℃ for 20 min;
Incubation: Anti-ATG1/ULK1 Polyclonal Antibody, Unconjugated(bs-3602R) 1:200, overnight at 4°C, followed by conjugation to the secondary antibody(SP-0023) and DAB(C-0010) staining

293T(Human) Cell Lysate at 30 ug
Primary: Anti-ATG1/ULK1 (bs-3602R) at 1/500 dilution
Secondary: IRDye800CW Goat Anti-Rabbit IgG at 1/20000 dilution
Predicted band size: 116 kD
Observed band size: 116 kD

风险提示:丁香通仅作为第三方平台,为商家信息发布提供平台空间。用户咨询产品时请注意保护个人信息及财产安全,合理判断,谨慎选购商品,商家和用户对交易行为负责。对于医疗器械类产品,请先查证核实企业经营资质和医疗器械产品注册证情况。
文献和实验[IF={{ 8.886 }}] {Bolin Cai. et al. LncEDCH1 improves mitochondrial function to reduce muscle atrophy by interacting with sarcoplasmic/endoplasmic reticulum calcium ATPase 2. Mol Ther-Nucl Acids. 2021 Dec;:} {WB} {Chicken}
[IF={{ 8.469 }}] {Cai, Bolin. et al. Long noncoding RNA ZFP36L2-AS functions as a metabolic modulator to regulate muscle development. CELL DEATH DIS. 2022 Apr;13(4):1-12} {WB} {Chicken}
[IF={{ 7.525 }}] {Ma Manting. et al. LncRNA-TBP mediates TATA-binding protein recruitment to regulate myogenesis and induce slow-twitch myofibers. CELL COMMUN SIGNAL. 2023 Dec;21(1):1-16} {WB} {Chicken}
[IF={{ 6.8 }}] {Huan Deng. et al. Low selenium and T-2 toxin may be involved in the pathogenesis of Kashin-Beck disease by affecting AMPK/mTOR/ULK1 pathway mediated autophagy. ECOTOX ENVIRON SAFE. 2024 Jul;279:116503} {IHC,WB} {Rat}
[IF={{ 4.7 }}] {Di Huo. et al. Roflupram alleviates autophagy defects and reduces mutant hSOD1-induced motor neuron damage in cell and mouse models of amyotrophic lateral sclerosis. NEUROPHARMACOLOGY. 2024 Jan;:109812} {WB} {Mouse}
= NAL), appears to form upon oxidative cyclization of the nonfluorescent 2:1 lysine-HNE Michael adduct-Schiff base cross-link (Scheme 1). Polyclonal antibody (PAb) to the NAL-HNE fluorophore was raised in rabbit and found to be highly specific
. Retrieved 2010-11-29. ^ Nielsen BS, Jørgensen S, Fog JU, Søkilde R, Christensen IJ, Hansen U, Brünner N, Baker A, Møller S, Nielsen HJ (October 2010). "High levels of microRNA-21 in the stroma of colorectal cancers predict short disease-free survival
+oieSKeKcgxGinlRPl7uja5iYeDdc+K3eZhXhIOHOy+p9cxrGU9WCTkVcT5iRR/BsR+N0IDPSu3x0pXo0IRAQiAhGBiEBE4ABCwPnwbu0wGmW8ULj7NRb20DLRYqFW1Up6ODBube+wknwaZ5w/y92bXLbV5K3CJ+hhzKwdSHCmVrada2Qy0eyxvi0r7Lkl99ukcaOkRe60Sj82E8qgnmxNtzHGRRyZQtf1g41GIMau5W7ITlqbiDRR0CA3tPhIsEdmP5hZ
技术资料暂无技术资料 索取技术资料





